قراءة
عرض




frcature spine and peripheral nerve


frcature spine and peripheral nerve

Peripheral nerve lesion

frcature spine and peripheral nerve

Peripheral nerves are bundles of axons conducting efferent

(motor) impulses from cells in the anterior
horn of the spinal cord to the muscles, and afferent

(sensory) impulses from peripheral receptors via cells

in the posterior root ganglia to the cord.
They also
convey sudomotor and vasomotor fibers from ganglion
cells in the sympathetic chain.



frcature spine and peripheral nerve

Classifications

Seddon's classification

Neurapraxia

frcature spine and peripheral nerve


-- temporary paralysis of a nerve caused by lack of blood flow or by pressure on the affected nerve with no loss of structural continuity

Axonotmesis –

frcature spine and peripheral nerve

neural tube intact, but axons are disrupted.

nerves are likely to recover.

Neurotmesis –

frcature spine and peripheral nerve




the neural tube is severed.
Injuries are likely permanent without repair.

PATHOLOGY

frcature spine and peripheral nerve

Nerves can be injured by

1.ischaemia.
2.Compression.
3.Traction. 4.Laceration.
5.or burning.

Transient ischaemia

frcature spine and peripheral nerve

Acute nerve compression causes numbness and tingling within 15 minutes,

loss of pain sensibility after 30 minutes and
muscle weakness after 45 minutes.



frcature spine and peripheral nerve

Relief of compression is followed by

intense paraesthesiae lasting up to 5 minutes (the familiar ‘pins and needles’ after a limb ‘goes to sleep’); feeling is

restored within 30 seconds and full muscle power after about 10 minutes.

frcature spine and peripheral nerve

OBSTETRICAL BRACHIAL PLEXUS PALSY

frcature spine and peripheral nerve

caused by

excessive traction on the
brachial plexus during childbirth, e.g. by pulling the
bay’s head away from the shoulder or
by exerting traction with the baby’s arm in abduction.


Three patterns
are seen: (1) upper root injury (Erb’s palsy), typically in
overweight babies with shoulder dystocia at delivery;

(2) lower root injury (Klumpke’s palsy), usually after

breech delivery of smaller babies; and

(3) total plexus injury.

frcature spine and peripheral nerve


frcature spine and peripheral nerve

Clinical features

frcature spine and peripheral nerve



Erb’s palsy is caused by injury of C5, C6 and (sometimes) C7. The abductors and external rotators of the shoulder and the supinators are paralysed.



frcature spine and peripheral nerve

The arm is held to the side,

at birth: after a difficult delivery the baby has a floppy or flail arm.

internally rotated and

pronated.

There may also be loss of finger extension.

Sensation cannot be tested in a baby.

X-rays

frcature spine and peripheral nerve

should be obtained to exclude fractures of

the shoulder or clavicle (which are not uncommon
and which can be mistaken for obstetrical palsy).

Management

frcature spine and peripheral nerve



Over the next few weeks one of several things may
happen.
Paralysis may recover completely.
Paralysis may be partially resolve.
Paralysis may remain especially in the presence of a Horner’s syndrome


frcature spine and peripheral nerve

RADIAL NERVE

frcature spine and peripheral nerve

The radial nerve may be injured at the elbow.


in the upper arm

or in the axilla.


Clinical features
frcature spine and peripheral nerve

High and Low lesions are usually due to

fractures or dislocations
at mid shaft of humerus or at the elbow,

or to a local wound.

after operations on the proximal end of the radius.

frcature spine and peripheral nerve

The patient complains of clumsiness and, on testing,

cannot extend the metacarpophalangeal joints of the hand.

In the thumb there is also weakness of extension.


Treatment
frcature spine and peripheral nerve

Open injuries should be explored and the nerve repaired or grafted as soon as possible.

Closed injuries
frcature spine and peripheral nerve


In patients with fractures of the humerus it is important to examine for a radial nerve injury on admission,

before

treatment and again after manipulation or internal fixation.
If the palsy is present on admission, one can
afford to wait for 12 weeks to see if it starts to recover.
If it does not,
then EMG should be performed;


frcature spine and peripheral nerve

While recovery is awaited,


Physiotherapy

The wrist is splinted in extension. ‘

To over come fixed contractures


frcature spine and peripheral nerve

CARPAL TUNNEL SYNDROME

frcature spine and peripheral nerve



In the normal carpal tunnel there is barely room for all the tendons and the median nerve; consequently,
any swelling is likely to result in compression and ischaemia of the nerve.

the syndrome is, however, common

at the menopause.
in rheumatoid arthritis.
pregnancy.
and myxoedema.


Clinical features
frcature spine and peripheral nerve

The history is most helpful in making the diagnosis.

Pain and paraesthesia occur in the distribution of the
median nerve in the hand.


frcature spine and peripheral nerve

Night after night the

patient is woken with burning pain,

tingling and

numbness.

Hanging the arm over the side of the bed,

or shaking the arm, may relieve the symptoms.
In advanced cases there may be clumsiness and weakness

frcature spine and peripheral nerve



frcature spine and peripheral nerve

The condition is far more common in women than in men.

The usual age group is 40–50 years;

younger patients it is not uncommon to find related factors such as

pregnancy, rheumatoid disease, chronic
renal failure or gout.


frcature spine and peripheral nerve




frcature spine and peripheral nerve

Sensory symptoms can often be reproduced by percussing

over the median nerve
(Tinel’s sign) or by


Clinical sign

holding the wrist fully flexed for less than 60 seconds

(Phalen’s test).


frcature spine and peripheral nerve

In late cases

frcature spine and peripheral nerve

there is wasting of the thenar muscles.


weakness of thumb abduction and

sensory dulling in the median nerve territory.

Electrodiagnostic tests,

which show slowing of nerve conduction across the wrist

frcature spine and peripheral nerve




DD:
frcature spine and peripheral nerve

Radicular symptoms of cervical spondylosis may confuse the diagnosis and

may coincide with carpal tunnel syndrome.

Treatment

frcature spine and peripheral nerve

Light splints that prevent wrist flexion can help those

with night pain or with pregnancy-related symptoms.

Steroid injection into the carpal canal, likewise, provides temporary relief.

Open surgical division of the transverse carpal ligament usually provides a quick and simple cure.

frcature spine and peripheral nerve


frcature spine and peripheral nerve





frcature spine and peripheral nerve

Endoscopic carpal tunnel release.

frcature spine and peripheral nerve

SCIATIC NERVE

Division of the main sciatic nerve is rare except.
in
gunshot wounds.

Traction lesions may occur with

traumatic hip dislocations

and with pelvic fractures.

Intraneural haemorrhage in patients receiving anticoagulants


frcature spine and peripheral nerve


frcature spine and peripheral nerve




frcature spine and peripheral nerve

Clinical features

In a complete lesion the hamstrings and all muscles
below the knee are paralysed;

the ankle jerk is absent.

frcature spine and peripheral nerve




frcature spine and peripheral nerve



Sensation is lost below the knee, except on the medial
side of the leg which is supplied by the saphenous
branch of the femoral nerve.

The patient walks with a

drop foot and

a high-stepping gait to avoid dragging the insensitive foot on the ground

frcature spine and peripheral nerve


frcature spine and peripheral nerve

Treatment

suture
or nerve grafting should be attempted ,more than a year for leg muscles to be re-innervated.

While recovery is awaited,

a below-knee drop-foot splint is fitted.


frcature spine and peripheral nerve


frcature spine and peripheral nerve




frcature spine and peripheral nerve

Spine injuries

Cervical classifications
wedge compression fracture of vertebral body
frcature spine and peripheral nerve

burst fracture of vertebral body

frcature spine and peripheral nerve





frcature spine and peripheral nerve

extension subluxation

frcature spine and peripheral nerve

flexion subluxation

frcature spine and peripheral nerve

fracture of the atlas

frcature spine and peripheral nerve

fracture-dislocation of the atlanto-axial joint

frcature spine and peripheral nerve



intraspinal displacement of soft tissue


frcature spine and peripheral nerve

soft-tissue strain

('whiplash injury')

MECHANISM OF INJURY

frcature spine and peripheral nerve

Flexion

Flexion-rotation
Extension
Vertical compression.


frcature spine and peripheral nerve


frcature spine and peripheral nerve


injuries of the cervical spine are usually caused by indirect violence,

Such as falls on to the head or
other violent movements transmitted from the skull. i.e in any direction.
flexion,
tension, lateral flexion or
rotation-
or a vertical compression force acting on
a straight spine.


frcature spine and peripheral nerve

Flexion and flexion-rotation injuries

frcature spine and peripheral nerve

are common:

flexion alone tends to a wedge compression fracture .

whereas combined flexion and rotation cause subluxation ,

dislocation or fracture-disIocation.



frcature spine and peripheral nerve


A flexion or flexion-rotation force may also cause massive displacement of an intervertebral disc, without bone injury

A hyperextension

frcature spine and peripheral nerve

force may fracture the neural arch, especially of the atlas




frcature spine and peripheral nerve

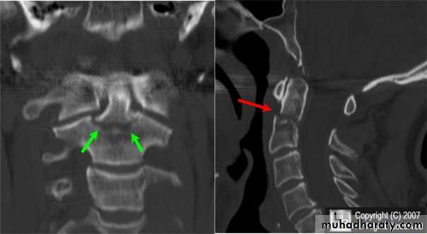
Or fracture the dens (odontoid process) of the axis.

frcature spine and peripheral nerve

hyperextension may rupture the anterior longitudinal ligament and the

anulus fibrosus, forcing the vertebral bodies apart anteriorly (extension
subluxation) .


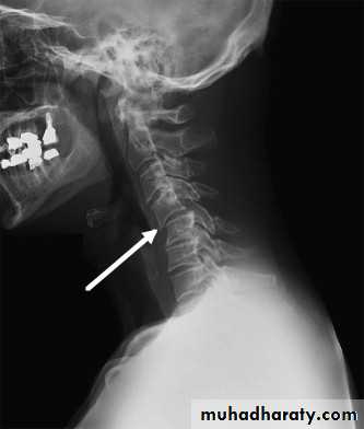
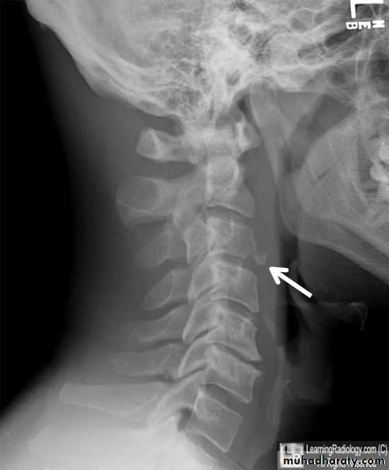
DIAGNOSISX RAY
frcature spine and peripheral nerve



Anterio posterior X ray radiograph.lateral radiographs with the head in flexion and extension may revealinstability that is not shown in the routine lateral film.
frcature spine and peripheral nerve


frcature spine and peripheral nerve




frcature spine and peripheral nerve

oblique views

at 45° are especially helpful


frcature spine and peripheral nerve

a special projection

through the open mouth.


Computed tomography (CT)
frcature spine and peripheral nerve

and magnetic resonance imaging (MRI).

frcature spine and peripheral nerve


frcature spine and peripheral nerve

Treatment

frcature spine and peripheral nerve

It is unnecessary to attempt reduction, and all that is required is to support the

neck for 2 months to relieve pain. This may be achieved by a rigid plastic Collar.

In addition to N S A I

frcature spine and peripheral nerve


SOFT-TISSUE STRAIN OF THE CERVICAL SPINE

frcature spine and peripheral nerve

Mechanism of injury and pathology

At the moment of impact, the head is first
suddenly jolted forwards followed by rebound flexion of the spine.
And a second by extension of the neck.

Clinical features

frcature spine and peripheral nerve

At impact, the patient may feel jolting or 'wrenching' of the neck or

painful one of the shoulder,


frcature spine and peripheral nerve

neck pain is usually accompanied

by severe headache, which
Examination shows restriction of the range of
movement of the cervical spine, usually in all directions


Treatment
frcature spine and peripheral nerve

In general, the

principle to provide support and rest for the neck at
First, in the form of a protective cervical collar.

But after 1or 2 weeks there

should be on the restoration of mobility by exercises within the limits
imposed by pain, preferably under the supervision of a physiotherapist.


frcature spine and peripheral nerve

Dorsal and lumbar spine

frcature spine and peripheral nerve




frcature spine and peripheral nerve



Wedge compression fracture of a vertebral body.


frcature spine and peripheral nerve

Burst fracture of a vertebral body.

frcature spine and peripheral nerve

Distraction fracture of a vertebral body.

frcature spine and peripheral nerve

Dislocation and

fracture-dislocation


frcature spine and peripheral nerve



Minor fractures of the spinal column
Fractures of transverse processes .
Fracture of the sacrum
Fracture of the coccyx

Fractures of the thoracic cage.

Fractures of the ribs
Fractures of the sternum


frcature spine and peripheral nerve




frcature spine and peripheral nerve

MECHANISM OF INJURY

frcature spine and peripheral nerve

by vertical force acting through the long axis of the spinal column.


This force.
may act from above, as when a coal miner is buried by a fall of roof.


frcature spine and peripheral nerve

or from

Below, as by a heavy fall on the feet or buttocks, in high speed motor vehicle
collisions

The thoracolumbar junction

frcature spine and peripheral nerve

one or more of the vertebral bodies collapses

anteriorly and becomes wedge-shaped, giving rise to a localized kyphosis.


frcature spine and peripheral nerve


WEDGE COMPRESSION FRACTURE

frcature spine and peripheral nerve

Diagnosis .

obvious symptoms and signs pointing
In cases of major fracture there will be only between the T11 and L2

Treatment

frcature spine and peripheral nerve


It has been shown that persistent wedging of a vertebral body is compatible. With virtually normal function.

so correction of the deformity is not essential.

The standard method of treatment may, therefore, be said to be conservative.

BURST FRACTURE OF A VERTEBRAL BODY

frcature spine and peripheral nerve

the compression force thus acts vertically in the line of the vertebral bodies.


The intervertebral disc is forced
In the affected vertebral body, causing a comminuted bursting fracture in which fragments are driven outwards in all directions.

Treatment

frcature spine and peripheral nerve

If there is no neurological impairment, it is permissible to employ

Conservative treatment as for wedge compression fracture, but a rather longer period of recumbency is advisable.

Some surgeon advise surgical fixations.

frcature spine and peripheral nerve

إنا زينا السماء الدنيا بزينة الكواكب




رفعت المحاضرة من قبل: Hind Alkhataby
المشاهدات: لقد قام 6 أعضاء و 179 زائراً بقراءة هذه المحاضرة








تسجيل دخول

أو
عبر الحساب الاعتيادي
الرجاء كتابة البريد الالكتروني بشكل صحيح
الرجاء كتابة كلمة المرور
لست عضواً في موقع محاضراتي؟
اضغط هنا للتسجيل