قراءة
عرض

Clinical images

Dr: Hussein Mohammed Jumaah
CABM
Mosul College of Medicine
2013


Clinical images

Clubbing

Clinical images

leukonychia

Clinical images



koilonychia


Clinical images

Splinter haemorrhages

Clinical images

Spider naevi

Clinical images

Spider naevi

Dupuytren's contracture
Clinical images





Clinical images

carpopedal spasm

Clinical images


Clinical images


Clinical images




Clinical images


Clinical images


Clinical images

Pretibial myxedema



Clinical images

myxedema

Clinical images

Erythema ab igne

Uremic frost is an uncommon dermatologic manifestation of profound azotemia and occurs when urea and other nitrogenous waste products accumulate in sweat and crystallize after evaporation.
Clinical images


Clinical images




Clinical images

lipedema



Clinical images


Clinical images

Raynaud's phenomenon

Clinical images

Henoch–Schِnlein purpura

Clinical images

Petechiae -purpura

Clinical images


Clinical images



Clinical images

Ecchymosis

Clinical images


THE STEINBERG SIGN (a):Instruct the patient to fold his thumb into the closed fist. This test is positive if the thumb tip extends from palm of hand (see figure a).
THE WALKER-MURDOCH SIGN (b):
This test is used for the evaluation of patients with Marfan syndrome.
Procedure:Instruct the patient to grip his wrist with his opposite hand. If thumb and fifth finger of the hand overlap with each other, this represents a positive Walker-Murdoch sign (see figure b).
Marfan’s Syndrome


Clinical images




Clinical images


Clinical images



Clinical images


Clinical images

Herpes zoster

Tendinous xanthoma
characterized by papules and nodules ,associated with Type II hyperlipidaemia . Most commonly found in the tendons of the hands, feet, and Achilles tendon

Clinical images


Clinical images




Clinical images


Clinical images

corneal arcus

Xanthelasma



Clinical images

Gingival hypertrophy

Clinical images


Clinical images

Black hairy tongue

Geographic tongue (benign migratory glossitis)


Clinical images


Clinical images

Fissured Tongue

Herpetic glossitis



Clinical images

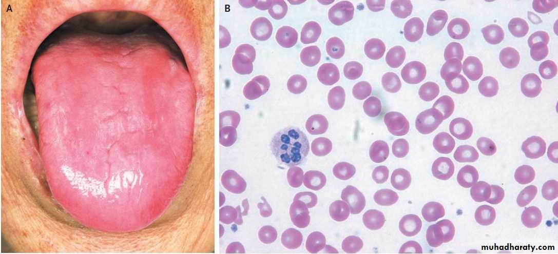
Beefy red tongue

Clinical images


Clinical images

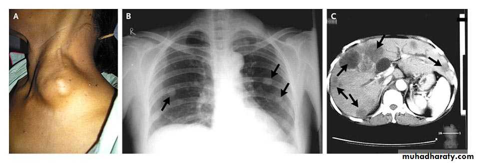
Loh K and Yushak A. N Engl J Med 2007;357:282

A 56-year-old woman presented with jaundice and a painless mass in her left supraclavicular fossa that had become progressively enlarged during the preceding 8 weeks


Clinical images


Clinical images


Clinical images


Clinical images






رفعت المحاضرة من قبل: Abdalmalik Abdullateef
المشاهدات: لقد قام 63 عضواً و 314 زائراً بقراءة هذه المحاضرة








تسجيل دخول

أو
عبر الحساب الاعتيادي
الرجاء كتابة البريد الالكتروني بشكل صحيح
الرجاء كتابة كلمة المرور
لست عضواً في موقع محاضراتي؟
اضغط هنا للتسجيل