OBJECTIVES OF THIS LECTURE
1- Know what is x-ray and how produced .2- Differentiates X-ray from different types of radiation .
3- Discus its interactions and effects .
4- Understands its clinical applications .
Introduction to X-ray and CT –Scan
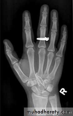
-X-rays were discovered by Konrad Rontgen in 1895 while he was experimenting with cathode tubes. found out that x-ray was attenuated in a different way by various kinds of materials and that it could, like light, be captured on a photographic plate .-This opened up the way for its use in medicine. The first “Rontgen picture” of a hand was made soon after the discovery of X-rays.
X-rays : are electromagnetic waves . The wavelength for X-rays is at the order of Angstroms (10−10 m) The nature of X-rays as short-wave electromagnetic radiation was established in 1912. Electromagnetic radiation consists of photons .
• X-rays
X- RAY GENERATIONX-rays are generated in an X-ray tube, which consists of a vacuum tube with a cathode (tungsten filament ) and an anode (tungsten target) .
The x-ray beam is produced by bombarding a tungsten target with an electron beam within an x-ray tube .
Interaction with matter
When x-ray beam pass through a matter they will interact in the following ways :Trasmited : pass through unaffected . A primary or direct radiation .
Absorbed : transfering to the matter all of their energy (the photon disappearing completely )
Scattered : diverted in a new direction , with or without loss of energy and so leave the material as scattered or secondary radiation .
The X-ray image is formed by the transmitted photons. those that are absorbed or scattered represent attenuation by matter .
An understanding of how the properties of X-ray and the materials through which they travel affect the relative amount of attenuation and transmission gives an understanding of how the X-ray image is formed.
• The interactions with tissues , depend on
• - the energy of the photon . In most radiological examinations the voltage used is typically in the range from 50 to 125 kV.• - the atomic number of the interacting matter ,the higher the atomic number the more the attenuation , so the contrast media used in radiography to opacify certain part of the body should have high atomic number .
The most important interactions are the following :
photoelectric absorption. A photon can be absorbed by an atom while its energy excites an electron.
Compton scattering. A second possibility is that the photon transfers only part of its energy to eject an electron with a certain kinetic energy ,the electron then escapes in another direction.
According to x- ray attenuation in the tissues ( x – ray penetration) ,the radiographic appearace can be graded into :
Tranceradiant as gases
Radiolucent or trancelucent as in fatty tissue
Mild radio radio-opague as fluid , muscle ..
Moderate radio-opague as bones and calcifications
Dense radio-opague as metals and contrasts
The four basic densities on an x-ray. A lateral view of the forearm shows that the bones are the densest, or white; soft tissue is gray; fat is somewhat dark; and air is very dark. The abnormality in this case is the fat in the soft tissue of the forearm, which is due to a lipoma .
X-ray detectors
The detector s can be :1- A screen – film combination : in which a film is sandwiched between two screens , Screen–film detector ( Convetional Radiography ) .
The film contains an emulsion with silver halide crystals (e.g., AgBr) , When exposed to light, the silver halide grains absorb optical energy and undergo a complex physical change .
2 - An image intensifier coupled to a camera ( Fluoroscopy ),
3 - A cassette containing a storage phosphor plate ( CR .computed radiography ) .
4 - An active matrix flat panel detector or dual-layer detector (digital radiography ) DR .
aS
Clinical use (DIAGNOSTIC)
Radiography ( static ) : Coventional and digital ( CR and DR )
Fluoroscopy ( dynamic ) Analogue or digital : Used in contrast studies and interventional procedures .CT scan (Computed tomography scan )
Computed tomography or CT is an imaging modality that produces cross-sectional images representing the X-ray attenuation properties of
the body.
Types and generations :
A- CAT (computed axial tomorgaphy ) scan
Single-slice CT , Circular CT
The most straight forward way to image an entire volume is to scan a number of consecutive slices by circular tube–detector rotations alternated with small table shifts.
B- Spiral CT (Helical CT)
A technique that is widely used nowadays is helical CT.The X-ray tube rotates continuously around the
patient, just as in 2D CT. At the same time, the patient
is slowly translated through the gantry.
Multidetector spiral CT scan ( 4 , 8 , 16 slice , 32 slice , 64 ,128 and 256 slice) .
In modern CT scanners, the detector array consists of multiple detector rows, in order to measure several slices per rotation of the X-ray tube.Biologic effects and safety
X-rays and γ-rays are ionizing waves, Such photons are able to ionize an atom, i.e., to release an electron from the atom.Even at very low X-ray doses the energy deposited by ionizing radiation, such as X-rays, may be sufficient to damage or destroy cells.
We have two types of effects ,
Non deterministic effects (stochastic effects) and Deterministic effects .
Non deterministic effects (stochastic effects) :
The probability always exists that modifications in single cells could lead to malignancy (cancer) or genetic changes.
Malignant disease and heritable effects, for which the probability but not the severity is proportional to the dose, without any threshold, are stochastic effects of radiation .
There is no evidence of a threshold dose below which the proba-
bility would be zero.
.
Deterministic effects ,,of radiation also exist ,
They are injuries to a large population of cells where repair mechanisms fail and the complete tissue is damaged. Deterministic effects are characterized by a threshold dose and an increase in the severity of the tissue reaction with increasing dose .
The deterministic effects of radiation can be
acute or chronic
for example,
Skin erythema and acute illness such as diarrhea are acute
While cataract , infirtility are chronic ..ext.
The SI unit of absorbed dose is the gray (Gy).
One Gy is one joule per kilogram of irradiated material.the effective dose , is the radiation dose absorbed by the body and is measured in sieverts (Sv) .
Effective dose is a valuable measure to compare different examinations.
Examples of effective doses for some typical radiographic examinations are:
dental 0.005–0.02 mSv;
chest 0.01–0.05 mSv;
skull 0.1–0.2 mSv;
pelvis 0.7–1.4 mSv;
lumbar spine 0.5–1.5 mSv.
- According to the International Commission on Radiological Protection (ICRP) , the relative radiation risk for cancer is 5.5% / Sv and for heritable effects up to the second generation is 0.2% / Sv.
Radiation protection
- Because of the potential risk of medical irradiation, the ICRP recommends keeping the magnitude of individual examination doses as low as reasonably achievable (ALARA principle).
- There are no dose limits for patients, but every exposure should be justified. This is to a large extent a medical decision .
- Pregnancy for example, is a state where risks are increased.
- Special attention should also be given to children and to high-dose imaging , such as interventional radiology.
- Furthermore, the ICRP recommends limiting all exposed workers from regulated radiation practices to 20 mSv per year when averaged over five years and the public to 1 mSv per year.
- In particular, physicians may receive a significant exposure when doing procedures under fluoroscopy, but they too must not exceed 20 mSv per year. There are strict protection protocols they have to follow, among which is the protection of the body the thyroid gland and cornea with a lead apron ,collar and glasses respectively .
.
A dosimeter , which is a small device clipped to the personnel’s clothing , measures the cumulative absorbed dose .

















