قراءة
عرض

بسم الله الرحمن الرحيم

Femoral shaft fracture

This fracture occurs at any age, it is common especially in young adults, and usually results from a high energy injury, such as
( car accident , fall from height).


Lower limb

In elderly ,

it may be pathological fracture
Lower limb




Lower limb



In children think of child abuse.
Lower limb

Fracture may be

spiral,
transverse, comminuted, pathological,
or compound.

Most fractures have some degrees of comminuation (small fragment, single large butter fly, extensive comminuation).

Lower limb

Clinically:

The patient has pain and swelling,
the leg externally rotated, short, deformed, swollen, bruises.
Always try to exclude neurovascular injury,
and look for possible serious life threatening injuries.
The fracture result in a significant
blood loss of 0.5-1.5 liter , shock and fat embolism are common early complications.


X-ray :
Shows the type of fractures, and displacement. The x-ray should include the hip and knee and x-ray of pelvis to avoid missing segmental fractures, knee injuries, fractures of neck of femur, dislocation of hip, fractures of acetabulum and pelvis.
.


Lower limb


Lower limb




Lower limb


Lower limb

Emergency treatment :

Traction with a splint (Thomas’ splint) is first aid for a patient with a femoral shaft fracture, Shock treatment, and early transport to hospital.

Thomas splint

Lower limb





Lower limb




Lower limb

Open fractures treated by debridement and external fixation.

Lower limb

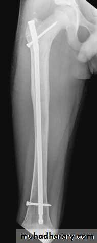
Definitive treatment

closed fractures: by Open reduction and internal fixation, this will decrease the systemic complications.

.

Fixation of femoral shaft fracture

Lower limb



Lower limb


Lower limb




Lower limb


Exercises for the lower leg and foot are important in preserving muscle tone and in preventing deformity and they should be begin immediately

Conservative treatment:

Reduction and holding by traction,
( fixed traction, balanced traction with or without splint followed by exercise) rarely applied.

Lower limb

COMPLICATIONS

Early complications:
1- Shock & blood loss (1-2 litres lost even in closed fractures)
2- Fat embolism and acute respiratory distress syndrome ( formation of fat globules in blood or showering of fatty emboli from the marrow to the lungs)



Lower limb




Lower limb




Lower limb


3- Deep vein thrombosis and pulmonary embolism ( specially with prolonged traction in bed).


Lower limb




Lower limb

4- Infection (in open fractures) and skin damage.


Late complications:
1- Delayed union
and
non-union need rigid fixation and bone graft .
Lower limb




Lower limb



2- Malunion (Fractures treated by traction and bracing often develop some deformity; no more than 15 degrees of angulations or rotation should be accepted)

3- Joint stiffness (specially knee joint, may be injured at the same time or adhesions during treatment)

Lower limb

Supracondylar fractures of the femur

Typically the fracture occurs just proximally to the point where the medial and lateral cortices of the femur flare out to form condyles. In young it follow sever trauma and in old follow osteoporosis.



Lower limb


A vertical extension of the fracture may split the two condyles apart in a T – shaped fracture line, and sometime there is more extensive comminuation.

Clinically :

pain and deformity in lower thigh after trauma.
Knee is swollen and distal pulses should be palpated.
It may injured the popliteal artery and nerves.

pain and deformity in lower thigh after trauma.

Knee is swollen and distal pulses should be palpated.
It may injured the popliteal artery and nerves.

Treatment :

Lower limb



These fractures can sometimes be treated successfully by traction through the upper tibia in young, followed by cast brace.

In old internal fixation is often preferable and the patient can get out of bed sooner (dynamic condylar screw and plate) .



Lower limb

dynamic condylar screw and plate

Supracondylar fracture with its fixation by L – plate and screws
Lower limb


Lower limb

Complications

popliteal vessels injuries.
nerve injury (common peroneal nerve).
Malunion.
delayed union .
and stiffness of knee.


Lower limb


Deformities of the knee joint

In normal adult the knee are in 5-7 degree valgus ; any deviation from this may regarded as deformity .

The three common deformities are :

1- bow leg deformity (genu varum) .

2- knock knee (genu valgum) .

3- hyper extension(genu recurvatum) .

Causes of knee deformities:

1- physiological.
2- ricketic.
3- idiopathic.
4-osteoarthritis.
5- rheumatoid arthritis.

6-mal united fractures around the knee.

7-infections (osteomyelitis or septic arthritis).
8- Blount`s disease.
9- endocrinal e. g hypopituitarism.
10- Paget's disease.


Bow legs & knock knee

in babies are so common that are consider to be normal stage of development (physiological) ; in addition to this , rickets may play a role in developing these deformities physiological or renal rickets .

Bilateral bow leg

Lower limb

Measurement :

: distance between the femoral condyles with the legs held in full extension , and the heel touching ; it should be
less than 6 cm .

Knock knee

Lower limb

The distance between the medial malleoli when the knee are held touching; it is usually

less than 8 cm .

When the cause of the deformity is physiological .

it will be corrected spontaneously .



Lower limb

And when caused by rickets it will be corrected by treating the rickets .

Lower limb


Surgical correction is indicated after this age by stapling or osteotomy usually after the age of 10 .

Lower limb


Lower limb

BLOUNT’S DISEASE

It is progressive bow leg deformity due to abnormal growth of the posteromedial part of the proximal tibia epiphysis , which is some time fragmented ;
the metaphysis is some what beak shape .


The deformity is usually bilateral and it is progressive .

The treatment is by corrective osteotomy .

Lower limb

PATELLO-FEMORAL PAINSYNDROME (CHONDROMALACIAOF THE PATELLA

pain and tenderness in the anterior part of the knee.

This syndrome is common among active adolescents and young adults.

It is often (but not invariably) associated with softening and fibrillation of the articular surface of the patella (chondromalacia patellae) .

Treatment : conservative : by physiotherapy, analgesic anti inflammatory drugs.

Acute knee swelling


Causes :
1 – haemoarthrosis .
2 – traumatic synovitis .
3 – acute septic arthritis .
4 – aseptic non traumatic synovitis .

Haemoarthrosis

Swelling immediately after the injury mean blood inside the joint .
The knee is very painful and it feel warm, tense and tender …. Later there may be doughy feel .


Lower limb

X-ray : important to detect any fracture .

Treatment: aspiration under aseptic condition , crepe bandage and back slab , quadriceps ex. Start from the beginning .

Traumatic synovitis

Injury stimulate reactive synovitis ,
typically the swelling appear only after some hours and subside spontaneously over a period of days .


The knee may need to be splinted for several days , quadriceps ex.

Some time if fluid amount is large , it need aspiration .

Aseptic non traumatic synovitis

Acute swelling without history of trauma or sign of infection , suggest gout or pseudo gout .

Aspiration from the joint show turbid fluid resembling pus but it is sterile

Microscopic ex. By polarized microscope show crystals .
Treatment : by anti inflammatory drugs



Lower limb

Chronic swelling of knee

Causes :
1 – T.B.
2 – Rheumatoid arthritis .
3 – Osteoarthritis .


Bursitis around the knee

1- Prepatellar bursitis( house maid’s knee).

Lower limb

It is uninfected bursitis .

not due to pressure , but to constant friction between skin and patella ;

it is seen in carpet layers and miners .

Swelling is well circumscribed and fluctuant , joint is normal .

Treatment

Lower limb

avoid kneeling

bandaging , occasionally aspiration;

and in chronic case excision .

2- INFRAPATELLAR BURSITIS(clergyman’s knee) .
Lower limb



The swelling is superficial to infrapatellar tendon (more distal to prepatellar bursitis) .

Gout may play a role in developing this type of bursa .

Treatment :the same as the prepatellar bursitis

Semi membranous bursa

Lower limb


Normally there is bursa between the semimembranosus muscle and the medial head of the gastrocnemius muscle

This bursa may become enlarged and

the patient presented with
painless lump behind the knee slightly to the medial side of the midline

The joint is normal

Treatment :
The bursa may disappear spontaneously , if not and there is pain then

excision should be done .


Differential diagnosis
Lower limb

1- popliteal cyst .

Popliteal cyst
This type of cyst is follow synovial rupture or herniation so the joint is abnormal ;
it may be osteoarthritis then the term BAKER’S CYST is applied or more commonly
rheumatoid in origin .

Usually the cyst is in the midline of the popliteal fossa .

Treatment :
Lower limb

it is the treatment of the underlying causes ;

aspiration and injection of methylprednisolone is helpful .
Excision is not advisable because recurrence is high , unless the underlying cause is treated

2. Popliteal aneurysm

Lower limb



Lower limb

Osgood-schlatter’s disease

Apophysitis’of the tibia tubercle

It is a common disorder in which the

Tibia tubercle in adolescence become painful and swollen .
It is also called osteochondritis of the upper tibia apophysis or apophysitis .

It is traction injury of the apophysis into which part of the patellar tendon is inserted .

It could be unilateral or bilateral

Lower limb


Lower limb





Lower limb

clinically

Young adolescent complains of
pain after activity
and of a lump.
The lump is tender and it’s situation over
the tibia apophysis is diagnostic .

X-ray

Lower limb

: show fragmentation of the apophysis.

Spontaneous recovery is usual but it take a time ; restriction of certain activities like cycling and soccer is advisable ;
if no response then immobilization by p.o.p; if it

is more sever then surgery is indicated

Lower limb


Knee injuries

Knee joint (anatomical view)
Lower limb

Dislocation of the patella

Because the knee is normally angled in slight valgus, there is a natural tendency for the patella to pull towards the lateral side when the quadriceps muscle contractd laterally by violence.

Mechanism of injury :

Lower limb


sudden, severe contraction of the quadriceps muscle while the knee is stretched in valgus and external rotation.
Patients with joint hypermobility, valgus knee, muscle and joint abnormalities prone to this injury.


Lower limb


Lower limb


Clinically :

Lower limb

The knee collapses and patient fall on ground.


Patella can be felt on outer side of knee or the patella springs back into position spontaneously.

The X- ray

Lower limb

shows dislocation of patella laterally and associated fractures if present.

Treatment :
Lower limb


In most cases the patella can be pushed back into place without much difficulty and anaesthesia is not always necessary.

A plaster slab is applied with the knee in extension for 3 weeks and quadriceps exercises.



Lower limb


However, if there is much bruising, swelling and tenderness medially, the patellofemoral ligaments and retinacular tissues are probably torn and immediate operative repair will reduce the likelihood of later recurrent dislocation.

Complication

Lower limb

Recurrences.

Fractures of patella


Lower limb

it can be caused either by:

A- direct force :lead to undisplaced crack or comminuted fracture and here the extensor expansion usually remain intact (the patient can elevate straight leg).

Lower limb





Lower limb

B- indirect force :

lead to transverse fracture with gap between the fragments Caused by resisted extension
( sudden contraction of the quadriceps muscle against resistant ).

Associated with tears of collateral extensor expansions and failure of extensor mechanism (patient cannot elevate leg straight).

Lower limb

Treatment :

Lower limb

For the fractures caused by direct force :

In undisplaced or minimally displaced fractures
The treatment is by p.o.p cylinder holding the knee straight should be applied for 3–4 weeks.
during this time quadriceps exercises are to be practised, haemoarthrosis should be aspirated. Severely comminuted and

displaced fracture

Lower limb



treated by
internal fixation or delayed patellectomy.


Lower limb


Lower limb

Internal fixation

Lower limb

Indirect force:

Lower limb

Operation is essential.

Through a longitudinal incision the fracture is exposed and the patella repaired by the tension-band principle .
The tears in the extensor expansions are then repaired.


Lower limb




Lower limb

Knee dislocation

The knee can be dislocated only by considerable violence, as in a road accident.

The cruciate ligaments

and one or both lateral ligaments are torn.

There is sever swelling ,

bruises
and knee deformity.

The circulation and sensation in foot must be examined

to exclude popliteal vessels and nerve injuries
Lower limb



Lower limb

Treatment :

Lower limb

URGENT reduction by closed or open reduction

followed by

splinting the knee in 15 degrees flexion for 12 weeks and

physiotherapy.

Repeated check of circulation is essential,

If the joint is unstable anterior external fixator applied.


Lower limb


If there is open wound or vascular injury the opportunity is taken to repair the ligaments and capsule.


When swelling subsides, a cast is applied for 12 weeks.

Quadriceps exercises encouraged from the start, and knee range of motion exercises after plaster removal.

Complications:

Early complications are

arterial injures and nerve injuries.

Late complication

are chronic instability.

Lower limb


Lower limb




Lower limb


Meniscus injury

Lower limb


Meniscus injury are common in young adult especially football players, result froma twisting of semi-flexed or flexed knee.


Lower limb

The medial meniscus torn more than lateral meniscus.

Lower limb

The tear might affect the anterior or posterior horn of meniscus

as pedunculated tag ,

or as bucket handle, sometimes


horizontal tears

or degeneration might occur.

Lower limb

Patients give

history of trauma,
pain,
inability to extend knee
and delayed swelling of knee.

Locking
(in ability to fully extend the knee).
and unlocking are common feature of meniscus injury .

Diagnosis of meniscus

Lower limb

injury depend on


classical history

and clinical finding

By
Mcmurray test.



Lower limb



MRI
Lower limb

is reliable method of diagnosis,

Arthroscopy
Lower limb

can be used to confirm the diagnosis.

.


Lower limb


Lower limb

Treatment

Lower limb

of choice is to remove the teared segment of meniscus arthroscopically.

Arthroscopic repair used for peripheral lesions

Injuries of the tibia

Tibial plateau fractures:
Lower limb

Direct blow or fall from height may cause fracture of one tibial condyle or both.


Lower limb

Fracture lateral condyle is the commonest named as bumper fracture

caused by a force that abducts the tibia upon femur while the foot is fixed on ground.

Patient usually is an adult, the knee joint is swollen, bruises, there is diffuse tenderness and doughy feel of haemarthrosis.

ligaments injuries must be excluded.

Lower limb

Imaging : X-ray

Lower limb

: anteroposterior, lateral & oblique views.

CT -Scan may used to detect amount of depression and comminuation.


Tibial plateau fracture
Lower limb


Lower limb


Lower limb


Lower limb

Treatment:

Lower limb

Undisplaced fractures

treated conservatively:

Haemarthrosis aspiration and compression bandaging,

above knee cast for one months



Lower limb

followed by functional brace and physiotherapy.

For displaced fractures
Lower limb

treatment is by open reduction and internal fixation with

plate and screws as it is an intra articular fracture.

fixation of tibial plateau fracture

Lower limb


Lower limb


Lower limb

Complications :

Lower limb



1- Vascular injuries and nerve injuries.

2- Compartment syndrome (specially with severe condylar fractures).

3- Joint stiffness (prevented by early range of motion exercises).


Lower limb

4- Deformity

(Varus or Valgus), Valgus deformity are common complication.

5- Secondary osteoarthritis (due to residual depression, knee deformity or ligament instability) .



Lower limb


Lower limb





رفعت المحاضرة من قبل: Abdalmalik Abdullateef
المشاهدات: لقد قام 8 أعضاء و 202 زائراً بقراءة هذه المحاضرة








تسجيل دخول

أو
عبر الحساب الاعتيادي
الرجاء كتابة البريد الالكتروني بشكل صحيح
الرجاء كتابة كلمة المرور
لست عضواً في موقع محاضراتي؟
اضغط هنا للتسجيل