قراءة
عرض

Urinary system

IMAGIMG TECHNIGUES :
Excretory urography (EU) or IVP or IVU, US ,CT & radionuclide imaging are the major modalities used in the investigations of suspected UT disorders.
MRI, arteriography

IVU & to a lesser extent CT provide both functional & anatomical informations.

US & MRI provide anatomical informations.
Radionuclide scanning provides functional informations only.

Intravenous Urography (IVU):

Also known as excretory urography.
It means the visualization of kidney parenchyma, calyces and pelvis after intravenous injection of iodinated contrast medium to the patient, followed by a series of x-ray films.
Its use has been decreased lately as it is replaced by US and Computerized Tomography (CT).
Remains the primary modality for visualization of the pelvicalyceal system and ureters, providing both functional and anatomical information.

Indications

When detailed demonstration of the pelvicalyceal system and ureters is required.
-The assessment of suspected acute ureteric colic.
-Investigation of renal calculi (stones).
-The investigation of hematuria.


Contrast medium and its excretion:
Urographic contrast media are highly concentrated solutions containing iodine, also known as iodinated
Large volume of CM (50-100mi) is injected intravenously passes to glomerular filtrate concentrated in renal tubules passes to-pelvicaticeal systems ---ureters---bladder.


Urinary system

The procedure of performing IVU:

A. First a plain x-ray of the abdomen is taken before the injection of the contrast media, also known as A KUB (kidney, Ureter and Bladder). Calcification & stones may be obscured & missed by contrast media if plain film not takenfirst .
B. Films taken after injection of contrast’ medium:
A series of x-ray films are taken after injection of the contrast.
Each film is taken at a time interval determined by the radiologist who is supervising the procedure.

1.Nephrogram phase (Immediately after injection of contrast) .

2. Pyelogram Phase(l-5 minutes after injection of contrast) .




Urinary system

3. After 10 minutes with compression, to get better distention of the pelvis and calyces.

Urinary system

4. Full length film after release of compression .

Urinary system

5. A full bladder film (with the urinary bladder fully distended with contrast)

Urinary system




6. Post voiding full length film


Urinary system

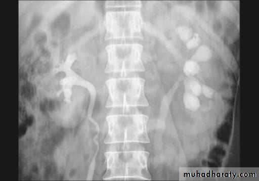
Interpretation of IVU films (what to look for?):

The kidneys:
Check their position (left kidney is usually higher).
Identify the whole of both renal outlines, look for any indentations or bulges:
Renal parenchymal width should be uniform(2-2.5cm)
measure renal lengths:
Normal length of adult kidney at IVU is 10-16cm. This is higher than in ultrasound due to image magnification.


Urinary system

2.Calyces:

-should be evenly distributed -symmetrical.
-Cup shaped (normal shape) -Club shaped (when dilated)


Urinary system


Urinary system

3. Renal pelvis and ureter:

-The normal renal pelvis and pelvi-ureteric junction are funnel shaped.
-Ureters are seen only in part of their length on any one film due to obliteration by peristalsis.


Urinary system

Dilatation of pelvis and ureter may be due to:

-Obstruction (by stone , tumors or external compression).
-secondary to vesico-ureteric reflux

Look for filling defects which could be due to three common causes

stones
tumors.
Blood clots.


4. Bladder
The bladder is a centrally located structure.
Smooth in outline.
Smooth indentation from above by uterus on the right or sigmoid colon on the left and from below by muscles of the pelvic floor is normal.
Other than that, any filling defect, wall irregularity or diverticula must be carefully looked for.


Urinary system





رفعت المحاضرة من قبل: أحمد فارس الليلة
المشاهدات: لقد قام 18 عضواً و 263 زائراً بقراءة هذه المحاضرة








تسجيل دخول

أو
عبر الحساب الاعتيادي
الرجاء كتابة البريد الالكتروني بشكل صحيح
الرجاء كتابة كلمة المرور
لست عضواً في موقع محاضراتي؟
اضغط هنا للتسجيل