1
INTESTINAL OBSTRUCTION
2
Definition
The term intestinal obstruction refers to any form of impedance to the normal passage of the bowel contents through the small or large intestine. It is a common cause of acute abdominal pain.
3
• Causes of intestinal obstruction
• I. Dynamic: (mechanical obstruction)
• A) Intraluminal:
• 1.Impaction. 2.Forign body.
• 3.Bezoar (tricho-bezoar & phyto-bezoar)
• 4.Gall stone. 5.Stercolith.
• B) Intramural:
• 1.Stricture (crohn's disease, T.B).
• 2.Malignancy. 3.Congenital atresia.
• C) Extramural:
• 1.Bands & Adhesion.
• 2.Hernia. 3.Volvulus.
• 4.Intussusception.
• 5.Tumor.
•
4
Causes of intestinal obstruction
II. A dynamic: (functional obstruction)
A) Paralytic ileus. (small bowel).B) Mesenteric vascular occlusion.
C) Pseudo-obstruction. (large bowel).
5
• Classification of intestinal obstruction
• Small bowel obstruction & Large bowel obstruction.
• Mechanical obstruction & Functional obstruction.
• Simple obstruction & Strangulated obstruction.
• Partial obstruction & Complete obstruction.
• -Acute obstruction
• -Sub acute obstruction
• -Acute on chronic obstruction.
• -Chronic obstruction.
6
Small bowel obstruction
Cardinal Symptoms:
1-Abdominal pain.
2-Vomiting3-Constipation.
4-Distention.
7
Abdominal pain
Most people who have small-bowel obstruction experience crampy abdominal pain that comes in waves. The pain is around the navel .
8
Vomiting
Small-bowel obstructions usually cause vomiting. The vomit usually is green if the obstruction is in the upper small intestine and brown if it is in the lower small intestine
9
Constipation
Constipation and inability to pass gas are signs of bowel obstruction. However, when the bowel is partially blocked, a person may have diarrhea and pass gas. Someone with a complete obstruction may have a bowel movement if there is stool below the obstruction.
10
Distention
With blockages of the lower small intestine, the epigastric area may be distended, or bloated.
11
Mechanical obstruction
Aetiology
5% of small bowel obstruction account for acute surgical addmision.
In UK the commonest causes are :
(60% adhesion)
(20% strangulated hernia)
(5% malignancy)
(5% vulvulous)
12
Pathophysiology
Proximal dilatation occurs above obstructing lesion
Results in the accumulation of gas and fluid and reduced reabsorption
Dilation of the gut wall produced mucosal oedema
This impairs venous and then arterial blood flow
Intestinal ischaemia eventually results in infarction and perforation of that segment of bowel
Ischaemia also results in bacterial and endotoxin translocation
The overall effect is progressive dehydration, electrolyte imbalance and systemic toxicity
13
Clinical feature
Colicky central abdominal pain
Vomiting - early in high obstruction
Abdominal distension - extent depends on level of obstruction
Absolute constipation - late feature of small bowel obstruction
Dehydration associated with tachycardia, hypotension and oliguria
Features of peritonism indicate strangulation or perforation
14
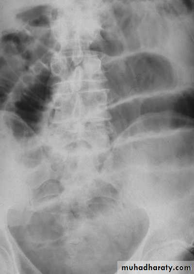
Investigation
Supine abdominal X-ray shows dilated small bowel
May be normal if no air fluid interfaces
Valvulae coniventes differentiate small from large intestine
Erect abdominal film rarely provided additional information
15
16
17
Management
Adequate resuscitation prior to surgery is vital
May require more than 5 litres of intravenous crystalloid
Adequacy of resuscitation should be judged by urine output or central venous pressure
Surgery in under resuscitated patient is associated with increased mortality
If obstruction presumed to be due to adhesions and there are no features of peritonism
Conservative management for up to 48 hours is often safe
Requires regular clinical review
If features of peritonism or systemic toxicity present
Need to consider early operation
Exact procedure will depend on underlying cause
18
Indications for surgery
Absolute
Generalised peritonitis
Localised peritonitis
Visceral perforation
Irreducible hernia
19
Relative
Palpable mass lesion
'Virgin' abdomen
Failure to improve
• Indications for surgery
20Trial of conservatism
Incomplete obstruction
Previous surgery
Advanced malignancy
Diagnostic doubt - possible ileus
21
Paralytic ileus
Functional obstruction most commonly seen after abdominal surgery
Also associated with trauma, intestinal ischaemia, sepsis
Small bowel is distended throughout its length
Absorption of fluid, electrolytes and nutrients is impaired
Significant amounts of fluid may be lost from the extracellular compartment
22
Clinical features
recent operation or trauma Usually history of
Abdominal distension is often apparent
Pain is often not a prominent feature
If no nasogastric tube in-situ vomiting may occur
Large volume aspirates my occur via nasogastric tube
Flatus will not be passed until resolution of the ileus
Auscultation will reveal absence of bowel sounds
23
Investigation
Plain abdominal x-ray may show dilated loops of small bowel
Gas may be present in the colon
If doubt as to whether there is a mechanical or functional obstruction
Water soluble contrast study may be helpful
24
Management
Prevention is better than cure
Bowel should be handled as little as possible
Fluid and electrolyte derangements should be corrected
Sources of sepsis should be eradicated
For an established ileus the following will be required
Nasogastric tube
Fluid and electrolyte replacement
No drugs are available to reverse the condition
Usually resolves spontaneously after 4 or 5 days
25
LARGE BOWEL OBSTRUCTION
26
15% colorectal cancers present with obstruction
Most patients are over 70 years oldRisk of obstruction greatest with left sided lesions
Usually present at a more advanced stage
25% have distant metastases at presentation
Perforation can occur at site of tumour or in a dilated caecum
27
Clinical presentation
Caecal tumours present with small bowel
obstruction
Colicky central abdominal pain
Early vomiting
Late absolute constipation
Variable extent of distension
28
Left sided tumours present with large bowel
obstructionChange in bowel habit
Absolute constipation
Abdominal distension
Late vomiting
29
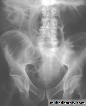
Investigation
Plain supine abdominal x-ray will show dilated large bowel
Small bowel may also be dilated depending on competence of ileocaecal valve
30
31
Management
All patients require
Adequate resuscitation
Prophylactic antibiotics
Consenting and marking for potential stoma formation
32
At operation
Full laparotomy should be performedLiver should be palpated for metastases
Colon should be inspected for synchronous tumours
33
Appropriate operations include
Right sided lesions – right hemicolectomy
Transverse colonic lesion – extended right hemicolectomy
Left sided lesions – various options
34
Three-staged procedure
Defunctioning colostomyResection and anastomosis
Closure of colostomy
Three stage procedure will involve 3 operations!
Associated with prolonged total hospital stay
Transverse loop colostomy can be difficult to manage
35
Two-staged procedure
Hartmann’s procedure
Closure of colostomy
With two-staged procedure only 60% of stomas are ever reversed
36
One-stage procedure
Resection, on-table lavage and primary anastomosisWith one-stage procedure stoma is avoided
Anastomotic leak rate of less than 4% have been reported
37
Mortality
Irrespective of option total perioperative mortality is about 10%
38
Neonatal intestinal obstruction
Neonatal intestinal obstruction can be due to a variety of causes
Presenting clinical features are often similar
Bile-stained vomiting is never normal in a neonate and implies obstruction
95% of babies pass meconium within the first 24 hours of life
Failure to pass meconium is also a feature of obstruction
The degree of abdominal distension is variable
39
Intussusception
Occurs when one part of bowel invaginates (intussusceptum) into an adjacent section (intussuscipiens)
Results in intestinal obstruction and venous compression
If uncorrected it can result in arterial insufficiency and necrosis
40
41
It is the commonest abdominal emergency between 3 months and 2 years
Peak incidence is between 6 and 9 monthsMost cases are idiopathic with the lead point due to enlarged Peyer's patches
Usually due to a viral infection
5% are due to polyp, Meckel's diverticulum, duplication cyst or tumour
Commonest site involved is the ileocaecal junction
42
Clinical features
Intermittent colicky abdominal pain and vomiting
Each episode classically last 1-2 min and recurs every 15-20 min
Passage of blood - 'red currant jelly' per rectum
Sausage shaped abdominal mass
Diagnosis confirmed with water soluble contrast enema or ultrasound
43
44
45
46
Treatment
Resuscitation with intravenous fluids and nasogastric tube
Attempt reduction with air or contrast enema under radiological guidance
If peritonitis, shock or failed reduction requires surgery
If bowel necrosis requires resection with primary anastomosis
47
Duodenal atresia
Occurs in 1 in 10,000 live births
Site of obstruction is most commonly in 2nd part of duodenumProximal duodenum become hypertrophied
50% are associated with polyhydramnios
60% of such pregnancies are complicated or end prematurely
Can often be diagnosed with antenatal ultrasound
30% of babies with duodenal atresia have Down's syndrome
Other associated abnormalities are cardiac anomalies, malrotation and biliary atresia
Postnatally presents with bilious or non-bile stained vomiting
X-ray may show a 'double-bubble' and no gas within the bowel
48
49
Management
A nasogastric tube should be passed
Intravenous fluid resuscitation should be given
Major cardiac and other defects should be excluded
Duodenoduodenostomy should be performed when resuscitated
50
Other atresias
Atresias of the small bowel and colon are less common
Often associated with polyhydramnios
Bilious vomiting and distension are key features
x-ray will show dilated bowel and a gas-free rectum
A nasogastric tube should be passed
Intravenous fluid resuscitation should be given
At operation, dilated proximal bowel should be resected or tapered
A primary anastomosis may be possible
51
Hirschsprung,s Disease
Due to absence of autonomic ganglion cells in Auerbach's plexus of distal large intestine
Commences at internal sphincter and progresses for variable distance proximally
Affects 1 in 5000 live births
Male : female ratio 4:1
Some appear to be due to autosomal dominant inheritance
75% cases confined to recto-sigmoid
10% cases have total colonic involvement
52
Clinical features
80% present in neonatal period with delayed passage of meconium
Followed by increasing abdominal distension and vomiting
Accounts for 10% of neonatal intestinal obstruction
Child is at increased risk of enterocolitis and perforation
Occasionally presents with chronic constipation in infancy
53
54
Diagnosis
Barium enema - Contracted rectum, cone shaped transitional zone and proximal dilatation
Anorectal manometry - No recto-sphincteric inhibition reflex on rectal distension
Rectal biopsy shows:
Absent ganglion cells in submucosa
Increased acetylcholinesterase cells in muscularis mucosa
Increased unmyelinated nerves in bowel wall
55
56
Treatment
Initial defunctioning stoma to relieve obstruction
Bypass of affected segment - Duhamal or Soave bypass
Excision of aganglionic segment - Swenson procedure
57
Meconium ileus
Commonest cause of neonatal intraluminal intestinal obstruction
80% cases are associated with cystic fibrosis
Cystic fibrosis occurs in 1 in 2000 live births
Inherited as an autosomal recessive trait
Viscid pancreatic secretions cause autodigestion of pancreatic acinar cells
Resulting meconium is abnormal and putty-like in consistency
Meconium becomes inspissated in the lower ileum
There is a microcolon
Presents with bilious vomiting and distension usually on first day of life
Passage of meconium is delayed
Meconium filled loops of bowel may be palpable
X-ray may show a 'ground-glass' appearance, especially in the right upper quadrant
58
Management
Gastrografin enemas may be successful in 50% of patients
If unsuccessful, surgery will be required
Limited resection and stomas may be required
59
complications
Peritonitis from bowel perforation secondary to over-strenuous attempts at reduction of volvulus or intussusception
Misdiagnosis of an ileus secondary to intra-abdominal infection as large bowel obstruction, with consequent delay in treatment
Intra-abdominal abscess from anastomotic leakage
Pneumonia from aspiration during emesis
Dehydration
Electrolyte disturbance
60
Sigmoid Volvulus
Twisting of loop of intestine around its mesenteric attachment site may occur at various sites in the GI tract
Most commonly: sigmoid & cecum
Rarely: stomach, small intestine, transverse colon
Results in partial or complete obstruction
May also compromise bowel circulation resulting in ischemia
61
Sigmoid volvulus most common form of GI tract volvulus
Accounts for up to 8% of all intestinal obstructionsMost common in elderly persons (often neurologically impaired)
Patients almost always have a history of chronic constipation
62
Pathophysiology
Redundant sigmoid colon that has a narrow mesenteric attachment to posterior abdominal wall allows close approximation of 2 limbs of sigmoid colon à twisting of sigmoid colon around mesenteric axis
Other predisposing factors
Chronic constipation
High-roughage diet (may cause a long, redundant sigmoid colon)
Roundworm infestation
Megacolon (often due to Chagas dz)
Peak age > 50 yrs.
Second largest group à children
63
Torsion usually counterclockwise ranging from 180 – 540 degrees
Luminal obstruction generally at 180 degreesVenous occlusion generally at 360 degrees à gangrene & perforation
64
Signs and symptoms
May present as abdominal emergency
Acute distension
Colicky pain (often LLQ)
Failure to pass flatus or stool (constipation is prevailing feature)
Vomiting is late sign
65
Physical examination
Tympanitic abdomen
Abdominal distention
+/- palpable mass
66
Diagnosis
Abdominal plain films usually diagnostic
Inverted U-shaped appearance of distended sigmoid loop
Largest and most dilated loops of bowel are seen with volvulus
Loss of haustra
Coffee-bean sign à midline crease corresponding to mesenteric root in a greatly distended sigmoid
Sigmoid volvulus – bowel loop points to RUQ
Cecal volvulus – bowel loop points to LUQ
Dilated cecum comes to rest in left upper quadrant
Bird’s-beak or bird-of-prey sign à seen on barium enema as it encounters the volvulated loop
CT scan useful in assessing mural wall ischemia
67
68
Differential Diagnosis
Large bowel obstruction due to other causes à sigmoid colon CA
Giant sigmoid diverticulum
Pseudoobstruction
Complications
• Colonic ischaemia• Perforation
• Sepsis
69
Treatment
Derotation & decompression by barium enema or with rectal tube, colonoscope, or sigmoidoscope if no signs of bowel ischemia or perforation
Laparoscopic derotation or laparotomy +/- bowel resection
Cecopexy à suture fixation of bowel to parietal peritoneum may prevent recurrence
Recurrence rate after decompression alone à 50%
70
Intestinal Pseudo-obstruction
The term intestinal pseudo-obstruction is used to indicate a syndrome characterized by a clinical picture suggestive of mechanical obstruction in the absence of any demonstrable evidence of such an obstruction in the intestine
71
Based on clinical presentation, pseudo-obstruction syndromes can be divided into acute and chronic forms
Acute colonic pseudo-obstruction is a clinical condition that appears with symptoms, signs, and radiological findings similar to those of acute large bowel obstruction, without any apparent mechanical cause
Frequency: Recent studies involving more than 13,000 orthopedic and burn patients documented the prevalence of acute colonic pseudo-obstruction to be 0.29%
72
Acute colonic pseudo-obstruction generally develops in hospitalized patients and is associated with a variety of medical and surgical conditions
The most commonly associated conditions include trauma, pregnancy, cesarean delivery, severe infections, and cardiothoracic, pelvic, or orthopedic surgery
73
Most recent reports now indicate the mean age to be in the seventh and eighth decades of life
the male-to-female ratio (1.5-4:1)
The mortality rate in medically treated patients has been documented to be 14%; in surgically treated patients, 30%.
74
The most serious complication of colonic pseudo-obstruction is perforation of the cecum. The reported incidence of cecal perforation is 3-40%, and the associated mortality rate is 40-50%.
Pathophysiology remains unknown
Acute Mesenteric Occlusion
Acute ischemic of mesenteric vessel. Commonly SMACauses: AF, mural thrombosis, atheromatous plaque from aortic aneurysm and valave vegetation from endocarditis
Features: -Sudden onset of severe abd. pain in pt with AF and atherosclerosis
-Persistent vomiting and defecation then passage of altered blood
-Hypovolumic shock
Investigations: - Neutrophil leukocytosis
- Abd Xray: Absence of gas in thickened small intestines
Treatment: - Anti-coagulant
- Embolectomy
- Revascularization
- Colectomy
75









