TUMOURS OF THE BRONCHUS AND LUNG Primary tumours of the lung
Dr Ghazi F.HajiSenior lecturer of cardiology
Al-Kindy College of Medicine
1
True or false
2
3
Epidemiology & Aetiology
@Lung cancer is the most common cause of death from cancer world-wide, causing 1.4 million deaths per year. The great majority of tumours in the lung are primary bronchial carcinomas@The incidence of bronchial carcinoma increased dramatically during the 20th century as a direct result of the tobacco epidemic.
@In women, smoking prevalence and deaths from lung cancer continue to increase, and more women now die from lung cancer than breast cancer in the USA and the UK.
@bronchogenic carcimona is the Most common cause of death in men
4
@Tobacco use is the major preventable cause; directly responsible for at least 90% of lung carcinomas, the risk is being proportional to the amount smoked and to the tar content of cigarettes.. Risk falls slowly after smoking cessation
@The effect of 'passive' smoking is more difficult to quantify
@In recent years, many countries prevent smoking in public places
@The incidence of lung cancer is slightly higher in urban than in rural
5
Bronchial carcinomaPathology
Bronchial carcinomas arise from the bronchial epithelium or mucous glands. .When the tumour occurs in a large bronchus, symptoms arise early, but when tumours originating in a peripheral bronchus can grow very large without producing symptoms, resulting in delayed diagnosis.
Bronchial carcinoma may involve the pleura either directly or by lymphatic spread and may extend into the chest wall
Blood-borne metastases occur most commonly in liver, bone, brain, adrenals and skin.
6
Common types in bronchial carcinoma
Cell type %Squamous cell 35 Adenocarcinoma 30
Small-cell 20
Large-cell 15
Rare types of lung tumour Adenosquamous carcinoma
Carcinoid tumour
Bronchial gland adenoma
Bronchial gland carcinoma
Bronchoalveolar carcinoma Malignant
7
Clinical features
Lung cancer presents in many different ways, reflecting1-local 2-metastatic 3-paraneoplastic tumour effects.
local
Cough. The most common early symptom
Haemoptysis. haemoptysis in a smoker should always be investigated to exclude a bronchial carcinoma..
Bronchial obstruction.
Stridor
Breathlessness:caused by collapse or pneumonia, or by tumour causing a large pleural effusion or compressing a phrenic nerve causing diaphragmatic paralysis.
Pain and nerve entrapment. Pleural pain usually indicates malignant pleural invasion
8
nerve entrapment.
@Carcinoma in the lung apex may cause- Horner's syndrome (ipsilateral partial ptosis, enophthalmos, miosis and hypohidrosis of the face-due to involvement of the sympathetic chain)@Pancoast's syndrome (pain in the shoulder and inner aspect of the arm, sometimes with small muscle wasting in the hand) indicates malignant destruction of the T1 and C8 roots in lower part of the brachial plexus by an apical lung tumour.
9
10
Mediastinal spread.
Involvement of the oesophagus may cause dysphagia.Involvement of pericardium may cause arrhythmia or pericardial effusion may occur.
Involvement of Superior vena cava cause obstruction by malignant nodes causes swelling of the neck and face,
Involvement of Supraclavicular lymph nodes may be palpably enlarged
Metastatic spread.
This may lead to focal neurological defects, epileptic seizures, personality change, jaundice, bone pain or skin nodules. Lassitude, anorexia and weight loss usually indicate metastatic spread.
Digital clubbing :This may be associated with hypertrophic pulmonary osteoarthropathy (HPOA), characterised by periostitis of the long bones, most commonly the distal tibia, fibula, radius and ulna. This causes pain and tenderness over the affected bones and often pitting oedema over the anterior aspect of the shin. X-rays reveal subperiosteal new bone formation.
.
11
12
Non-metastatic extrapulmonary manifestations(paraneoplasm)
EndocrineSyndrom of Inappropriate antidiuretic hormone secretion causing hyponatraemia(SIADH)
Ectopic adrenocorticotrophic hormone secretion( small-cell lung cancer).
Hypercalcaemia due to secretion of parathyroid hormone-related peptides (squamous cell carcinoma).
Carcinoid syndrome
Gynaecomastia
Neurological -Polyneuropathy -Myelopathy -Cerebellar degeneration -Myasthenia (Lambert-Eaton syndrome, )
Other
Hypertrophic pulmonary osteoarthropathy
Nephrotic syndrome -Polymyositis and dermatomyositis -Eosinophilia
13
Investigations
The main aims of investigation are to confirm the diagnosis, establish the histological cell type and define the extent of the disease.@Imaging-CXR -CT is usually performed early
@Bronchoscopy (a flexible bronchoscope.)
@Percutaneous needle biopsy under CT or ultrasound guidance is a more reliable way.
@Sputum samples should be obtained for cytology,. In patients who are not fit enough for invasive investigation, at least three samples
@Pleural aspiration and biopsy is the preferred investigation ;In patients with pleural effusions,
14
Common radiological presentations of bronchial carcinoma
*Unilateral hilar enlargement*Peripheral pulmonary opacity
*Lung, lobe or segmental collapse *Pleural effusion
*Broadening of mediastinum, enlarged cardiac *shadow, elevation of a hemidiaphragm
*Rib destruction
15
16
17
18
19
20
21
Staging to guide treatment
small-cell lung cancer metastasise early and usually not suitable for surgical intervention while other types need subsequent investigations to focus on determining whether the tumour is operable or not, because complete resection may be curative..
Enlarged upper mediastinal nodes may be sampled by using a bronchoscope or by mediastinoscopy.
Combined CT and PET imaging is used increasingly to detect metabolically active tumour metastases.
Head CT, radionuclide bone scanning, liver ultrasound and bone marrow biopsy are generally done to asses the spread of tumor to such sites.
Finally, assess patient's respiratory and cardiac function is important to allow surgical treatment .
22
TNM classification
Extent of primary tumour*TX Not assessed
T0 Excised tumour
T1 T2 T3 T4 :Increases in primary tumour size or depth of invasion
Increased involvement of nodes*
NX Not assessed
N0 No nodal involvement
N1 N2/N3(contralateral ): Increases in involvement
Presence of metastases
MX Not assessedM0 Not present
M1 Present
23
Contraindications to surgical resection in bronchial carcinoma
1-Distant metastasis (M1)
2-Invasion of central mediastinal structures including heart, great vessels, trachea and oesophagus (T4)
3-Malignant pleural effusion (T4)
4-Contralateral mediastinal nodes (N3)
5-FEV1 < 0.8 L
6-Severe or unstable cardiac or other medical condition
24
Management
Surgical resectionRadical radiotherapy
Chemotherapy
25
Surgical treatment
Accurate pre-operative staging, coupled with improvements in surgical and post-operative care, now offers 5-year survival rates of over 75% in stage I disease (N0(no LN enlargement), tumour confined within visceral pleura) and 55% in stage II disease26
Radiotherapy
less effective than surgery, radical radiotherapy can offer long-term survival in selected patients with localised disease in whom comorbidity diseases which is prevent surgery.
Continuous hyper-fractionated accelerated radiotherapy (CHART), may offer better survival
Radiotherapy can be used in conjunction with chemotherapy in the treatment of small-cell carcinoma,
27
Chemotherapy
Regular cycles of therapy, including combinations of i.v. cyclophosphamide, doxorubicin and vincristine or i.v. cisplatin and etoposide, are commonly used. Nausea and vomiting are common side-effects of those drugschemotherapy is less effective in non-small-cell bronchial cancers. However, studies in such patients using platinum-based chemotherapy regimens have shown a 30% response rate associated with a small percentage increase in survival
28
Laser therapy and stenting
Palliation of symptoms caused by major airway obstruction can be achieved in selected patients using bronchoscopic laser treatment.Endobronchial stents can be used to maintain airway patency
If malignant pleural effusion is present, made to drain the pleural cavity using an intercostal drain; pleurodesis with a sclerosing agent such as talc should be performed.29
Prognosis
The overall prognosis in bronchial carcinoma is very poor, with around 70% of patients dying within a year of diagnosis. The best prognosis is with well-differentiated squamous cell tumours that have not metastasised and are amenable to surgical resection.
30
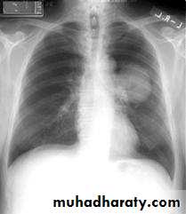
Secondary tumours of the lung
Blood-borne metastatic deposits in the lungs may be derived from many primary tumours, in particular the breast, kidney, uterus, ovary, testes and thyroid.
The secondary deposits are usually multiple and bilateral. Often there are no respiratory symptoms and the diagnosis is made on radiological examination(Cannon ball).
31
Cannon ball
32
33
True or false
34
35
THANK YOU
36
















