Lower Airway Diseases
ByDr. Athal Humo
2016-2017
Lec. 3
Foreign Body Aspiration
EpidemiologyAspiration of foreign bodies into the trachea and bronchi is relatively common. The majority of children who aspirate foreign bodies are under 4 years of age.
Because the right mainstem bronchus takes off at a less acute angle than the left mainstem bronchus, foreign bodies tend to lodge in right-sided airways.
Some foreign bodies, especially nuts, can also lodge more proximally in the larynx or subglottic space totally occluding the airway.
Many foreign bodies are not radiopaque, which makes them difficult to detect radiographically.
The most common foreign bodies aspirated by young children are food (especially nuts) and small toys. Coins more often lodge in the esophagus than in the airways. Older children have been known to aspirate rubber balloons, which can be life-threatening.
Clinical Manifestations
Many children who aspirate foreign bodies have clear histories of choking, witnessed aspiration, or physical or radiographic evidence of foreign body aspiration.
However, a small percentage of patients have a negative history because the aspiration went unrecognized.
Physical findings observed with acute foreign body aspiration include:
CoughLocalized wheezing
Unilateral absence of breath sounds
Stridor
Rarely, bloody sputum.
Most foreign bodies are small and quickly expelled, but some may remain in the lung for long periods of time and presented as:
persistent cough with sputum production
persistent wheezing unresponsive to bronchodilator therapy
recurrent or persistent unilateral pneumonia.
persistent atelectasis
Diagnostic Studies:
CXR : expiratory or lateral decubitus , reveal the presence of radiopaque objects and can also identify focal air trapping.Bronchoscopy.
Treatment:
Foreign body removal via rigid bronchoscopy.
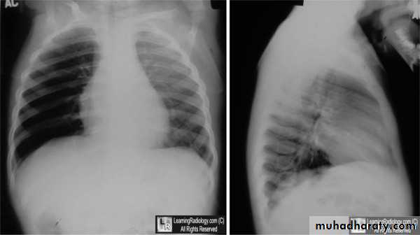
Expiratory chest radiograph in a 12-month-old boy with a 2-month history of wheezing demonstrates continued hyperlucency and hyperexpansion of the right hemithorax.
BRONCHIOLITIS
ETIOLOGY & EPIDEMIOLOGYBronchiolitis is a disease of small bronchioles with increased mucous production & occasional bronchospasm, some time leading to air way obstruction.
Respiratory syncytial virus (RSV) is the primary cause of bronchiolitis, followed in frequency by human metapneumovirus, parainfluenza viruses, influenza viruses, adenoviruses, rhinoviruses, and, infrequently, Mycoplasma pneumoniae.
Bronchiolitis is the leading cause of hospitalization of infants.
Bronchiolitis occurs almost exclusively during 1st 2 year of life, with a peak age at 2-6 months.CLINICAL MANIFESTATIONS
Bronchiolitis caused by RSV has an incubation period of 4 to 6 days.Bronchiolitis classically presents as a progressive respiratory illness that is similar to the common cold in its early phase with cough, coryza, and rhinorrhea.
It progresses over 3 to 7 days to noisy, raspy breathing and audible wheezing. There is usually a low-grade fever accompanied by irritability, which may reflect the increased work of breathing.
In contrast to the classic progression of disease, young infants infected with RSV may not have a prodrome and may have apnea as the first sign of infection.
Physical signs:
Dyspnea, intercostal & suprasternal retractions.
Hyperexpansion of the lungs.
Hyperresonance percussion.
Auscultation reveals prolongation of the expiratory phase of breathing, diffuse wheezes and crackles throughout the breathing cycle.
With more severe disease, grunting and cyanosis may be present.
Routine laboratory tests are not required to confirm the diagnosis.
Pulse oximetry: it is important to assess oxygenation in severe cases.
CXR: shows signs of hyperexpansion of the lungs, including increased lung radiolucency and flattened or depressed diaphragms. Areas of increased density may represent either viral pneumonia or localized atelectasis.
Frequent, regular assessments and cardiorespiratory monitoring of tired infants are necessary because RF may developed.
Viral detection (PCR, ELISA or culture) is not indicated in uncomplicated bronchiolitis.
LABORATORY AND IMAGING STUDIES
TREATMENT
Indications for hospitalization include:Moderate to marked respiratory distress, extreme tachypnea, hypoxemia (Po2 < 60 mm Hg or oxygen saturation <92% on room air).
Apnea.
Inability to tolerate oral feeding.
Lack of appropriate care available at home.
Presence of risk factors for severe disease as:
age <12 wk.
preterm birth.
underlying comorbidity such as cardiovascular, pulmonary, neurologic, or immunologic disease.
The mainstay of treatment is supportive
Cool humidified oxygen if hypoxemic.Upper airway suctioning
Sitting with head and chest elevated at a 30-degree angle with neck extended.
Control of fever.
Good hydration.
Bronchodilators may produce short-term improvement in clinical features in severe cases.
Corticosteroids???, are not recommended in previously healthy infants with RSV. Combined therapy with nebulized epinephrine and dexamethasone has been used with some success, but additional studies are needed to confirm its efficacy.
Nebulized hypertonic saline on demand has been reported to have some benefit.
Heliox delivered by tight fitting mask or by continuous positive airway pressure has been of some benefit in moderate to severe cases.
Ribavirin, an antiviral agent administered by aerosol, has been used for infants with RSV who have congenital heart disease or chronic lung disease.
Intubation and ventilatory assistance for respiratory failure or apnea.
COMPLICATIONS AND PROGNOSIS
Most hospitalized children show marked improvement in 2 to 5 days with supportive treatment alone & resolve completely.
Apnea especially in very young infant.
Respiratory failure.
Minor abnormalities of pulmonary function and bronchial hyperreactivity may persist for several years. The incidence of asthma seems to be higher for children hospitalized for bronchiolitis as infants.
Recurrence is common but tends to be mild and should be assessed and treated similarly to the first episode.
The case fatality rate is 1%, highest among infants with preexisting cardiopulmonary or immunologic impairment.
PREVENTION
Monthly injections of palivizumab, an RSV-specific monoclonal antibody, initiated just before the onset of the RSV season confers some protection from severe RSV disease.Palivizumab is indicated for:
some infants under 2 years old with chronic lung disease (bronchopulmonary dysplasia)
VLBW infants.
infants with hemodynamically significant cyanotic and acyanotic congenital heart disease.
• Immunization with influenza vaccine in children above 6 month of age may prevent influenza-associated disease



