Urology Exam.
What's the Name and clinical use?Double jj connected to guide wire used to bypass ureteric obst.
What's the Name and clinical use?Rigid cystoscope for dx and transection of tumor /stone fragmentation by laser or crasher
What's the Name and clinical use?What's the abnormal finding and the clinical significance?
Hematuria significes a ca pathology especially if over 45 years /also may indicate stone presence
What's the advantage?
Estimation of urine output during surgery By 2 ways cath.
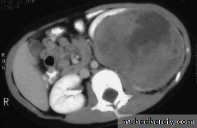
Also to prevent retention of urineWhat's this imaging study?What the abnormal finding?
Wilms tumor deviating the kidney ant. Upward
Big should be reduced by chemo then surgeryWhat's this test?
Transillumination of the testis (hydrocele)
KUB.
Non visualization of the Rt. Kidney either due to early obst. Or type 5 renal injuryWhat's this imaging study?What the abnormal finding?
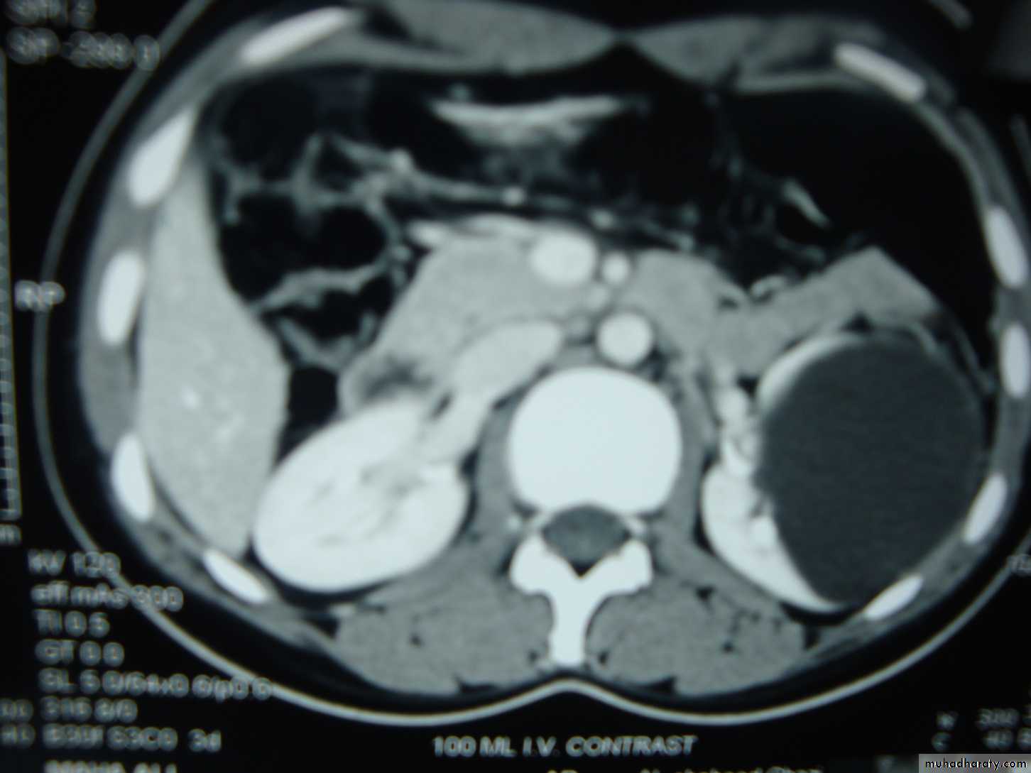
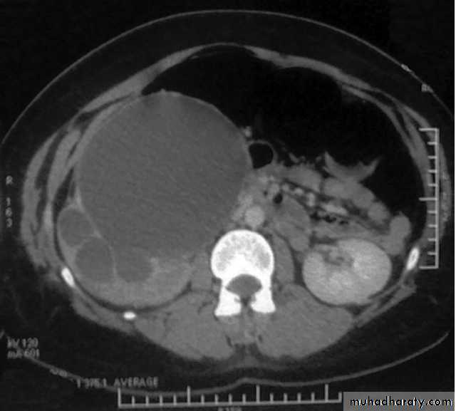
Ct enhanced
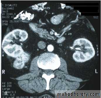
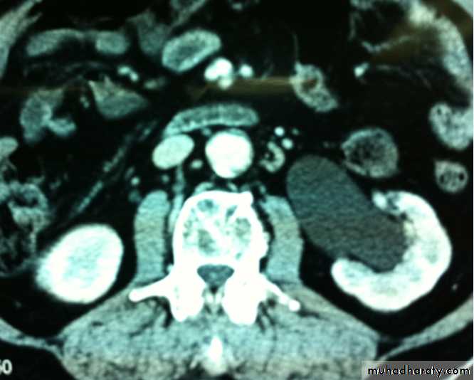
Big simple renal cyst(non enhancing mass homogenous) treatment is conservative or drainge if symptomaticWhat's the Diagnosis?
Hematocele due to trauma treated conservative if small and by drainage if big examine the testis it could be injured also and may need open surgery.
Notice bruises of trauma
كال صعب عوفو مضروبه الكليه Deceleration injuryAnd kidney not visualized
1- What's the Name of this instruments?
Cystoscope parts
2- What's the difference and clinical use?3 way caths also called retention caths. They have three lumen:
1-for urine drainage into urine bag.2-the second for the sterile water that will inflate the balloon.
3-for installation of medication or irrigation of the bladder. اهم شي الي بالاحمر
What's the abnormal finding
KUB
Multiple bilateral renal stonesStaghorn stone needs PCNL
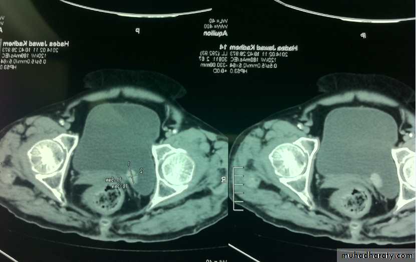
A 55-year-old man with hematuria , What's this study and abnormal finding ?
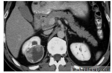
Ct enhanced
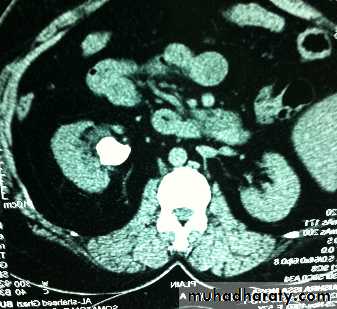
Renal cyst type 4 with calcification and peripheral enhancement needs radical nephrectomyBosniak's class II renal cysts. A, CT scan shows right renal cyst with thin internal septation.
What's This Study & Abnormal Finding
Retrograde urethrography showing stricture of the bulbar part of urethra.
Blood transfusionWhats this abnormality?
Hypospidius
Conal and subcoronal
What the differential Diagnosis?
Testicular swelling without skin changes
1-hydrocele2-hematoma
3-hernia
What's Diagnosis?
• UPJ obst. Ureteric stricture and dilation of renal pelivsCan you grade this Reflux?
Grade 5
-Obliteration of papillary impressions(fornices)-Dilated and torturous ureter
Whats this test ? What's the most important finding to be excluded by this test?
DRE (prostatic enlargement)
-CA prostate-BPH
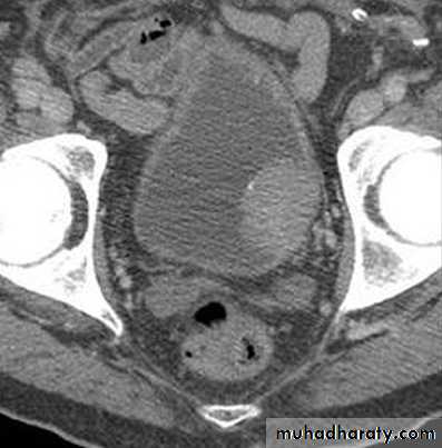
65 years old patient with Painless haematuria, Whats the abnormal finding?
Ca. Bladder (tumor or mass)
Stage T3-T4 needs systemic and radicalWhat's the management?
Crescent sign of perinephric abscess complicated from a pyelonephritis
Percutaneous drainage by wide bore for the thick pusWhat's management?
Stage 5
Completely shuttered kidney
Multiple major laceration with devitalized tissue
Main renal vascular hemorrhage with uncontrolled hemorrhage
Hilar avulsion
Nephrectomy
What's most common Cause?
Wilm's tumor
HydroceleCryptochrdism surgery
Orchidopexy
Horseshoe kidney
With hydronephrosisDifferent types of scalpel
URETEROCELE
Ureteric hydronephrosis ??
Micropenis and microtestis
37
VUR/VCUG
Ct scan
PUJ obst.Post. Urethral valve with leaflets
Bladder exstrophy
Bladder diverticulum (in acquired outlet obst.)US ???
Isolated penile chordee
Surgical Technique of treating PUJ
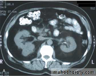
SpatulationWhat's abnormal finding?
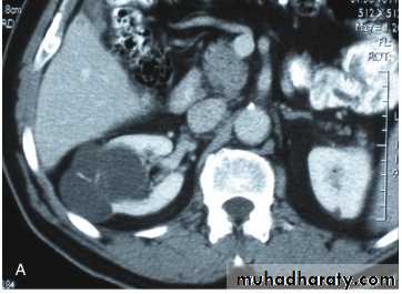
Ct enhanced
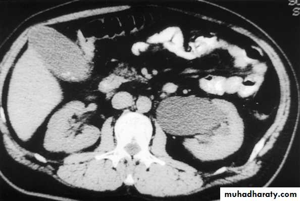
Rt renal mass (RCC enhanced) needs radical nephrectomyWhat this?
What's the imaging modality?What's the Diagnosis?
-KUB-JJ and kidney stoneWhat's the imaging modality? What's the Diagnosis?
Native Ct
right kidney stone
History of Hematuriabladder tumor (stageTa-T1)
What's the imaging study &Diagnosis?KUB : Rt. stone and lt. staghorn
What's the DiagnosisRt. undescended testis with scrotal hemi hypoplasia
What's the imaging study &DiagnosisVUR grade 5 voiding cystourethrogram
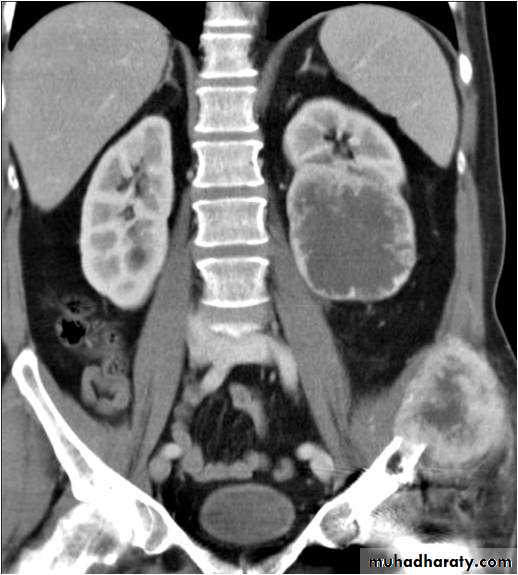
What's the imaging modalityWhat's the diagnosisCT with and without contrast >>> Rt. kidney cancer(RCC)
What's the imaging modality? What's the Diagnosis?Ct >> مادري كنسر لو ولمز تيومر !
What's the imaging modalityWhat's the diagnosis?Ectopic kidney IVU
What's This Procedure?PCN= percutaneous nephrostomy for staghorn and kidney stone
? What's the Diagnosisforigenier gangrene
What's this study and DX?IVU>>> normal IVU
Ca Prostatebone scan
What's this surgical procedurehydrocelectomy
Doppler study of scrotal Swelling
What's this procedure?Intruretral lithotripsy
Slide IVU ureter obst lead to calyceal dilatation
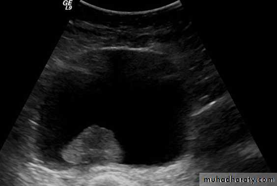
What's the imaging modality?What's the Diagnosis?Us >>> bladder mass
Ureter dilatation in left
What's the imaging modality? What's the Diagnosis?Us >>> stone with acoustic shadow in renal pelvis













































































