Histology
Second stage ( 2016-2017 )Lab. 2
digestive System Practical Slides
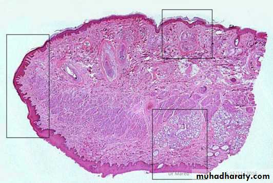
lip
The question about this slide : What is this a slide of ?
Name the 3 squares ?
• outer surface.
• inner surface.• red margin.
Tongue
The question about this slide : What is this a slide of ?
• Mass of striated (skeletal) muscle.
• Covered by mucous membrane.Filiform papillae
The question about this slide : What is this a slide of ?• Conical in shape.
• No taste buds.• Keratinized epithelium.
Fungiform papillae
The question about this slide : name this structure?
• Have few taste buds on its upper surface.
• Stratified non Keratinized epithelium.• Mushroom head.
Circumvallate papillae
The question about this slide : name the slide ?• Lateral taste buds.
• Von Ebner glands open into the groove.Taste buds
The question about this slide : name the structure ?
• Taste pore.
• Supporting cells.• Sensory cells.
• Basal cells.
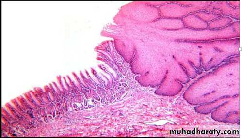
Oesophagus
The question about this slide : name the slide ?• Oesophageal submucosal glands.
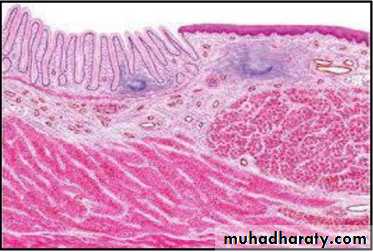
• Stratified squamous non keratinized epithelium.Castrooesophageal junction
The question about this slide : identify the slide?• Esophageal cardiac glands in the lamina propria of esophagus.
• Gastric pits in which open gastric glands.Stomach-fundus
The question about this slide : name the slide?• Gastric gland long.
• Gastric pit short.• Parietal cell.
Stomach-pyloric part
The question about this slide : name the slide?Pyloric gland.
• Long pits.• Short glands.
Duodenum
The question about this slide : name the slide?• Presence of Brunner's glands in submucosa.
• Villi.jejunum
The question about this slide : name the slide?• absence of Brunner's glands.
• Villi are tongue shaped.Ileum
The question about this slide : name the slide?• Presence of Peyer’s patches.
• Villi are short and finger like.Large intestine
The question about this slide : name the slide?• No folds and no villi.
• Taenia Coli.Appendix
The question about this slide : identify the organ?• Narrow lumen.
• Presence of lymphoid follicles in its wall.Recto-anal junction






















