Slide examination for 6th year medical student in surgery, group B 2015/20161- The exam composed of 20 slides. Each slide contains 2 questions.2-Three minutes are allowed for answering each slide.3-The slides will change automatically, there will be no return back to previous slides.4-The answer should not be more than one paragraph for each question.5-There will be 1 mark for each slide, total mark of this exam is 10.6-Be sure of writing your full name, number of the slide and number of the question. GOOD LUCK
Slide 11- What is this equipment?2- Give 2 therapeutic uses.
Slide 21- Give two differential diagnosis?2- Mention two physical examination you can use it in such condition.
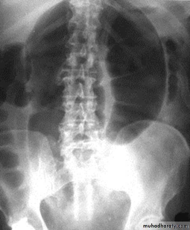
Slide 31- What are the finding in this plane X ray?2- What endocrine disease can cause such condition?
Slide 41- What is the diagnosis?2- What is the main symptom of such condition?
Slide 5Patient with bullet injury to his RT leg1-What is the holding method used. 2-What serious infection might complicate such injury.
Slide 6Pain, fever, swelling at lower thigh for 15 days duration. 1- What is the most probable diagnosis?2- What is the most serious early complication ?
SLIDE 7Chronic discharging lesion1- What is the diagnosis?2- What investigation may help?
Slide 81- Name the disease.3- What physical examination is pathognomonic her?
Slide 91- What is the anomaly in slide 12- What is the anomaly in slide 2
Slide one
Slide two
Slide 10Stab wound to Rt chest1-What is the diagnosis? 2-What is the immediate interference?
Slide 111- What type of graft is this?2- Enumerate two late complications?
Slide 121- What is the finding in this CT?2- By what chart you follow this patient?
Slide 13Patient with atrial filtration1- What is the diagnosis?2- What are the cardinal clinical findings?
Slide 141- Mention the name of this equipment2- What is the benefit of its use?
Slide 151- Describe the lesion2- Enumerate 3 complications for such condition
Slide 161-What skin changes indicative of breast cancer in this image?2- What is the procedure used for biopsy her?
Slide 17At emergency unit this patient in his 8th day post laparotomy.1- What is the diagnosis?2- Mention the name of suturing to be used for its treatment.
Slide 1880 year old, bedridden patient had this lesion in the buttock and lower back area.1- What does this lesion called?2- Enumerate 3 predisposing factors.
Slide 191- What is the diagnosis?2- Mention the surgical procedure needed in such condition.
Slide 201- When does goiter not move with swallowing?2- What are the local complication her























