Miscellaneous Pharyngeal Conditions
Paterson-Kelly Syndrome (Plummer Vinson)A chronic atrophic type of inflammation of the mucous membrane of the mouth, pharynx and upper end of esophagus. The major changes occur in the postcricoid region initially started by fissuring and hyperkeratosis followed by fibrosis, web formation and stricture.
A small proportion of patients (3%) with this condition progress to the stage of postcricoid cancer.
Aetiology
It’s unknown but autoimmune and metabolic basis may be presumed.
Clinical picture
The disease is more common in females usually over 40 years.• Dysphagia and feeling of a lump in the throat.
• Pallor due to iron deficiency anaemia.
• Fissures at the angles of the mouth result from angular stomatitis.
• Dryness of the tongue because of glossitis.
Angular stomatitis
Koilonychia
Loss of weight
Investigations
• Haematological: CBP---- hypochromic microcytic anaemia, low serum iron and high iron binding capacity.• Ba-swallow: web at the postcricoid region.
• Endoscopy: fissuring, hyperkeratosis followed by fibrosis, web formation in the postcricoid region.
Treatment
• Iron and vitamin B complex in high doses.
• Endoscopic dilation in resistant cases to medical treatment to relieve dysphagia and exclude malignancy by histopathological examination.
• Keep the patient under observation, because malignant changes can still occur.
Globus Hystericus (Globus Pharyngeus)
Sensation of a lump in the throat affecting mainly females, which is brought on or made worse by anxiety.The old name globus hystericus is no longer accepted.
Aetiology
The condition is often regarded as functional in which no other organic cause can be found. Recently the most accepted organic theory is gastroesophageal reflux.
Clinical Picture
Sensation of a lump in the throat, which is, noticed when the patient is swallowing saliva and relieved by meals. There is no true dysphagia and the patient often has psychological stress or cancer phobia.
Diagnosis
The condition should not be diagnosed until an organic lesions has been excluded in order not to miss an early carcinoma.
• Ba -Swallow ---- Normal.
• Endoscopy to exclude any abnormality
• Full haematological investigations to exclude iron deficiency anemia.
Treatment
• Reassurance that there is no organic disease or cancer
• Antireflux therapy: Omeprazole + Domperidone
• Psychiatric consultation is required in selected cases
Retropharyngeal Abscess
An abscess in the potential space between the buccopharyngeal and prevertebral fascia. There are two distinct types.Acute Retropharyngeal Abscess
Collection of pus in the retropharyngeal space due to infection in the retropharyngeal lymph nodes (lymph nodes of Rouviere).
This condition is very rare in adults because these lymph nodes atrophy during childhood.
Aetiology
1. Upper respiratory tract infection (Tonsillitis, sinusitis)
2. F.B penetrating the posterior pharyngeal mucosa.
Clinical Picture
Mostly affects infants and it's of acute onset1. The patient is ill, toxic and feverish.
2. Sore throat with pain and discomfort on swallowing and the patient may drool saliva.
3. Nasal obstruction in upward situated abscess and laryngeal obstruction (stridor) in those situated downward.
Examination
1. Swelling on one side of the posterior pharyngeal wall.
2. Cervical lymphadenopathy.
Investigations
Lateral X-ray of the neck, which shows increase in prevertebral soft tissue shadow or an air-fluid level.
Treatment
Under the cover of intravenous antibiotics, the abscess should be drained vertically through the posterior pharyngeal wall.
1. Drainage under G.A. with endotracheal tube.
2. If no facility for G.A. an assistant should be ready to turn the patient over quickly after drainage to avoid inhalation of pus. A sucker should be present to aspirate the pus.
Chronic Retropharyngeal Abscess (Pott,s Abscess)
This is caused by TB of the cervical spine. The disease spread through anterior longitudinal ligament of the spine to reach retropharyngeal space.Clinical Picture
Occurs in older children, adolescents and adults. It’s of slow onset and presents as:
1. Pharyngeal discomfort rather than pain.
2. Mild dysphagia.
Examination
1. Painless swelling on the posterior pharyngeal wall.
2. Enlarged and painless cervical lymphadenopathy
Investigations
Lateral X-ray of the neck shows evidence of bone destruction and loss of the normal curvature of the cervical spine.Treatment
1. Drainage through the neck and never through the mouth to avoid secondary infection.
2. Full anti T.B. therapy must be ordered.
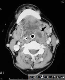
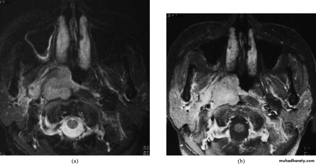
Parapharyngeal Abscess
A suppurative infection of the parapharyageal space.Aetiology
1. Complication of tonsillitis or tonsillectomy.
2. Infection or extraction of the lower third molar tooth.
3. Extension of mastoid infection
Clinical Picture
Occurs mostly in adolescents and adults
1. The patient is feverish , ill and toxic.
2. Acute sore throat with trismus because of spasm of the medial pterygoid muscle .
Examination
1. Tender and firm swelling in the upper part of the neck.
2. The pharyngeal wall and tonsil are pushed medially.
Examination
1. Tender and firm swelling in the upper part of the neck.2. The pharyngeal wall and tonsil are pushed medially.
Complications
1- Acute oedema of the larynx --- tracheostomy.
2. Thrombophlebitis of the IJV with septicaemia.
3. Carotid artery erosion.
4. Cranial nerves and sympathetic chain involvement leading to Horner's syndrome.
Treatment
Antibiotics should be commenced before culture and sensitivities are available:
I.V. penicillin + Metronidazole. If the general condition is stable and airway is patent investigations can be done:
• WBC ↑, ESR ↑
• Needle aspiration will prove the diagnosis( if doubtful) and pus is send for culture.
• Orthopantomogram ( OPG) may shows root abscess.
• Ultrasound of the neck can differentiate between cellulites and abscess collection.
If there is no improvement within 24 hours abscess must be drained:
Under GA and ETT collar incision is done in the neck at the level of hyoid bone at the anterior border of sternomastoid muscle, pus is evacuated and drain is inserted
Tumors of the pharynx
NasopharynxBenign: Angiofibroma (Most common)
Papilloma
Haemangioma
Craniopharyngioma
Malignant: Nasopharyngeal carcinoma
Adenocarcinoma
Fibrosarcoma
Rabdomyosarcoma
Oropharynx
Benign: Papilloma
Malignant: Epithelial: squamous cell cacrcinoma
Lymphoma: Hodgkin's and non- Hodgkin's
Salivary gland: Adenocystic carcinoma
Hypopharynx
Benign: Fibrolipoma and leiomyomaMalignant: Squamous cell carcinoma (pyriform fossa, postcricoid, and posterior pharyngeal wall).
Juvenile Nasopharyngeal Angiofibroma
Is a vascular tumor of the nasopharynx occurring almost entirely in adolescent males (7-19 years with a mean of 14 years.The tumor has a tendency to regress after puberty.
Although the tumor is benign, but it is locally invasive and behaves as malignant.
Aetiology
The exact aetiology is unknown but various theories have been postulated.1. Hormonal theory based on that it is a tumour of males.
2. Remnants of embryonic tissue.
3. Hamartoma or paraganglioma.
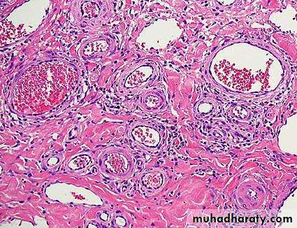
Pathology
The tumor takes origin from the periosteum on the lateral wall of the nasopharynx close to the sphenopalatine foramen .
Extension occurs:
1. Anteriorly to the nasal cavity and ethmoid.
2. Superiorly to the base of the skull.
3. Laterally to the pterygoid fossa, maxillary antrum and orbit.
Pathology
Microscopically, the tumor consist of vascular spaces in a stroma of fibrous tissue. The vascular spaces consist of thin-walled sinusoidal vessels unsupported by a muscular coat. This account for the severe bleeding as the vessels loose the ability to contract.Clinical Picture
The patient is nearly always a young boy with a mean age of 14 years.1. Repeated attacks of epistaxis which can be extremely profuse due to absence of muscular coat from the sinusoids.
2. Progressive nasal obstruction.
3. nasal speech (rhinolalia clausa).
4. Conductive deafness occurs from pressure on the Eustachian tubes.
Examination
1. Endoscopy and posterior rhinoscopy: smooth, rubbery lobulated mass in the nasopharynx.2. Middle ear effusion.
3. Mass in the nasal cavity or on the cheek if the tumour has extended anteriorly or laterally.
4. Proptosis results from extension of the tumour to the orbit through the infraorbital fissure.
Investigation
1. Imaging:a. X-ray of the base of the skull and a lateral view of the skull.
b. CAT scan, MRI and MRA.
c. External carotid arteriography.
2. Biopsy is contraindicated because of fatal bleeding.
Differential Diagnosis
1. Antrochoanal polyp.2. Nasopharyngeal carcinoma.
Treatment
1. Surgical excision Haemorrhage is the main danger of operation, so adequate blood should be prepared before the operation.2. Embolization is indicated preoperatively to control the vascularity of the tumor.
3. Radiotherapy should be reserved for patients with inoperable intracranial extension and recurrent tumors.
Nasopharyngeal Carcinoma
This tumour is common in south east Asia especially in China.Aetiology
Is exactly unknown
1-Viral: Epestain-Barr virus has been suggested as a cause, but the exact role is unknown.
2. Genetics: Chinese have a high genetic susceptibility. Chinese population who move to western countries retain a high incidence suggesting a genetic predisposition.
3. Environmental factors: common in
southern China.
a. Ingestion of salted fish.
b. Indoor cooking in homes without
Chimneys
Pathology
Most tumours arise from the fossa of Rosenmuller. In endemic areas undifferentiated carcinoma is the most common histological type.• Spread of Nasopharyngeal Carcinoma
• Direct, lymphatic (cervical L.N.) and blood borne (rare)
• -Anteriorly into the nasal cavity and paranasal sinuses leading to nasal symptoms.
• -Posteriorly to the retropharyngeal space and lymph nodes of Rouviere.
• -Laterally into the parapharyngeal space involving the last 4 cranial nerves.
• -Superiorly through the base of skull involving the optic nerve and the cavernous sinus.
• -Inferiorly to the oral cavity and retrotonsillar region.
Spread of NP Carcinomma
Clinical Picture
Bi-modal age distribution with the first age peak at 2nd decade and the other peak at 5th – 7th decade of life. It affects males more than females-Cervical lymphadenopathy : is often the presenting feature which may be unilateral or bilateral.
-Nasorespiratory symptoms : nasal obstruction, nasal speech and epistaxis.
-Tinnitus and aural symptoms due to Eustachian tube obstruction. This may proceed to secretory otitis media.
-Neurological symptoms : the most frequently involved nerves are V, VI, IX and X. The latter 2 nerves paralysis lead to immobility of the soft palate.
Involvement of the sympathetic chain results in Horner's syndrome.
-Pain and headache due to intracranial extension or sphenoidal sinusitis
Examination
1. Endoscopy and posterior rhinoscopy.one may see a large exophytic tumour but a small tumour may be missed.
2. The palate is pushed downward and paralyzed.
3. The neck should be palpated for metastatic lymphnodes.
4. Middle ear effusion.
5. Parapharyngeal spread can cause trismus.
Investigation
1. Imaging:a. X-ray of the base of the skull---- bony destruction involving the petrous bone, foramen lacerum and carotid canal.
b. CT scan and MRI: MRI is superior to CT scan in finding soft tissue involvement.
2. Biopsy .
Treatment
1. Radiotherapy is the treatment of choice because surgical removal of the primary growth is rarely possible.2. Chemotherapy as an adjuvant to radiotherapy is of controversy.
3. Surgery in form of radical neck dissection is reserved for patients with persistent or recurrent neck disease following radiotherapy.




















