Acute Laryngitis
An acute superficial inflammation of the laryngeal mucosa.
Aetiology:
Infection: Its most frequently caused by adeno or influenza viruses but secondary bacterial infection may supervene. Acute laryngitis occurs as part of respiratory tract infection or as an isolated disease.
Trauma: Vocal abuse or endoscopic manipulation.
Irritation: Inhaled fumes, smoking or alcohol abuse.
Clinical Picture
Hoarseness of voice or aphonia, sore throat.Dry and irritative cough.
Generalized symptoms: malaise and fever.
On examination: Indirect and fibroptic laryngoscopy reveals:
Redness and oedema of the larynx.
The vocal cords is covered with mucous and pus.
Treatment:
Bed rest and vocal rest.
Avoidance of tobacco and irritating agents.
Steam inhalation.
Systemic antibiotics if there is secondary bacterial infection.
Acute laryngotracheabronchitis( Croup)
Inflammatory condition of the larynx, trachea and bronchi.
Causative organism is usually parainfluenza virus. Secondary bacterial infection is common and makes the condition worse.
Clinical Picture
It affects children 6 months to 3 years of age. There is frequently a preceding nasal or pharyngeal infection followed by:
Dry croupy or barking cough with hoarseness.
Inspiratory stridor and dyspnea.
Constitutional symptoms: fever.
On Examination:
Oedema and redness of the larynx.Tenacious exudation and crusting over the larynx.
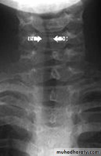
Investigation:
Anteroposterior X-ray of the neck shows subglottic narrowing (steeple sign).
Treatment
Reassurance and rest.Oxygen.
Adequate hydration.
Humidification of the inspired air.
Systemic antibiotics to overcome the secondary bacterial infection.
Steroids: using hydrocortisone or dexamethasone to reduce the inflammatory oedema.
Nebulized salbutamol or adrenaline administrated via a nebulizer is a bronchodialator
If signs of respiratory obstruction develop then intubation or tracheostomy is indicated.
Acute Epiglottitis
Serious condition.Affects young children 2-7 years of age, but it is less common and more dangerous than croup.
Aetiology: Haemophilus influenzae type B infection.
Clinical Picture
The onset is sudden and lethal airway obstruction can develop within hours.Sore throat and upper respiratory tract infection.
Inspiratory stridor develops rapidly and may end in sudden death.
Painful and difficult swallowing, so the child leans forward and drools saliva.
Muffled voice and cry.
High fever with toxaemia.
Triad of drooling, dysphagia, and distress.
The epiglottis is swollen,
red cherry color.No tongue depressor,
as this
may end in fatal total
obstruction.
Fiberoptic laryngoscopy.
It is better done in operation theater where facilities for intubation or tracheostomy are available.
Team of: Otolaryngologist, Pediatrician, and Anesthetist.
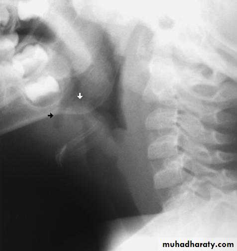
Investigation
Lateral X-ray of the neck may show swollen epiglottis (thumb sign).Treatment
Once the diagnosis is suspected the child must be admitted to the hospital and intubation or tracheostomy should be kept in mind.Antibiotics: I.V. amoxycilin is the drug of choice, but the emergence of penicillin resistant strains, third generation cephalosporines (Ceftriaxone) by paranteral route are best used.
Intubation and tracheostomy is required in 60% of cases.
Chronic Laryngitis
A chronic inflammatory reaction of the larynx in which the laryngeal mucosa undergoes irreversible inflammatory changes. It may be diffused or localized.Etiology
Infection: repeated attacks of acute laryngitis or focal sepsis in the teeth, tonsils and sinuses.
Faulty use of the voice.
Excessive smoking and alcoholism.
Pollution by dust and irritant fumes.
Gastroesophageal reflux.
Clinical Picture
Hoarseness and tiredness of voice.
Irritation and raw sensation in the throat. A frequent desire to clear the throat is common.
Dry and irritating cough.
On Exam.
Indirect and fiberoptic laryngoscopy: Hyperaemia and oedema of the vocal cords. Excessive viscid secretions may be seen which results from increased activity of the mucous glands.
Laryngoscopy is indicated if hoarseness persists for more than
3 weeks to exclude malignancy.Treatment
Treat the predisposing factorsa. Elimination of focal sepsis in the teeth, tonsils and sinuses.
b. Voice rest and speech therapy.
c. Elimination of irritant factors as tobacco, fumes and alcoholism.
Medical treatment
Steam inhalation and application of laryngeal sprays.
Mucolytics (solvodin) when the secretions are thick and tenacious.
Antibiotics if there is secondary bacterial infection .
Surgical treatment
Microlaryngoscopy: For diagnostic purposes Endoscopic stripping of the vocal cords in resistant cases: when there is vocal cord edema.
Vocal Cords Nodules
They are bilateral, small, grayish, white,localized thickening of the vocal cords
situated at the junction of the anterior
third and posterior 2/3 of the vocal cord.
In this area maximum vibration occurs followed by fibrosis and traumatic scarring.
Aetiology:
Misuse of the voice or bad voice production with straining. It is commonly seen in singers, teachers and actors affecting women more than men.
Symptoms:
Hoarseness of voice.
Voice fatigue.
On Examination:
The site of nodule is at the junction of the anterior third and posterior 2/3 of the vocal cord.
Treatment
Small Voice rest and speech therapy.
Large Endoscopic excision followed by voice rest.
Laryngeal Polyp
Smooth unilateral glistering mass attached to the vocal cord due to accumulation of fluid in the sub-epithelial space.Aetiology: Vocal abuse, heavy smoking and allergy.
Clinical Picture:
Hoarseness of voice.
A large polyp may result in choking spills and stridor.
On Examination:
Indirect laryngoscopy and fibroptic endoscopy: sessile or pedunculated mass arising from the vocal cord near the anterior commissure, but it can be seen anywhere in the larynx.
Treatment
Endoscopic excision followed by voice rest and speech therapy. Histological examination is necessary to exclude malignancy.
Intubation Granuloma
AetiologyIt results from injury to vocal process of
arytenoids due to rough intubation, use of large tube or propounded intubation.
Pathology
Mucosal ulceration is followed by granuloma formation over the exposed cartilage.
Clinical picture
Patients are referred few days or weeks after an operation with hoarseness of voice. Stridor is rare.On Examination:
Endoscopy reveals a large fleshy granuloma arising from the vocal process of arytenoids.
Treatment
Voice rest and endoscopic removal preferably with LASER.
Tumors of the Larynx
Benign
EpithelialPapilloma
Connective tissue
Angioma• Fibroma
ChondromaMalignant
• Epithelial
Squamous cell carcinoma
Connective tissue
• Sarcoma• Lymphoma
PapillomaThey can be divided into juvenile and adult onset types. They are known for recurrence after removal.
Juvenile: They are multiple often involving infants and young children. They are not premalignant and tend to disappear after puberty.
Adult onset: Usually its single and arises from the free edge of the vocal cord in adults. It may undergo malignant changes.
Juvenile Papilloma
Etiology: Virus HPV .
Clinical Picture:
Hoarseness of the voice.
Stridor from interference with the laryngeal intet.
On Exam.
The papilloma commonly seen at the anterior aspect of the vocal cords.
Treatment
Endoscopic excision using LASER because of the precision in removal and less bleeding. Histological examination is necessary to exclude malignant changes.Interferon therapy is being tried to prevent recurrence.
Tracheostomy in severe cases.

















