Terms in Orthodontics
Dr.Omar S.M.J.Ali
PhD Orthodontic• Terms in Orthodontics
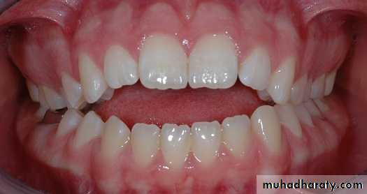
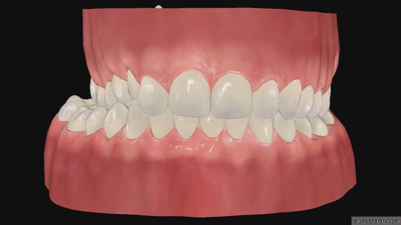
Over jet :Overbite
Open bite:
Deep bite:
Cross bite
Scissor bite
Prognathism:
Retrognathism:
Midline shifting
Diastema
Inclination
Torque: a torsion force applied to a tooth to produce or maintain crown or root movement
Tooth Movement
IntroductionOrthodontic tooth movements are based on the ability of bone to react to mechanical stresses with the apposition and resorption of alveolar bone.
What is needed !!!
1- Tooth2- Health PDL
3- Bone
4- Applied Force
A- Fibers transmitted force applied to the tooth.
B- Damping.C- Cells within PDL.
Mechanical Principles in Orthodontic
1-Center of Resistance: A-point at which resistance to the movement can be concentrated for mathematical analysis.Location of Cres:
CresThe Roots Attachment
Root length
Root morphology
Number of Roots
alveolar bone height
Center of Rotation:
The point around which rotation actually occurs when an object is being to move.• Extrusion:
• A translational type of tooth movement parallel to the long axis of the tooth in the direction of the occlusal plane.Occlusal plane
Types Of Tooth Movement• Intrusion:
• A translational type of tooth movement parallel to the long axis of the tooth in the direction of the apical level.
Apical Level
• Pure Root Movement:
• The type of tooth movement for which the center of rotation is at the incisal edge.Incisal edge
Center of Rotation• Controlled Tipping:
• A type of tooth movement consisting of rotation about the apex of the tooth.Apex
Center of Rotation• Uncontrolled Tipping:
• Movement of the crown and the apex of the tooth in opposite direction.Apex
Occlusal PlaneCenter of Rotation
• Translation (Bodily movement):
• All points on a tooth move in the same direction by the same amount.Apex
Occlusal Plane• 7. Rotation Movement:
• Movement of the tooth around its long axis by two forces equal in magnitude and opposite in direction.LONG AXIS
Force 1
Force 2Occlusal View
Uncontrolled Tipping
Controlled TippingIntrusion
Extrusion
Pure root Movement
Bodily
CRot=
Cres=
When to Use—What Appliance !!
FixedTipping
RotationExtrusion
IntrusionBodily
When to Use—What Appliance !!
RemovableTipping
RotationExtrusion
IntrusionBodily
Optimal orthodontic force:
The lightest force that will move the tooth to a desirable position in shortest possible time with no iatrogenic effect.• Force (gm)
• Type of Movement
• 35-60
• Tipping
• 70-120
• Bodily Movement (Translation)
• 50-100
• Root uprighting
• 35-60
• Rotation
• 35-60
• Extrusion
• 10-20
• Intrusion
Force Measurement
Classification of Force by the Rate of Decay
• Continuous---Force maintained at the same appreciable fraction of the original from one patient visit to the next.• Interrupted---Force levels decline to zero between activations.
• Both 1 & 2 forces can be produced by fixed appliances that are constantly present.
• 3.Intermittent---Force level decline to zero intermittent,(e.g. when the removable appliance is taken out, only to resume when the appliance is reinserted into mouth. These forces also decay as tooth movement occurs.
The Criteria of Ideal Delivery Force
1. Provide optimal tooth-moving forces that elicit the desired effects.2. Be comfortable and hygienic for the patient.
3. Require minimal operator manipulation and chair- time.
4. Require minimal patient co-operation.
5. Be economical.
Factors Affecting Rate of Tooth Movement
1-The Force Applied2- Age
3- Individual Variations
4-Tooth
a- The surface area of the roots.
b- The types of tooth movement
c- Other factors such as intercuspation of the teeth
Orthodontics Adverse Affects
1- Pulp2-Root
3- PDL4-Bone
*Transient Inflammatory Response.
*Loss of Vitality.Orthodontics Adverse Affects
1- Pulp
2-Root3- PDL
4-BoneRoot Resorption.
At Risk: a-Distorted apicesb-Thin Roots
(1-2) mm Root Length
3-D dental models are used to stimulate 3-D movement of teeth including rotations, and tipping during orthodontic treatment. The proposing techniques are a part of the development diagnosis system designed to replace manual measurement method. The initial result showed that maximum stresses are produced on the outside layers. It had also shown that during tipping movement, the greater stresses occurred at alveolar crest and not at apex. Rotational forces in general produced the least stresses at all point on root surface.
Dentin
Cementum
Computer and Tooth Movement




































