قراءة
عرض

LYMPHATIC DESEASE OF THE NECK

PROFESSOR
NASHWAN Q MAHGOOB
CONSULTANT SURGEON
MOSUL MEDICAL COLLEGE

Lymphatic disease of the neck



The body has approximately 600-800 lymph nodes. Half of the lymph nodes in the neck, they are divided into groups according to anatomical position and to levels.
Lymphatic disease of the neck


Anatomically the neck divided into 4 triangles by medline, trapezeus, sternomastoid and digastric muscles 1- the submental2- the submandibular3- anterior triangle4- posterior triangle
Lymphatic disease of the neck



Level I— the submental and submandibular nodesLevel Ia—the submental nodes.drain the skin of the chin, the mid-lower lip, the tip of the tongue, and the anterior floor of the mouth. Level Ib—the submandibular nodes. Drain the lower nasal cavity, the hard and soft palate, the maxillary and mandibular alveolar ridges, the cheek, the upper and lower lips, and most of the anterior tongue.
Level II—upper jugular chain nodes drain the face, parotid gland, and the submandibular, submental and retropharyngeal nodes, nasal cavity, pharynx, larynx, external auditory ca-nal, middle ear, and from sublingual and submandibular glands.
Level III—middle jugular chain nodes drain the base of the tongue, tonsils, larynx, hypopharynx and thyroid gland.
Level IV—lower jugular chain nodes drain from the hypopharynx, , esophagus, larynx, trachea and thyroid gland.


Level V-posterior triangle nodes drain the occipital and retro-auricular node, parietal and occipital scalp, nasopharynx, the oropharynx and the thyroid gland. Level VI—anterior compartment nodes. composed of the pre-laryngeal, pre-tracheal (delphen LN)and para-tracheal (recurrent laryngeal nerve) nodes drain the anterior floor of mouth, the tip of the tongue, the lower lip,, the glottic and subglottic larynx, the hypopharynx, thyroid glandnd the cervical esophagus.Level VII: contains the mediastinal lymph node drains esophagus
Lymphatic disease of the neck

Neck mass

thyroid
Non thyroid
Lymphatic
non lymphatic
inflammatory
tumour
acute
chronic
solid
cystic
Non specific
specific
Lymphatic disease of the neck


Lymphatic disease of the neck



Lymphatic disease of the neck


Lymphatic disease of the neck



Infection is carried to LN from inflamed focus in head or neck, face, pharynx. larynx, tonsil, ear , nose.
Mo=staph aureus, strept. Pyogens & anaerobe if dental cares.
Condition is more in children.
CLINICALLY :
Beside picture of the cause , there are
LN are enlarged, unilateral, hot, red ,tender, soft or firm& if pus formed, fluctuation +ve. There may be tender red streaks between primary focus & affected LN (Lymphangitis).
COMPLICATIONS:
Spread to more proximal LN.
Spread to nearby tissue
Suppuration (Abscess)
MO remains dormant in LN & flare
up later.
TRAETMENT:
Treat causative agent.
Rest & AB
local heat & review in 48 hours.
Incision & drainage if no response or fluctuation formed.
ACUTE CERVICAL LAYMPHADENITIS:
Lymphatic disease of the neck



Lymphatic disease of the neck

• . ETIOLOGY

• It is due to chronic infection of nearby focus like septic teeth, sinusitis, tonsillitis or adenoiditis.
• Chronic non specific lymphadenitis of post. triangle in children may be due to head pediculosis or rubella.
• Chronic non specific lymphadenitis following incomplete resolution of acute lymphadenitis.
• CLINICALLY The LN are slightly enlarged, mobile, mildly tender & firm or elastic in consistency.
• TREATMENT:
• Treatment of original focus
• Nodes need no treatment.
• Chronic non specific lymphadenitis that persists for more than 3-4 months ;TB or lymphomas must be excluded.
CHRONIC NON SPECIFIC LYMPHADENITS

• It is common in children or young adults.

• Commonest LN are JUGULODIGASTRIC. (level 2)
• The MO reaches them from adenoids & tonsils from infected milk.
• Both human and bovine type of TB MO can be responsible..
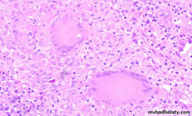
• Pathology: The consequence of events are as follows:
• 1- TB lymphadenitis.
• 2-TB periadenitis involvement of the capsule presented as matted LN.
• 3-Multiple tubercles will form, coalesce, break down to form cold abscess.
• 4-Burst through the deep fascia into subcutaneous space producing collar stud abscess.
• 5- Rupture through skin producing TB sinus or ulcer.
• At any stage ? resolution or calcification or fibrosis may happened.
TUBERCULOUS LYMPHADENITIS (Scrofula or kings Evil)


Resolution calcification fibrosis
Discrete Matting Caseation Abscess Sinus
Lymphatic disease of the neck




Lymphatic disease of the neck

• CLINICALLY:

• General features : fever, night
• sweat, anorexia & weight loss
• The disease is unilateral in 80%
• and limited to single group in
• 80%, may associated with
• pulmonary or renal TB in 20%.
• Stage of lymph adenitis: LN enlarged non tender not warm ,firm or elastic & matted to each other.
• The cold abscess, it is slightly warm
• not tender, connected to underlying caseating LN.
• Fluctuation occur when the abscess burst to the superficial fascia to form collar stud abscess.
• Sinus formation with thin blue margin, undermined edges & thin serous discharge. Healing of sinuses leaves scar.
Lymphatic disease of the neck



Lymphatic disease of the neck


Lymphatic disease of the neck


Lymphatic disease of the neck

• INVESTIGATIONS:

• 1.CXR, CBP & E.S.R, lymhocytosis
• 2.Tuberculine -ve.
• 3.LN biopsy ( T.B Granuloma).
• 4.Aspiration of cold abscess & guinea pig inoculation
• 5.Smears of sinus for AFB.
• TREATMENT:
• IN stage of lymphadenitis :
• Improve general condition
• Anti TB( 9 months)
• Surgical excision of single or group of LN if no response or complications.
• IN cold abscess and sinus:
• Anti TB
• Drainage.
• Excision of underlying LN
Lymphatic disease of the neck



Lymphatic disease of the neck


Lymphatic disease of the neck


Lymphatic disease of the neck

Tumour of lymphatic system in the neck

80% of tumour in the neck LN are secondary mostly from
A- primary in head and neck (85%)
1- oral cavity
2- nasopharynx
3- oropharynx
4-hypopharynx
5- thyroid
B- primary below the clavicle (15%)
1- bronchus
2- esophagus, stomach, colon, pancreas.
3- testes, prostate.
The presence of cervical metastasis decreases the 5-year survival rate in patients by approximately 50%.


• Primary neck LN malignancy represent
• 20% of malignant tumour mostly in form of Lymphomas.
• Usually involve children & young adults.
• More common in male.
• Clinically: Painless progressive enlargement of discrete rubbery LN, may associated with hepato/Splenomegaly with or without constitutional symptom.
Lymphatic disease of the neck



Lymphatic disease of the neck

Character of LN involved by secondary malignant deposit are rapidly enlarged,

hard, irregular shape, fixed, painless and subsequent ulceration to skin.The primary should always searched and managed accordingly.Biopsy or fine needle aspiration are needed
for confirmation of diagnosis.
Image study needed for diagnosis of the primary

. .

Lymphatic disease of the neck


The aim is to fulfill 1-Adequate exposure.2-Capible for extension.3- Cosmetically acceptable4- Not damage vital structure under the skin5- Avoid middle portion of the neck
The classic RND removes levels I to VI of the cervical lymphatics in addition to the sternomastoid muscle, internal jugular vein, the spinal accessory nerve (CN XI) and
submandibular salivary gland.Many incisions has been used
TreatmentThe gold standard treatment for control of cervical metastasis is radical neck dissection (RND) with en-block removal of the primary tumour if feasible
Lymphatic disease of the neck




Any modification of the RND that preserves nonlymphatic structures (i.e., CN XI, SCM muscle, or internal jugular vein) is defined as a modified radical neck dissection (MRND). A neck dissection that preserves lymphatic compartments normally removed as part of a classic RND is termed a selective neck dissection lateral2/3/4 posterolateral 2/3/4/5 or supraomohyoid level1 (SND).
Lymphatic disease of the neck


Lymphatic disease of the neck


Radiotherapy 1-Can be used initially like in nasopharyngeal ca.2- Recurrent nodal disease.3- Residual tumour

Complication of RND

A- Early:
1- Bleeding
2-Pneumothorax
3- Increase intracranial pressure due to ligation of IJV.
4-Chylus fistula due to injury to thoracic duct.
5- Carotid artery rapture.
B-Late:
1- Scar formation and disfiguring
2-Frozen shoulder
3- Recurrence of tumour



Lymphatic disease of the neck

See you later




رفعت المحاضرة من قبل: Abdalmalik Abdullateef
المشاهدات: لقد قام 8 أعضاء و 347 زائراً بقراءة هذه المحاضرة








تسجيل دخول

أو
عبر الحساب الاعتيادي
الرجاء كتابة البريد الالكتروني بشكل صحيح
الرجاء كتابة كلمة المرور
لست عضواً في موقع محاضراتي؟
اضغط هنا للتسجيل