SLIDE NO. ((1))This infant underwent surgery for congenital heart disease
QA. what is the type of surgical incision
QB. Give three causes for the abnormality in the wound in this patient?SLIDE NO. ((3))Young male presented with sudden severe anal pain
A. What is your diagnosis?
B. Give two Differential diagnosesSLIDE NO. ((4))
• What is your diagnosis ?
• Is it precancerous ?C. Gives 3 causes
SLIDE NO.((5))
A. What abnormality seen?
B. What is the diagnosis?C. Gives 3 causes
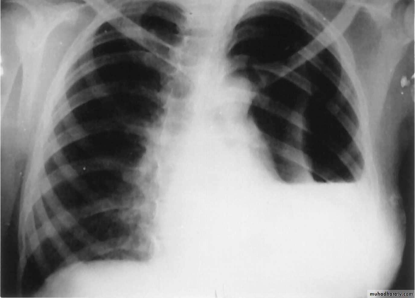
SLIDE NO.((6))Patient with recent loss of weight and dyspepsia
A. What is the abnormal finding ?
B. What is this signs?C. What may indicate?
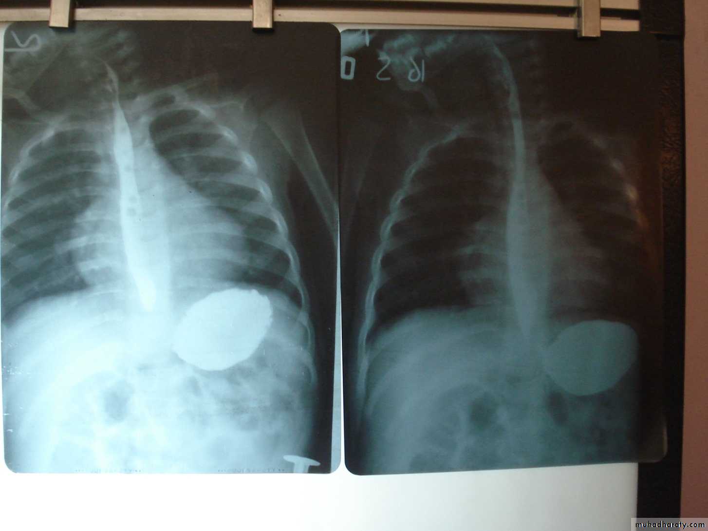
SLIDE NO. ((8))A. What abnormality you see in this X-ray?B. what is the diagnosis?
SLIDE NO.((9)) A.What is your diagnosisB. give two nonsurgical causes of acute abdomen
SLIDE N ((10)) A.for which surgery this incision is used.B. give three early complications
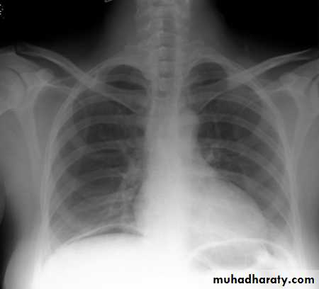
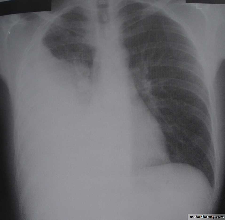
SLIDE NO. ((11))Female patient with history of asthma presented with severe dyspnoea and absence of breath sound on the left side
• What is the diagnosis?
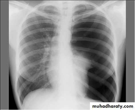
• What immediate action you undertake?SLIDE NO. ((12)) Patient sustnained car accident. He has dyspnea, absence of breath sounds in the left side
• Diagnosis
• Your action• Indication for surgery
SLIDE NO. ((15)) 35 year old male presented to the emergency room after road traffic accident and pelvic fracture A. what's your diagnosis?B. what's your initial step in management of this patient ?
Slide NO . ( ) A. What most definite diagnoses?B. enumerate 3 drugs causes ? C. What are the option of treatment ?
Slide No. ( ) A. What is diagnoses?B. Mention 3 indication ?C. Enumerate 3 complication ?
Slide No. ( ) A. What is diagnoses?B. Treatment ?
Slide No. ( ) A. What is diagnoses?B. Treatment ?
Slide No. ( ) A. What is diagnoses?B. Treatment ?
Slide No. ( ) A. What is diagnoses?B. Treatment ?
Slide No. ( ) A. What is diagnoses?B. What mean role of nine ?B. Treatment ?
Slide No. ( ) A. What are differential diagnoses?B. Treatment ?
Slide No. ( ) A. What is diagnoses?B. Treatment ?
Slide No. ( ) A. What is diagnoses?B. Treatment ?
Slide No. ( ) A. What is diagnoses?B. Treatment ?




























