18-10-2016 Parasitology د.اكرام الحسو
Lec: 1&2Blood and tissue Protozoa (Haemo-Flagellates)
Two genera within hemoflagellates infect human which are:• Genus Leishmania
• Genus Trypanosoma
Morphological forms of hemoflagellates
1-Amastigote (Leishmania) form:Round or oval in shape.
2-5 microns in diameter.
Have single nucleus with large central karyosome, the kinetoplast (which consists from blepharoplast and parabasal body beside it) lies at right angle to the nucleus.
Has no flagellum.
2-Promastigote (leptomonad) form:
Elongated (spindle in shape).15-20 microns X 1-2 microns.
Have centrally located nucleus and the kinetoplast situated at the anterior end.
From blepharoplast, single free flagellum projects from the anterior end.
This form has no undulating membrane.
3-Epimastigote form:
Elongated form.
15-20 microns long and slightly wider than promastigote.
Nucleus near middle, kinetoplast is anterior to the nucleus. From blepharoplast flagellum arises forming the undulating membrane extending half of the body length, and project from the anterior end as a free flagellum.
4-Trypomastigote (Trypanosome) form:
Elongated form (15micron X 2-4micron) .
Nucleus near middle, kinetoplast is at the posterior end, the flagellum and undulating membrane pass anteriorly along entire body length and free flagellum extends from anterior end.
Genus Leishmania
Include 4 major species:Leishmania donovani
Leishmania tropica
Leishmania Mexicana
Leishmania braziliensis
Leishmania donovani
L. donovani is the cause of kala-azar (visceral leishmaniasis, black fever).
life cycleThe life cycle involves the sandfly as the vector and a variety of mammals such as dogs, foxes, and rodents as reservoirs. Only female flies are vectors because only they take blood meals (a requirement for egg maturation). Shortly after an infected sandfly bites a human, the promastigotes are engulfed by macrophages, where they transform into amastigotes. The infected cells die and release amastigotes that infect other macrophages and reticuloendothelial cells. When the female sandfly(phlebotomus) sucks blood from an infected host, it ingests macrophages containing amastigotes. After dissolution of the macrophages, the freed amastigotes differentiate into promastigotes in the gut. They multiply and then migrate to the pharynx, where they can be transmitted during the next bite. The cycle in the sandfly takes approximately 10 days.
female sandfly (phlebotomus)
Pathogenesis
The organs of the reticuloendothelial system (liver, spleen and bone marrow) are the most severely affected.Reduced bone marrow activity with cellular destruction in the spleen.
The striking enlargement of the spleen is due to a combination of proliferating macrophages and sequestered blood cells.
Epidemiology
Kala-azar occurs in the Mediterranean area, the Middle East, southern Russia, and parts of China, Africa, India and and Kenya.Clinical Findings
Intermittent fever, weakness, and weight loss.
Massive enlargement of the spleen is characteristic.
Hyperpigmentation of the skin.
As anemia, leukopenia, and thrombocytopenia become more profound, weakness, infection, and gastrointestinal bleeding occur.
Untreated severe disease is nearly always fatal as a result of secondary infection.
Post Kala-azar dermal leishmaniasis (PKDL) (Dermal-Leishmaniod)
It is a dermatotropic form of leishmaniasis,it is an immune reaction due to incomplete treatment, it is found in areas where L. donovani is the causative agent of VL and develops after 2-10 years from VL.Three clinical type of PKDL are encountered:
1- Depigmented macules.
2- Erythmatous pathches.
3- Nodular lesions.
Diagnosis of kala-azar
1- Microscopic detection of amastigotes (LD bodies:Leishman-Donovan) in Giemsa stained smear of bone marrow, spleen and lymph node or liver.2- Cultivation of aspirates in specific culture medium as NNN (Novy-MacNeal-Nicolle) medium → promastigotes seen.
3- Serological method (detection of specific anti-leishmanial antibodies):
IFAT (indirect immunofluorescent antibody test)
DAT (Direct agglutination test)
ELISA (enzyme linked immunosorbent assay)
4- Molecular method (PCR polymerase chain reaction) the most sensitive and specific diagnostic method.
.
Leishmania donovani—Amastigotes. (nonflagellated form) in cytoplasm of bone marrow cell.
promastigotes in NNN medium
Treatment:Bed rest, high protein &vitamen diet, antibiotics in secondary bacterial infections, blood transfusion in case of anemia. Sodium stibogluconate (Petnostam), Amphotericin B.
Prevention
Prevention involves protection from sandfly bites (use of netting, protective clothing, and insect repellents) and insecticide spraying.Leishmania tropica , Leishmania mexicana & Leishmania braziliensis
DiseaseL. tropica and L. mexicana both cause cutaneous leishmaniasis.
L. braziliensis causes mucocutaneous leishmaniasis) Espundia(.
Important PropertiesSandflies are the vectors for these three organisms, and rodents are their main reservoirs. life cycle of these parasites is the same as that of L. donovani.
Pathogenesis
The lesions are confined to the skin in cutaneous leishmaniasis and to the mucous membranes, cartilage, and skin in mucocutaneous leishmaniasis.
Epidemiology
Old World cutaneous leishmaniasis (Oriental sore, Baghdad boil, Delhi boil), caused by L. tropica, is endemic in the Middle East (Iraq, Syria, Palestine, Iran, and Jordan), Africa, and India.New World cutaneous leishmaniasis (bay sore), caused by L. mexicana, is found in Central and South America.
Mucocutaneous leishmaniasis (espundia), caused by L. braziliensis, occurs mostly in Brazil and Central America.
Clinical Findings
A: cutaneous leishmaniasisThe initial lesion is a red papule at the bite site, usually on an exposed extremity. This enlarges slowly to form multiple satellite nodules that coalesce and ulcerate.
There is usually a single lesion that heals spontaneously in patients with a competent immune system.
In certain individuals, if cell-mediated immunity does not develop, the lesions can spread to involve large areas of skin.
B: Mucocutaneous leishmaniasis) Espundia( :
begins with a papule at the bite site, but then metastatic lesions form, usually at the mucocutaneous junction of the nose and mouth. Disfiguring granulomatous, ulcerating lesions destroy nasal cartilage but not adjacent bone. These lesions heal slowly.Death can occur from secondary infection.
Diagnosis
1- Usually made in endemic areas on clinical grounds2- Microscopic detection of amastigotes (L.D. bodies) within large monocytic cells in Giemsa stained smear obtained by aspiration of fluid from beneath the ulcer bed, especially its active borders. Scraping taken from the ulcer surface does not reveal the organisms, which are destroyed in areas secondarily infected with bacteria.
3- Culture: on NNN media will demonstrate promastigote forms.
4- Animal inoculation: aspirate or biopsy material may be inoculated subsequently into the nose of a hamster and the animal watched for nasal inflammation.
5- Leishmanin skin test (Montenegro test): involves the forearm intradermal injection of 0.1 ml suspension of killed promasitigote, this test is used to measure delayed hypersensitivity. Positive result is indicated by an induration of 5mm or more in 48-72 hours. In cutaneous leishmaniasis this test is positive.
6- Immunological test (serology): has limited role in diagnosis because patient shows no detectable level of circulating antibodies.
Treatment
1- Sodium stibogluconate (Pentostam)2- Pentamidine (isothionate) 3.Amphotericine B.
Prevention
Prevention involves protection from sandfly bites by using netting, window screens, protective clothing, and insect repellents.
Genus Trypanosoma
Includes three major pathogens:
Trypanosoma cruzi
Trypanosoma gambiense
Trypanosoma Rhodesiense
Trypanosoma cruzi
Disease: American trypanosomiasis, Chagas’ disease
Life cycle
The life cycle involves the reduviid bug (Triatoma or kissing bug) as the vector, and both humans and animals (domestic cats and dogs and wild species such as raccoon, and rat) as reservoir hosts. When the reduviid bug bites humans, it bites preferentially around the mouth or eyes, hence the name “kissing bug.” the site is contaminated with feces containing trypomastigotes(posterior station), which enter the blood and form nonflagellated amastigotes within host cells. Many cells can be affected, but myocardial, glial, and reticuloendothelial cells are the most frequent sites. amastigotes differentiate into trypomastigotes, which enter the blood and are taken up by the reduviid bug.
In the insect gut, they multiply and differentiate first into epimastigotes and then into trypomastigotes.
Modes of transmission 1-Bite of reduviid bug (posterior station).2-Blood transfusion in endemic areas.3-Congenital transmission.
Epidemiology
Chagas’ disease occurs primarily in rural Central and South America (temperature & humidity).Pathogenesis
The amastigotes can cause inflammation, consisting mainly of mononuclear cells.
Cardiac muscle is the most frequently and severely affected tissue. In addition, neuronal damage leads to cardiac arrhythmias and loss of tone in the colon (megacolon) and esophagus (megaesophagus).
During the acute phase, there are both trypomastigotes in the blood and amastigotes intracellularly in the tissues. In the chronic phase, the organism persists in the amastigote form.
Clinical Findings
The acute phase of Chagas’ disease : consists of facial edema and a nodule (chagoma) near the bite site, coupled with fever, lymphadenopathy, and hepatosplenomegaly. A bite around the eye can result in unilateral palpebral swelling & conjuctuvitis ( Romana’s sign). The acute phase resolves in about 2 months.Most individuals then remain asymptomatic, but some progress to the chronic form with myocarditis and megacolon.
Death from chronic Chagas’ disease is usually due to cardiac arrhythmias or congestive heart failure.
Diagnosis
1- Microscopic detection of trypomastigotes in peripheral blood: the parasites are typically C or U shaped with projecting kinetoplast.
2- Culture: on NNN medium.
3- Biopsy examination: lymph node or skeletal muscle biopsy is examined for amastigotes.
4- Serological diagnosis: IFAT , RIA (radioimmunoassay) , ELISA.
5- PCR (polymerase chain reaction).
In blood C – shape trypomastigotes Amastigotes from biopsy of cardiac muscle
Treatment
The drug of choice for the acute phase is nitrofuran. Benznidazole is an alternative drug. There is no effective drug against the chronic form.
Prevention
protection from the reduviid bite, improved housing, and insect control.
No prophylactic drug or vaccine is available.
Blood for transfusion is tested for the presence of antibodies to T. cruzi. Blood containing antibodies should not be used.
Trypanosoma brucie
include :T. gambiense ,T. rhodesiense
Disease: African Trypanosomiasis, Sleeping sickness.
Life cycle of T. brucie
The morphology and life cycle of the two species are similar. The vector for both is the tsetse fly, Glossina, but different species of fly are involved for each. Humans are the reservoir for T. gambiense, whereas T. rhodesiense has reservoirs in both domestic animals (especially cattle) and wild animals. The metacyclic trypomastigotes in the saliva are injected into the skin, where they enter the bloodstream, differentiate into blood-form trypomastigotes, and multiply.
The 3-week life cycle in the tsetse fly begins with ingestion of trypomastigotes in a blood meal from the reservoir host. They multiply in the insect gut and then migrate to the salivary glands, where they transform into epimastigotes, multiply further, and then form metacyclic trypomastigotes, which are transmitted by the tsetsefly bite.
Pathogenesis
The trypomastigotes spread from the skin through the blood to the lymph nodes and the brain. The typical somnolence (sleeping sickness) progresses to coma as a result of a demyelinating encephalitis.In the acute form, a cyclical fever spike (approximately every 2 weeks) occurs that is related to antigenic variation. As antibody-mediated agglutination and lysis of the trypomastigotes occur, the fever subsides. This cycle repeats itself over a long period.
Epidemiology
The disease is endemic in sub-Saharan Africa, the natural habitat of the tsetse fly (temperature&humidity). Both sexes of fly take blood meals and can transmit the disease. T. gambiense is the species that causes the disease in West Africa, whereas T. rhodesiense is found in east Africa. Both species are found in central Africa.
Clinical Findings
sleeping sicknessT. gambiense–induced disease runs a low-grade chronic course over a few years
T. rhodesiense causes a more acute, rapidly progressive disease that, if untreated, is usually fatal within several months.
The initial lesion is an indurated skin ulcer (trypanosomal chancre) at the site of the fly bite.
After the organisms enter the blood, intermittent weekly fever and lymphadenopathy develop.
Enlargement of the posterior cervical lymph nodes (Winterbottom’s sign) is commonly seen.
The encephalitis is characterized initially by headache, insomnia, and mood changes, followed by muscle tremors, slurred speech, and apathy that progress to somnolence and coma.
Untreated disease is usually fatal as a result of pneumonia.
Diagnosis of African trypanosomiasis
1-Microscopic detection of trypomastigotes in trypanosomal chancre, Peripheral blood, Bone marrow, Lymph node aspiration or CSF.2- Serological diagnosis:
-IFAT (indirect fluorescent antibody test).
-IHT (indirect haemoagglutination test).
-ELISA.
3-Serum and spinal fluid IgM measurement: are of diagnostic value, because in many cases the total serum IgM exceeds eight (8) times the normal amount.
4-Animal inoculation.
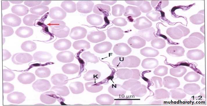
Trypanosoma gambiense or rhodesiense trypomastigote forms in blood smear
TreatmentTreatment must be initiated before the development of encephalitis, because suramin, the most effective drug, does not pass the blood–brain barrier well. Pentamidine is an alternative drug. If central nervous system symptoms are present, suramin (to clear the parasitemia) followed by melarsoprol should be given.
Prevention
The most important preventive measure is protection against the fly bite, using netting and protective clothing. Clearing the forest around villages and using insecticides are helpful measures. No vaccine is available.


















