Histology
Second stage ( 2016-2017 )Lab. 1
Respiratory System Practical Slides
Pseudo stratified columnar ciliated epithelium with goblet cells
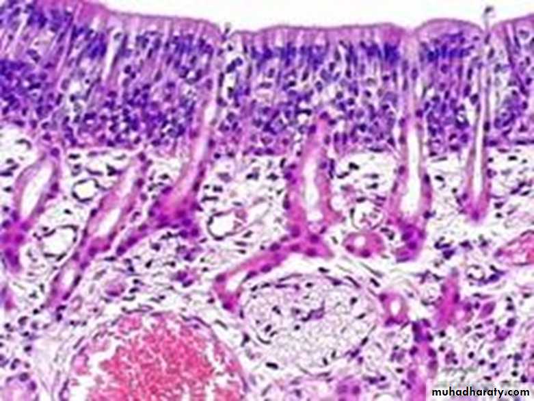
The question about this slide : What kind of epithelium is found here in the upper part of this photomicrograph?Olfactory Epithelium with Bowmen's gland and olfactory nerve fibers
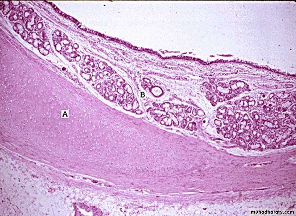
The question about this slide : What kind of epithelium is found here in the upper part of this photomicrographThis slide is actually of the trachea , A is hyaline cartilage and ,B are mixed glands.
The question about this slide : Name the tissue indicated by A and the structures indicated by B.? What is this slide of ?Bronchus
The question about this slide : What is this slide of ?Bronchiole
The question about this slide : What is this slide of ?The lung
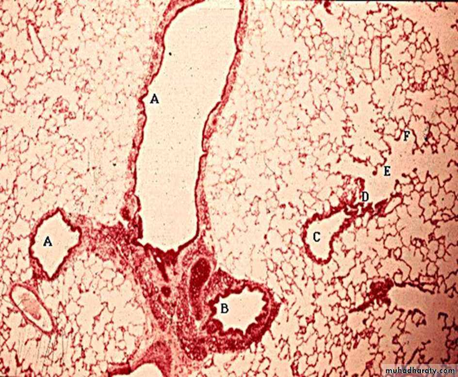
The question about this slide : Name the indicated structures and you may as well name the organ tooA bronchioles ( note the absence of cartilage in their wall)
B is a bronchus ( with a plate of cartilage in their upper left hand corner of its wall )C is a terminal bronchiole branching into D the respiratory bronchial (which can be distinguish by the alveoli interrupting its wall)
E are alveolar duct








