قراءة
عرض

Pediatric surgeryClinical practice

DR. Bassam Al-Abbasi

Respiratory Distress in the Newborn

Tutorial


Tutorial

Scaphoid abdomen

Tutorial

Subcostal incision

Tutorial




content
Tutorial

Defect=sac

Tutorial


Tutorial

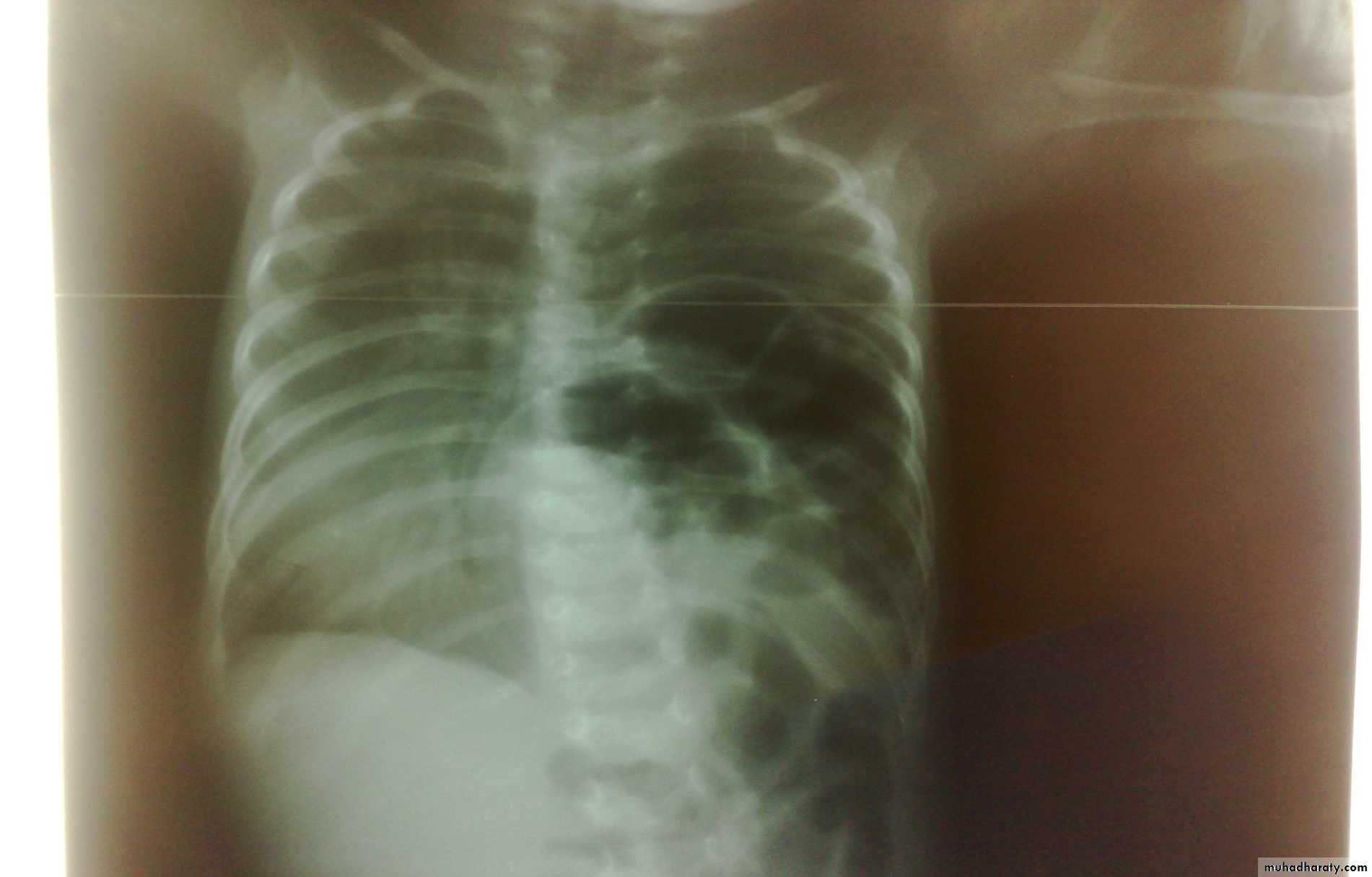
Oesophageal Atresia and Tracheo-Oesophageal Fistula,

Tutorial


Tutorial




Tutorial

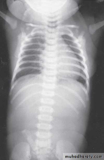
Bowel Obstruction

Tutorial



Tutorial




Tutorial

N.E.C

Tutorial


Tutorial

Meconium ileus+atresia

Tutorial


Tutorial




Tutorial



Tutorial

Hirschprungs disease

Tutorial


Tutorial




Tutorial


Tutorial

Abdominal Wall Defects

Tutorial


Tutorial





Tutorial


Tutorial




Tutorial


Tutorial




Tutorial


Tutorial

Anorectal Anomalies

Tutorial



Tutorial


Tutorial




Tutorial




Tutorial




Tutorial




Tutorial





Tutorial

Disorders of Sexual Development

Tutorial


Tutorial

Intussusception

Tutorial


Tutorial


Tutorial


Tutorial


Tutorial





Tutorial




Tutorial


Tutorial

ANY QUESTIONS




رفعت المحاضرة من قبل: Abdalmalik Abdullateef
المشاهدات: لقد قام 27 عضواً و 282 زائراً بقراءة هذه المحاضرة








تسجيل دخول

أو
عبر الحساب الاعتيادي
الرجاء كتابة البريد الالكتروني بشكل صحيح
الرجاء كتابة كلمة المرور
لست عضواً في موقع محاضراتي؟
اضغط هنا للتسجيل