بسم الله الرحمن الرحيم
ULCERATIVE LESIONS
• in oral cavity
Definitions
• Macule: Macules are circumscribed alterations in skin color. The skin surface is neither elevated or depressed in relation to the surrounding skin. Macules may be of any size or color. A macule greater than 2 cm. in diameter is called a patch.• Papule: Papule is a solid, elevated lesion with no visible fluid which may be up to ½ cm. in diameter.
• Nodules: are forms of papules, but are larger and deeper. They may be located in the dermis or subcutaneous tissue, or in the epidermis.
Definitions
• Pustule: A pustule is a circumscribed elevation of the skin that contains a purulent exudate that may be white, yellow, or greenish-yellow in color.
• Erosion: A loss of epidermis.
• Ulcer: A loss of epidermis and dermis (and sometimes deeper tissue).
• Fissure: Fissures are linear cleavages or gaps in the skin surface
• Vesicles are circumscribed epidermal elevations in the skin containing clear fluid and less than ½ cm. in diameter. If the lesion has a diameter of greater than ½ cm, it is called a bulla.
• Ulcerative lesions
• Facts :• Ulcer - a local defect, or excavation of the surface of an organ or tissue, produced by sloughing of necrotic inflammatory tissue.
• Oral ulceration is a break in the oral epithelium, exposing nerve endings in the underlying connective tissue.
• It results in pain and soreness of the mouth especially with spicy food and citrus fruits.
• Patients vary in the degree to which they suffer and complain of the
• soreness.
• Ulcerative lesions
• Main causes of oral ulceration• Local Causes
• Aphthae
• Infections• Drugs
• Malignant disease• Systemic disease
• Ulcerative lesions• 1) Local Causes:
• Trauma (physical)
• Appliances.
• Self-inflicted.
• Sharp teeth or restorations.
• Iatrogenic.
• Burns (chemical)
• Chemical.
• Electric.
• Heat.
• Radiation.
• Ulcerative lesions
• 2) Recurrent aphthae
• Minor ulcers
• Major ulcers• Herpetiform type
• Ulcerative lesions
• 3) Infections• Viral
• Vesiculobullous diseases caused by viruses
• Human herpesvirus 8 (HHV-8)
• Human Immunodeficiency virus
• Bacterial
• Acute Necrotizing Ulcerative Gingivitis (ANUG)
• Syphilis
• Tubercelusosis
• Fungal
• Chronic Mucocutaneous Candidosis (CMC)
• Ulcerative lesions
• 4) Drugs• Drug-induced neutropenia/anaemia (cytotoxics)
• Lichenoid drug reactions (e.g. β-blockers, NSAIDs)• Drug-induced mucositis (cyclophosphamide)
• Many drugs can cause mouth ulcers as a side effect. Common examples are alendronate (a bisphosphonate, commonly prescribed for osteoporosis), cytotoxic drugs (e.g. methotrexate, i.e. chemotherapy), non steroidal anti-inflammatory drugs, nicorandil (may be prescribed for angina) and propylthiouracil (e.g. used for hyperthyroidism). Some illegal drugs can cause ulceration,
• e.g. cocaine
• Drug-induced neutropenia
• Lichenoid drug reactions
• Drug-induced mucositis
• Ulcerative lesions
• Malignant diseases
• Oral squamous cell carcinoma
• Rarely, a persistent, non healing mouth ulcer may be a cancerous lesion. Malignancies in the mouth are usually carcinomas, but lymphomas, sarcomas and others may also be possible. Either the tumor arises in the mouth, or it may grow to involve the mouth, e.g. from the maxillary sinus, salivary glands, nasal cavity or peri-oral skin. The most common type of oral cancer is squamous cell carcinoma.• Ulcerative lesions
• 5- Malignant diseases• Common sites of oral cancer are the lower lip, the floor of the mouth, and the sides and underside of the tongue, but it is possible to have a tumor anywhere in the mouth. Appearances vary greatly, but a typical malignant ulcer would be a persistent, expanding lesion which is totally red (erythroplasia) or speckled red and white (erythroleukoplakia).
• Malignant lesions also typically feel indurated (hardened) and attached to adjacent structures, with "rolled" margins or a punched out appearance and bleeds easily on gentle manipulation
• Advanced oral cancer Note rolled margins of central ulcer and surrounding areas of premalignant change.
• Malignant lesion
• Ulcerative lesions
• 6) Systemic diseases
• Mucocutaneous diseases
• Haematological disorders• Gastrointistinal disorders
• Ulcerative lesions• 6) Systemic diseases
• Mucocutaneous disease
• Behcet’s syndrome• Lichen planus
• Vesiculobullous diseases• Hulusi Behçet
• (1889-1948)• Behçet disease is named after Hulusi Behçet (1889–1948), the Turkish dermatologist and scientist who first recognized the syndrome in one of his patients in 1924 and reported his research on the disease in Journal of Skin and Venereal Diseases in 1936
• Behçet's syndrome
• Behçet's disease or Behçet's syndrome is a rare immune- mediated small-vessel systemic vasculitis that often presents with mucous membrane ulceration and ocular problems. Behçet's disease (BD) was named in 1937 after the Turkish dermatologist Hulusi Behçet, who first described the triple- symptom complex of recurrent oral aphthous ulcers, genital ulcers, and uveitis.• As a systemic disease, it can also involve visceral organs such as the gastrointestinal tract, pulmonary, musculoskeletal, cardiovascular and neurological systems. This syndrome can be fatal due to ruptured vascular aneurysms or severe neurological complications
• Ulcerative lesions
• recurrent oral aphthous ulcers, genital ulcers, and uveitis.
• According to the International Study Group guidelines, for a patient to be diagnosed with Behçet's disease, the patient must have oral (aphthous) ulcers (any shape, size, or number at least 3 times in any 12 months period) along with 2 out of the following 4 "hallmark" symptoms:
• genital ulcers .
• skin lesions (papulo-pustules)
• eye inflammation (iritis, uveitis, retinal vasculitis) .
• pathergy reaction (papule >2 mm dia. 24-48 hrs or more after needle-prick). The pathergy test has a specificity of 95%.
• Ulcerative lesions
• pathergy test.
• Ulcerative lesions
• 6) Systemic diseases
• Haematological disorders
• Anaemia• Leukemia
• Ulcerative lesions• 6) Systemic diseases
• iii) Gastrointestinal disorders
• Coeliac disease (Gluten-sensitive enteropathy)• Crohn’s disease
• Ulcerative colitis• =
• Ulcerative lesions• 6) Systemic diseases
• iii) Gastrointestinal disorders
• Coeliac disease (Gluten-sensitive enteropathy)• Crohn’s disease
• Ulcerative colitis• Crohn’s disease
• Ulcerative colitis• Granuloma
• Microabscessus
• Crohn’s disease
• Crohn’s disease
• Ulcerative lesions• 1) Local Causes:
• - Are common oral lesions, most of them are caused by physical
• trauma. In addition, ulcers may arise with other traumatic causes as:
• Physical (mechanical)• Chemical
• Ulcerative lesions• 1) Local Causes:
• Traumatic ulcers :
• 1- Physical Trauma:
• Physical traumatic ulcers are common oral lesions.• Common causes of oral ulceration include rubbing on sharp edges of teeth, fillings, crowns, dentures, orthodontic appliances. Accidental biting caused by a lack of awareness of painful stimuli in the mouth (following a local anesthetic e.g. during dental treatment) may cause ulceration
• Ulcerative lesions
• 1) Local Causes:• Traumatic ulcers :
• 1- Physical Trauma:
• Eating rough foods can damage the lining of the mouth. Some people cause damage inside their mouths themselves, either through an absent minded habit or as a type of deliberate self harm .Examples include biting the cheek, tongue or lips, rubbing a finger nail, pen or tooth pick inside the mouth.
• Iatrogenic ulceration can also occur during dental treatment, when incidental abrasions to the soft tissues of the mouth are common.
• Ulcerative lesions
• 1) Local Causes:• Traumatic ulcers
• 1- Physical Trauma: Clinical features:• -They are clinically diverse, but usually appear as a single, painful ulcer with a smooth red or whitish-yellow surface and a thin erythematous halo. They are usually soft on palpation, and heal without scarring within 6-10 days, spontaneously or after removal of the cause.
• Ulcerative lesions
• 1) Local Causes:• Traumatic ulcers
• 1- Physical Trauma:• Clinical features:-
• -The tongue, lip, and buccal mucosa are the sites of predilection.
• -The diagnosis is based on the history and clinical features. However, if an ulcer persists over 10-12 days a biopsy must be taken to rule out cancer.
• Physical traumatic ulcer
• Ulcerative lesions
• Traumatic ulcers• 1- Physical Trauma:
• Differential diagnosis Squamous-cell carcinoma and other malignancies,
• aphthous ulcer, syphilis, tuberculosis.• Treatment Removal of traumatic factors. Topical steroids may be used for a short time.
• Ulcerative lesions
Traumatic ulcers• 1- Thermal and electrical burn :
• •Thermal burns usually result from placing hot food or beverages in the mouth. This may occur in those who eat or drink before a local anesthetic has worn off. The normal painful sensation is absent and a burn may occur. Thermal food burns are usually on the palate or posterior buccal mucosa, and appear as zones of erythema and ulceration with necrotic epithelium peripherally.• •Electrical burns more commonly affect the oral commissure. The lesions are usually initially painless, charred and yellow with little bleeding. Electrical burns in the mouth are usually caused by chewing on live electrical wiring (children). Saliva acts as a conducting medium and an electrical arc flows between the electrical source and the tissues, causing extreme heat and possible tissue destruction
• Ulcerative lesions
• Traumatic ulcers• 2- Chemical trauma
• Caustic chemicals may cause ulceration of the oral mucosa if they are of strong enough concentration and in contact for a sufficient length of time. Holding an aspirin tablet next to a painful tooth in an attempt to relieve pulpitis is common, and leads to epithelial necrosis.• Other caustic medications include hydrogen peroxide, is also capable of causing epithelial necrosis at concentrations of 1– 3%. .
• Chemical (Aspirin burn) ulceration:
• -The photos show a patient who placed an aspirin on her gums. Aspirin is an acid and burned the oral tissues (gums and cheek).• - Fortunately the mouth heals quickly
• and within two weeks healing occurred.
• Ulcerative lesions
• Traumatic ulcers• 2 -Chemical trauma:
• Differential diagnosis• Thermal burn, traumatic lesions, aphthous ulcers, drug reactions.
• Treatment• Discontinue the application of the causative agent.
• Ulcerative lesions• Main causes of oral ulceration
• Local Causes
• Recurrent Aphthous Stomatitis
• Infections
• Drugs• Malignant disease
• Systemic disease• Ulcerative lesions
• 2-Recurrent Aphthous Stomatitis• - Recurrent aphthous ulcers are among the most common oral mucosal
• lesions, with a prevalence of 10–30% in the general population.• -The cause remains unclear. Recent evidence supports the concept that cell-
• mediated immune responses play a primary role in the pathogenesis.
• - Several predisposing factors have been reported, such as trauma, allergy, genetic predisposition, endocrine disturbances, emotional stress, hematological deficiencies, and AIDS.
• -Three clinical variations have been recognized: minor, major and herpetiform
• ulcers.
• -They are very painful and cause the patient a lot of discomfort.
• Ulcerative lesions
• 2-Recurrent Aphthous Stomatitis
• Herpetiform recurrent Aphthous Stomatitis
• -The herpetiform variation is characterized by small, painful, shallow ulcers, 1–• 2 mm in diameter, with a tendency to coalesce into larger irregular ulcers.
• Characteristically, the lesions are multiple (10–100), persist for one or two weeks, and heal without scarring.• usually in old age group, common in females.
• Herpetiform aphthae• Minor recurrent Aphthous Stomatitis
• -Minor aphthae are the most common form, and they present clinically as• small, painful, round ulcers 3–6 mm in diameter, covered by a whitish-yellow membrane and surrounded by a thin red halo.
• -The lesions may be single or multiple (two to six), and they heal without
• scarring in 7–12 days.
• - Mainly found in on the non-keratinized mobile mucosa, lips cheeks, floot of the mouth.• Ulcerative lesions
• 2-Recurrent Aphthous Stomatitis
• Minor aphthous ulcer
• Major recurrent Aphthous Stomatitis
• -The major form is characterized by deep painful ulcers, 1–2 cm in diameter, that persist for 3–6 weeks and may cause scarring.• The number of lesions varies from one to five.
• Found in any area of the mucosa, including keratinized dorsum of the tongue, palate.• Ulcerative lesions
• 2-Recurrent Aphthous Stomatitis
• Ulcerative lesions
• Main causes of oral ulceration• Local Causes
• Recurrent Aphthous Stomatitis
• Infections• Drugs
• Malignant disease• Systemic disease
• Ulcerative lesions• 3) Infections
• Many infections can cause oral ulceration:
• Agent
• Example
• Viral
• chickenpox, hand, foot and mouth disease, herpangina, herpetic stomatitis, human immunodeficiency virus, infectious mononucleosis
• Bacterial
• acute necrotizing ulcerative gingivitis, syphilis, tuberculosis
• Fungal
• blastomycosis, histoplasmosis,
• Ulcerative lesions
• Infectious causes of oral mucosal ulcers
• 1- Viral
• Vesiculobullous diseases caused by viruses (
• Human herpesvirus 8 (HHV-8)• Human Immunodeficiency virus
• Ulcerative lesions• Infectious causes of oral mucosal ulcers
• 1- Viral
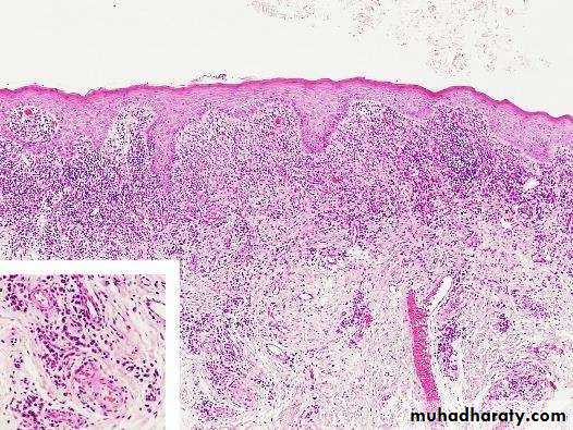
HIV VIRUS• -The causative microbe for Kaposi’s sarcoma .
• -Kaposi sarcoma is a malignant neoplasm of endothelial cell origin.• Immunosuppression-AIDS-related (epidemic): This has a high incidence among AIDS patients, primarily involves the skin, lymph nodes, viscera, and frequently the oral mucosa.
• Kaposi’s sarcoma starts as a spot or erythematous or violet plaque which
• appears flat. Its habitual location is the palate or the gingiva.
• Ulcerative lesions
• Infectious causes of oral mucosal ulcers• 1- Viral
• -Clinically: the oral lesions present as multiple or solitary red or brownish-red• patches or elevated plaques or tumors.
• The palate and gingiva are the most common sites affected, followed by buccal mucosa, tongue, and lips.• Differential diagnosis: Pyogenic granuloma, peripheral giant-cell
• granuloma, hemangioma.
• - Treatment: Interferon, chemotherapy, radiotherapy, or surgical excision in
• small, localized lesions.
• Ulcerative lesions• Infectious causes of oral mucosal ulcers
• Viral
• Human Immunodeficiency Virus (HIV)• A minority of patients with severe HIV disease will develop deep, necrotic
• ulcers of unknown aetiology.
• These ulcers are painful, cause profound dysphagia and can arise on any oral mucosal surface, although the buccal and pharyngeal mucosa ate the more commonly affected sites.• Ulcerative lesions
• Infectious causes of oral mucosal ulcers• 1- Viral
• Human Immunodeficiency Virus (HIV)• - Small number of patients with HIV disease may have ulcers similar to that of recurrent aphthous stomatitis (RAS) .
• HIV-associated ulceration
• Ulcerative lesions
• 3) Infections• Viral
• Vesiculobullous diseases caused by viruses
• Human herpesvirus 8 (HHV-8)
• Human Immunodeficiency virus
• Bacterial
• Acute Necrotizing Ulcerative Gingivitis (ANUG)
• Syphilis
• Tubercelusosis
• Fungal
• Chronic Mucocutaneous Candidosis (CMC)• Ulcerative lesions
• Infectious causes of oral mucosal ulcers
• Bacterial
• Acute Necrotizing Ulcerative Gingivitis (ANUG)• Syphilis
• Tubercelusosis• Ulcerative lesions
• Infectious causes of oral mucosal ulcers• Bacterial
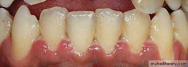
• Acute Necrotizing Ulcerative Gingivitis (ANUG)• -This entity used to be called "Trench Mouth" because of its prevalence in soldiers fighting in the trenches during world war I.
• Etiology: Fusobacterium nucleatum, Treponema vincentii, and probably other
• bacteria play an important role.
• Predisposing factors are emotional stress, smoking, poor oral hygiene, local trauma, and mainly HIV infection.
• Plaut, Hugo Carl, 1858-1928
• Vincent J. H. (1865-1950)• Fusobacterium nucleatum andTreponema vincentii
• Ulcerative lesions• Infectious causes of oral mucosal ulcers
• Bacterial
• Acute Necrotizing Ulcerative Gingivitis (ANUG)
• -Clinical features The characteristic clinical feature is painful necrosis of the interdental papillae and the gingival margins, and the formation of craters covered with a gray pseudomembrane.• - Spontaneous gingival bleeding, halitosis, and intense salivation are common.
• Fever,malaise, and lymphadenopathy are less common.
• -Rarely, the lesions may extend beyond the gingiva (necrotizing ulcerative
• stomatitis.
• Acute Necrotizing Ulcerative Gingivitis
• Ulcerative lesions• Infectious causes of oral mucosal ulcers
• Bacterial
• Acute Necrotizing Ulcerative Gingivitis (ANUG)
• - Differential diagnosis Herpetic gingivitis, Desquamative gingivitis,• , leukemia.
• -Treatment Systemic metronidazole and oxygen-releasing agents topically are the best therapy in the acute phase, followed by a mechanical gingival treatment.• Ulcerative lesions
• Infectious causes of oral mucosal ulcers• 2- Bacterial
• ii) Syphilis• Syphilis is a relatively common sexually transmitted disease.
• Etiology Treponema pallidum.• -Clinical features: Syphilis may be acquired (common) or congenital (rare).
• Acquired syphilis is classified as primary, secondary and tertiary.
• Ulcerative lesions
• Infectious causes of oral mucosal ulcers• 2- Bacterial
• ii) Syphilis• -Clinical features:
• -The characteristic lesion in the primary stage is the chancre that appears at the site of inoculation, usually three weeks after the infection.• Oral chancre appears in about 5–10% of cases, and clinically presents as a painless ulcer with a smooth surface, raised borders, and an indurated base.
• Regional lymphadenopathy is a constant finding.
• chancres on the lip and the tongue
• Ulcerative lesions
• Infectious causes of oral mucosal ulcers• 2- Bacterial
• ii) Syphilis• - Differential diagnosis Traumatic ulcer, aphthous ulcer, tuberculosis, herpes simplex, candidiasis, erythema multiforme, lichen planus.
• -Treatment Penicillin is the antibiotic of choice. Erythromycin or cephalosporins are good alternatives.
• Ulcerative lesions
• Infectious causes of oral mucosal ulcers• 2- Bacterial
• iii) Tuberculosis• -Tuberculosis is a chronic, granulomatous, infectious disease that primarily affects the lungs.
• - Etiology Mycobacterium tuberculosis.
• -Clinical features The oral lesions are rare, and usually secondary to
• pulmonary tuberculosis.
• -The tuberculosis ulcer is the most common feature.
• .
• Ulcerative lesions
• Infectious causes of oral mucosal ulcers
• 2- Bacterial
• iii) Tuberculosis• - Clinically, the ulcer is painless and irregular, with a thin undermined border and a vegetating surface, usually covered by a gray-yellowish exudate.
• The dorsum of the tongue is the most commonly affected site, followed by the lip, buccal mucosa, and palate.
• Differential diagnosis: carcinomas, syphilis, eosinophilic
• ulcer, necrotizing sialadenometaplasia, malignant granuloma, major aphthous ulcer.
• - Treatment Antituberculous drugs.
































































