Lec:1 طفيليات عملي د.اكرام
Genus LeishmaniaFinal host: human
Intermediate host (vector): female of sand fly )phlebotomus)
Infective stage: Promastigote stage
Diagnostic stage: amastigotes stage
Disease:
L. donovani : kala-azar , visceral leishmaniasis, black fever.
L. tropica and L. mexicana : cutaneous leishmaniasis.
L. braziliensis : mucocutaneous leishmaniasis) Espundia(.
Route of infection: skin.
Promastigote stage (culture) Amastigote stage(Smear)Genus Trypanosoma
Disease: Trypanosomiasis, sleeping sickness.Final host: human
Intermediate host (vector): Trypanosoma cruzi: reduviid bug (kissing bug)
Trypanosoma brucie: Tsetse fly
Infective stage: metacyclic trypomastigote stage.
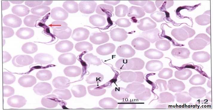
Diagnostic stage: trypomastigote stage.
Diagnosis:
1.Microscopic detection of trypomastigotes in peripheral blood:
C or U shaped in Trypanosoma cruzi.
2- Culture on NNN medium.
3- Xenodiagnosis:
4- Biopsy examination: amastigotes is seen.
5- Serological diagnosis: IFAT , RIA (radioimmunoassay) , ELISA.
6- PCR (polymerase chain reaction).
C – shape trypomastigotes
(Trypanosoma cruzi) Amastigote stage trypomastigotes(biopsy of cardiac muscle)
(Trypanosoma brucie)


