قراءة
عرض



General histology

Lecture 1

Endocrine ملحق
د.حارث/انسجة عامة


General histology

Pituitary Gland

General histology




General histology





General histology




General histology




General histology

Cell types in the Hypophysis. Stain: modified azan. Oil immersion.

General histology




General histology


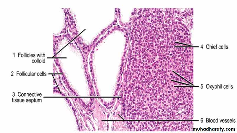
Hypophysis: pars distaiis, pars intermedia, and pars nervosa. Stain: mallory-azan & orange G.



General histology




General histology

Lecture 2

General histology

Thyroid gland (general view) . Stain H&E. Low magnification .

General histology

Thyroid gland follicles. Stain: H&E. High magnification.


General histology




General histology

Thyroid gland follicles. Stain: H&E. High magnification.

General histology




General histology




General histology





General histology




General histology




General histology

Lecture 3

General histology


General histology




General histology





General histology

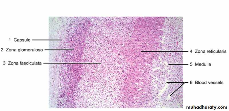
Adrenal (suprarenal) gland: cotrex and medulla. Stain H&E .

General histology




General histology

PINEAL GLAND

General histology





رفعت المحاضرة من قبل: Firas Ragheed
المشاهدات: لقد قام 26 عضواً و 526 زائراً بقراءة هذه المحاضرة








تسجيل دخول

أو
عبر الحساب الاعتيادي
الرجاء كتابة البريد الالكتروني بشكل صحيح
الرجاء كتابة كلمة المرور
لست عضواً في موقع محاضراتي؟
اضغط هنا للتسجيل