BLEEDING TENDENCY
Dr. Mohammad Harith Al- saatyBleeding can occur after surgery or trauma , pathological bleeding occur when structurally abnormal vessels rupture or when a vessel is breached in the presence of a defect in hemostasis , this may be due to
1.Platelets deficiency
2. Platelets dysfunction
3. Coagulation defects.
Clinical assessment :
• History :a. Site of bleeding : bleeding into the muscles and joints , along with retroperitoneal & intracranial hemorrhage indicates a likely defect in coagulation factor .
Purpura , prolonged bleeding from superficial cuts , epistaxis , or menorrhagia is more likely to be due to thrombocytopenia , platelets dysfunction or von willebrand disease .
b. Duration of history : since childhood ? , recent onset ?
c. Precipitating factors : if there is trauma or occur spontaneously. Bleeding that occur spontaneously indicate a more severe defect .
d. Surgery : ask about operations , dental extraction , tonsillectomy and circumcision .
Immediate post-surgical bleeding suggest defective platelet plug formation and primary hemostasis , delayed hemorrhage is more suggestive of coagulation defecte. Family history :
It is important to ask about family history , because it may be positive in patient with inherited disorders , but keep in mind that the absence of affected relatives does not exclude a hereditary bleeding disorders ( one third of cases of hemophilia arise in individuals without family hx) , it is also important to ask about consanguineous marriage because autosomal recessive disorders are common in those populations .f. Drug history :
Many drugs can cause bleeding like antiplatelets ( aspirin , clopidogrel ..) , anticoagulants ( heparin , warfarin ) , thrombolytics ( alteplase , streptokinase …) & even herbal remedies like ginseng , ginkgo biloba …Clinical examination :
Signs of bleeding tendency include :1. Petechial purpura : minor bleeding into the dermis , flat & non blanching , it may indicate thrombocytopenia or platelets dysfunction .
petechi
petechi
2. Palpable purpura
Associated mostly with vasculitis .Other causes of purpura :
* Senile purpura* Factitious purpura
* Purpura fulminans : e.g in DIC secondary to sepsis
* Paraprotenemia
purpura
3. Ecchymosis or bruising :
More extensive bleeding into the deeper layers of the skin , initially dark red or purple then blue , then green & then yellow as hemoglobin degraded.bruises
Full examination is important in case of bleeding tendency e.g in abdominal examination u may find flank hematoma ( retroperitoneal bleeding ) , joint examination may reveal hemarthrosis )
Systemic examination may give u a clue to the underlying disease such as hematological malignancy , liver disease , renal failure , CT diseases … etc.
Investigations
- CBC , specially concentrating on platelets ( normal range : 150 -400 * 10^9/l)- Prothrombin time ( PT) : ( NR. 9-12 second )
Causes of elevated PT :1. Factor VII deficiency ( isolated PT prolongation) !
2. Liver disease
3. Warfarin therapy
4. Vitamin k deficiency
- Activated partial thromboplastin time ( APTT)
( NR. 26 – 36 sec.)
causes of isolated elevation of APTT
a. Factor VIII deficiency ( hemophilia A )
b. Factor IX deficiency ( hemophilia B ) ( christmas disease)
C. Factor XI & factor XII deficiency
d. Heparin therapy
e. Von willebrand disease ( mild elevation )
causes of elevated both ( PT & APTT) :
1. Factor II deficiency2. Factor V deficiency
3. Factor X deficiency
4. Fibrinogen deficiency
5. DIC
6. Severe liver disease & severe vitamin K deficiency
** don’t forget that there are diseases that can cause bleeding with normal PT , APTT & platelets like : platelet dysfunction ( congenital or acquired ) , factor XIII deficiency ….
Investigation ( continue..)
- Fibrinogen concentration :( NR : 1.5 – 4 g/l)
Occur in diseases that cause hypofibrinogenemia
Like : DIC & liver failure
- Factors assay : like factor VIII , factor IX … etc
- Platelet function : previously has been assessed by bleeding time ( the time to stop bleeding after an incision ) ( normally less than 8 min. ) , but now more recent studies has been done to assess platelets function like measuring platelets aggregation in response to adrenalin, ADP , collagen ,,, etc.Thrombocytopenia
Causes of thrombocytopenia :1. Decrease or abnormal production
2. Increased consumption(1) Decreased production :
-aplastic anemia-fanconi anemia
- Megaloblastic anemia
- Leukemia
-drugs : chemotherapy
(2) Increased consumption :
- ITP ( immune thrombocytopenic purpura)
- DIC- Hypersplenism
- HUS ( hemolytic uremic syndrome)
-TTP ( thrombotic thrombocytopenic purpura)
-liver disease
Note : there is what is called pseudothrombocytopenia or sporious throbocytopenia due to platelet clumping in the sample specially when the sample contain EDTA as anticoagulant , in such case reviewing the peripheral blood smear will show the clumps , furthermore drawing blood into a sample that contain citrate instead of EDTA will eliminate the clump .
Immune thrombocytopenic purpura( ITP)
This condition is caused by autoantibodies mainly directed against the platelet membrane glycoprotein IIb/IIIa , resulting in premature removal from the circulation .It is usually associated with underlying diseases like :
- C.T. diseases- HIV infection
- Malignancies
- Pregnancy
Clinical feature of ITP :
Depend on the degree of thrombocytopenia , there may be bruising , epistaxis , petechi .Spontaneous bleeding usually occur when platelet count below 20 * 10 ^9/l .
There may be feature of the underlying disease e.g SLE .
b. Film will show reduced no. of platelets , Bone marrow will show increased no. of megakaryocytes ( but bone marrow is rarely needed in ITP , bone marrow is indicated in pt. older than 60 years , resistant cases & to exclude marrow fibrosis before splenectomy is done ) .
Management of ITP :
Treatment indicated when there is bleeding , severely reduced platelet count & when there is upcoming surgery or biopsy to be taken .1st line therapy is steroid ( prednisolon 1mg /kg daily to suppress the antibody .
When there is slow response to steroids or there is severe bleeding : IV IG ( immunoglobulin) .
In more severe cases : platelet transfusion , splenectomy , thrombopoietin analogue ( romiplostim ) or the thrombopoietin receptor agonist eltrombopag , & if no response immunosuppressants should be considered like rituximab , ciclosporin …
Haemophilia A
Is a very common congenital coagulation disorder caused by deficiency of factor VIII , factor VIII is synthesized in the liver & endothelial cells & protected in the circulation by binding to von willebrand factor .Haemophilia A is sex linked disorder because the gene is located on X chromosome , all daughters of hemophiliacs are obligate carriers , & in turn have 1 in 4 chance in each pregnancy resulting in the birth of of an affected male , normal male , carrier female & normal female .
Antenatal dx. By chorionic villous sampling is possible .
Severity of hemophilia A according to factor level
Clinical feature
The main feature is bleeding , & this is depend on the severity of factor VIII D- , severe cases present with spontaneous bleeding into the skin , muscles , & joints , retroperitoneal & CNS bleeding are also features of severe cases .Mild to moderate cases also present with bleeding but it is usually provoked bleeding , i.e. after trauma or surgery .
Hemarthrosis & muscle hematoma are characteristic , common sites for hemarthrosis are the knee joint & ankle joint , for the muscle , calf & psoas muscle hematoma are also common .
Recurrent hemarthrosis can lead to secondary osteoarthritis ( due to synovial hypertrophy & destruction of the cartilage).
Psoas M. hematoma can lead to compression of the femoral nerve , calf hematoma can lead to compartment syndrome ( ( ischemia , necrosis & fibrosis of the fascial sheath) .
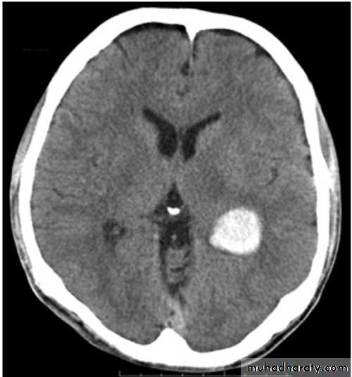
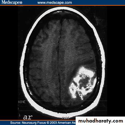
CNS bleeding is the most dangerous form of bleeding & always should be suspected in hemophilic pt. with headache or other neurological symptoms.
Hemarthrosis
Ct scan : bleeding
Management of hemophilia A
All patients should avoid trauma & any drug that can cause bleeding , the main treatment is to give factor VIII intravenously. Factor VIII should be stored at refrigerator & thus pts can treat themselves at home at the earliest indication of bleeding .The dose can be calculated by :
Wieght * % of bleeding / 2
e.g. 70 kg , bleeding 100%
The dose will be : 70 * 100 = 7000/2 = 3500 IUthe half life is 8-12 hours , so it should be given twice daily
- Desmopressin ( DDAVP) is vasopressin receptor agonist , it raise the von willebrand factor & factor VIII by 3-4 fold , it is useful in treatment of mild to moderate bleeding .the dose is usually 0.3 ug / kg IV or SC or intranasal adminstration of 300 ug ( be ware of water retention , hyponatremia , & it is contraindicated in severe arterial disease because of risk of thrombosis ) .
- Tranexamic acid ( cycklokapron) : antifibrinolytic drug , used as adjunctive therapy to control mild to moderate bleeding from the gum or oral cavity & sometimes GIT , BUT it is contraindicated when there is hematuria bec. There is risk of clot formation in the lumen of GU tract .
If Factor VIII is not available , cryoprecipitate can be used sometimes , bec each bag contain around 80 unit of factor VIII.
* Complication of therapy :
1. Inhibitor formation :
One of the major complication of factor VIII therapy is the development of anti factor VIII antibodies , occur in about 20 % of severe hemophiliacs . Such antibodies neutralise the therapeutic infusion making treatment relatively ineffective .
When u suspect inhibitors formation , we should do what is called ( mixing study ) , which include mixing plasma of hemophilic pt. with normal plasma ( 1:1) , in normal pt. ( no inhibitors ) such mixing will correct the APTT completely , while if there is inhibitors , the APTT will not be corrected .
Treatment of such problem is to give activated clotting factor like factor VII a or factor VIII inhibitor bypass activity ( FEIBA).
2. Transmission of infections :
specially hepatitis C virus which is major cause of morbidity in hemophilic patient . Other type of infections include HBV , HIV , CJD …Recombinant factor VIII associated with decrease risk of viral infection .
VON WILLEBRAND DISEASE
a common but mild bleeding disorder , caused by deficiency of von willebrand factor which is involved in both platelet function & coagulation .VWF act as a carrier protein for factor VIII. So deficiency of VWF lower the plasma factor VIII level.
Clinical feature : the patient presented with bleeding tendency similar to those with reduced platelet function , superficial bruising , epistaxis , & commonly menorrhagia in females, the bleeding is usually less severe than hemophilia .
Treatment :
Many mild cases can be treated by local means only or with desmopressin ( enhance release of VWF from endothelial cells )Tranexamic acid may be useful in mucosal bleeding , for more serious bleeding using selected factor VIII concentrate which contain considerable quantities of VWF in addition to factor VIII .
Disseminated intravascular coagulation ( DIC)
Characterized by activation of the pathways involved in coagulation & its regulation , this may result in generation of intravascular fibrin clots causing multiorgan failure with consumption of both platelets & coagulation factors causing bleedingClinically there will be bleeding , oozing from venipuncture sites , petechi , ecchymosis , GIT blleding & even CNS bleeding . There is also hypercoagulability state resulting in occlusion of the vessels in the microcirculation resulting in organ failure & shock state .
Causes of DIC
Investigations
1. Low platelets2. Low fibrinogen
3. Prolonged PT
4. Prolonged APTT
5. Elevated D dimer .
6. Evidence of organ failure
Management
Treatment is mainly to correct the underlying cause , the pt. is usually treated at the ICU , to deal with the concomitant issues like , dehydration , acidosis , multiorgan failure & hypoxia .
Fresh frozen plasma , cryoprecipitate & platelet transfusion may be necessary if the patient has bleeding .
If there is evidence of thrombosis , treatment with heparin ( cautiously !! ) should be done with close monitoring .
Acquired bleeding disorders
-liver disease :In severe parenchymal liver disease bleeding may arise from different causes :
*GIT bleeding from esophageal varices or peptic ulcer
* Reduced hepatic synthesis of of factor V, VII , VIII ! , IX, X, XI , prothrombin & fibrinogen .*thrombocytopenia secondary to hypersplenism
*vitamin K deficiency ( specially in cholestatic jaundice).
Renal failure :
This is mainly proportional to the elevated urea level , the causes of bleeding are multifactorial including platelets dysfunction & blood loss during dialysis .THANK
YOUFOR LISTENING

















