قراءة
عرض

Metabolic bone diseases

Bone functions

1- support

2- protection
3- leverage
4- minerals reservoir

Bone composition

1- the matrix
2- bone mineral
3- bone cells

Bone structure

Compact bone
Cancellous bone
Haversian system
metabolic bone disease


Bone blood supply

metabolic bone disease

Endochondral ossification

metabolic bone disease

Epiphyseal growth plate

metabolic bone disease

Intramembranous ossification

Periosteal new bone formation

Bone formation and resorption.Bone remodelling

metabolic bone disease


Minerals and Factors affect bone metabolism

1- calcium.
2- phosphorus.
3- magnesium and fluoride.
4- Vitamin D .
5- Parathyroid hormone.
6- calcitonin.
7- glucocorticoids, gonadal hormone, thyroxine , growth hormone.
8- mechanical factors.
9- electrical stimulation and other factors.


metabolic bone disease




metabolic bone disease

Factors adversely affecting bone mass

1- Early onset menopause.
2- Malnutrition and ill health
3-Lack of Vit D, calcium and phosphate.
4- Chronic illness.
5- High consumption of alcohol.
6- Smoking.
7- Inactivity.
8- Drugs ( corticosteroids, anti-inflammatory drugs, diuretics, anticoagulants, thyroid hormone, antiepileptics ).


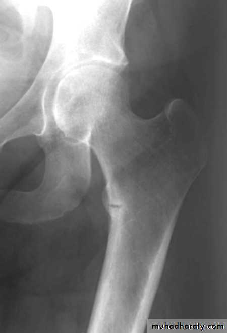
OSTEOPOROSIS Reduction of normally mineralized bone mass per volume.
It is a clinical disorder characterized by an abnormally low bone mass and defects in bone structure, render the bone fragile.
A state in which bone is fully mineralized but its structure is abnormally porous and its strength is less than normal person of that age and sex

OSTEOPOROSIS

It may result from increased bone resorption or
decrease bone formation or both.
Osteopenia: bone which appears to be less dense than normal X-ray.
Any density reduction in DEXA more than 2.5 standard deviation define as osteoporosis.
Between 1-2.5 name osteopenia

Osteoporosis

1- Osteoporosis is one of the most serious global disease and
will increase due to increased aging.
2- Osteoporosis is a problem in both genders.
3- Osteoporosis may primary or secondary.
Primary osteoporosis may be postmenopausal or senile .
4- Osteoporosis is common cause of fractures especially femoral neck fractures , vertebral fractures and distal radial fractures .
5- Bone mineral density commonly measured by dual-energy X-ray absorptiometry ( DEXA)

Secondary osteoporosis

Malnutrition .
Hypercortisonism ( Cushing’s disease).
Gonadal hormone insufficiency.
Hyperthyroidism and hyperparathyroidism.
Multiple myeloma & carcinomatosis.
Drugs ( steroids, heparin, antiepileptic, cytotoxic, ….).
Alcohol and smoking.
Immobilization.
Chronic disease ( renal failure, TB, rhumatic disaeses... )
Other factors



metabolic bone disease

Treatment of osteoporosis

Hormone therapy.
Bisphosphonates Bisphosphonates is the first-line drugs for treating postmenopausal women with osteoporosis, Alendronate and risedronate reduce risk of both vertebral and nonvertebral fractures.
Parathyroid hormone: Teriparatide (PTH 1-34) is reserved for treating women at high risk for fracture, including those with very low bone mineral density (BMD) with a previous vertebral fracture. PTH improves BMD and reduces the risk of vertebral and non-vertebral fractures. Dosage requirements of daily subcutaneous injections may limit use.
Fluoride, calcium, and vitamin D, calcinotin.
Fracture treatment

Osteoporosis

metabolic bone disease

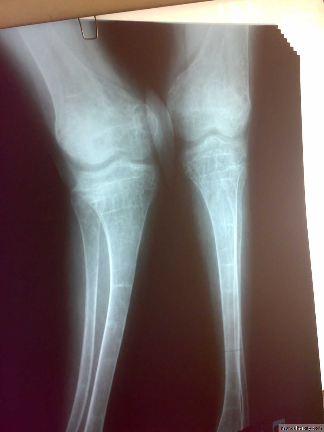
Osteomalacia and ricketsinadequate mineralization of bone

Bone tissue throughout the skeleton is abnormally calcified and therefore soften ( Osteomalacia).
Rickets and Osteomalacia is same disease.


metabolic bone disease





metabolic bone disease




metabolic bone disease




metabolic bone disease



Osteoporosis and Osteomalaciacommon in aging women, prone to pathological fractures, and decreased bone density.
Osteomalacia
-------------------------------
Unwell
Generalized chronic ache
Muscles weak.
Losser’s zone
decreased serum phosphate
elevated serum alka. Phosphatase.
Ca × p< 2.4 mmol/ L


Osteoporosis
--------------
Well
Pain after fractures
Muscles normal.
No Losser's zone
Normal serum phosphate
Normal serum alka.
Phosphatase
Ca × p>> 2.4 mmol/ L

Osteomalacia treatment

Treatment of the cause.
Treatment of pathological fractures.

hyperparathyroidism

Excessive secretion of PTH.
May be primary , secondary, or tertiary.

PTH- enhance calcium conservation resulting in hypercalcaemia and hypercalciuria and

Hyperphosphouria.
Bone resorption manifest by ostitis fibrosa cystica and subperiosteal resorption.



metabolic bone disease

hyperparathyroidism

Clinical features
1- features of
hypercalcaemia.
2-polyuria and renal disorders
3- bone pain and pathological fractures.
Treatment
1- treatment of hypercalcaemia.
2- surgery.


metabolic bone disease

Paget’s disease

This disease characterized by increased bone turnover and enlargement and thickening of bone, but internal architecture is abnormal and bone is usually brittle.
metabolic bone disease


Paget’s disease

Complications
1- fractures.
2- osteoarthritis
3- nerve compression and spinal stenosis.
4- bone sarcoma.
5- high cardiac output failure.
6- hypercalcaemia in immobilization.

Treatment

1- calcitonin.
2- Bisphosphonate.
3- surgery

Paget’s disease

metabolic bone disease





رفعت المحاضرة من قبل: Hind Alkhataby
المشاهدات: لقد قام 4 أعضاء و 230 زائراً بقراءة هذه المحاضرة








تسجيل دخول

أو
عبر الحساب الاعتيادي
الرجاء كتابة البريد الالكتروني بشكل صحيح
الرجاء كتابة كلمة المرور
لست عضواً في موقع محاضراتي؟
اضغط هنا للتسجيل