APPROACH FOR PATIENTS WITH MONOARTHRITIS
DR. ALI ABDULRAHMAN YOUNISDefinitions
Arthritis = inflammation of a joint.Objective arthritis is defined as swelling, effusion, or the presence of two or more of the following—limitation of motion, tenderness, pain on motion, or joint warmth (i.e., arthralgia alone is not sufficient)
Mono arthritis = one joint affected.
Poly arthritis > 4 joints affected.
Oligo/pauci-arthritis = 2-4 joints affected.Definitions
A monoarthritis is generally considered acute if it has been present for less than 4 weeks, although some have proposed a 2 week cut-off.A joint problem which has persisted for more than 6 weeks is generally categorized as chronic.
HISTORY
Inflammatory versus non-inflammatory pain
Inflammatory joint diseases are associated with early morning stiffness of the affected joint, which will often last for more than one hour.In inflammatory joint diseases, pain and stiffness are typically worse in the morning or after periods of inactivity (the so-called “gel phenomenon”) and improve with mild to moderate activity.
Mechanical joint problems tend to be associated with more short-lived stiffness (a few minutes in duration) and patients tend to identify activity-associated pain (rather than stiffness), which improves with rest.
A history of joint swelling can be an additional indicator of inflammatory joint disease.
Inflammatory versus non-inflammatory pain
A symptomatic response to treatment with non-steroidal anti-infl ammatory drugs (NSAIDs), particularly if the symptoms respond dramatically, can be supportive evidence of an inflammatory rather than a non-inflammatory process.A history of redness of the skin overlying the joint is highly suggestive of either crystal arthritis (gout or pseudogout) or septic arthritis. Other causes of monoarthritis are not generally associated with overlying redness.
Acute or chronic
Fractures and internal derangement are characterized by sudden onset of pain (seconds or minutes).Gout and pseudogout are characterized by a very acute onset of symptoms (usually over hours to days) .
Symptoms in septic arthritis are usually present for 1–2 weeks, but the onset can be slower, especially with low-virulence organisms, mycobacterial infection, and prosthesis infection.
The other inflammatory arthritides all tend to be associated with a slower onset of symptoms (usually over several weeks).
Acute or chronic
Chronic course would be more suggestive of conditions such as reactive arthritis, spondyloarthritis, chronic mycobacterial or fungal infection (if inflammatory), or osteoarthritis/osteoarthrosis (if non-inflammatory).Localization of symptoms
It is important to ascertain whether the source of the pain is the joint or other surrounding structures.
Joint pain is characteristically a deep-seated pain that may be localized to the joint or may be felt distal to the joint itself.
The pain from surrounding structures is often a more superficial pain that the patient can clearly localize to one of the periarticular structures.
Additional information
Risk factors for septic arthritis should be sought in the history including diabetes, prior RA, previous joint replacement, recent intra-articular corticosteroid injection, HIV infection, intravenous drug usage, or immunosuppression.Recent urethritis (reactive arthritis or gonococcal arthritis).
Conjunctivitis or diarrhoea (reactive arthritis);
A history of cutaneous/nail psoriasis or inflammatory back pain (spondyloarthritis);
History of tick bites (Lyme disease).
Dietary factors or features of the metabolic syndrome (gout).
History of erythema nodosum (Lofgren’s syndrome/acute sarcoid).
Additional information
A history of previous episodes provides support for a crystalline or other noninfectious cause, such as palindromic rheumatism .Patients with established rheumatoid arthritis (RA) who develop a dramatic monarthritis should always be evaluated for superimposed septic arthritis or crystal-associated disease .
Patients with antecedent joint disease or surgery should raise the clinician’s concern about infection.
In patients with a prosthesis in the involved joint, loosening of the implant should be investigated.
Additional information
A history of trauma suggests fracture or an internal derangement, but minor trauma can also precipitate acute gout or psoriatic arthritis, or can introduce infection.Occupations involving repetitive use of the joint favor osteoarthritis.
Because some monarticular diseases are inherited, family history can be helpful.
PHYSICAL EXAMINATION
The clinician must first distinguish arthritis, which involves the articular space, from problems in periarticular areas, such as bursitis, tendinitis, osteomyelitis, or cellulitis.
In arthritis, the swelling and tenderness tend to surround the joint.
If normal joint motion is retained, true arthritis is unlikely.
Painful limitation of passive motion of the joint in all planes usually indicates joint involvement.
Pain limited to one movement or tenderness on only one side of the joint suggests a periarticular problem.
In any patient with acute monarthritis, it is important to look for extra-articular signs that might provide clues to specific causes.
Mouth ulcers may occur in Behcet’s syndrome, reactive arthritis, and systemic lupus erythematosus (SLE).
Small patches of psoriasis may be found in the anal crease or behind the ears.
The keratoderma blennorrhagicum of reactive arthritis can be subtle and often affects only the feet.
Erythema nodosum may occur in sarcoidosis and inflammatory bowel disease.
Skin ulcerations can be a source of infection.
INVESTIGATIONS
SYNOVIAL FLUID ANALYSISArthrocentesis is indicated for all cases of unexplained acute monoarthritis. Synovial fluid should be sent for culture (for bacteria, mycobacteria, and fungus), cell count, Gram stain, and examination for crystals by polarized light microscopy.
Normally, synovial fluid contains fewer than 200 leukocytes/mm3, most of which are mononuclear cells.
The characteristics of the synovial fluid guide the initial differential diagnosis.
SYNOVIAL FLUID ANALYSIS
Nongonococcal septic arthritis usually causes synovial fluid WBC counts >50,000/mcL and often generates very high counts (>100,000/mcL).
The synovial fluid WBC count in gonococcal arthritis is generally lower than in nongonococcal septic arthritis (mean synovial fluid WBC as low as 34,000/mcL in some series).
Crystal-induced arthritis is also very inflammatory, with synovial fluid WBC counts often >50,000/mcL; WBC counts >100,000/mcL, however, are uncommon.
SYNOVIAL FLUID ANALYSIS
Gram staining for bacteria in synovial fluid is relatively insensitive (false-negative rates range from 25% to 50% for nongonococcal septic arthritis and are substantially higher for gonococcal infections).Examination of synovial fluid by polarized light microscopy is a sensitive test for urate crystals.
Calcium pyrophosphate dihydrate crystals are somewhat more difficult to visualize due to their weaker birefringence, but their detection should not present difficulties for the experienced observer.
The absence of crystals is a strong argument against microcrystalline disease, but a negative Gram stain does not exclude infection.
SYNOVIAL FLUID ANALYSIS
Occasionally, infection and microcrystalline disease coexist; therefore, the finding of crystals in the synovial fluid does not exclude the possibility of infection.Properly performed cultures of synovial fluid are a sensitive test for nongonococcal septic arthritis (positive in up to 90% of cases).
In contrast, synovial fluid cultures are positive in only 20–50% of cases of gonococcal arthritis, and the diagnosis often depends on identification of Neisseria gonorrhoeae at other sites by culture or nucleic acid amplification tests.
Radiographs
Radiograph of the joint: Although frequently normal, a radiograph may disclose important information.It may help in diagnosing an unsuspected fracture, osteonecrosis, osteoarthritis, or a juxtaarticular bone tumor.
The presence of chondrocalcinosis, a radiologic feature of CPPD disease, increases suspicion for a pseudogout attack.
Tumor, chronic fungal or mycobacterial infection, and other indolent destructive processes may be revealed.
A contralateral joint radiograph for comparison may be useful, especially in children.
LABORATORY TESTS
Complete blood count: Leukocytosis supports the possibility of infection.Cultures of blood, urine, or other possible primary sites of infection: mandatory when a septic joint is being considered.
Serum prothrombin and partial thromboplastin time: useful if the patient is receiving anticoagulation or if a coagulation disorder is suspected.
Erythrocyte sedimentation rate or C-reactive protein: although results are often nonspecific, significant elevation may suggest an inflammatory process.
LABORATORY TESTS
Serum uric acid levels: notoriously unreliable in making or excluding a diagnosis of gout. These levels may be spuriously elevated in acute inflammatory conditions, or acutely diminished in a true gout attack.
Serologic tests for antinuclear antibodies (ANA) and rheumatoid factor: these tests are rarely if ever indicated. However, ANA may be positive in the oligoarticular form of juvenile idiopathic arthritis.
Additional investigations
Arthroscopy: Arthroscopy allows direct visualization of many important articular structures and provides the opportunity for synovial biopsy in all large and some medium-sized joints. It is particularly useful for diagnosing internal derangement of the knee.Synovial biopsy: Microscopic evaluation with culture of synovial tissue is useful in the diagnosis of benign and malignant tumor, fungal and mycobacterial infection, and foreign-body synovitis.
Magnetic resonance imaging of the joint: Useful in diagnosing avascular necrosis of bone, internal derangement of the knee, osteomyelitis, and destruction of periarticular bone.
Bone scan: Can evaluate for avascular necrosis of bone, stress fracture, osteoid osteomas, bone metastases, bone sarcomas, and osteomyelitis.
Inflammatory Monoarthritis
The leading causes of acute inflammatory monoarthritis—infection and crystal-induced arthritis—are difficult to differentiate in the absence of synovial fluid analysis and culture.Patients with septic arthritis may be afebrile and may not manifest a peripheral leukocytosis. Conversely, patients with crystal-induced arthritis can have fever and an elevated peripheral blood WBC count.
An elevated serum uric acid level does not establish a diagnosis of gout, and patients with gout can have a normal serum uric acid level at the time of an acute attack.
Inflammatory Monoarthritis
Septic arthritis indicates the presence of a potentially life-threatening infection and requires prompt treatment with appropriate antibiotics.Delay in the treatment of nongonococcal septic arthritis also causes substantial morbidity due to the rapid destruction of articular cartilage.
Acute inflammatory monoarthritis should be considered septic arthritis until there is compelling evidence either against bacterial infection or in favor of an alternative diagnosis.
Noninflammatory Monoarthritis
Noninflammatory synovial fluid can be seen with internal derangements (ie, torn meniscus of the knee).Osteoarthritis of a single joint usually presents with chronic complaints but, on occasion, can cause the acute onset of pain.
Similarly, neuropathic arthropathy, amyloidosis, and osteonecrosis usually cause chronic noninflammatory arthritis of one or several joints but occasionally present with acute symptoms.
Hemarthrosis
Frank blood on arthrocentesis can be indicative of a fracture or other joint trauma.
Hemarthrosis also occurs in patients who are receiving anticoagulant therapy or have a clotting factor deficiency, such as hemophilia.
Bloody synovial fluid can be seen in pigmented villonodular synovitis, a rare proliferative disorder of the synovium that presents as a chronic monoarthritis, typically of the knee, in young adulthood.
Common causes of acute monoarthritis
Inflammatory and Noninflammatory Causes of Chronic Monoarthritis
Nongonococcal bacterial infectionsThe most potentially dangerous and destructive form of acute monoarthritis.
Between 80% and 90% of nongonococcal bacterial infections are monarticular.
Most joint infections develop from hematogenous spread.
These infections typically affect large joints such as the hip and knee, although the wrists and ankles are also commonly involved.
Staphylococcus aureus is the most common bacterium infecting adult joints, followed by Streptococcus pneumoniae and, less often, Gram negative organisms
Emergency management of suspected septic arthritisseptic arthritis
Gonococcal infection
Disseminated gonococcainfection (DGI) is the most common cause of acute nontraumatic monoarthritis or oligoarthritis in young adults .Patients with DGI typically present with one of two syndromes :
A triad of tenosynovitis, vesiculopustular skin lesions, and polyarthralgias without purulent arthritis
Purulent arthritis without associated skin lesions
Diagnosis of this disorder is based upon the history, physical examination, synovial fluid culture, blood cultures, and cultures of any skin lesions, the pharynx, urethra, cervix, or rectum.
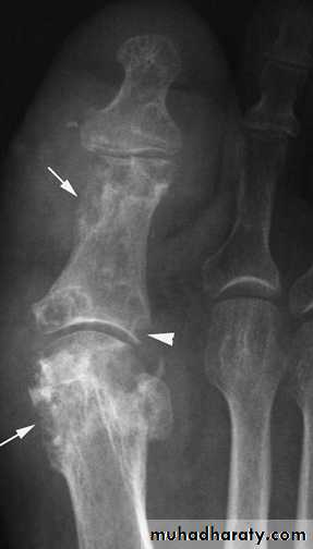
Crystalline disease
The typical attack of acute gouty arthritis includes the following clinical features :Acute gout is intensely inflammatory and is, therefore, characterized by severe pain, redness, swelling, and disability.
The maximal severity of the attack is usually reached over several hours; complete resolution of the earliest attacks almost inevitably occurs within a few days to weeks, even in untreated individuals.
At least 80 percent of initial attacks involve a single joint, typically in the lower extremity, most often at first metatarsophalangeal joint (podagra) or in the knee.
The signs of inflammation associated with acute gout often extend beyond the confines of the joint that is primarily involved and, in the foot or ankles, may give the impression of arthritis in several contiguous joints, of tenosynovitis, or even of cellulitis.
Crystalline disease
Involvement in an ankle or instep or in a wrist, finger, or olecranon bursa may occur initially or, more commonly, in a recurrent episode of gouty arthritis.Lower extremity and distal joint involvement usually predominates, especially in initial or early attacks; however, the fingers, wrists, and shoulders may become inflamed and may cause diagnostic confusion.
The knee is the most common joint involved in patients with calcium pyrophosphate dihydrate (CPPD) crystals (pseudogout). The wrist, shoulder, ankle, and occasionally smaller joints may also be targets, and bilateral wrist involvement is common in older patients
Management of acute gout
Oral NSAIDs are effective for pain relief in the acute attack.Local ice packs can also be used for symptomatic relief.
Patients with recurrent episodes can keep a supply of an NSAID and take it as soon as the first symptoms occur, continuing until the attack resolves.
Oral colchicine is also very effective. It is usually given in doses of 0.5 mg twice or 3 times daily. The most common adverse effects are nausea, vomiting and diarrhoea.
Joint aspiration can give pain relief, and may be combined with an intraarticular steroid injection if the diagnosis is clear and infection can be excluded.
A short course of oral or intramuscular corticosteroids can also be highly effective in treating acute attacks.










