Neonatal respiratory distress syndromeRDSHyaline membrane diseaseHMD
DEFINITIONRespiratory problem in premature babies <32 wks gestation due to lack of surfactant as a result of immaturity of the lung and its incidence increases with decrease in gestational age. Surfactant is phospholipid formed in the fetal lung after 34wk gestation and completed within the last trimester. Its function is to reduce surface tension of the alveolar wall help aeration of the alveoli and prevent alveolar collapse. Hypoxia and meconium aspiration prevent its formation and function. Its absence causes collapse and atelectasis of alveolar spaces.
Risk factors
Premature babies <32 wks gestationCesarean section
Maternal diabetes
Birth asphyxia
Clinical features
Premature babies developed tachypnea and respiratory distress soon after birth within first hour of birth, with grunting, intercostal recession and subcostal retraction, and even cyanosis and apneic attacks. Difficult feeding and less crying.Pulse oximetry <90% and BGA show low O2 and CO2 retention.
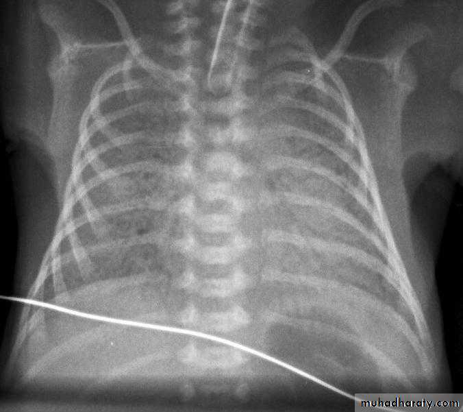
CXR shows whitening of lung with less aeration and reticular feature with ground glass appearance due to atelectases.
Differential diagnosis
TTN; tansient tachypnea of newborn has mild course and its CXR shows hyperinflation and aeration and Gestational age >35+wksNeonatal pneumonia
Meconium aspiration
Congenital heart disease
complications
Pneumothorax and pneumomediastinum,Apnea due to hypoxia
PDA due to prematurity and hypoxia
Infection ;lung or sepsis
Intraventricular hemorrhage IVH due to prematurity with swinging of vascular pressure at periventricular subepindymal vessels.
treatment
Usually RDS is severe condition and it needs respiratory support:Oxygen by head box; in mild cases .
Surfactant therapy given in 1-3 doses through ETT endotracheal tube intubation; followed by connection to CPAP(continuous positive air way pressure) system; or even connection to mechanical ventilator machine for 1-3 days .
Antibiotics ampicillin and aminoglycosides like amikacin or gentamicin given because difficult to exclude neonatal pneumonia .
prevention
Can be prevented in suspected premature delivery by steroids to enhance the fetal lung maturation by giving dexamethasone to the mother for 2-4 doses for the 24-48 hrs before delivery.


