INTRODUCTION & CLASSIFICATION OF REMOVABLE PARTIAL DENTURE
Lec.1Assis.prof.Dr.
Radhwan Himmadi Hasan
B.D.S , M.Sc. , Ph.D
Assis.Prof.Radhwan Himmadi Hasan
1
Reasons for tooth loss
Traumatic injuriesCaries
Periodontal diseases
Cysts, malignancies and tumors
Radiation therapy for tumors
Grossly malaligned teeth
Iatrogenic extraction
Congenitally missing teeth
Failure to erupt (impacted teeth)
Assis.Prof.Radhwan Himmadi Hasan
2
Sequelae of tooth loss
Resorption: The socket gradually remodels until it assumes the shape of the rounded edentulous ridge.Tilting
Drifting
Occlusal disharmony leads to discomfort, pain, or damage to temporomandibular joints.
Assis.Prof.Radhwan Himmadi Hasan
3Partial Denture
A prosthesis that replaces one or more, but not all of the natural teeth and supporting structures. It is supported by the teeth and/or the mucosa. It may be fixed (i.e. a bridge) or removable.Assis.Prof.Radhwan Himmadi Hasan
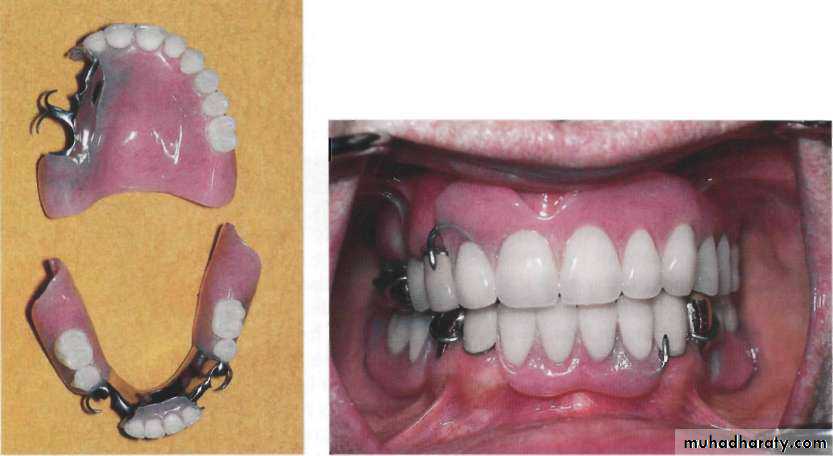
4Removable Partial Denture (RPD)
A partial denture that can be removed and replaced in the mouth by the patient.Can be interim RPD (all-resin) or definitive cast framework RPD
Assis.Prof.Radhwan Himmadi Hasan5
Interim Rmovable Partial Denture (Provisional; Temporary)
A denture used for a short interval of time to provide:a. esthetics, mastication, occlusal support and convenience.
b. conditioning of the patient to accept the final prosthesis.
Assis.Prof.Radhwan Himmadi Hasan
6TERMENOLOGY:
Retention:Resistance to removal from the tissues or teeth
Stability:
Resistance to movement in a horizontal direction (anterior-posteriorly or medio-laterally
Support:
Resistance to movement towards the tissues or teeth
Assis.Prof.Radhwan Himmadi Hasan
7Abutment: A tooth that supports a partial denture.
Retainer: A component of a partial denture that provides both retention and support for the partial dentureAssis.Prof.Radhwan Himmadi Hasan
8Indications for RPD
Length of edentulous: RPD preferred for longer edentulous arches.Abutment tooth: When there is no tooth posterior to the edentulous space to act as an abutment, a RPD is preferred.
Assis.Prof.Radhwan Himmadi Hasan
9
Periodontal support of remaining teeth: When it is poor RPD is preferred because it requires less support from the abutment teeth.
Cross arch stabilization: When a remaining teeth have to be stabilized against lateral and anterior-posterior forces, a RPD is indicated.
Assis.Prof.Radhwan Himmadi Hasan
10
Excessive bone loss: In RPD, the artificial tooth can be positioned as per the operators preferences and the denture base can be fabricated to provide required support and aesthetics.
Aesthetics: RPD provide better aesthetics because the denture base gives the appearance of a natural tooth arising from the gingiva.
Assis.Prof.Radhwan Himmadi Hasan
11
Immediate tooth replacement after extraction
Emotional problems: The appointment for removable partial denture is shorter and less demanding to patient.Patient desires: Patient insist on RPD over FPD for the following reasons:
To avoid operative procedures on normal tooth.
For economic reasons.
Assis.Prof.Radhwan Himmadi Hasan
12
RPD is generally preferred in the following conditions:
When more than 2 posterior teeth or 4 anterior teeth are missing.If the canine & two of its adjacent teeth are missing.
When there is no distal abutment tooth.
Presence of multiple edentulous spaces.
If the teeth adjacent to edentulous spaces are tipped ,they cannot be used as an abutment for a fixed prosthesis.
If periodontally weakened teeth are present near the edentulous spaces.
Assis.Prof.Radhwan Himmadi Hasan
13Teeth with short clinical crowns.
Insufficient number of abutmentsSevere loss of tissue on the edentulous space.
Old patients
Assis.Prof.Radhwan Himmadi Hasan
14
Requirements of an acceptable method of classification .
It should permit immediate visualization of the type of partially edentulous arch that is being considered.It should permit immediate differentiation b/w the tooth supported & the tooth and tissue supported RPD.
It should be universally acceptable.
Assis.Prof.Radhwan Himmadi Hasan
15
Kennedy’s classification
Class I: bilateral edentulous areas located posterior to the remaining natural teeth.Assis.Prof.Radhwan Himmadi Hasan
16• Class II: unilateral edentulous areas located posterior to the remaining natural teeth.
Class III: unilateral edentulous area with natural teeth anterior and posterior to it, i.e. this indicates a single edentulous area which doesn’t cross the midline of the arch, with teeth present on both sides of it.
Assis.Prof.Radhwan Himmadi Hasan
17Class IV: single, bilateral edentulous area located anterior to the remaining natural teeth. This is a single edent. area, which crosses the midline of the arch, with remaining teeth present only posterior to it.
Assis.Prof.Radhwan Himmadi Hasan
18Applegate’s rules
Rule 1: classification should follow rather than precede extractions that might alter the original classification.
Rule 2: if the third molar is missing and not to be replaced, it is not considered in the classification.
Rule 3: if the third molar is present and is to be used as an abutment, it is considered in the classification.
Rule 4: if the second molar is missing and is not to be replaced, it is not considered in the classification.
Assis.Prof.Radhwan Himmadi Hasan
19
Rule 5: the most posterior edentulous area or areas always determine the classification.
Rule 6: edentulous areas other than those, which determine the classification, are referred to as modification spaces and are designated by their no:Rule 7: the extend of the modification is not considered, only the no: of edentulous areas, i.e. the no: of teeth missing in the modification spaces is not considered only the no: of additional edentulous spaces are considered.
Rule 8: there can be no modification areas in class IV. Because any additional edentulous space will definitely be posterior to it and will determine the classification.
Assis.Prof.Radhwan Himmadi Hasan
20Assis.Prof.Radhwan Himmadi Hasan
21Assis.Prof.Radhwan Himmadi Hasan
22Missing Teeth May Be Replaced By One of Three Prosthesis Types: *
• An implant-supported fixed partial denture• A tooth-supported fixed partial denture (FPD)
• A removable partial denture (RPD)
• No replacement
Assis.Prof.Radhwan Himmadi Hasan
23Alternatives to RPD (Treatment Options)
Implant-supported prosthesis – most costly, closest replacement to natural dentition, less costly over long term2. Fixed partial denture – requires abutments at opposite ends of edentulous space, more expensive than RPD, must grind down abutments, flexes and can fail if too long
3. No treatment
Assis.Prof.Radhwan Himmadi Hasan
24
No Treatment (Shortened Dental Arch)
Most patients can function with a shortened dental arch (SDA)RPD doesn’t usually improve function in shortened dental arch cases
Assis.Prof.Radhwan Himmadi Hasan
25Shortened Dental Arch
Requires anterior teeth + 4 occlusal units (symmetric loss)or (asymmetric loss) for acceptable function-
Assis.Prof.Radhwan Himmadi Hasan
26Avoid Unilateral RPD
Assis.Prof.Radhwan Himmadi Hasan
27Combination of RPD and FPD
Usually, any missing anterior teeth in a partially edentulous arch are best replaced by means of a fixed restoration. Then, the replacement of missing posterior teeth is made with an RPD .*Assis.Prof.Radhwan Himmadi Hasan
28Components of a Typical RPD
Major connectorsMinor connectors
Direct retainers
Indirect retainers (if the prosthesis has distal extension bases)
One or more bases, each supporting one to several replacement teeth
Assis.Prof.Radhwan Himmadi Hasan
29
Grade distribution
100% grade80% theory
10 % clinic (discussion, attendance, quiz, homework)
10% (quiz, attendance,behaviour )
Any disciplinary case discount from the total grade
Assis.Prof.Radhwan Himmadi Hasan
30Assis.Prof.Radhwan Himmadi Hasan
31THANK
YOU……












































