1
Liver
&
Biliary Tract Disease
2
Functional Anatomy
&
Physiology
3
4
5
Diagram showing liver segments together with portal and hepatic venous system
6Schematic representation of the liver
7Hepatic acinus (functional unit of the liver)
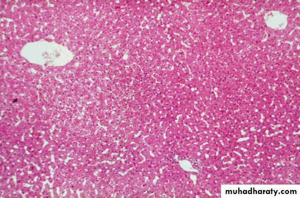
8Normal adult liver section showing the radiating plates of liver cells between the portal tracts & central veins
9
Acinus
1011
Important liver functions
12Function of non-parenchymal liver cells
MAJOR HEPATIC FUNCTIONS
Metabolism:
Following a meal, more than half the glucose absorbed is taken up by the liver and stored as glycogen or converted to glycerol and fatty acids, thus avoiding marked hyperglycaemia.
excess amino acids are catabolised to urea.
during fasting the liver releases glucose, derived either from the breakdown of glycogen or from gluconeogenesis using amino acids released from extrahepatic tissues such as muscle.
the liver plays a central role in lipid metabolism,
The liver plays a central role in the metabolism of bilirubin, bile salts, drugs and alcohol.
Some vitamins, such as A, D and B12, are stored by the liver in large amounts, while others, such as vitamin K and folate, are stored in smaller concentrations and disappear rapidly if dietary intake is deficient.
Vitamin K is essential for the hepatic synthesis of coagulation factors II, VII, IX and X .
The liver stores minerals such as iron, in ferritin and haemosiderin, and copper.
The liver is one of the heaviest organs in the body, weighing 1.2-1.5 kg.
It is divided into right and left hemilivers based on the hepatic blood supply.The right and left hemilivers are further divided into a total of eight segments in accordance with subdivisions of the hepatic and portal veins.
The segments each have their own hepatic artery branch and biliary tree.
Functions of the Liver
processing of dietary amino acids, carbohydrates, lipids and vitaminsremoval of microbes and toxins in splanchnic blood
synthesis of plasma proteins
detoxification and excretion into bile of endogenous waste products & pollutant xenobiotics















