قراءة
عرض

Lymphoma

Most present as tumor Involving lymph nodes or other lymphoid organs such as the spleen. But extra nodal presentation may seen.
Hodgkin’s Lymphoma.
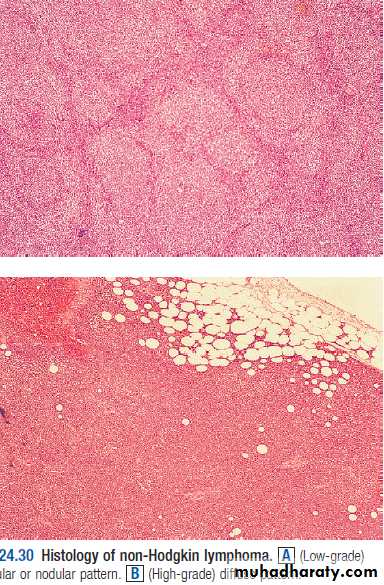
2.Non - Hodkin’s Lymphoma; Non-Hodgkin lymphomas are classified as low- or high-grade tumours on the basis of their proliferation rate.
High-grade tumours divide rapidly, are typically present for a matter of weeks before diagnosis, and may be life-threatening.
• Low-grade tumours divide slowly, may be present for many months before diagnosis, and typically behave in an indolent fashion.

Hodgkin lymphoma

Histological WHO classification
Subtype
Frequency
Features
Nodular sclerosis
70%
Young adult only, more in women may have large mediastinal masses which are surprisingly asymptomatic,

• Mixed cellularity


• 20%

• More abnormal RS cells ,broad diagnostic group.

• Lymphocyte predominant

5%
• Younger pts., rare RS cells, many lymphocyte. Evidence of B lymphoid origin. Usually stage I / II

Lymphocyte depleted

Rare
Numerous RS and other atypical cells.
1-CLASSICAL HL
2- NODULAR LP HLis now clearly recognized to be indolent NHL 5%

hematology

Clinical features

There is painless, rubbery lymphadenopathy, usually in the neck or supraclavicular fossae; the lymph nodes may flucuate in size(wax an wan).


Hepatosplenomegaly may be present but does not always indicate disease in those organs.

Spread is contiguous from one node to the next and extranodal disease, such as bone, brain or skin involvement, is rare.
hematology




hematology


hematology

Investigations

FBC may be normal. If a normochromic, normocytic
anaemia or lymphopenia is present, this is a poor
prognostic factor. An eosinophilia or a neutrophilia
may be present.
• ESR may be raised.
• Renal function tests are required to ensure function is normal prior to treatment.
• Liver function may be abnormal in the absence of disease or may reflect hepatic infiltration. An obstructive pattern may be caused by nodes at the porta hepatis.
LDH measurements showing raised levels are an adverse prognostic factor.
• Chest X-ray may show a mediastinal mass.
• CT scan of chest, abdomen and pelvis permits staging. Bulky disease (> 10 cm in a single nodemass) is an adverse prognostic feature.
• Lymph node biopsy may be undertaken surgically or by percutaneous needle biopsy under radiological guidance


Management
1-chemotherapy;
The ABVD regimen (doxorubicin,vinblastine,bleomycin and dacarbazine)
*cardiac and pulmonary toxicity, due to doxorubicin
and bleomycin respectively.
2-radiotherapy
* The majority of HL patients are now treated with chemotherapy and adjunctive radiotherapy.
* Early-stage patients usually includes additional treatment with radiotherapy to the involved lymph nodes after four courses of ABVD.
* Advanced-stage disease are most commonly managed with chemotherapy alone. 6–8 cycles of ABVD.
* Patients with disease which is resistant to therapy may be considered for autologous HSCT.
* Treatment response is assessed clinically and by repeat CT and newer (scanning modalities such as positron emission tomography (PET


hematology

Prognosis

Non-Hodgkin lymphoma
Non-Hodgkin lymphoma (NHL) represents a monoclonal
proliferation of lymphoid cells of B cell (70%) or T cell (30%) origin.
hematology


working formulation for lymphoma classification

Low grade :
diffuse small lymphocytic.
follicular small cleaved cell.
follicular mixed small and large cell.
Intermediate grade :
diffuse small cleaved cell.
diffuse small and large cell.
diffuse large cell lymphoma.
follicular large cell lymphoma.
High grade :
immunoblastic lymphoma.
small non cleaved cell (Burkitt-type).
lymphoblastic lymphoma.


hematology


A
B


LYMPHOMA
Hodgkin’s disease

Orederly spread by contiguity

Extranodal presentation rare
Systemic symptoms, prognostic importance
Involve central and axial L.N. but rarely mesenteric or lymphoid tissue of waldeyer’s ring (oro-naso-pharynx)
Single disease in terms of classical treatment: cure possible of all types of stages.

Non - Hodgkin’s disease

More random spread
Extranodal sites in unfavorable lesions
Systemic symptoms less common
More frequent involvement of peripheral and mesenteric L.N. waldeyer’s ring
Multiple diseases (at least two) clinically, cure rare in low grade types.

Clinical presentation

1- most pt present with one or several enlarge painless LN. cervical, inguinal and axillary's nods are most frequently involved. Hepatosplenomegaly may be present
• 2- 1/5-1/3 of pt with intermediate and high grade lymphoma present in extra- nodal site such as waldeyers ring, GIT, skin, salivary gland, bone.
• 3- compression syndromes may occur, gut obstruction, ascites, superior vena caval obstruction and spinal cord compression.
• 4 - BM involvement in high grade 10% and 50-60% in low grade.
• 5- T cell lymphoma are usually first diagnosed in the skin lead to cutaneous T cell lymphoma (sezary syndrome), erthro-derma and circulating lymphoam cells with hyper convoluted nuclei.
**The same staging system is used for both HL and NHL, but NHL is more likely to be stage III or IV at presentation.



Investigations
Same as HD inaddition;
1-Bone marrow aspiration and trephine.
• 2-Immunophenotyping of surface antigens to distinguish T from B cell tumours.
3-Cytogenetic analysis to detect chromosomal translocations.
4-Immunoglobulin determination.
5- Measurement of uric acid levels.
6- HIV testing.

Treatment

Low grade NHL |:
A symptomatic pts may not require treatment
Radiotherapy : for stage I disease.
Chemotherapy : oral therapy with chlorambucil.
The anti-CD20 antibody rituximab.
* Rituximab (R) in combination with cyclophosphamide, vincristine and prednisolone (R-CVP).
**Transplantation.
High-grade NHL *Prognosis
Chemotherapy; R-CHOP
Radiotherapy
HSCT





رفعت المحاضرة من قبل: Abdalmalik Abdullateef
المشاهدات: لقد قام عضو واحد فقط و 146 زائراً بقراءة هذه المحاضرة








تسجيل دخول

أو
عبر الحساب الاعتيادي
الرجاء كتابة البريد الالكتروني بشكل صحيح
الرجاء كتابة كلمة المرور
لست عضواً في موقع محاضراتي؟
اضغط هنا للتسجيل