Pediatric surgeryClinical practice
DR. Bassam Al-AbbasiRespiratory Distress in the Newborn
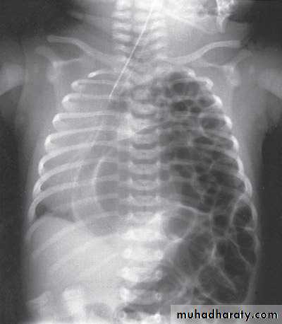
Scaphoid abdomen
Subcostal incision
content
Defect=sac
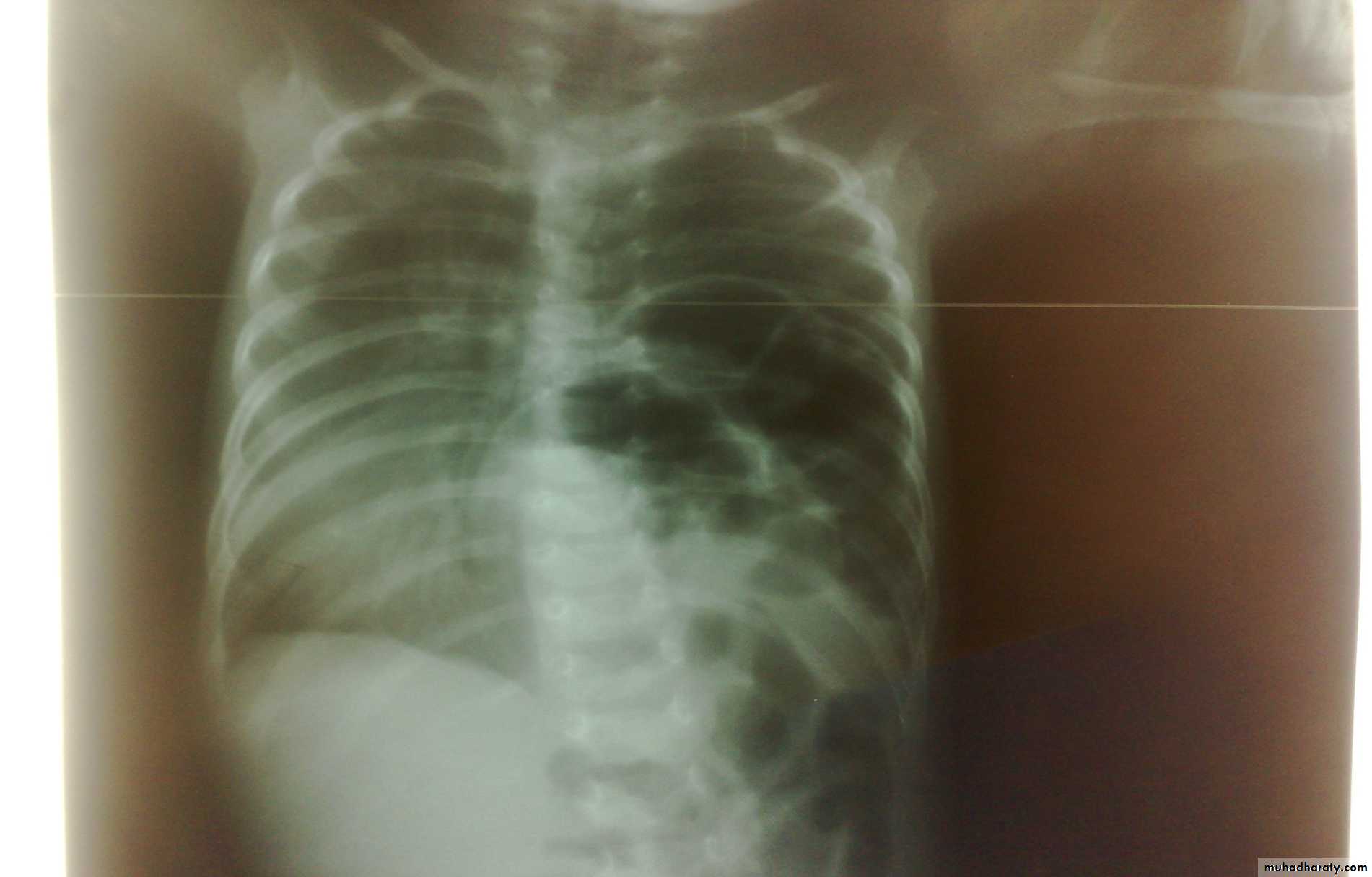
Diaphragmatic eventration
plication
. pierre Robin syndrome
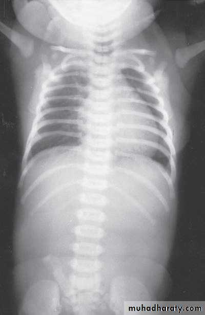
Congenital lober emphysema
Oesophageal Atresia and Tracheo-Oesophageal Fistula,
Bowel Obstruction
web

























































