Slide examination for 5th year medical student in surgery, group D 2015/20161- The exam composed of 20 slides. Each slide contains 2 questions.2-Three minutes are allowed for answering each slide.3-The slides will change automatically, there will be no return back to previous slides.4-The answer should not be more than one paragraph for each question.5-There will be 1 mark for each slide, total mark of this exam is 20.6-Be sure of writing your full name, number of the slide and number of the question
Slide1 Severe chest trauma by car accident1- What does the x ray show?2- What make the neck veins distended
Slide 2What does the x ray shows?؟2- what structure is in dangerous in such trauma
Slide 3؟1- What we call this instrument2- Give 2 indications for its use
Slide 41- What is the finding in this x ray?2- Give 2 deferential diagnoses
Slide 5 2 days post fall from a height1- What we call this sign?2- What does it indicate?
Slide 6 After motor cycle accident1- What nerve is injured?2- What sensory loss the patient may have?
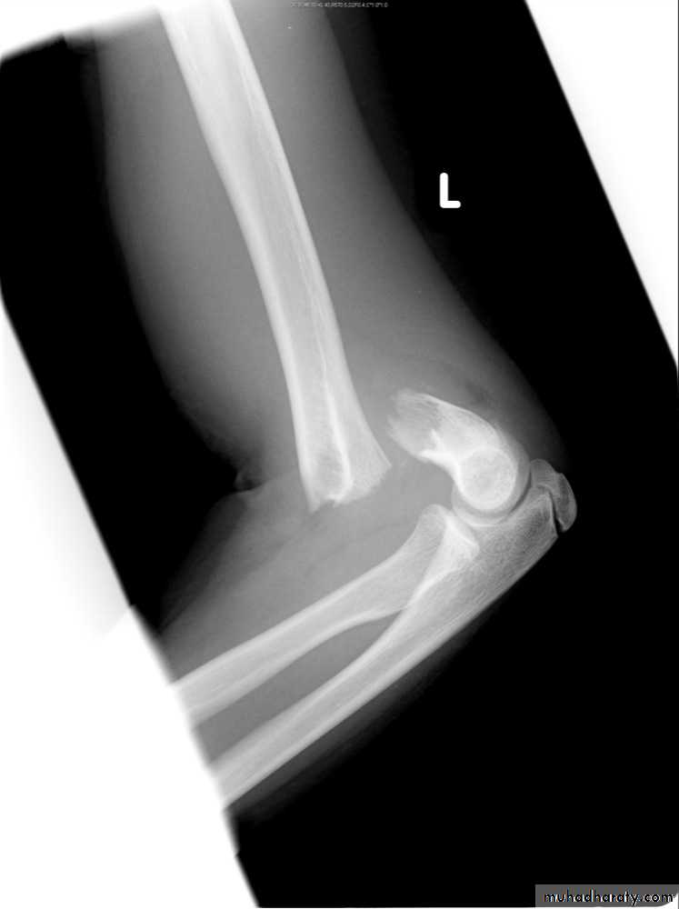
Slide 71- What is the diagnosis?2- What is the treatment?
Slide 8 Bullet injury to lower leg1- What is the most dangerous infection suspected?2- What is the best treatment for such fracture?
Slide 91- what does the picture shows?2- give 2 conditions leads to such deformity
Slide 101- Spot diagnosis?2- What is the best treatment?
Slide 11 Stab wound to forehand1- What we call this deformity?2- What is the underling injury?























