Fractures of the talus
Rare, resulted from high energy trauma (fall from height or road traffic accident). The fractures might occur in head, neck, body, or lateral process. Might associated with dislocations of midtarsal, subtalar, ankle joints, or complete talar dislocation. There are pain, sever swelling, deformity and skin tenting which may lead to skin sloughing, and skin laceration sometimes.Imaging: X ray shows the type and severity of fractures and associated injuries , CT scan is of important value, MRI and radioactive isotope might be used.
Fracture talus and fixation
Treatment:
Undisplaced fractures treated by below knee P.O.P in planter flexion for 8-12 weeksDisplaced fractures: closed reduction , if failed open reduction and internal fixation followed by POP for 8-12 weeks. Non weight bearing continue for other 8-10 weeks.
Complications:
1- Skin damage.
2- Avascular necrosis of the body of the talus.
3- Nonunion.
4- Osteoarthritis.
Fractures of calcaneum
In most cases the patient falls from a height, often from a ladder, onto one or both heels. Over 20 per cent of these patients suffer associated injuries of the spine, pelvis or hip.
The fractures might be extra-articular fractures or intra-articular fractures (runs into superior articular surface involving subtalar joint.
Clinical features: There is usually a history of a fall from height or road traffic accident . The foot is painful and swollen and a large bruise appears on the lateral aspect of the heel, after1-2 days ecchymosis spreads into the sole of the foot . The heel may look broad and squat.
Always check for signs of a compartment syndrome of the foot (intense pain, very extensive bruising and diminished sensation, with pain on passive toe movement).
Fracture calcaneum
Fracture calcaneum and associated wedge fracture body of the vertebra
X- ray in lateral and axial view may shows chip, split, or crush fractures, CT sometimes used to assess the fracture details.
Treatment:
Elevation and ice packing till the swelling subsides.
Displaced avulsion or intra-articular fractures needs open reduction and internal fixation followed by elevation and non-weight bearing mobilization for 8 weeks.
Undisplaced fractures need p.o.p immobilization for 4 – 6 weeks followed by pressure bandage with analgesic .
Comolications:
1- Stiffness of subtalar joint and midtarsal joint causing difficulty in walking especially on uneven surfaces.
2- Osteoarthritis.
3- Broadening of the heel: problems in shoe fitting.
Fracture base of 5th metatarsal
This injury is very common, caused by foot torsion. It is nearly always caused by a twisting injury in which the foot is forced into inversion and equines (planter flexion), the styloid process at the base of the 5th metatarsal being pulled off by the tendon of the peroneus brevis muscle, which is inserted into it . There is pain and tenderness over lateral side of foot. It regarded as muscle injury. Treated by pressure bandage and analgesia, if pain sever a below-knee walking plaster for 3 weeks.
Fracture base of 5th metatarsal
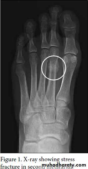
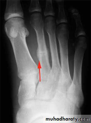
Metatarsal stress fracture ( March fracture)
Young adult (a military recruit or a nurse) or osteoporotic women affected usually, the foot may become painful and slightly swollen after overuse. A tender lump is palpable just distal to the midshaft of a metatarsal bone (usually the second metatarsal) .X-ray appearance may at first be normal but a radioisotope scan will show an area of intense activity in the bone. Later a hairline crack may be visible and later on a callus. No displacement occurs and neither reduction nor splintage is necessary. The forefoot may be supported with an elastic bandage and normal walking is encouraged.









