قراءة
عرض



hepatobiliary



hepatobiliary



hepatobiliary



hepatobiliary



hepatobiliary




hepatobiliary




hepatobiliary

• GALL BLADDER

hepatobiliary

•  The gall bladder is:

•  Pear shaped, 7.5 – 12 cm
• long
•  30 to 50 mL capacity
•  Fundus, body, neck, and
• infandibulum
•  The cystic duct:
•  3cm in length
•  1-3 mm in diameter
•  Valves of Heister
hepatobiliary




hepatobiliary



hepatobiliary



hepatobiliary



hepatobiliary




hepatobiliary




hepatobiliary

• a RHD b LHD c CHD

• d PV e HAP f GDA h CBD
l CD
• k Neck GB
• j Body
• i fundus
• m CA



hepatobiliary



hepatobiliary



hepatobiliary



hepatobiliary

• The common hepatic duct:

• 2.5 cm in length
• Union of R & L hepatic
• ducts
• The common bile duct:
• 7.5cm in length
• Union of cystic and CHD
• 4 parts;
hepatobiliary




hepatobiliary



hepatobiliary



hepatobiliary




hepatobiliary




hepatobiliary



hepatobiliary




hepatobiliary



hepatobiliary

• Blood supply of gall bladder:

• The cystic artery a branch of
• R hepatic artery
• Accessory CA from GD art.
• In 15% RHA anterior to CHD
hepatobiliary



hepatobiliary



hepatobiliary



hepatobiliary





hepatobiliary




hepatobiliary



hepatobiliary



hepatobiliary



hepatobiliary

• Toutuous RHA and short CA, Caterpillar turn or Moynihan’s hump.

•  Lymphatics:
•  Subserosal and submucus lymphatics to the cystic LN of
• Lund hilum of liver coeliac LN
•  Subserosal lymphatics to subcapsular lymphatics of liver



hepatobiliary



hepatobiliary

• SURGICAL PHYSIOLOGY

•  Bile:
•  40ml hour
•  97% water
•  Bile salts 1-2%, bile pigments 1%, cholestrol, and fatty
• acids
•  Functions of gall bladder:
•  Reservoir
•  Concentration of bile, 5 - 10 times
•  Secretion of mucus– 20ml/day


hepatobiliary




hepatobiliary



hepatobiliary



hepatobiliary

•  Ultrasound; stones and size

•  Plain radiograph; calcification
•  MRCP; anatomy and stones
•  CT scan; cancer and anatomy
•  HIDA scan; function
•  ERCP; stones, and strictures
hepatobiliary



hepatobiliary





hepatobiliary

•  Ultrasonography:

•  Non-invasive
•  Standard initial imaging for patient suspected to
• have a gall stone and in jaundiced patients.
hepatobiliary



hepatobiliary

•  Ultrasonography:can demonstrate

•  Gall stones
•  GB size, thickness of its wall, presence of inflammation around it, pericystic edema.
•  Size of CBD, occasionally stones in it.
•  Tumour of pancreas.
•  Endoscopic ultrasound;
•  Stone and obstruction
• of lower CBD
hepatobiliary




hepatobiliary



hepatobiliary




hepatobiliary

•  Plain radiogaph:

•  Radiopaque gall stones in 10%
•  Porcelain GB.. calcified GB..25% CA.
•  Limey bile
•  Gas in the wall, emphysematous cholecystitis
•  Gas in the biliary tree;
•  Endoscopic sphincterotomy
•  Surgical bilio-enteric anastomsis
•  Internal biliary fistula
hepatobiliary




hepatobiliary



hepatobiliary




hepatobiliary



hepatobiliary



hepatobiliary



hepatobiliary

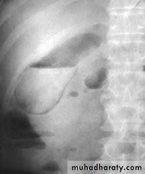
• Porcelain GB

hepatobiliary


• Gas in gall bladder

• f
•  Oral cholecystography
•  Once was of first choice in the dx o gall stones
•  Intravenous cholangiography
hepatobiliary



hepatobiliary



hepatobiliary




hepatobiliary

•  Radioisotope scanning:

•  Tc 99m labelled with derivatives of iminodiactic
• acid (HIDA, PIPIDA), that are excreted in the bile.
• Dx of acute cholecystitis GB not visulized
• Bile Leakage, assessment
hepatobiliary




hepatobiliary

• Dimethyl iminodiacetic acid (HIDA) scan.

hepatobiliary



hepatobiliary



hepatobiliary



hepatobiliary



hepatobiliary


• INVESTIGATIONS OF THE BILIARY TRACT

•  Computerized Tomography scan;
•  limited usefulness in investigating the biliary tree
•  Only when there is a possibility of cancer of gall bladder or bile ducts
•  Use of CT scan is an integral part of the differential
• diagnosis of obstructive jaundice


hepatobiliary



hepatobiliary

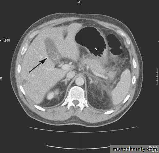
• CT SCAN

hepatobiliary

• Computed tomography scan demonstrating a gallstone

• within the gall bladder (arrowed).


•  Magnetic Resonance Cholangiopancreatograph:
• (MRCP)
•  Standard for biliary tree investigation
•  Contrast is not needed


hepatobiliary



hepatobiliary

• MRCP

hepatobiliary



hepatobiliary

• Magnetic resonance cholangio- pancreatography crosssectional

• image demonstrating a hilar mass (thick
• arrow) and gallstones (thin arrow)



hepatobiliary



hepatobiliary



hepatobiliary



hepatobiliary



hepatobiliary

• ENDOSCOPIC RETROGRADE

• CHOLANGIOPANREATOGRAPHY (ERCP)
•  Side veiwing endoscopie
•  Cannulation of ampulla of Vater
•  Injection of contrast to visualize the bile
• ducts
•  Also bile can be taken for cytological and
• microbiological tests
•  Brushings from strictures



hepatobiliary



hepatobiliary

• ERCP

hepatobiliary



hepatobiliary




hepatobiliary



hepatobiliary




hepatobiliary



hepatobiliary



hepatobiliary



hepatobiliary



hepatobiliary



hepatobiliary

• PERCUTANEOUS TRANSHEPATIC

• CHOLANGOGRAPHY (PTC):
• Preparation;
•  Normal PT
•  Antibiotics
• DX and therapy;
• Visulization of biliary tree
• Placement of; catheter
• Stenting
• choledochoscope



hepatobiliary



hepatobiliary



hepatobiliary



hepatobiliary



hepatobiliary

• PTC

hepatobiliary



hepatobiliary


•  Peroperative cholangiography

hepatobiliary

•  Operative biliary endoscopy (choledochoscopy)

hepatobiliary



hepatobiliary



hepatobiliary



hepatobiliary



hepatobiliary




hepatobiliary



hepatobiliary



hepatobiliary

• DISEASES OF GALL BLADDER AND BILIARY

• PASSAGES

•  Congenital

•  Acquired
hepatobiliary




hepatobiliary




hepatobiliary

• CONGENITAL ABNORMALITIES OF THE GB AND BILIARY TREE

•  Absence of GB
•  The phrygian cap
•  Floating GB
•  Double GB
•  Absence of CD
•  Low insertion of CD
•  An accessory cholecystohepatic duct ( small ducts of
Luschka)


hepatobiliary



hepatobiliary




hepatobiliary



hepatobiliary



hepatobiliary



hepatobiliary

• EXTRAHEPATIC BILIARY ATRESIA

•  Aetiology and pathology:
•  1 per 14000 live birth
•  Equal and female
•  If untreated the child dies before the age of 3 years
•  20% associated anomalies, cardiac, situs inversus, absent vena cava

•  Classification:

•  Type I: atresia restricted to the CBD
•  Type II: atresia of the CHD
•  Type III: atresia of the right and left HD
hepatobiliary


•  Clinical features:

•  1/3 jaundiced at birth
•  All jaundiced by the end of first week
•  Meconium little bile stained
•  Pale stool and dark urine
•  Osteomalacia
•  Pruritis
•  Clubbing, skin xanthoma

•  Diff. Dx.:

•  Alpha 1 antitrypsin deficiency
•  Choledochal cyst
•  Inspissated bile syndrome
•  Neonatal hepatitis

•  Traetment:

•  Roux-en Y anastomosis
•  Kasai procedure



hepatobiliary



hepatobiliary



hepatobiliary



hepatobiliary

• CHOLEDOCHAL CYST

•  Weaknes of part or whole of the wall of the
• CBD
•  Anomalous junction of the biliary pancreatic junction;
•  High amylase
•  Repeated attacks of panreatitis

•  Clinical features: premalignant

•  At any age, Attacks of;
•  juandice
•  Cholangitis
•  Swelling in the right hypochondrium
•  US –abnormal cyst
•  MRI– clear anatomy


•  Treatment:
•  Radical excision of the cyst and reconstruction of
• the biliary tract using Roux en Y jejunal loop


hepatobiliary



hepatobiliary

• TRAUMA

•  Iatrogenic
•  Accidental, is rare, penetrating or crushing
•  Presentation of acute abdomen

•  Treatment:

•  GB—cholecystectomy
•  Bile ducts:
• Drainage using T tube
• –Roux-en-Y



hepatobiliary



hepatobiliary



hepatobiliary

• GALL STONES (CHOLELITHIASIS)

•  Most common pathology
•  Affecting about 10–15% of the adult population.
•  Mostly asymptomatic in >80%
•  Cholecystectomy is one of the most common operations
• performed by general surgeons.
hepatobiliary




hepatobiliary




hepatobiliary



hepatobiliary



hepatobiliary

• AETIOLOGY OF GALLSTONES

•  Metabolic
•  Infective
•  Stasis


hepatobiliary



hepatobiliary


• RISK FACTORS ASSOCIATED WITH FORMATION OF GALL STONES

•  Age > 50 years
•  Female sex (twice risk in men)
•  Genetic or ethnic variation
•  High fat, low fibre diet
•  Obesity
•  Pregnancy (risk increases with number of pregnancies)
•  Hyperlipidaemia
•  Bile salt loss (ileal disease or resection)
•  Diabetes mellitus
•  Cystic fibrosis
•  Antihyperlipidaemic drugs (clofibrate)
•  Gallbladder dysmotility
•  Prolonged fasting
•  Total parenteral nutrition


hepatobiliary




hepatobiliary

• TYPES OF GALL STONES:

• Cholesterol

• Pigment stones

• Mixed stones


hepatobiliary



hepatobiliary

• CHOLESTEROL STONES

• Contain mainly pure cholesterol
• •Mostly single ( cholesterol solitaire)
• •Obesity,
• •high-calorie diets
• •certain medications



hepatobiliary



hepatobiliary

• PIGMENT STONES:

•  Black stones
•  Contents:
• insoluble bilirubin pigment polymer mixed with calcium
• phosphate and calcium bicarbonate.
• < 30% cholesterol
•  Hemolysis;
•  Hereditary spherocytosis
•  Sickle cell anaemia


hepatobiliary




hepatobiliary

• PIGMENT STONES:

• Brown stones:
•  calcium bilirubinate, calcium palmitate and calcium
• stearate, as well as cholesterol
•  form in the bile duct and are related to bile stasis and
• infected bile.


hepatobiliary



hepatobiliary

• MIXED STONES:

•  Cholesterol major component
•  Ca bilirubinate, Ca palmitate, Ca carbonate, Ca
• phosphate, and proteins
•  Account for 90%
•  Multiple
•  Faceted



hepatobiliary



hepatobiliary



hepatobiliary



hepatobiliary




hepatobiliary



hepatobiliary

• INCIDENCE OF GALL STONES

•  Female
•  Fat
•  Fertile
•  Fifty
•  Flatulent



hepatobiliary



hepatobiliary



hepatobiliary



hepatobiliary



hepatobiliary

• CAUSAL FACTORS IN GALL STONE FORMATION

•  Metabolic
•  Infective
•  Stasis


• Metabolic:
• Cholesterol
• Bile salts
• Phospholipid

•  High cholesterol “Supersaturated” or

• “lithogenic” bile
•  Aging
•  Female contraceptives
•  Obesity
•  Clofibrate
•  Interruption of enterohepatic circulation of bile salts
lead to low bile salts.

• Infection:

• mucus plug as nidus
•  Unclear
•  Radiolucent centre of stone
• for stone formation
• unconjugated insoluble
•  B glucuronidase
• bilirubin.


•  Bile stasis:
•  Decrease contractility of gall bladder
•  Estrogen in pregnancy
•  Parenteral nutrition
•  Truncal vagatomy


hepatobiliary



hepatobiliary

• EFFECTS AND COMPLICATIONS OF GALL STONES

•  In the GB:
•  Silent up to 80%
•  Chronic cholecystitis
•  Acute cholecystitis
• Gangrene
• Perforation
• Empyema
•  Mucocele
•  carcinoma


•  In the bile ducts:
•  Obstructive jaundice
•  Cholangitis
•  Acute panreatitis
•  In the intestine:
•  Acute intestinal obstruction ( gall stone ileus)


hepatobiliary



hepatobiliary



hepatobiliary

•  Acute cholecystitis

•  Biliary Colics
•  Chronic cholecystitis
hepatobiliary




hepatobiliary




hepatobiliary



hepatobiliary

• ACUTE CHOLECYSTITIS

•  Right hypochondrial pain
•  Radiate to back, chest
•  Referred right shoulder pain
•  Occ. Start at epigastrium or left subcostal
•  Start at night

•  Other symptoms;

•  Dyspeptic symptoms
•  Vomiting
•  fever



hepatobiliary

• ACUTE CHOLECYSTITIS

• BILIARY COLIC
•  Several hours to few days
•  Fever
•  leucocytosis
•  Few minutes to few hours
•  No fever
•  No Leucocytosis


hepatobiliary



hepatobiliary

• DIFFERENTIAL DX

•  Common:
•  Appendicitis
•  Perforated peptic ulcer
•  Acute pancreatitis
•  Uncommon:
•  Acute pyelonephritis
•  MI
•  Pneumonia, right lower lobe



hepatobiliary



hepatobiliary

• DIAGNOSIS

•  Physical examination:
•  Murphy’s sign
•  Palpable tender gall bladder.


hepatobiliary



hepatobiliary

• DIAGNOSIS

•  Ultrasound
•  Liver function test
•  Bilirubin
•  WBC
• pneumonia ,air under diaphragm
•  CXR
•  ECG
•  GUE and urine culture



hepatobiliary



hepatobiliary

• TREATMENT

•  Conservative
•  Urgent cholecystectomy
•  Early cholecystectomy
•  Elective cholecystectomy


hepatobiliary



hepatobiliary



hepatobiliary




hepatobiliary



hepatobiliary



hepatobiliary

• CONSERVATIVE TREATMENT

• IV fluids
•  NPO with
•  NG tube
•  Analgesia
•  Antibiotics
•  Follow up


hepatobiliary




hepatobiliary

• CONSERVATIVE TREATMENT

•  90% respond to conservative treatment.
•  Subsequent treatment:
•  Early cholecystectomy next op. list 5-7 days
•  Elective cholecystectomy 6 weeks


hepatobiliary



hepatobiliary



hepatobiliary

• URGENT CHOLECYSTECTOMY


• •Increasing:
• •pain and tenderness
• •pulse and temperature
• •leucocytosis

• When to stop conservative treatment:

hepatobiliary



hepatobiliary



hepatobiliary

• Conservative treatment is not advised

• •Uncertinity about the dx



hepatobiliary



hepatobiliary

• EMPYEMA OF THE GALL BLADDER

•  Pus filled gall bladder
•  A sequel to acute cholecystitis or Mucocele
•  Treatment:
•  Cholecystectomy
•  Disturbed anatomy---- drainage (Cholecystostomy)
• later cholecystectomy

•  Acalculous cholecystitis

•  Acute or chronic
•  Dx by:
•  Radioisotope in acute cholecystitis
•  Acute acalculous can occur in patients after major
• surgery, trauma, burn



hepatobiliary



hepatobiliary

• CHOLECYSTECTOMY

•  Indications
•  Preperation
•  procedure


hepatobiliary



hepatobiliary

• CHOLECYSTECTOMY

•  Indications
•  Symptomatic cholelithiasis
•  Trauma
•  Part of other operation -----Whipple’s procedure
•  Neoplasia of Gall Bladder



hepatobiliary



hepatobiliary



hepatobiliary

•  Preparation for operation

•  ■ Full blood count
•  ■ Renal profile and liver function tests
•  ■ Prothrombin time
•  ■ Chest X-ray and electrocardiogram (if over 45
• years or medically indicated)
•  ■ Antibiotic prophylaxis
•  ■ Deep vein thrombosis prophylaxis
•  ■ Informed consent



hepatobiliary



hepatobiliary



hepatobiliary



hepatobiliary



hepatobiliary

• CHOLECYSTECTOMY

Laparoscopic
cholecystectomy
Open
• colecystectomy
• •Gold standard
hepatobiliary





hepatobiliary



hepatobiliary



hepatobiliary

• COMPLICATIONS OF CHOLECYSTECTOMY

•  Inraoperative:
•  Biliary injuries
•  Iatrogenic injuries to near by organs
•  Bleeding.
•  Early postoperative:
•  CBD obstruction------------Jaundice
•  CBD injury --------------Collection , Biliary peritonitis
•  Bleeding ---------------Local hematoma, Shock
•  Missed stone in CBD



hepatobiliary



hepatobiliary



hepatobiliary

• COMPLICATIONS OF LAPAROSCOPIC

• CHOLECYSTECTOMY

• access complications

• bile duct injuries

•  Biliary injury:

•  Bile leakage
• Local collection or excessive bile drainage if drain is present
• Biliary peritonitis



hepatobiliary



hepatobiliary



hepatobiliary

• PAIN AFTER CHOLECYSTECTOMY

•  Causes:
•  Incorrect preoperative diagnosis - for example, irritable bowel syndrome, peptic ulcer, gastro.oesophageal reflux
•  Retained stone in the CBD or CD stump
•  Iatrogenic biliary injury
•  stricture of common bile duct
•  Papillary stenosis or dysfunctional sphincter of Oddi


hepatobiliary




hepatobiliary

• ALTERNATIVE TREATMENT

•  Criteria for non-surgical treatment of gall stones
•  Cholesterol stones < 20 mm in diameter
•  Fewer than 4 stones
•  Functioning gall bladder
•  Patent cystic duct
•  Mild symptoms


hepatobiliary



hepatobiliary

• SUMMARY POINTS

•  Gall stones are the commonest cause for emergency hospital
• admission with abdominal pain
•  Laparoscopic cholecystectomy has become the treatment of choice for gallbladder stones
•  Risk of bile duct injury with laparoscopic cholecystectomy is
• around 0.2%
•  Asymptomatic gall stones do not require treatment
•  Cholangitis requires urgent treatment with antibiotics and biliary decompression by endoscopic retrograde cholangiopancreatography



hepatobiliary



hepatobiliary

• OBSTRUCTIVE JAUNDICE

 Attributed to CBD obstruction
•  Stone in CBD
•  Carcinoma of CBD
•  Tumor of head of pancreas
•  FB inside the CBD
•  Paracitic


hepatobiliary



hepatobiliary




hepatobiliary

• MANAGEMENT OF CBD OBSTRUCDTION

 Following cholecystectomy
•  Jaundice ---- immediate action
•  Ultrasound
 Dilatation
•  Collection at porta hepatis
•  Biochemical investigations

•  Immediate MRCP:

•  If stone detected endoscopic extraction(ERCP)
•  If CBD obstruction --- surgery
•  If bile leakage :
•  Percutaneous drainage
•  Stenting


hepatobiliary




hepatobiliary

• STONES IN THE CBD

•  Several years after cholecystectomy
•  CBD infestation by Ascaris lumbricoides or
• clinorchis sinensis


hepatobiliary



hepatobiliary

• STONES IN THE CBD

 Clinical presentation:
•  Asymptomatic
•  Jaundice
•  Cholangitis ( Charcoat triad )
• Fever and rigor
• Jaundice
• Pain



hepatobiliary



hepatobiliary

• STONES IN THE CBD

•  Signs:
•  Tenderness upper abdomen and RUQ


hepatobiliary



hepatobiliary

• STONES IN THE CBD

 Management:
•  Dx
•  Ultrasound
•  Liver function test
•  Liver biopsy
•  MRCP
•  ERCP



hepatobiliary



hepatobiliary

• STONES IN THE CBD

•  Resuscitaion
•  Relief of obstruction


hepatobiliary



hepatobiliary

• STONES IN THE CBD

•  Resuscitaion
•  Rehydration
•  Broad spectrum Antibiotics
•  Attention to clotting Vit K



hepatobiliary



hepatobiliary

• STONES IN THE CBD

•  Relief of obstruction
•  Endoscopic sphincterotomy
•  Extraction of stone by Dormia basket or balloon catheter
•  Some times stent placement


hepatobiliary



hepatobiliary

• STONES IN THE CBD

•  Percutaneous transhepatic cholangiography:
•  then drainage
•  Percutaneous choledochoscopy



hepatobiliary



hepatobiliary

• STONES IN THE CBD

•  Surgery:
•  Choledochotomy


hepatobiliary



hepatobiliary

• CHOLEDOCHOTOMY

•  Indications:
•  Preoperative:
• Stone in CBD
• Dilatation of CBD
• History of jaundice
•  Peroperative:
• Palpable stone
• Dilated CBD



hepatobiliary



hepatobiliary

• STRICTURE OF CBD

•  Benign stricture:
•  80% postoperative
•  20% inflammatory
•  Malignant stricture


hepatobiliary



hepatobiliary



hepatobiliary




hepatobiliary



hepatobiliary



hepatobiliary

• CAUSES OF BENIGN BILIARY STRICTURE

•  Congenital
•  ■ Biliary atresia
•  Bile duct injury at surgery
•  ■ Cholecystectomy
•  ■ Choledochotomy
•  ■ Gastrectomy
•  ■ Hepatic resection
•  ■ Transplantation
•  Inflammatory
•  ■ Stones
•  ■ Cholangitis
•  ■ Parasitic
•  ■ Pancreatitis
•  ■ Sclerosing cholangitis
•  ■ Radiotherapy
•  Trauma
•  Idiopathic



hepatobiliary



hepatobiliary

• POSTOPERATIVE STRICTURE

•  Technical error during cholecystectomy
•  Blind control of bleeding in Calot triangle
•  Failure to identify the anatomy at Calot triangle
 Acute inflammation
•  Mirizzi syndrome
•  Short or absent cystic duct
•  Anatomical anomalies


hepatobiliary



hepatobiliary


• POSTOPERATIVE STRICTURE

•  CBD obstruction
• Deeping jaundice
• Partial obstruction delayed jaundice


hepatobiliary



hepatobiliary

• POSTOPERATIVE STRICTURE

•  Radiological investigations:
•  Ultrasound
•  MRCP
•  Cholangiography
•  Through tube
•  PTC
•  ERCP
hepatobiliary





hepatobiliary



hepatobiliary

• POSTOPERATIVE STRICTURE

•  Treatment
•  Supportive
•  Relief of obstruction
•  Temporary:
• ERCP stenting
• Transhepatic external drainage and stenting
•  For strictures of recent onsent:
•  ERCP --- guide wire---- balloon dilatation---stent placement


hepatobiliary




hepatobiliary

• POSTOPERATIVE STRICTURE

•  Definite relief of obstruction:
•  Choledocho-jejunostomy
hepatobiliary

•  Late complications:

• syndrome
•  CBD stricture
•  Stone in CBD
•  Post cholecystectomy pain
•  Wrong preoperative diagnosis
•  Complication of cholecystectomy


hepatobiliary




hepatobiliary



hepatobiliary



hepatobiliary



hepatobiliary



hepatobiliary



hepatobiliary



hepatobiliary


• PARASITIC INFESTATION OF THE

• BILIARYBILIARY TRACT
•  ascariasis
•  The round worm, Ascaris lumbricoides, commonly
• infests the intestine
•  Complications:
•  strictures,
•  suppurative cholangitis,
•  liver abscesses and empyema of the gall bladder


hepatobiliary



hepatobiliary



hepatobiliary




hepatobiliary

• HYDATID DISEASE

•  Jaundice:
•  Cyst near porta hepatis
•  Rupture of cyst into the biliary passages


hepatobiliary



hepatobiliary

• TUMOURS OF THE BILE DUCT

•  Benign tumours of the bile duct:
•  Rare
•  Symptoms not distinguished from common biliary problems



hepatobiliary



hepatobiliary



hepatobiliary

•  Malignant tumours of the bile duct

•  Rare, but incidence increasing
•  Presents with jaundice and weight loss
•  Diagnosis by ultrasound and CT scanning
•  Jaundice relieved by stenting
•  Surgical excision possible in 5%
•  Prognosis poor – 90% mortality in 1 year


hepatobiliary




hepatobiliary



hepatobiliary

•  the tumour is usually an adenocarcinoma

• (cholangiocarcinoma).
• predominantly in the extrahepatic biliary


hepatobiliary



hepatobiliary

• RISK FACTORS

•  ulcerative colitis, hepatolithiasis, choledochal
• cyst ,sclerosing cholangitis.
•  liver fluke infestations in the Far East



hepatobiliary



hepatobiliary

• CLINICAL FEATURES

•  Jaundice
•  Abdominal pain, early satiety
•  weight loss
•  palpable gall bladder


hepatobiliary



hepatobiliary

• INVESTIGATIONS

•  Biochemical investigations
•  tumour marker CA19-9
•  ultrasound and CT scanning define:
•  the level of biliary obstruction
•  the locoregional extent of disease
•  the presence of metastases
•  percutaneous transhepatic cholangiography
•  ERCP



hepatobiliary



hepatobiliary

• TREATMENT

•  Most patients are inoperable, but 10–15% are
• suitable for surgical resection


hepatobiliary



hepatobiliary

• CARCINOMA OF GALL BLADDER

•  Risk factors
•  Comon in india Incidence 9%
•  Gall stones less than 1%
•  90% of Ca GB have gall stones



hepatobiliary



hepatobiliary

• CARCINOMA OF GALL BLADDER

•  Pathology:
•  Schirrous adenocarcinoma
•  Squamous cell
•  Mixed sq adenocarcinoma


hepatobiliary



hepatobiliary

• CARCINOMA OF GALL BLADDER

•  Spread:
•  Direct invading the liver
•  Lymphatics
•  Peritoneal seedlings


•  Clinical features:
•  Mostly elderly 70 years
•  Females more than males 5:1 ratio
•  Same as cholecystitis

•  Suspected during cholecystectomy then preoved by

• histopathology


hepatobiliary



hepatobiliary

• CARCINOMA OF GALL BLADDER

•  Jaundice:
•  Mass in liver
• late sign



hepatobiliary



hepatobiliary

• INVESTIGATION

•  non-specific findings such as anaemia, leucocytosis, mild elevation of transaminases and increased erythrocyte sedimentation
•  rate (ESR) or C-reactive protein (CRP).
•  Elevated CA19-9
•  US and CT scan


hepatobiliary



hepatobiliary



hepatobiliary


•  percutaneous biopsy

•  Laparoscopy


hepatobiliary



hepatobiliary

• CARCINOMA OF GALL BLADDER

•  Treatment:
•  Usually discovered after cholecystectomy and so no further surgical treatment required If tumor confined to mucosa good prognosis
•  transmural disease, a radical en bloc resection of the gall bladder fossa and surrounding liver along with the regional lymph nodes.


hepatobiliary



hepatobiliary




hepatobiliary



hepatobiliary




hepatobiliary



hepatobiliary



hepatobiliary



hepatobiliary



hepatobiliary


• PATHOGENESIS OF STONE FORMATION

•  For cholesterol stones:
•  Supersturation of bile with cholesterol
•  Low bile acid concentration

•  For pigment stones:

•  Usually accompany haemolysis like in:
•  Spherocytosis
•  Sickle cell disease
•  Prosthetic heart valves

•  For mixed(brown) stones:

• insoluble
•  Stasis
•  Infection—beta glucuronidase
• unconjugated bilirubin




رفعت المحاضرة من قبل: Abdalmalik Abdullateef
المشاهدات: لقد قام 11 عضواً و 261 زائراً بقراءة هذه المحاضرة








تسجيل دخول

أو
عبر الحساب الاعتيادي
الرجاء كتابة البريد الالكتروني بشكل صحيح
الرجاء كتابة كلمة المرور
لست عضواً في موقع محاضراتي؟
اضغط هنا للتسجيل