Nodules & Tumors
Nodular Hyperplasia• non-cirrhotic liver nodules
• types:
• Focal nodular hyperplasia
• spontaneous mass lesion; female preponderance
• Morphology:
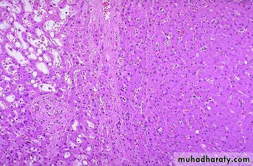
• central stellate scar with large arterial vessels exhibiting fibromuscular hyperplasia (+) narrowed lumen
• Intense lymphocytic infiltration
• bile duct proliferation
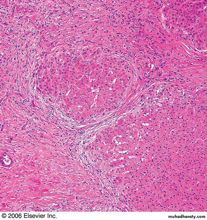
Focal Nodular Hyperplasia: Subcapsular solid mass with central scar, composed of the normal components of liver lobule
Central portion of nodular hyperplasia showing the interphase between the fibrous scar and the hepatocytic nodules.
Nodules & Tumors
Nodular Hyperplasia• Nodular regenerative hyperplasia
• (+) development of portal HPN
• Associated with conditions affecting intrahepatic blood flow renal transplant, BM transplant, vasculitic conditions
• Morphology: plump hepatocytes surrounded by atrophic cells; no fibrosis
Nodular Regenerative Hyperplasia: non-cirrhotic non-neoplastic nodular transformation of the liver parenchyma.
Nodules & Tumors
Benign Neoplasms• Cavernous hemangioma
• Most common; blood vessel tumor
• Soft nodules < 2 cm diameter immediately beneath the capsule
• Clinical significance: mistaken for metastatic tumors blind percutaneous biopsies not done
Cavernous Hemangioma
Normal liverHemangioma
Nodules & Tumors
Benign Neoplasms• Cell of origin: hepatocytes
• Young women on oral contraceptives regress on discontinuance of use
• Clinical significance:
• Present as intrahepatic mass mistaken for HCC
• If subcapsular (+) rupture intraperitoneal hemorrhage
• May harbor HCC – rare
• Morphology: cords of hepatocytes with clear cytoplasm (w/ glycogen), absent portal tracts & prominent arterial vessels and draining veins
The hepatic adenoma is composed of cells that closely resemble normal hepatocytes with disorganized hepatocyte cords and does not contain a normal lobular architecture.
At the upper right is a well-circumscribed neoplasm that is arising in liver. This is an hepatic adenoma.
Normal liver
AdenomaNodules & Tumors
Malignant Tumors• Primary tumors uncommon often involved in metastatic spread
• Hepatoblastoma
• rare; most common liver tumor of young children
• fatal if not resected
• (+) activation of Wnt/β-catenin signaling pathway stabilize mutations of β-catenin
Hepatoblastoma
Hepatoblastoma found to be invading the inferior vena cava at the time of surgical exploration.
Nodules & Tumors
Malignant Tumors• Angiosarcoma
• rare; malignant endothelial neoplasm
• associated with exposure to vinyl chloride, arsenic or Thorotrast
• highly aggressive, metastatic, fatal
Angiosarcoma: Section of liver, showing multiple hemorrhagic tumor deposits.
Nodules & Tumors• malignancy of intrahepatic biliary tract
• risk factors:
• Primary sclerosing cholangitis
• Congenital fibropolycystic diseases of biliary system
• Previous exposure to Thorotrast
• Chronic liver fluke infection (O. sinensis)
• Morphology: resemble sclerosing adenocarcinoma well-defined glandular & tubular structures separated by dense collagenous stroma
Intrahepatic cholangiocarcinomas are classified as either peripheral or hilar. The hilar variety are located in the hepatic hilum region and appear as discrete masses.
Peripheral cholangiocarcinoma is the most common and develops in the interlobular ducts of the liver, where the interlobular bile duct branches within the portal triads. They may be a single or multiple masses.
Nodules & Tumors
• male preponderance; 20 – 40 y/o• Risk factors:
• Viral infection – chronic HBV & HCV infection no cirrhosis
• Chronic alcoholism – (+) cirrhosis
• Food contaminants – aflatoxin from Aspergillus flavus bind covalently with cellular DNA (+) p53 mutation
• >85% occur in countries with high rates of chronic HBV and HCV infections
Hepatocellular Carcinoma
• Morphology:• Gross
• Unifocal large mass
• Multifocal
• Diffusely infiltrative
Hepatocellular Carcinoma
• Morphology:• Microscopic:
• Well differentiated trabecular pattern or acinar, pseudoglandular pattern
• Poorly differentiated pleiomorphic with anaplastic giant cells
bile
Hepatocellular Carcinoma• Clinical features:
upper abdominal pain or fullness
malaise, fatigue, weight loss
hepatomegaly with irregularity or nodularity
• Laboratory:
increased tumor markers – serum AFP and serum CEA not conclusive false (+) in non-neoplastic conditions (e.g. cirrhosis, chronic hepatitis, massive liver necrosis, fetal neural defects such as anencephaly)Take a home message
In the setting of a cirrhotic patient with a hepatic mass lesion larger than 2 cm in diameter and suggestive features of hepatocellular carcinoma, an AFP level higher than 200 ng/mL is considered diagnostic for hepatocellular carcinoma.Hepatocellular carcinoma can be diagnosed with confidence in patients with a serum AFP level higher than 200 ng/mL and a mass in the liver.














