Slide examination for 6th year medical student in surgery, group A 2016/20171- The exam composed of 20 slides. Each slide contains 2 questions.2-Three minutes are allowed for answering each slide.3-The slides will change automatically, there will be no return back to previous slides.4-The answer should be not more than one paragraph for each question.5-There will be 1 mark for each slide, total mark of this exam is 20.6-Be sure of writing your full name, number of the slide and number of the question.
Slide 1. mass at med neck move with tongue protrusion1- what is the diagnosis? What complications could happen if not treated?2- Name the operation, what structure to be excised to prevent recurrence?
Slide 2. fever with sever pain at anal region1- what is the diagnosis?1- what is the best treatment? What complication could happened later?
Slide 3. A 60 year old woman is referred to you with a rash on her nipple. 1- What are the deferential diagnosis?2- who to prove the diagnosis?
Slide 4. At emergency unit this patient in his 8th day post laparotomy.1- What is the diagnosis?2- Mention the name of suturing to be used for its treatment.
Slide 5. 80 year old, bedridden patient had this lesion in the buttock and lower back area.1- What does this lesion called?2- Enumerate 3 predisposing factors.
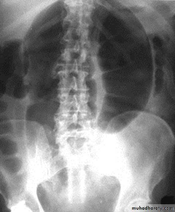
Slide 61- what does the Xray shows? What is the diagnosis?2- Mention the cardinal clinical picture of this condition.
Slide 71- What is this equipment? What is the benefit of the balloon2- Give 2 complications during uses.
Slide8. 10 years old boy with sudden sever scrotal pain1- What is the diagnosis?2- what is the treatment in such case? What to do to other testis?
Slide 9. 70 years old man fail to pass urine1- What we call the condition? What is the most common cause?2- What is the first aid to be done
Slide 10. newly born baby with excessive salivation1- what does the x ray shows2- enumerate the types of such condition
Slide 11. new born by CS.
1- what is the diagnosis2- what is the pathognomonic sign?
Slide 121- what is the diagnosis2- who to differentiate it from other abdominal wall defect?
Slide 13 An 8 years old boy with recurrent painful limping
1- what is the radiological changes?2- what is the diagnosis?
Slide 14. 20 Years old man presented following car accident.1- What is the diagnosis . what is the type of displacement?2- what is the best treatment
Slide 15
1- what is clinical test used ? what to confirm or exclude?2- what is this method of treatment?
Slide 16. a fall on out stretched hand1- What is the diagnosis2- What is the most common early neurological complication ?
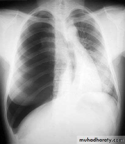
Slide 17Severe chest trauma by car accident1- What does the x ray show?2- What make the neck veins distended
Slide 18. 1- comment on the xray2- the best response to you for urgent treatment
Slide 191- what is the cause of such ulcer2- what is the remote complication
Slide201- what nerve is injured in this boy (mention the side)2- enumerate 3 associated symptoms?
























