Transient Tachypnea of newbornWet lung; RDSII(TTN)
DEFINITION and causesIt is a respiratory problem that can be seen soon after birth within first 3 hours mostly in full- term and sometime in preterm neonates >35+ wks. The incidence is 1% of all newborns. It is mild to moderate respiratory distress and self-limiting and mostly improve within 1-2 days. Its cause is retained fluid in the lungs of newborn at birth leading to reduced lung compliance and respiratory difficulty. The rapid labor time or the cesarean section that does not allow the squeezing process to milk out the fluid from the fetal lung.
Causes( aetiology) include cesarean section, and rapid labor time for term or preterm babies >35+ wks getation due to retained fluid in the fetal lung.
Risk factors
1.cesarean section2.baby of diabetic mother and macrosomia.
3.baby of asthmatic mother , cause unclear
4.baby small for gestational age or premature babies>35+ wks: due to rapid delivery that not allowing time for clearing the fetal lung from retained fluid.
Clinical features
Tachypnea developed within first few 3-6 hr hours of birth with RR>60/min.Grunting
Flaring of nostrils
Intercostal recession and subcostal retraction
rarely may in severe cases develop Cyanosis or low SPO2 (Hb oxygen saturation) <90% by pulse-oximetry.
Usually the respiratory distress is benign and improve within 3-4 days but if remain for more than 5 days other possibilities should be considered, like RDS, congenital heart disease , neonatal pneumonia, meconium aspiration syndrome.. So the diagnosis is mainly by excluding other similar conditions like the later problems.
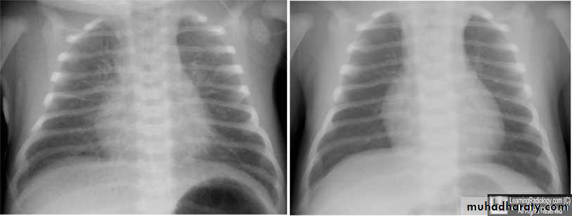
TTN CXR
Diagnosis and diff, diagnosis
History of full term delivered by C-section, or low birth WT baby born by rapid precipitous labor or IDM baby develops tachypnea within first 3 hours of birth,CXR showing; hyperinflation, more aerations , perihilar prominent vascular lung marking, interstitial streaks of fluid and fissures shows fluid lines, in addition to mild cardiomegaly, should suggest TTN. Low Spo2<90%. -------------------------------------
To differentiate it from other causes like RDS is mainly by the exclusions; by nature of delivery, the maturity of baby <32wks in RDS , and the course of the tachypnea(severity and the duration in RDS more severe and takes longer course up to 1 wk) x-ray in RDS; shows less aerations, whitening of lung ,and presence of bronchogram .
Other diff. diagnoses: pneumonia, congenital heart disease, meconium aspiration.
TREATMENT
ADMISSION to NICU (neonatal intensive care unit) & put the baby in incubator& give O2 by oxyhood box ( head box) with high O2 conc . 80-100%, for may hours or even for1-2days + IV fluid and antibiotics, under monitor for Spo2 and RR, and follow up with no oral feeding (NPO) till RR reaches<60/m and then can give milk by nasogastric tube feeding NGF when the condition allow, rarely CPAP may be used.(continuous positive air way pressure).the baby usually improves within 24-48 hours.

