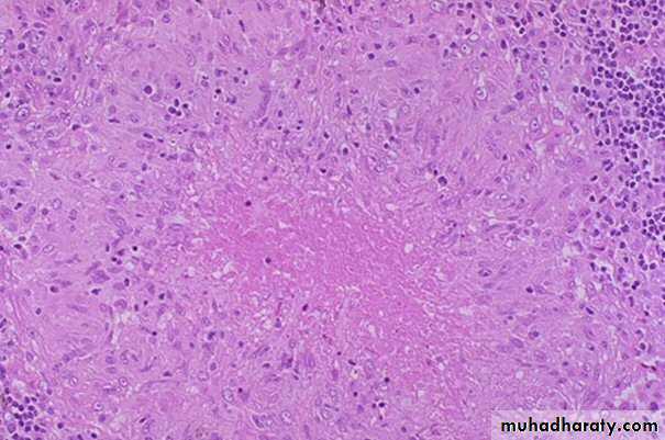
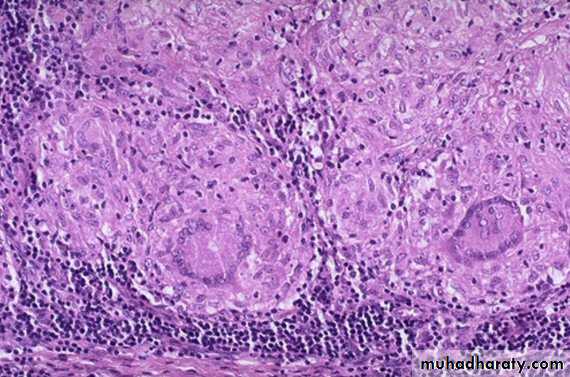
CASSEOUS NECROSIS pptx - عملي
دخول
الرئيسية
المحاضرات
البحث
اختبرني
مكتبة علوم
تطبيقات
المترجم الطبي
أمراض
CASSEOUS NECROSIS
رقم المحاضرة:
1
بتاريخ
2016-11-20
أمراض
-
عملي سلايدات
جامعة كركوك
>
كلية طب الأسنان
>
المرحلة الثالثة
مواضيع المحاضرة:
قراءة
عرض
CASSEOUS NECROSIS
رفعت المحاضرة من قبل:
Mustafa Shaheen
المشاهدات: لقد قام 14 عضواً و 172 زائراً بقراءة هذه المحاضرة
تسجيل دخول
أو
عبر الحساب الاعتيادي
الرجاء كتابة البريد الالكتروني بشكل صحيح
البريد الالكتروني
الرجاء كتابة كلمة المرور
كلمة المرور
دخول
لست عضواً في موقع محاضراتي؟
اضغط هنا للتسجيل