FERTILITY CONTROL AND CONTRACEPTION
Asmaa al sanjary2016
Family planning plays a critical role in promoting personal health of the women ,optimizing both maternal and fetal well being Every year 600000 women die world wide from pregnancy and pregnancy related causes.In developing countries the estimated average annual risk of dying from causes related to pregnancy and childbirth may be about 1 85 per 100,000 women not using contraception
3 million women suffer significant perminant disabilities.
Many STD can be prevented by contraception. (HIV )infection.
There is no one method that will suit everyone, and individuals will use different types of contraception at different stages in their lives.
the ideal contraceptive method should:
• highly effective
• no side effects
• cheap
• rapidly reversible
• widespread availability
• acceptable to all cultures and religions
• easily distributed
• can be administrated by non- health care personel.
As effective as modern contraceptives have been , they have not yet achieved their full potential.
Many unintended pregnancies still occur in a women who are using contraception but are not using their chosen method correctly.
Virtually all methods of contraception occasionally
fail and some are much more effective than others.Failure rates are traditionally expressed as the
number of failures per 100 woman-years (HwY ),i.e. the number of pregnancies if 100 women were
to use the method for1 year.
Failure rates for some methods vary considerably,
largely because of the potential for failure caused
By imperfect use (user failure) rather than an
Intrinsic.
Contraceptive failure rate comparing typical use and perfect use:
typical useperfect use
method
85%
85%
No method
0.15%
0.10%
Male sterilization
0.5%
0.5%
Female sterilization
0.8%
0.6%
Copper T IUD
0.1%
0.1%
Levonorgestrel IUD
6.7%
0.3%
DMPA
8.7%
0.3%
OC-combined
8.7%
0.5%
OC-progesterone only
16%
6%
Diaphragm +spermic
17%
2%
condom
32%
26%
Cervical cap parous
16%
9%
Cervical cap nullip
29%
15%
spermicides
18.4%
-
Withdrawal
Classification:Combined oral contraceptive methods are grouped into tiers depending on their efficacy with typical use.
Method of contraception
tier
Progesterone implant ,IUD
Longer term
Depot medroxy prog acetate inj.
Vaginal rings,transdermal
patches,oral contraceptice pills.
Malecondom,diaphragm,caps,female condom,sheild ,spermicide,withdrawal,fertility awarwness method,natural family planning.
Combined hormonal
Barrier and behavioral methods
Classification:Methods not requiring medical consultation:
1-coitus interruptus
2-safe period[Natural family planning]
3-vaginal spermicides
4-barrier methods include :
Male condom
Female barriers
Methods requiring medical supervision:
1-Hormonal contraception:
Combined oral contraceptive methods
Progesterone-only preparations :include
A-progesterone only pills
B-injectables
C-Subdermal implants
D-Hormone-releasing intauterine system
2-Intauterine device
3-Post-coital emergency contraception
4-occlusive diaphragms&caps
Perminant methods[sterilization]
Female tubal occlusion
Male vasectomy
Combined oral contraceptive pills(the pill)
first licensed in the UK in 1961. It contains a combination oftwo hormones: a synthetic oestrogen and progestogen
available as once daily pill.
Since COC was first introduced, the doses of both
oestrogen and progestogen have been reduced
dramatically,which has considerably improved its safety
profile..
Combined oral contraception is easy to use and
offers a very high degree of protection against pregnancy,
with many other beneficial effects. It is mainly used by
young, healthy women.
Formulation:
Combined oral contraceptive pills contains both:1-Synthetic Estrogen (Ethinyl estradiol mostly):
The dose of oestrogen varies from 50 to 15 μg.
2-Synthetic progestogens
Either one of these :
*First generation(e.g. norethindrone).
*Second generation progestins (e.g. levonorgestrel) .
*Third generation series including gestodene, desogestrel and norgestimate
Monophasic pills contain standard daily dosages of oestrogen and progestogen.
Biphasic or triphasic preparations have two or three incremental variations in hormone dose.
Current thinking is that biphasic and triphasic
preparations are more complicated for
women to use and have few real advantages.
.
For maximum effectiveness, COC Most brands
contain 21 pills; one pill to be taken daily,followed by a 7-day pill-free interval. There are
also some every-day (ED) preparations that
Include seven placebo pills that are taken
instead of having a pill-free interval should
always be taken regularly at roughly the same
time each day. Other are for extended cycle
use to eliminate or minimize the number of
scheduled bleeding episode induced by
placebo pills . This scheduled bleeding is not
medically indicated but desired by some
women for personal reason.
preparation
• 1.low-dose pills containing 30μg of ethinyl estradiol
2.high-dose pills contain contain 50 μg estrogen.
Higher dosages of oestrogen are strongly linked to
increased risks of both arterial and venous thrombosis.
3.Yasmin
contains ethinyl estradiol and drospirenone.Drospirenone has antimineralocorticoid activity. It can help prevent bloating, weight gain, and hypertension, but it can increase serum potassium.
Yasmin is contraindicated in patients at risk for hyperkalemia and should not be combined with other drugs that can increase potassium
Mode of action
Combined oral contraception acts both centrallyAnd peri pherally .
•centrally Inhibition of ovulation is by far the most
important effect. Both oestrogen and progestogen
suppress the release of pituitary FSH and LH,
which prevents follicular development within the
ovary and therefore ovulation .
• Peripheral effects include
- Making endomtrium atrophic and hostile to an implanting embryo
- altering cervical mucus to prevent sperm
ascending into the uterine cavity.
Contraindication:absolute:
1• Circulatory diseases:
- iscihaemic heart disease- cerebrovascular accident- significant hypertension
- arterial or venous thrombosis
- any acquired or inherited pro-thrombotic tendency
- any Significant risk factors for cardiovascular disease
2• Acute or severe liver disease
3• Oestrogen-dependent neoplasms, particularly breast
cancer
4.Breastfeeding <6 weeks post-partum
5.Smoking ≥15 cigarettes/day and age ≥35
6.Focal migraine
Relative contraindications
• Generalized migraine• Long-term immobilization
• Irregular vaginal bleeding (until a diagnosis has been made)
• Less severe risk factors for cardiovascular disease ,e.g. obesity, heavy smoking, diabetes
Side effect:
1-Venous thromboembolism:
VTE is the major measurable risk other wise the combined
oral contraceptive pills are very safe.
Oestrogens alter blood clotting and coagulation in a
way that induces a pro-thrombotic tendency, although
the exact mechanism of this is poorly understood.
The higher the dose of oestrogen within COc, the
greater the risk of venous thromboembolism (VTE)...
Type of progestogen also affects the risk of VTE, with
users of COC containing third-generation progestogens
being twice as likely to sustain a VTE.
The risks of VTE are:
• 5 per 100 000 for normal population,•15 per 100 000 for users of 2nd generation.
•30 per 100 000 for users of 3rd generation.
•60 per 100 000 for pregnant women.
2-Arterial disease
*risk of hypertention:1 per cent of COC users will become significantly hypertensive and they should be advised to stop taking COC.
*risk of myocardial infarction and thrombotic
stroke :in young, healthy women using low-dose COC is extremely small.
Cigarette smoking will, however, increase the
arterial risk, and any woman who smokes must
be advised to stop COC at the age of 30years.
3-Mortality
There is increased mortality in women using
the pills over women not using it, related to
age&smoking habits.
Death is most often the result of pulmonary
embolism,cerebral or coronary thrombosis.
Women who are under 35 years, do not
Smoke nor have hypertention or diabetes have
no exess mortality
otherwise women over 35 years ,women who
Smoke or have hypertention there is excess
mortality .
4.Carcinogenic effect:
Breast cancerMost data do show a slight increase in the risk of
developing breast cancer among current COC users
(relative risk around l. 24).
This is not of great significance to young women, as the
background rate of breast cancer is very low at their age.
However, for a woman in their forties, these are more
relevant data, as the background rate of breast cancer is
Higher, but beyond 10 years after stopping coc
there was no increase in breast cancer risk for former
coc users.
Cervical cancer
More than five years of pill use may be
associated with small increase risk of
cervical carcinoma.
Liver cancer
Benign hepatic adenoma is a rare
consequence of COC use
Minor side effects
CNS
Gastrointestinal
Genitourinarysystem
Breast
miscellaneousDepression
Headaches
Loss of libido
Nausea and vomiting
Weight gainBloatedness
Gall-stones
Cholestatic jaundice
Cystitis
Irregular bleedingVaginal discharge
Growth of fibroids
Breast pain
Increased risk ofbreast cancer
Chloasma (facial pigmentation)
Leg crampsMethod of use
The patient begins taking the pills on the first day of menstrual cycle then in the next cycles they are administered in fifth day of the cycle and continue for 21 days, each day at the same time, then discontinued for 7 days to allow for withdrawal bleeding that mimics the normal menstrual cycle which occur after 3-5 days from stopping pills
If pills are missed ????
How lateare you???
Less than
12 hours lateDon't worry. Just take
the delayed pill atonce, and further
pills as usual
More than
12 hours late
• Take the most recently
delayed pill now• Use extra precautions
(condom, for instance)
for the next 7 days
Drug interaction
*This can occur with enzyme-inducing agents
Such as some anti-epileptic drugs increase
activity of hepatic enzyme so reduce efficacy
of COC . Higher dose oestrogen coc
containing 50 Mg ethinyl oestradiol may need
to be prescribed
*Some broad-spectrum antibiotics Ampicillin, Amoxicillin, Tetracycline , Neomycin can alter intestinal absorption of COC and reduce its efficacy. Additional contraceptive measures should therefore be recommended during antibiotic therapy and for 1 week thereafter.
*Steroids ,Ascorbic acid (Vitamin C) and acetaminophen may elevate plasma ethinyl estradiol so increase its efficacy.
Positive health benefits
*COC users generally have light, pain -free, regular bleed and therefore COC can be used to treat heavy or painful periods( menorrhagia & dysmenorrhea )
*It will also improve premenstrual syndrome(PMS)
*reduce the risk of pelvic inflammatory disease(PID).
• *decreased incidence of benign breast lump.
• *decrease number of functional ovarian cyst.
• *less endometriosis.
*COC offers long-term protection.
against both ovarian and endometrial cancers.
*It can also be used as a treatment for acne.
Combined oestrogen and progesterone vaginal ring
It is soft ring that a woman can insert into
vagina; and the Women who use Ring
leave the ring in place for 3 weeks during a
month. During the 4th week, the ring is
removed for 7 days.
A new ring is used for each cycle.
Combined hormonal patches
A contraceptive transdermal patch containingOestrogen and progestogen has been
Developed and releases norelgestromin 150 Mg
and ethinylestradiol 20 Mg per 24 hours.
Patches are applied weekly for 3 weeks, after
which there is a patch-free week.
Contraceptive patches have the same risks and benefits as COC and, although they are relatively more expensive, may have better
compliance.
Progesterone only contraception:
All other types of hormonal contraception in current use in the world are progestogen -only and share many similar features in terms of mode of action and side effects.Because they do not contain oestrogen, they
are extremely safe & can be used if woman
has cardiovascular risk factors.
The dose of progestogen within them varies from very low to high
The current methods of progestogen-only contraception are
• progestogen-only pill, or 'mini-pill'
• subdermal implant Implanon®
• injectables.
• hormone-releasing intrauterine system
Mechanism of action
1-peripheral effects:*local effect on cervical mucus making it hostile to ascending sperm.
*Local effect on the endometrium making it thin & atrophic thereby preventing implantation
*Progestin use also causes decreased tubal and endometrial motility.
2-central effects
Higher dose progestogen-only methods can act centrally & inhibit ovulation .
Side effects
Menstrual disturbances either irregular vaginal bleeding or amenorrhea.Functional ovarian cyst
Increase risk of ectopic pregnancy :this has not been confirmed,although it is probably that POP protect much more effectively against intrauterine than ectopic pregnancy.
Progestogen-only pills
The progestogen-only pill (POP) is ideal for
Women who like the convenience of pill
taking but cannot take COC. Although the
failure rate of the POP is greater than that
Of COC , it is ideal for women at times of
lower fertility.
If the POP fails, there is a slightly higher risk of ectopic pregnancy
they contain
*the second-generation progestogennorethisterone or norgestrel (or their derivatives)
*or the third-generation progestogen desogestrel.
The POP is taken every day without a break
Particular indications for the POP include:
• breastfeeding• older age
• cardiovascular risk factors
• diabetes.
Injectable progestogens
Two injectable progestogens are marketed.
• Depot medroxyprogesterone acetate 150 mg
(Depo-Provera or DMPA) which lasts around 12-13 weeks .
• Norethisterone enanthate 200 mg (Noristerat) which only lasts for 8 weeks and is not nearly so widely used.
Depo-Provera is a highly effective method
Of contraception and it is given by deepintramuscular injection Most women who
use it develop very light or absent
menstruation. Depo-Provera will improve
PMS and can be used to treat menstrual
problems such as painful or heavy periods.
It is particularly useful for women who have difficulty remembering to take a pill
Particular side effects of Depo-Provera
• weight gain of around 3 kg in the first year,• delay in return of fertility - it may take
Around 6 months longer to conceive compared
to a woman who stops COC,
• persistent menstrual irregularity ,irregular vaginal bleeding may occur or amenorrhea in prolonged use of this injection
• very long-term use may slightly increase the
Risk of osteoporosis (because of low oestrogen
levels)
This injection can be given Within five days after the onset of menses.
within 6 weeks after delivery if breast-feeding infant.
Also it can be used after having an abortion
• Particular indications for depo provera
• -contraindication to estrogen• -Following rubella vaccination in peurperium.
• -Husband waiting for effect of vasectomy.
• -Mental retarded women. .
• -Breast-feeding.
• -population control in developing countries.
Subdermal implants
Implanon consists of a single silastic rod that isinserted subdermally under local anaesthetic into
the upper arm. It releases the progestogen
etonogestrel 25-70 Mg daily (the dose released
decreases with time), which is metabolized to the
Third-generation progestogen desogestrel.
Implanon was introduced into the UK in the late
1990s.
Other type of implant is the six-rod implant, Norplant, which is withdrawn from the market
It lasts for 3 years and thereafter can be easily
removed or a further implant inserted.Implanon is particularly useful for women who
have difficulty remembering to take a pill and
Who want highly effective long-term
contraception. There is a rapid return of
fertility when it is removed.
Intrauterine device
• IUDs can be classified as either:• Medicated,
• copper-bearing T380A(copper T IUD)
• levonorgestrel hormone-releasing (LNG-IUD)
• Unmedicated, or inert
• The majority of the IUDs now widely used
• are copper-bearing.
• This IUD provides excellent pregnancy protection
• that is convenient and rapidly reversible.
• 1st year failure rates are 0.7% and cumulative
• 10- to 12-year pregnancy rate are 1.4% to 1.9%.
• most women are candidate for IUD use including
• those with serious medical problems as
• Hypertension, morbid obesity, diabetes, stroke
• ,MI , and even cancer.
Mechanism of action of copper T IUD
Induce inflammatory reaction withinthe endometrium make the cavity
and tube fluid that is toxic to the sperm ,oocyte and the embryo,
Copper ions released from copper IUD reach a level in the uterine cavity fluid that is toxic to the sperm oocyte and embryo.
It appear that IUD mainly interfere with the fertilization, that’s only few sperms reaching the fallopian tube by cervical mucos hostility and by interfering with sperm motility,and affecting tubal motility,
and if reaching are incapable of fertilization,
even the oocyte is incapabale to be fertilized.
IUD interfere with sperm motility , oocyte capability of fertilization and implantation.
Complication of IUD:Bleeding and pain
• Increased menstrual bleeding, often with pain, is the most common problem of IUD use and the most common medical reason for removing lUDs
• Older women and women with children generally have lower rates of removal due to bleeding and pain.
• Unlike other IUDs, hormone-releasing devices decrease menstrual blood flow or, may even stop menstruation altogether
• With all IUDs, abnormal bleeding and pain may be due not to the IUD itself but to pelvic inflammatory disease (PID), ectopic pregnancy, malignancy, or other conditions
• IUD use has not been proved to induce clinical anemia
• In a study of the TCu-380Ag carried out in several developing countries and the US, the proportion of women with anemia rose only from 24% to 25.4% during four years of useInfection(PID):
Many studies have confirmed that the risk of infection and infertility among IUD users is very low (2004). However, studies also indicate that the insertion process and not the IUD or its strings, pose the temporary risk of infection.Good infection prevention procedures should be practiced.
Antibiotic prophylaxis should not be used routinely prior to insertion.
The risk of infection following IUD insertion returns to a very low or normal level after 20 days (1992).
perforation
• Perforation of the uterus occurs when the IUD, the inserter tube, the sound, or another gynecological instrument used during insertion pierces the uterine muscle wall, most often at the fundus, or top of the uterus• Careful insertion technique can prevent most perforations
• Perforations may go unnoticed at the time of insertion
• Over time lUDs may become embedded in the uterine wall without perforating itExpulsion
• After IUD insertion, uterine contractions can push the device downward, causing partial or complete expulsion
• Most expulsions occur in the first year and especially the first three months after insertion
• Younger women and women who have never been pregnant or have never had children are more likely to expel their lUDs
• Women who had painful menstruation or abnormally large menstrual flows were more likely to expel copper-T IUDs
• Correct insertion, with the IUD placed up to the fundus, is thought to reduce the chances of expulsion
Intrauterine pregnancy
• If pregnancy does occur, potentially severe complications can result. Medical attention is always needed• Spontaneous abortion is the most frequent complication of pregnancy with an IUD in place
• the IUD should be removed as soon as pregnancy is confirmed
An IUD left in place during pregnancy also increases the risk of premature delivery. It does not increase the risk of other complications-birth defects, genetic abnormalities, or molar pregnancy
Ectopic pregnancy
• Mounting evidence indicates that most lUDs help to protect against ectopic pregnancy while they are in use• IUD users were half as likely to experience ectopic pregnancies as women using no contraception
• A recent analysis of randomized trials found that second-generation copper lUDs and the LNG-20 reduce ectopic pregnancy rates to 10% of the level among women using no contraception
• lUDs provide less protection against ectopic pregnancy than consistently used oral contraceptives or barrier methods
Any pregnancy in an IUD user is uncommon, however. The ectopic pregnancy in an IUD user is rare
TCu-380A and MLCu-375, have the lowest ectopic pregnancy rates – 0.25 and close to 0 per 1,000 woman years
• Clinical implications:
• Women using lUDs should be told about the signs of ectopic pregnancy• If an IUD user conceives or shows signs of pregnancy, health care providers should always look for ectopic pregnancy
• A woman who has had an ectopic pregnancy can use an IUD
There is no evidence that IUDs cause any type of cancer
among IUD users. WHO and US researchers have/estimated about one to two deaths per 100,000 IUD users per year from infection, ectopic pregnancy, or second-trimester septic abortion.The IUD is one of the safest family planning
methods, according to estimates of annual
death rates among US women using various
family planning methods or no method.
Containdication:
Nulliparity and infertility: higher rate of expulsion and discomfort,,,infertility ???Active infection,,if IUD Increased risk of actinomyces which is recovered after removal and re insertion.
Uterine anomalies increase risk of expulsion and perforation.
gynecologic malignancy.
genital bleeding of unknown cause.
gestational trophoblastic disease.
Levonorgestrel releasing IUD
• The LNG IUS is made of flexible plastic
• The LNG IUS contains a progestin hormone called levonorgestrel which has been used in birth control pills since the 1970s
• The safety of levonorgestrel has been proven by clinical use also in sub-dermal implants and intrauterine systems since decades
in every country LNG-IUD is approved for contracepttion with an effect comparable to sterilization with an ability for regret, and is approved for treatment of heavy prolonged menstrual bleeding ,and is effective as endometrial ablation.
LNG IUS MECHANISMS OF ACTION
• Thickens cervical mucus• Inhibits sperm function in uterus
• Reduces monthly growth of the lining of the uterus making periods lighter and shorter; there is no evidence that LNG IUS has any impact on implantation
• LNG IUS can also lessen menstrual blood loss in women who have heavy menstrual flow
Treatment of heavy menstrual bleeding
Use of LNG IUS makes periods lighter, shorter and less painfulOver 12 months, blood loss reduced by 80-96% in women with menorrhagia
Clinical improvement in associated anemia:
Hemoglobin levels rise 1.8g/L in one year of use with LNG IUS, compared to a decrease of 1.2g/L with Copper-T.
Irregular bleeding or spotting common in first 3-6 months; 20% with amenorrhea at 12 months. Sometimes the amenorrhea rate can be higher than 20% e.g. up to 50% at 12 and 24 months of use.
What are the most common side-effects of the LNG IUS?
10+ in every 100 women are likely to experience the following:
• Headache• Abdominal/ pelvic pain
• Bleeding changes
• Vulvovaginitis (inflammation of the external genital organs or vagina)
• Genital discharge
1 to 10 in every 100 women are likely to experience the following:
• Depression• Migraine
• Nausea
• Acne
• Hirsutism (excessive body hair)
• Back pain
These side effects are common among OC Pill users as well.
Source: Luukkainen 1995
LNG-and risk of ectopic pregnancy
• It is very rare to become pregnant while using LNG IUS• However, if you become pregnant while using LNG IUS, the risk having an ectopic (extra-uterine) pregnancy is relatively increased
• About 1 in a 1000 women correctly using LNG IUS have an ectopic pregnancy per year. This rate is lower than that among women not using any contraception (about 3 to 5 in a 1000 women per year)
• Woman who have already had an extra-uterine pregnancy, pelvic surgery or pelvic infection carry a higher risk of experiencing an ectopic pregnancy
Emergency contraception
Post-coital contraception is any drug or device used prevent pregnancy after unprotected intercourse
There are two types of emergency contraception[EC]
A-hormonal emergency contraception
1-Combined oestrogen&progesterone[CEP]:Combination of 100 microgram ethinyl estradiol &0.5 mg levonorgestrel is taken twice the two doses being 12 hours apart & started within 72 hours of unprotected intercourse
Nausea & vomiting are common side effects.
The precise mechanism of action is not known but probably involves disruption of ovulation or corpus luteal function depending on the time in the cycle when hormonal EC is taken so it inhibit ovulation or interfere with implantation.
2-Levonorgestrel alone:
Levonorgestrel 0.75 mg taken twice with two doses separated by 12 hours ,it may be more effective & better toleratedIt has to be taken within 72 hours of an episode
of unprotected intercourse and is more effective the earlier it is taken
B -intrauterine device
A copper-bearing IUD is highly effectivepost-coital contraceptive with failure rate
less than 1%,used up to five days after the
estimated day of ovulation.It prevent
implantation &the copper exerts an
embryotoxic effect
The hormone-releasing IUS has not been shown to be effective for EC and should not be used in this situation
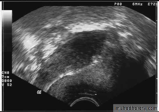
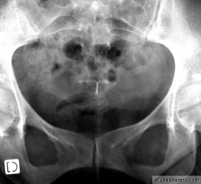
Ultrasound imaging
Copper IUD
LNG IUD

























