Fifth stage
Radiology(Chest)Lec-1
د.محمد
17/10/2016
Chest imagingHilar structuresThe hila (lung roots) are complicated structures mainly consisting of the major bronchi and the pulmonary veins and arteries. These structures pass through the narrow hila on each side and then branch as they widen out into the lungs. The hila are not symmetrical but contain the same basic structures on each side.
Key points
Each hilum contains major bronchi and pulmonary vessels
There are also lymph nodes on each side(not visible unless abnormal)
The left hilum is often higher than the right
Both hila should be of similar size and density. If either hilum is bigger and more dense, this is a good indication that there is an abnormality.
Lung markings reflects pulmonary vasculature
Soft tissuesThe soft tissues are often overlooked when viewing a chest x-ray, however, abnormalities of the soft tissue may give important clues to a diagnosis. Whenever you look at a chest x-ray, have a look at the soft tissues, especially around the neck, the thoracic wall, and the breasts.
Soft tissue fat
This close-up demonstrates a normal fat plane between layers of muscle. Fat is less dense than muscle and so appears blacker.
Note that the edge of fat is smooth. Irregular areas of black within the soft tissues may represent air tracking in the subcutaneous layers. This is known as surgical emphesyma.
The lung
The left lung has two lobes and the right has three
Each lobe has its own pleural covering
The horizontal fissure (right) is often seen on a normal frontal view
The oblique fissures are often seen on a normal lateral view .
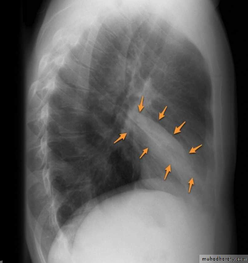
Lobes and fissures
This cut-out of a lateral chest x-ray shows the positions of the lobes of the right lung
On the left the oblique fissure is in a similar position but there is usually no horizontal fissure, and so there are only two lobes on the left.
Lung lesions
Patch >>>>>>>>>>>> a. consolidation (pneumonia & TB)
b. collapse
Cavity >>>>>>>>>>>> a. TB
b. abscess
c. ruptured hydatid cyst .
Mass >>>>>>>>>>>>> a. malignant mass (br.ca)
b. metastases
c. benign ( hydatid cyst)
Radiologic anatomy of the RT lung lobes
Radiologic anatomy of the LT lung lobes
Corner stone
Consolidation is a radiological sign that refers to non-specific air-space opacification on a chest radiograph or chest CT. Many things can fill the alveolar spaces, including fluid (heart failure), pus (pneumonia), blood (pulmonary haemorrhage) and cells (lung cancer)Radiographic features
Consolidated areas are radio opaque on chest radiograph and chest CT compared to normally air filled lung tissue.
Lobar consolidation
Where increased density/opacity is seen in individual lung lobes. Sharp delineation can be seen when consolidation reaches a fissure, since it does not cross. Air bronchograms can also be seen due to bronchi becoming visible against the dense diseased tissue. Volume loss is usually not seen..
Multi-focal consolidation
Multiple areas of opacity seen throughout the lung most often is due to bronchopneumonia, starting from bronchi and spreading outwards. Usually ill defined with peripheral distribution. Neoplasms such as a primary malignancy or metastasis can also cause this picture.
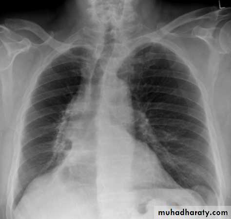
Right upper lobe consolidation
RUL consolidation will be seen as an increased opacity within the right upper lobe. Opacity may be sharply bordered by the horizontal fissureSome loss of outline of the upper right heart border may be apparent
Radiological sign in chest radiograph
Dense opacity seen above the horizontal fissure.
Air-bronchogram line
The lower border of the consolidation is sharply delinated by the horizontal fissure suggesting it lies in the anterior segment of the RUL
Right middle lobe consolidation
The right middle lobe is bordered superiorly by the horizontal fissure, and medially by the right heart border. Any abnormality, which increases density of this lobe, may therefore obscure the right heart border, or be limited superiorly by the horizontal fissure.
Radiographic features
Features of right middle lobe (RML) consolidation on CXR include:opacification of the RML abutting the horizontal fissure
indistinct right heart border
loss of the medial aspect of the right hemidiaphragm
air bronchograms
Right lower lobe consolidation
manifests as airspace shadowing that abuts the right hemidiaphragm,obliterating the crisp margin of the hemidiaphragm and normal aerated lung.
bulging fissure sign refers to lobar consolidation where the affected portion of the lung is expanded. It is now rarely seen due to the widespread use of antibiotics.
The most common infective causative agents are :
Klebsiella pneumoniae
Bronchopneumonia
Bronchopneumonia (also sometimes known as lobular pneumonia ) is a radiological pattern associated with suppurative peribronchiolar inflammation and subsequent patchy consolidation of one or more secondary lobules of a lung in response to a bacterial pneumonia.
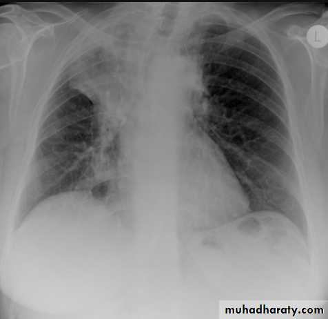
Lobar lung collapse
Lobar collapse refers to the collapse of an entire lobe of the lung. As such it is a subtype of atelectasis (although collapse is not entirely synonymous is atelectasis), which is a more generic term for 'incomplete expansion'. Individual lobes of the lung may collapse due to obstruction of the supplying bronchus.
Causes include:
luminal
aspirated foreign material
mucous plugging
mural
bronchogenic carcinoma
extrinsic
compression by adjacent mass
Radiographic features
Radiograph
The appearance on chest x-ray varies according to the lobe involved and are discussed separately:
right upper lobe collapse
right middle lobe collapse
right lower lobe collapse
left upper lobe collapse
left lower lobe collapse
lingular collapse
Some features, however, are generic markers of volume loss and are helpful in directing ones attention to the collapse, as well as enabling distinction from opacification of the lobe without collapse (e.g. lobar pneumonia). These features include 5:
elevation of the ipsilateral hemidiaphragm
crowding of the ipsilateral ribs
shift of the mediastinum towards the side of atelectasis
crowding of pulmonary vessels or air bronchograms
Right upper lobe collapse has distinctive features, and is usually easily identified on frontal chest radiographs .
Radiographic features
Chest radiograph
Collapse of the right upper lobe is usually relatively easy to identify on frontal radiographs. Features consist of :
increased density in the upper medial aspect of the right hemithorax
elevation of the horizontal fissure
loss of the normal right medial cardiomediastinal contour
elevation of the right hilum
hyperinflation of the right middle and lower lobe result in increased translucency of the mid and lower parts of the right lung
right juxtaphrenic peak
A common cause of lobar collapse is a hilar mass. When a right hilar mass is combined with collapse of the right upper lobe, the result is an S shape to elevated horizontal fissure. This is known as Golden S sign .
Non-specific signs indicating right sided atelectasis are also usually present including:
elevation of the hemidiaphragm
crowding of the right sided ribs
shift of the mediastinum and trachea to the right
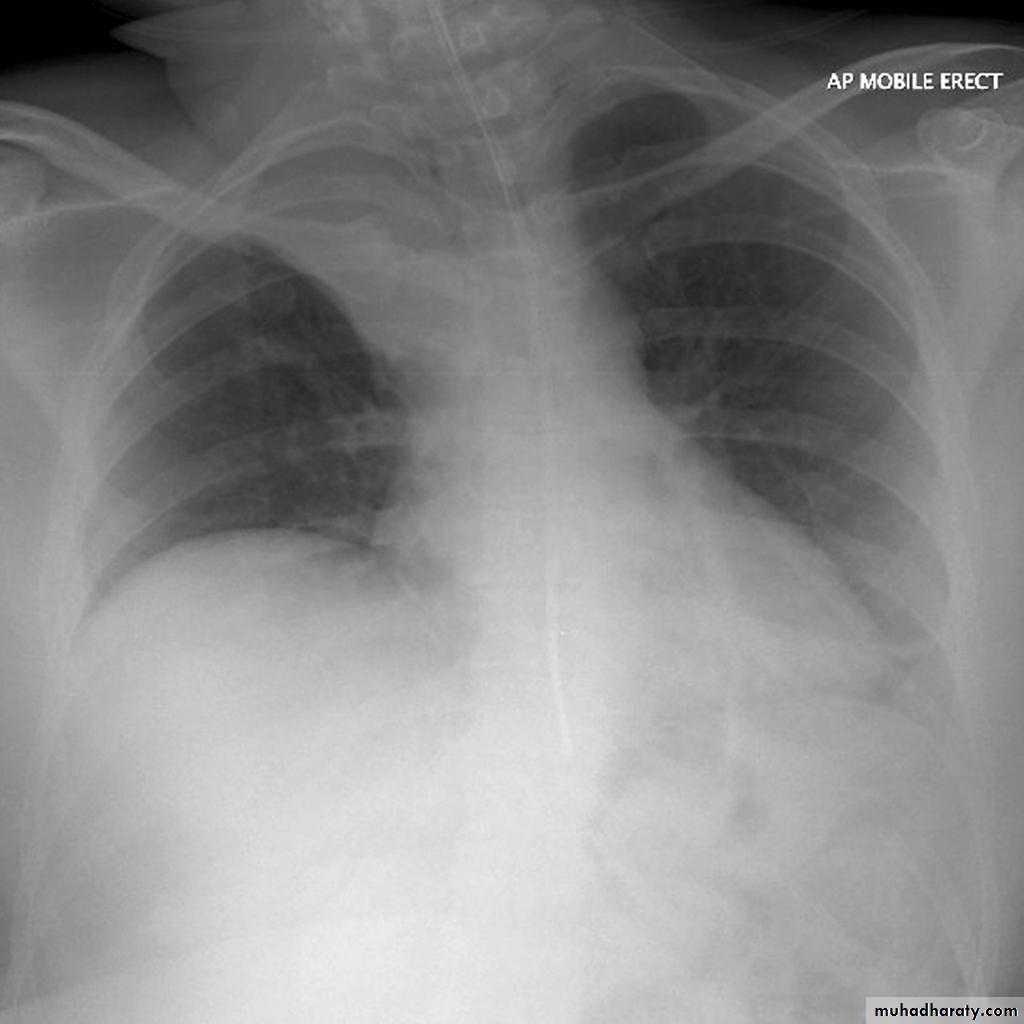
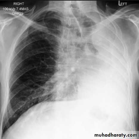
Right middle lobe collapse has distinctive features, and is usually relatively easily identified.
Radiographic features
Chest radiograph
Frontal chest XR showing opasity cause obscuration of the RT cardiac border
Lateral chest XR film the opacity is tongue like shape
versus (triangular in shape) in RT middle lobe consolidation seen in lateral chest XR film
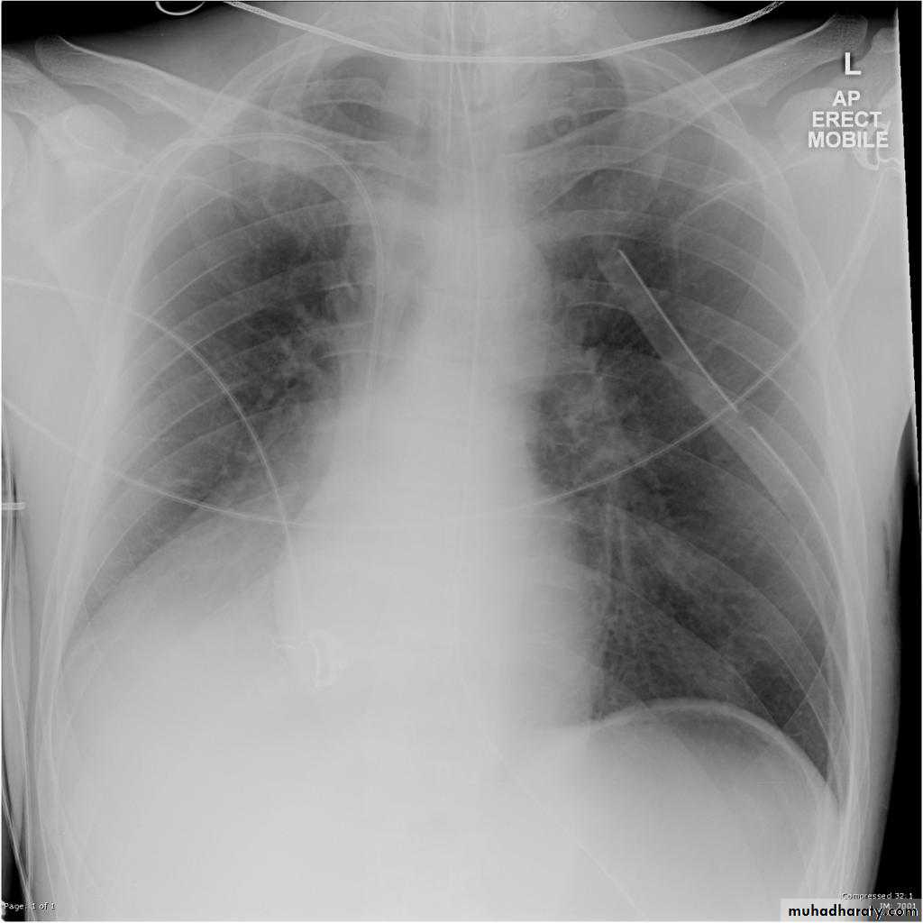
RT lower lobe collapse
usually the medial aspect of the dome of right hemidiaphragm is lost.the right hilum is depressed
It is important to note that the right heart border, which is contacted by the right middle lobe remains well seen.
Non-specific signs indicating right sided atelectasis may also be present (although due to the small size of the right middle lobe they may well be subtle). They include:
elevation of the hemidiaphragm
crowding of the right sided ribs
shift of the mediastinum to the right
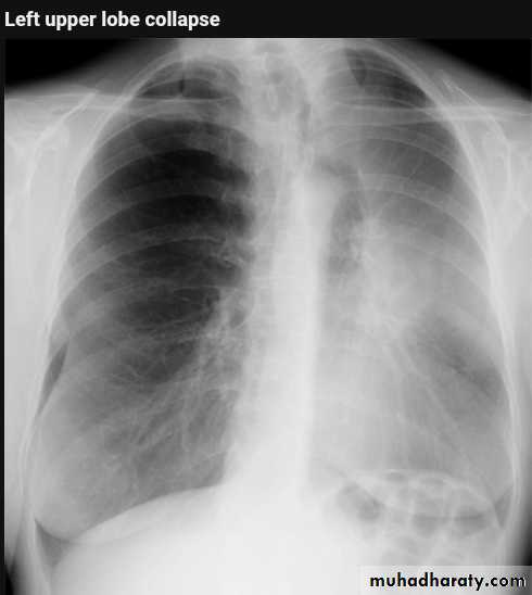
Left upper lobe collapse has distinctive features but can be challenging to identify on chest radiographs by the uninitiated.
Radiographic features
The left upper lobe collapses anteriorly becoming a thin sheet of tissue apposed to the anterior chest wall, and appears as a hazy or veiling opacity extending out from the hilum and fading out inferiorly . It thus reverses the normal slight increase in radiographic density seen as you move down the lung (due to increased thickness of the chest soft tissues).
Parts of the normal cardiomediastinal contour may also be obliterated where the left upper lobe, particularly the lingula abut the left heart border. The anterior parts of the aortic arch are also often obliterated from view.
In some cases the hyperexpanded superior segment of the left lower lobe insinuates itself between the left upper lobe and the superior mediastinum, sharply silhouetting the aortic arch and resulting in a lucency medially. This is known as the HYPERLINK "http://radiopaedia.org/articles/luftsichel-sign" luftsichel sign.
The left hilum is also drawn upwards, resulting in an almost horizontal course of the left main bronchus and vertical course of the left lower lobe bronchus.
Non-specific signs indicating left sided atelectasis will also be present, including:
elevation of the hemidiaphragm
'peaked' or 'tented' hemidiaphragm: HYPERLINK "http://radiopaedia.org/articles/juxtaphrenic-peak-sign" juxtaphrenic peak sign
crowding of the left sided ribs
shift of the mediastinum to the left
On lateral projections the left lower lobe is hyperexpanded and the oblique fissure displaced anteriorly. There is associated increase in the retrosternal opacity.
Left lower lobe collapse has distinctive features, and can be readily identified on frontal chest radiographs, provided attention is paid to the normal cardiomediastinal contours. The shadow cast by the heart does however make it harder to see than the right lower lobe collapse
Radiographic features
Left lower lobe collapse
is readily identified in a well penetrated film of a patient with normal sized heart, but can be challenging in the typical patient with collapse, namely unwell patients, with portable (AP) often under-penetrated films, often with concomitant cardiomegaly. Features to be observed include :
triangular opacity in the posteromedial aspect of the left lung
edge of collapsed lung may create a 'double cardiac contour'
left hilum will be depressed
loss of the normal left hemidaphgragmatic outline
loss of the outline of the descending aorta
Non-specific signs indicating left sided atelectasis are usually also be present including:
elevation of the hemidiaphragm
crowding of the left sided ribs
shift of the mediastinum to the left
On lateral projection the left hemidiaphragmatic outline is lost posteriorly and the lower thoracic vertebrae appear denser than normal (they are usually more radiolucent than the upper vertebrae) .
RT ULC
LT L L collapse
RT middle lobe collapse
RT L L collapse
LT L L collapse
Total lung collapse
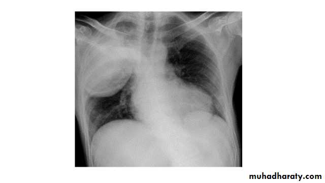
Lung abscess is a circumscribed collection of pus within the lung, is are potentially life threatening. They are often complicated to manage and difficult to treat
Lung abscesses are divided according to their duration into acute (< 6 weeks) and chronic (> 6 weeks) .
A primary abscess is one which develops as a result of primary infection of the lung. They most commonly arise from aspiration, necrotising pneumonia or chronic pneumonia, e.g. pulmonary tuberculosis
Some organisms are particularly prone to causes significant necrotising pneumonia resulting in cavitation and abscess formation. These include :
Staphylococcus aureus
Klebsiella sp: HYPERLINK "http://radiopaedia.org/articles/klebsiella-pneumonia" Klebsiella pneumonia
Pseudomonas sp
Plain film
The classical appearance of a pulmonary abscess is a cavity containing an air-fluid level. In general abscesses are round in shape, and appear similar in both frontal and lateral projections.
Very important
Empyema vs pulmonary abscessrelationship to adjacent bronchi / vessels
abscesses will abruptly interrupt bronchovascular structures
empyema will usually distort and compress adjacent lung
split pleura sign thickening and separation of visceral and parietal pleura is a sign of empyema
abscesses have thick irregular walls
empyema are usually smoother
angle with pleura
abscesses usually have an acute angle (claw sign)
empyema have obtuse angles
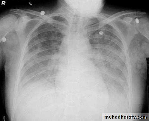
Hydatid cysts result from infection by the Echinococcus, and can result in cyst formation anywhere in the body. Humans are accidental host and the infection occurs by ingesting food contaminated with Echinococcus eggs ,Pulmonary hydatid infection is a common manifestation of hydatid disease.The lung is the second most common site of involvement with echinococcosis granulosus in adults after the liver (10-30% of cases), and the most common site in children. The coexistence of liver and lung disease is present in only 6% of patients .
Chest XR features include :
Non-complicated hydatid
multiple or solitary rounded opacity
diameter of 1-20 cm
unilateral or bilateral
predominantly found in the lower lobes
Complicated cysts may show:
meniscus sign or air crescent sign
cumbo sign or onion peel signThe onion peel sign (also called the cumbo sign) is a feature seen with complicated pulmonary hydatid cyst in which air lining between the endocyst and pericyst has the appearance of an onion
water-lily is seen in hydatid infections when there is detachment of the endocyst membrane which results in floating membranes within the pericyst that mimic the appearance of a water lily.
Consolidation adjacent to the cyst (ruptured cyst)
Simple H.C Ruptured H.C
Lung tumor
Lung cancer, or frequently, if somewhat incorrectly, known as bronchogenic carcinoma, is the most common cause of cancer in men, and the 6th most frequent cancer in women worldwide. It is the leading cause of cancer mortality worldwide in both men and women and accounts for approximately 20% of all cancer deaths
subtype has a different radiographic appearance, demographic, and prognosis:
squamous cell carcinoma of the lung
adenocarcinoma of the lung
large cell carcinoma of the lung
small cell carcinoma of the lung
Other malignant pulmonary neoplasms include lymphoma
Associations
Various HYPERLINK "http://radiopaedia.org/articles/paraneoplastic-syndromes" paraneoplastic syndromes can arise in the setting of lung cancer
Sequamous cell CAmost common primary lung malignancy to cause HYPERLINK "http://radiopaedia.org/articles/paraneoplastic-syndromes" paraneoplastic syndromes and SVC obstruction
Radiology of BGCA
The appearance depends on the location of the lesion.1.The more central lesions may merely appear as a bulky hilum, representing the tumor and local nodal involvement the lesion is irregular in outline have spiky or sun ray spiculation .
2.Lobar collapse may be seen due to obstruction of a bronchus. When the right upper lobe is collapsed and a hilar mass is present, this is known as the Golden S sign.
3.A more peripheral location may appear as a rounded or spiculated mass. Cavitation may be seen as an air-fluid level , more to be large cell CA .
4.Chest wall invasion is difficult to identify on plain films unless there is destruction of the adjacent rib or evidence of soft tissue growing into the soft tissues superficial to the ribs.
5.A pleural effusion may also be seen, and although it is associated with a poor prognosis, not all effusions are due to malignant involvement of the pleural space.
Pancosts tumor:
A Pancoast tumour, otherwise known as superior sulcus tumour, refers to a relatively uncommon situation where a primary bronchogenic carcinoma arises in the lung apex and invades the surrounding soft tissues , adeno CA being the most frequent type ,Plain film
Plain films demonstrate a soft tissue opacity at the apex of the lung. Occasionally with rib involvement with extension into the supraclavicular fossa may be evident with surrounded bony destruction . Lordotic views may be helpful .
Must important complication is involvement of the sympathetic chain >>>>
* Ptosis
* Meiosis
* unhydrosis
Secondary lung tumor:
Pulmonary metastases are common and the result of metastatic spread to the lungs from a variety of tumors and can spread via blood or lymphatics.1.Cannonball metastases refer to large well circumscribed, round multiple opacities like cannonballs
2.lymphangitis carcinomatosis , is the term given to tumor spread through the lymphatics of the lung , and is most commonly seen secondary to adenocarcinoma Unfortunately up to a quarter of patients with subsequently established lymphangitic carcinomatosis have normal chest x-rays . When abnormal the most common finding is of a reticulonodular pattern, with thickening of the interlobular septae which may resemble HYPERLINK "http://radiopaedia.org/articles/septal-lines-in-lung" Kerley B lines + /- pleural effusion .
3.innumerable small metastases ( HYPERLINK "http://radiopaedia.org/articles/miliary-opacities" miliary pattern).





















































