Hospital-acquired Pneumonia
Hospital-acquired pneumonia(HAP)
Pneumonia that occurs at least 2 days after hospital admission.The second most common and the leading cause of death due to hospital-acquired infection.
The risk of HAP is higher in patients admitted to the ICU, especially when mechanically ventilated. HAP occurring in patients on mechanical ventilation is called ventilator-associated pneumonia (VAP).
Aetiology of HAP
Early onset HAP is caused by organisms similar to those causing CAP.Late onset HAP is more often caused by:
• Gram negative bacilli (e.g. E. coli, pseudomonas, enterobactor, klebsiella, acinetobactor and proteus)
• Staphylococcus aureus (including MRSA)
• Anaerobes.
Aetiology of HAP
Factors predisposing to HAP include:
• Reduced immune defense
• Reduced cough reflex and aspiration of nasopharyngeal secretion
• Bacteria introduced to the lower airways
Clinical features of HAP
Although no diagnostic criteria are available, HAP should be considered in any hospitalized (or ventilated) patient who develops any of the following:• Purulent sputum (or endotracheal secretion)
• New radiological infiltrate
• Worsening hypoxaemia (or increasing oxygen requirement)
• Fever (>38.3ºC)
• Leucocytosis or leucopenia
Investigations of HAP
Investigations are similar to CAP, but whenever possible, aetiological confirmation should be sought.In VAP,
endotracheal aspirate
bronchoscope- directed protected brush specimen
bronchoalveolar lavage (BAL) .
Treatment of HAP
The choice of empirical antibiotic coverage should be based on:• Local knowledge of pathogens in the hospital
• Drug resistance pattern
• Recent antibiotic use
• Co-morbidity
Treatment of HAP
Protocol should include 2 antibiotics active against Pseudomonas aeruginosa and 1 antibiotic active against MRSA. This would include:• A β-lactam with anti-pseudomonal activity (ceftazidime, cefepim, piperacillin-tozabactam or meropenem)
• A second agent active against Gram negative bacilli (an aminoglycoside or a quinolone)
• An agent active against MRSA (linezolid or vancomycin)
Antibiotics should be given IV at least initially.
Despite appropriate management, the mortality of HAP is around 30%.
Prevention of HAP
Good hygiene including hand washing and equipment cleansing
Measures to reduce the risk of aspiration (elevation of the head of the patient to 30º - 45º)
Pneumonia in Immunocompromised Patients
Pneumonia in immunocompromised patientsPatients immunocompromised by drug or disease are at high risk of pneumonia.
The majority is caused by the same pathogens that cause pneumonia in immunocompetent individuals
Patients with more severe immunosuppression are at risk of opportunistic infection
Pneumonia in immunocompromised patients(Aetiology)
According to the immunological defect, immunosuppressed patients are at risk of pulmonary infection caused by:Gram negative bacteria (esp. Pseudomonas aeruginosa)
Viruses (CMV and herpes viruses)
Fungi (pneumocystis jirovecii (PCP), candida and aspergillus)
Mycobacteria
Nocardia.
Pneumonia in immunocompromised patients(Clinical features)
Typical features of fever, cough and breathlessness tend to be less specific with more severe degrees of immunosuppression.
Symptom onset is less rapid with opportunistic organisms such as PCP, CMV and mycobacteria than with bacterial pneumonia.
Pneumonia in immunocompromised patients(Investigation)
Most of these patients are too ill to withstand invasive investigations such as bronchoscopy and surgical lung biopsy.Induced sputum is a safe method of obtaining microbiological sample.
High resolution CT (HRCT) can be helpful in minimizing the differential diagnosis:
• Focal opacification favours bacteria, mycobacteria and nocardia
• Bilateral opacification favours PCP, fungi, viruses and nocardia
• Cavitation suggest mycobacteria, fungi and nocardia
• Pleural effusion suggests bacteria
Pneumonia in immunocompromised patients(Treatment)
Treatment is directed to the causative agent if the aetiological diagnosis is confirmedMost often the aetiology is at least initially unknown, and broad spectrum antibiotic coverage is started
The treatment is then tailored according to the results of investigations and clinical response. Accordingly, antifungal, antiviral or anti-pneumocystis drugs can be added.
Mechanical ventilation increases the risk of HAP and is associated with higher mortality. It may be avoided by early use of non-invasive ventilation.
Suppurative pneumonia and lung abscess
Suppurative pneumonia and lung abscessSuppurative pneumonia is characterized by destruction of the lung parenchyma by the inflammatory process with microabscess formation.
Lung (or pulmonary) abscess refers to large collection of pus or a cavity from which pus has escaped by rupture into a bronchus.
Aetiology of lung abscess
• Inhalation (aspiration) of septic materials during dental or ENT surgery, or vomitus under general anaesthesia. Aspiration of oropharyngeal secretions in patients with bulbar or vocal cord palsy, stroke, epilepsy, alcoholism and achalasia.• Bacterial infection of collapsed lobes (caused by tumours or foreign bodies)
• Bacterial infection of pulmonary infarct
• Infection of previously healthy lung by organisms like Staphylococcus aureus and Klebsiella pneumoniae.
• Haematogenous lung abscess in injection drug users in association with endocarditis of the right heart valves
Clinical features of lung abscess
Cough productive of large amount of purulent sputum, which is sometimes fetid (due to anaerobic infection) or blood stainedHigh remittent fever, malaise, fatigue and weight loss (in prolonged cases).
Pleuritic pain is common.
Occasionally, sudden expectoration of copious amounts of foul smelling sputum indicates rupture of the abscess to a bronchus.
Clinical features of lung abscess
Ill-health and fever
Digital clubbing (which may develop in as rapidly as 10 days).
Chest examination may show signs of consolidation (signs of cavitation is rare). Pleural rub is common (due to surrounding lung and pleural inflammation)
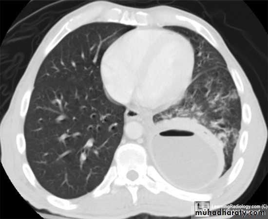
Lung abscess (investigations)
Chest X-ray (and CT scan) shows:homogenous lobar or segmental opacity consistent with consolidation or collapse.
Abscess is characterized by cavitation and fluid level.
Sputum and blood can be sent for culture.
Treatment of lung abscess
Oral Co-amoxiclav 1.2 gm 8 hourly (initially IV in severe cases) is effective. Metronidazole 400 mg 8 hourly can be added (esp. in case of fetid sputum)Clindamycin 600 mg 6 hourly IV (then orally) is an alternative.
Treatment should be continued for 4-6 weeks.
Physiotherapy is of great value.
Surgery is indicated if no improvement occurs on medical therapy and to remove any obstructing lesion
Complications include empyema and residual fibrosis and bronchiectasis.













