Infectious Disorders
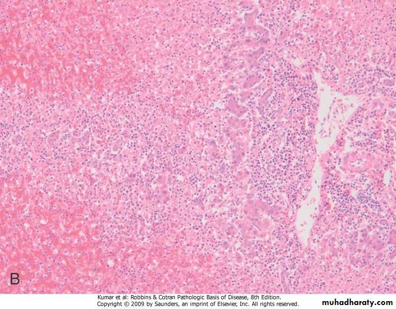
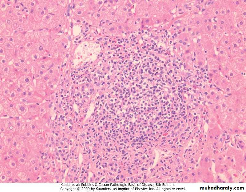
VIRAL HEPATITIS.hepatic infection caused by hepatotropic viruses (A, B, C, D, & E).clinicopathologic syndromes -acute asymptomatic infection with recovery (serologic evidence-HAV & HBV) -acute symptomatic hepatitis with recovery, anicteric or icteric (all types) -chronic hepatitis, without or with progression to cirrhosis (HCV) symptomatic, biochemical, or serologic evidence of continuing or relapsing hepatic disease for more than 6 months -fulminant hepatitis with massive to submassive hepatic necrosis (HBV, HAV)
.diagnosis -serological tests -liver biopsy -molecular studies
Hepatitis A Virus.single stranded RNA picovirus with incubation period of 3-6 weeks .clinical features -asymptomatic or mild, rare after childhood -rarely fulminant hepatitis (0.1%).occurs worldwide & is endemic in places with substandard hygiene (people may have detectable antibodies by age of 10y).spread is by contaminated water & food (oral route).virus is shed in stool for 2-3 wks before & 1 wk after onset of jaundice.can also be detected in serum & saliva because HAV viremia is transient, blood-borne transmission occurs only rarely; therefore, donated blood is not specifically screened for this virus
.specific anti-HAV IgM antibodies at onset of symptoms (diagnostic marker in acute infection), titer declines in months.IgG persists for years, providing protective immunity against re-infection by all strains of HAV
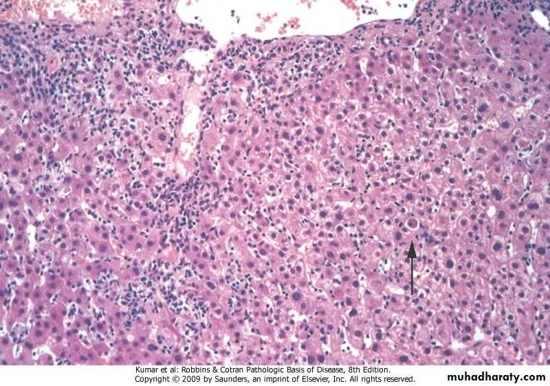
Acute viral hepatitis
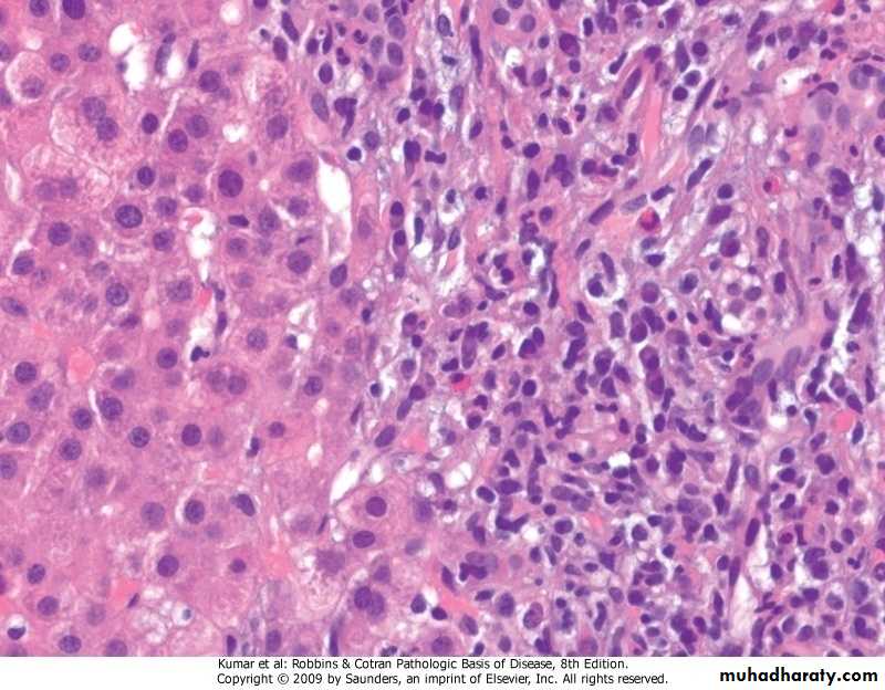
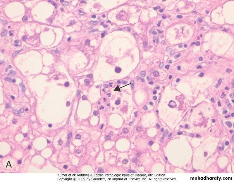
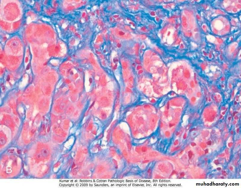
Ballooning degeneration
Hepatitis B Virus.DNA virus, incubation period 4-26 wks.diseases -acute hepatitis with recovery -nonprogressive chronic hepatitis -progressive chronic disease>cirrhosis -fulminant hepatitis -asymptomatic carrier state (presence of HBsAg in serum for 6 months or longer) -hepatocellular carcinoma
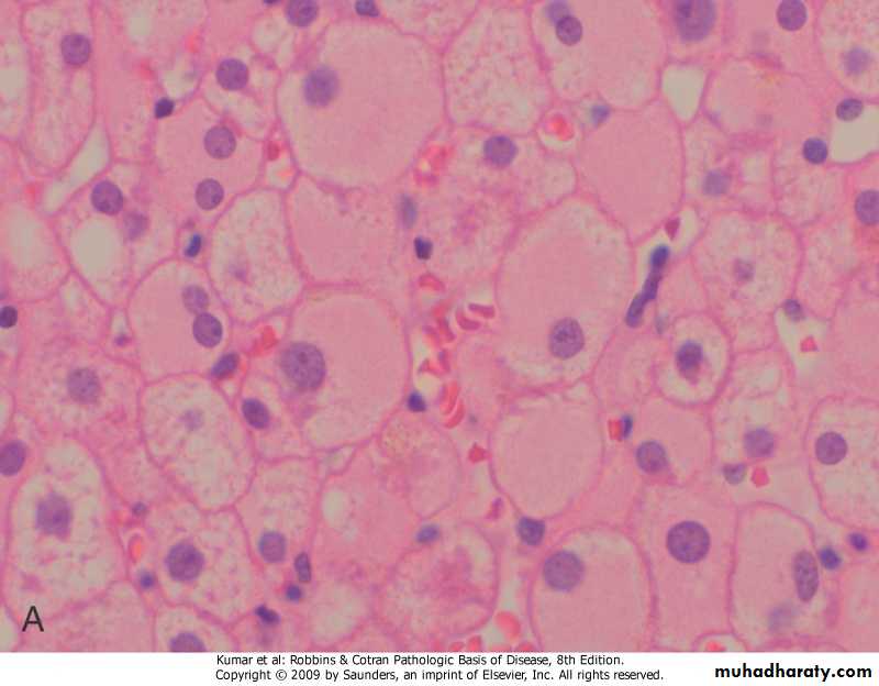
Chronic HBV hepatitis, ground-glass hepatocytes
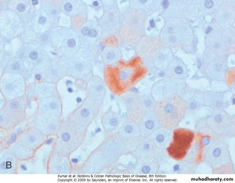
Chronic HBV hepatitis, immuno-peroxidase stain for HBsAg
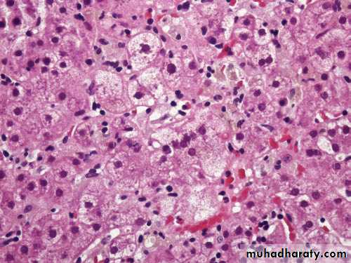
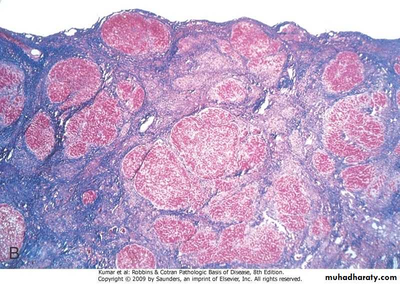
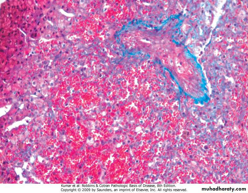
Fulminant viral hepatitis
Fulminant viral hepatitis
.modes of transmission -vertical .perinatal during childbirth (high prevalence regions) -horizontal .through minor cuts in skin or mucous membranes (intermediate prevalence regions) .sexual & intravenous (low prevalence regions)
.prevention -vaccination -screening of donor blood & tissuesanti-HBs may persist for life, conferring protection; a basis for vaccination using noninfectious HBsAg
Hepatitis C Virus
.single stranded RNA, incubation period 2-26 weeks.most common chronic blood-borne infection
.routes of transmission
-inoculations
-blood transfusions
-sexual intercourse
-perinatal
.diseases -acute hepatitis (rarely fulminant) -chronic hepatitis .characteristic clinical feature is episodic elevations in serum aminotransferases -cirrhosis .in 20%-30% of patients with chronic infection .after 5-20y of acute infection
Chronic HCV hepatitis
Hepatitis D Virus.RNA virus dependent for its life cycle on HBV .hepatitis arises in the following settings -acute coinfection after exposure to serum containing both HDV & HBV .acute hepatitis (self-limited or fulminant) .chronic hepatitis (persistent or progressive)
-super-infection of a chronic carrier of HBV .severe acute hepatitis .exacerbation of preexisting chronic hepatitis B, may progress to cirrhosis & hepatocellular carcinoma -latent infection in liver transplant .hepatitis
Hepatitis E Virus
.single stranded RNA, incubation period 6 weeks.water-borne infection affecting young to middle-aged adults (oral route)
.zoonotic with animal reservoirs (mokeys, cats, pigs, and dogs)
.causes acute self-limiting hepatitis
.among pregnant women has a high mortality rate (20%)
HIV and Chronic Viral Hepatitis .because of similar transmission mode & similar high-risk patient population, co- infection of HIV & HVs is now a common clinical problem .HIV infection exacerbates the severity of liver disease caused by HBV or HCV.less clear is the impact of HBV or HCV on the course of HIV infection.in addition, anti-HIV agents may cause hepatotoxicity in some patients with HBV or HCV co-infection
Autoimmune Hepatitis
.chronic & progressive hepatitis of unknown etiology.pathogenesis
-T cell-mediated autoimmunity (defect in regulatory T-cells), which may be genetically determined
-injurious immune reaction may be triggered by
.viral infections
.drugs (methyldopa, interferons, nitrofurantoin)
.herbal products
.salient features -clinical .female predominance .indolent or severe (fulminant hepatitis) .cirrhosis in 40% of survivals -serological .absence of markers of viral infection .elevated serum IgG & γ-globulin levels .high serum titers of auto-antibodies -histological .lymphocytes & plasma cells in the interface of portal tracts & hepatic lobules
Autoimmune hepatitis
Drug And Toxin-Induced Liver Disease
.general features -genetic variability is a critical factor -injury of hepatocytes or biliary epithelium causing cell death or disruption of cellular function may result -from direct toxicity -through hepatic conversion of a xenobiotic to an active toxin -through immune mechanisms, usually by a drug or a metabolite acting as a hapten
.mechanisms
-predictable, occurs in anyone who receives sufficient dose of an agent-unpredictable (idiosyncratic), depends on .rate of metabolism of the agent
.intensity of immune response
.morphology -hepatocyte necrosis -cholestasis -chronic hepatitis -micro & macrovesicular steatosis
.clinically & histologically is similar to chronic viral hepatitis, distinction is made by serology.recovery upon removal of the drug
ALCOHOLIC LIVER DISEASE.factors influencing development & severity of liver disease -quantity of alcohol -duration of consumption -gender, women are more susceptible to hepatic injury than men -genetic -iron overload & infections (HCV, HBV)
.diseases, 3 overlapping forms -steatosis (fatty liver disease) .asymptomatic .hepatomegaly & mild elevation of serum bilirubin & alkaline phosphatase -hepatitis (minimal to fulminant) -cirrhosis
.pathogenesis -hepatocellular steatosis .increased lipid biosynthesis .defect in assembly & secretion of lipo- proteins .increased peripheral catabolism of fat -hepatitis .acetaldehyde induces disruption of cytoskeletal & membrane function .reactive oxygen species react with cellular proteins, & damage membranes .low hepatic glutathione>oxidative injury
.morphology -steatosis -hepatitis .hepatocyte swelling & necrosis .Mallory bodies .neutrophil infiltration .fibrosis -cirrhosis
Liver, steatosis


























