Neoplasms of the esophagus
Benign tumors:benign epithelial tumors ( papilloma, adenoma) are relatively rare and much less common than benign non epithelial tumors which arise from the wall of esophagus (GIST , lipomas). We should take multiple biopsies for diagnosis, which also include EUS and barium study.
Figure1 : large filling defect by GIST.
Malignant tumorsIn contrast to benign one, epithelial malignant tumors is more common than the non epithelial (melanoma).
Carcinoma of the esophagus:
It’s the 6th most common cancer in world.
Affect adult patients
Poor survival, 5% live for 5 years.
Pathology and etiology
• Squamous cell CA:• more common worldwide and affect the upper two-thirds of the esophagus.
• 2. adenocarcinoma:
• More common in western countries and its incidence is increasing.
epidemiology
Esophageal CA has the most variable geographical variation among other tumors.
Its endemic in south Africa and the Asian cancer belt.
The highest incidence in the world is in linxian in Henan province- china. The cause is unknown but may be due to fungal contamination and nutritional deficiencies.
The increasing incidence of adenoma CA is associated with a similar rate of increasing GERD and CA of the cardia of stomach, the cause is not well known but the obesity is the common factor among them.
Dissemination:
Both carcinomas tend to disseminate early, so the patient usually present with advanced diseases.
Modes of spread:
1. direct: through the wall; either laterally or longitudinally (not segmental) and spread through the submucosal lymphatics.2. Lymphatic spread( predominantly caudal), any L.N in this region could be involved regardless of the site of primary tumor
3. Hematogenous
4. Trans peritoneal spread ( abdominal part)
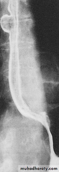
Figure2: Squamous cell carcinoma of the oesophagus producing
an irregular stricture with shouldered marginsClinical features:
• The commonest presentation is dysphagia, also there may be regurgitation, vomiting, Odynophagia and weight loss .
• Patients with early disease may present with dyspeptic symptoms, or something abnormal during swallowing, or during surveillance for Barrett esophagus.
• Findings of advanced malignancy include
Recurrent laryngeal nerve injury
Horner syndromeChronic spinal pain
Diaphragmatic paralysis
Sever weight loss
Enlarged supraclavicular lymph nodes.
investigations
Endoscopy is the best tool for diagnosing esophageal tumors, the only limitation is that only the mucosal surface is biopsied and studied, so other investigations may be needed eg EUS, CT scan.Bronchoscopy : used for diagnosis of upper two-thirds of esophageal tumors. Cause 30% of esophageal tumors have local invasion to the trachea.
figure 3:Endoscopic appearances of a mid-oesophageal Squamous cell carcinoma
General assessment and staging
The patient should be assessed for the disease stage and general health and fitness for potential therapies.
The best staging system is TNM.
The tools used in staging are:
1.CT scan for hematogenous spread and distant metastasis.
2. EUS for tumor size and penetration and L.Ns.
3. laparoscopy; for diagnosis of liver and peritoneal metastasis.
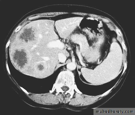
Figure4: CT scan showing liver metastasis.
Figure5: EUS showing early tumorPET scan
Fiagure6: pet scan showing a tumor and distant metastasis.
Table 1: TNM staging system of esophageal tumors
Figure 7: algorithm for management of esophageal tumors
CT scanEUS
Laparoscopy
EUSTreatment
A bout two thirds of esophageal tumors are incurable at diagnosis.Curative treatment:
Radical surgery indicated for early tumors.
Preoperative( neoadjuvant) may improve survival in certain patients.
Resection margin is 10 cm proximally and 5 cm distally.
1. two Phases ivory lewis operation:
Suitable for middle and lower thirds tumors.
It include 2 stages, the first is laparatomy to form a gastric tube( proximal gastrectomy) which depend in its blood supply on right gastroepiploic A. and right gastric artery.
Second stage is right thoracotomy to resect the esophageal segment.
• 2. Three phases (Mckeown)
• Its suitable for upper esophageal tumors (Squamous).• It involve a third incision in the neck.
• 3. Transhiatal esophagectomy
chemoradiotherapy
It has better survival rate than radiotherapy alone.It can cure certain cases of Squamous CA.
It can be used in patient unfit or refuse to do the surgery.
Palliative treatment
The aim of palliative treatment is to overcome debilitating or distressing symptoms.The most important step is to restore swallowing and treat dysphagia by:
• intubation by a. plastic or rubber tube.
• b. expanding metal stent.
• Endoscopic laser : to core a channel through the tumor.
• Brachytherapy.
Motility disorder of the esophagus:
A motility disorder can be diagnosed if there is dysphagia in the absence of a stricture.
The pain in these conditions can be caused by very high pressure or uncoordinated contractions( spasm).
Achalasia
Pathology and etiology:Achalasia means failure to relax, its due to loss of ganglionic cell in the myenteric(Auerbach) plexus, its similar to chagas disease caused by trepanosoma cruzi in south America.
There are early and late stages:
1. Early (vigorous achalasia) there is inflammation and neural fibrosis but normal numbers of ganglionic cells. It cause uncoordinated contractions which cause pain more than food sticking.
2. late stage
There is loss of ganglionic cells so contractions disappear and esophagus dilate and becomes tortuous with a persistent retention esophagitis due to fermentation of food residues which may increase incidence of esophageal carcinoma( Squamous).Clinical features
It affect any age but usually middle life.Dysphagia
Pain in early stages
Regurgitation
Overspill into the trachea, especially at night.
Diagnosis
• 1.Endoscopy: shows a tight cardia and food residue in the esophagus.
• 2. Barium radiology shows:
• a. bird beak sign
• b. absent gastric gas bubble.
• These endoscopic and radiological features disappear in late stages.
• 3. Manometry : the LOS pressure is elevated due to non relaxation state.
a
b
Figure8: a. bird beak
b. dilated and tortuous esophagus.
Treatment
• Pneumatic dilatation by stretching the cardia with balloon to disrupt the muscles.• its curable in 75-85 % of cases.
• Heller myotomy:
• by cutting the muscle of the lower esophagus and cardia, its curable in 90% of cases.
• the major side effect is reflux, so it can be treated by anterior fundoplication.
3. botulinum toxin: by endoscopic injection, it can be repeated in few months, it should be avoided in elderly.
4. Drugs:
Ca channel blockers and nitrates can be used for a short period.
Pseudoachalasia:
achalasia like disorder caused by benign or malignant tumor of the cardia which prevent sphincter relaxation.It can be caused by bronchial or pancreatic tumors.
Diffuse esophageal spasm
There is incooardinated contractions of the esophagus, usually affect the lower two thirds.The pressure inside esophagus may reach
400-500mmHg.
Clinically there is chest pain and dysphagia.
Diagnosis by manometry, and corkscrew esophagus at barium swallow.
Treatment: Ca blockers, endoscopic treatments and vasodilators have transient effect.
Figure9: Corkscrew oesophagus in diffuse oesophageal spasm
Extended surgical myotomy improve dysphagia but not chest pain.
Nutcracker esophagus:
The pressure inside reach 180mmHg.It present with chest pain which is caused by reflux rather than the pressure, so its treated by antacid agents.
Pharyngeal and esophageal diverticula
Pulsion diverticulaTraction diverticula
False diverticula
More common
Result due to rise in pressure, at a weak point.
True diverticula
Less common
Due to granulomatous disease affecting the tracheobroncheal L,Ns.
Figure10:
a traction diverticulum.Zinker diverticulum(pharyngeal pouch)
It’s a pulsion diverticulum
It protrude posteriorly above cricopharyngeal muscle through the dehiscence of killian.
Clinically it present with pharyngeal dysphagia as there is incoordinate contractions and hence swallowing
Then as the pouch increase in size it descend into the mediastinum and become filled with food causing halitosis and esophageal dysphagia.
Treatment:
• Surgery ( less than 3cm)• Endoscopy( more than 3cm)
• This diverticulum is precancerous.
• Epiphrenic diverticula:
• Are pulsion diverticula, at the lower esophagus, above the diaghram, they may attain very large size but with few symptoms .
Its caused by mechanical or functional disorder( achalasia)
Treatment by excision of the diverticulum and treatment of the underlying cause.Schatzki ring
Is a circular ring at the distal esophagus, at the squamocolumnar junction.The cause is unknown but there is association with reflux and sliding hernia
Its asymptomatic, may cause dysphagia.
Treatment:
Small one need no treatment
Large ring require dilatation and medical anti reflux agents.
Figure11: epiphrenic diverticulum
Figure12: Schatzki’s ring.
Plummer- vinson syndromeAlso called paterson-kelly or sideroplastic anemia
Clinically present with
• Dysphagia by the post cricoid web
• Iron deficiency anemia
• Glossitis and koilonychia
• Some patients may develop leukoplakia so it may cause cancer.
Paraesophageal (rolling) hernia
The true rolling hernia in which the cardia remain in its position is rare, and its mixed in which both the cardia and the greater curve is displaced into the chest.The whole stomach may goes upward resulting in twisting and volvulus.
The hernial sac may contain small bowel or colon.
It usually occur in elderly patients.
Clinical features:
• Dysphagia
• Chest pain that may be relieved by a loud belch
• Symptoms of GERD.
• Complication:
• Twisting and strangulation
• Gangrene
• perforation
Diagnosis: best done by barium meal, the endoscope maybe confusing.
Treatment:Intravenous fluid, NG tube
Surgical intervention















