Osteoarthritis ( OA)
Osteoarthritis ( OA) is a chronic joint disorders in which there is progressive softening and disintegration of articular cartilage accompanied by new growth of cartilage and bone at the joint margins (osteophytes) and sclerosis of subchondral bone, and capsular fibrosis.OA is a dynamic phenomenon, it show features of both destruction and repair( it is not purely degenerative).
OA is the commonest of all joint disease.
Radiographic features of OA
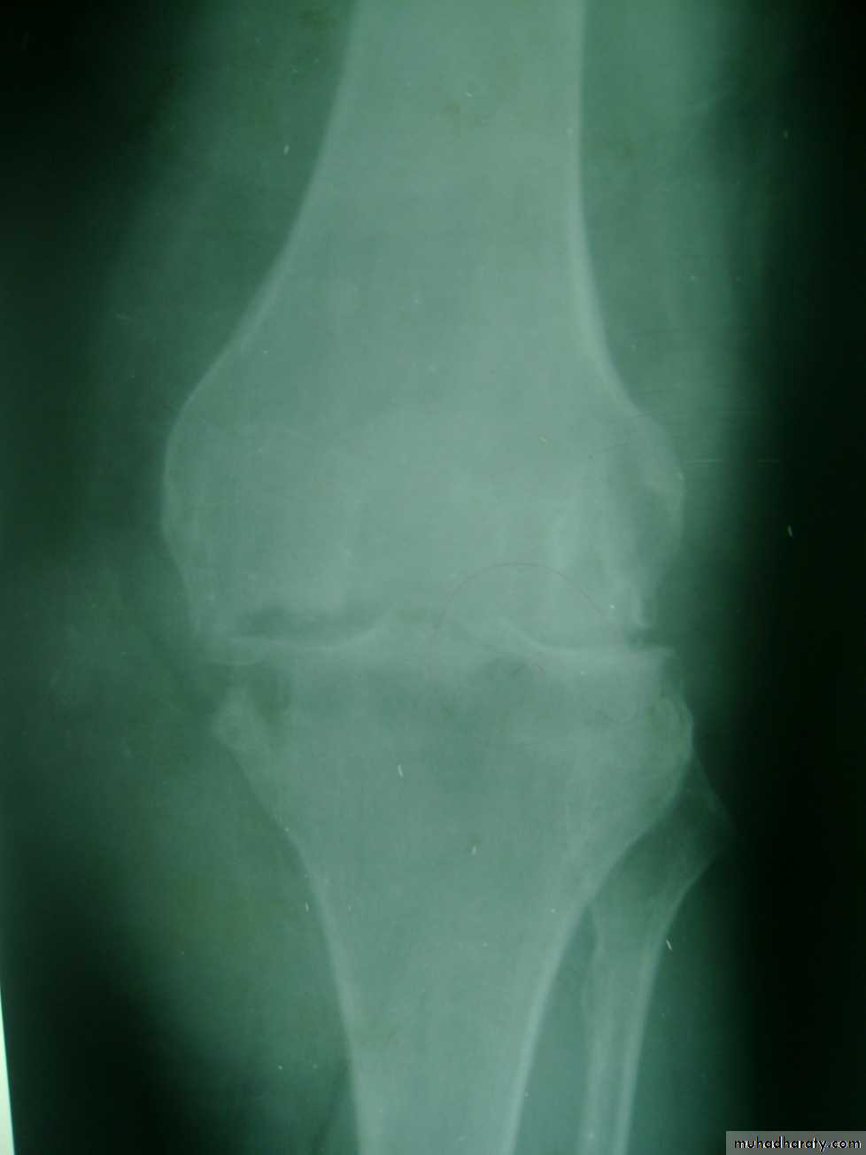
1- Asymmetric loss of cartilage ( narrowing of joint space).2-Sclerosis of subchondral bone, with subchondral cyst sometimes.
3- Osteophytes (spurring of the joint margins directed toward joint line).
4- Feature of predisposing factor may be visible.
Surgical treatment of osteoarthritis
Most patients with OA need no treatment, but if there is symptoms especially pain treatment is indicated.Osteoarthritis early treatment:
1- maintain and increase range of movement and muscles strengthening by exercises and physiotherapy.2- protect joint from overload, weight reduction and walking aids.
3- relieve pain ( analgesia and NSAID , heat, electrical stimulation, ultrasound, and local steroid injection sometimes).
4- Modified daily activities and orthotic application .
5- Hyaluronic acid injections and glucosamine & chondroitin had no evidence base to use it.
Intermediate treatments
1- arthroscopic joint debridement (cleaning out the joint of all debris and removal of loose bodies, drilling of the chondral surface.2- localized cartilage defect grafted.
3- realignment osteotomy
3- realignment osteotomy like proximal tibial osteotomy: Osteoarthritis usually affects the inside half (medial compartment) of the knee . This can lead to the lower extremity becoming slightly bowlegged or a genu varum deformity.Osteotomy decrease venous congestion, removed fibrosed sensory end , increased blood supply ,due to fracture induction, and re-aligning the angles (this places more of the weight-bearing force into a healthier compartment ).
A wedge of bone is removed or added to the upper tibia. A staple or plate and screws are used to hold the bone in place until it heals
Late treatment:
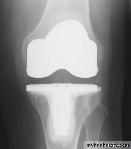
1- Arthroplasty: replacement of joint by prosthesis can be performed and give excellent results especially in hip and knee, other joints also can be replaced. ( articular surface of both side of joint resected and replaced by artificial joint). It provide painless mobile joint.2- Arthrodesis if stiffness not interfere with function like ankle and foots joints , (articular surface of both side of joint resected and the two bone fused to each other in physiological position). ). It provide painless stiff limb.
3- Excision arthroplasty, one or both of articular surfaces resected and soft tissue interposition carried out ( eg. Metatarsophalangeal joint of big toe).
Complications of osteoarthritis
Complications of osteoarthritis are capsular herniation (Baker's cyst in knee),loose bodies formation in joint,
rotator cuff dysfunction of shoulder,
spinal stenosis and
spondylolisthesis.
Rheumatoid arthritis treatment :Rheumatoid arthritis ( RA ) is the most common cause of chronic inflammatory joint disease causes inflammation and deformity of the joints.
Rheumatoid arthritis treatment :
there is no specific treatment to cure RA. The outline of treatment are:
Stop the synovitis : the first step are rest and drugs ( NSAIDs , chloroquin, methotraxate, sulphasalazine, gold, penicillamine, steroids , and many new cytotoxic drugs and experimental drugs can be used).
joint stabilization.
Local steroid injection may used some time to control inflammation.
Synovial biopsy may be used to confirm the diagnsis.Synovectomy (chemical, irradiation, or surgical) may used also to control synovitis.
Prevent deformity through use of splintage, physiotherapy,
Reconstruction of joints
Reconstruction of joints by tendon repairs, and tendon transfer and soft tissue procedures.Arthroplasty, the most popular and successful is the arthroplasty, it used widely in hip and knee.
arthrodesis, and
osteotomy,










