قراءة
عرض

Histology

Second stage ( 2016-2017 )
Lab. 2
digestive System Practical Slides

lip
The question about this slide : What is this a slide of ?
Name the 3 squares ?
GIT system


GIT system

• outer surface.

• inner surface.
• red margin.

Tongue


The question about this slide : What is this a slide of ?
GIT system


GIT system

• Mass of striated (skeletal) muscle.

• Covered by mucous membrane.

Filiform papillae

The question about this slide : What is this a slide of ?
GIT system

• Conical in shape.

• No taste buds.
• Keratinized epithelium.
GIT system

Fungiform papillae


The question about this slide : name this structure?
GIT system

• Have few taste buds on its upper surface.

• Stratified non Keratinized epithelium.
• Mushroom head.
GIT system

Circumvallate papillae

The question about this slide : name the slide ?
GIT system

• Lateral taste buds.

• Von Ebner glands open into the groove.
GIT system


GIT system




Taste buds

The question about this slide : name the structure ?

GIT system

• Taste pore.

• Supporting cells.
• Sensory cells.
• Basal cells.
GIT system

Oesophagus

The question about this slide : name the slide ?
GIT system

• Oesophageal submucosal glands.

• Stratified squamous non keratinized epithelium.
GIT system



GIT system

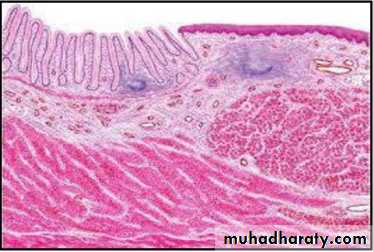
Castrooesophageal junction

The question about this slide : identify the slide?
GIT system

• Esophageal cardiac glands in the lamina propria of esophagus.

• Gastric pits in which open gastric glands.
GIT system


GIT system

Stomach-fundus

The question about this slide : name the slide?
GIT system

• Gastric gland long.

• Gastric pit short.
• Parietal cell.
GIT system


Stomach-pyloric part

The question about this slide : name the slide?
GIT system

Pyloric gland.

• Long pits.
• Short glands.
GIT system

Duodenum

The question about this slide : name the slide?
GIT system

• Presence of Brunner's glands in submucosa.

• Villi.
GIT system


jejunum

The question about this slide : name the slide?
GIT system

• absence of Brunner's glands.

• Villi are tongue shaped.
GIT system

Ileum

The question about this slide : name the slide?
GIT system

• Presence of Peyer’s patches.

• Villi are short and finger like.
GIT system


GIT system


Large intestine

The question about this slide : name the slide?
GIT system

• No folds and no villi.

• Taenia Coli.
GIT system

Appendix

The question about this slide : identify the organ?
GIT system

• Narrow lumen.

• Presence of lymphoid follicles in its wall.
GIT system




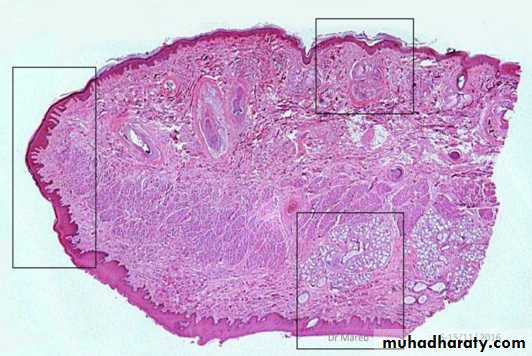
Recto-anal junction

The question about this slide : name the slide?

GIT system

• Rectum with intestinal glands and goblet cells.

• Anal canal covered by stratified squamous epithelium.
GIT system


GIT system





رفعت المحاضرة من قبل: Abdalmalik Abdullateef
المشاهدات: لقد قام 22 عضواً و 353 زائراً بقراءة هذه المحاضرة








تسجيل دخول

أو
عبر الحساب الاعتيادي
الرجاء كتابة البريد الالكتروني بشكل صحيح
الرجاء كتابة كلمة المرور
لست عضواً في موقع محاضراتي؟
اضغط هنا للتسجيل