Heart failure
Heart failure describes the clinical syndrome that develops when the heart cannot maintain adequate output, or can do so only at the expense of elevated ventricular filling pressure.In mild to moderate forms of heart failure, cardiac output is normal at rest and only becomes impaired when the metabolic demand increases during exercise or some other form of stress.
Pathophysiology
Cardiac output is determined by preload (the volume and pressure of blood in the ventricles at the end of diastole), afterload (the volume and pressure of blood in the ventricles during systole) and myocardial contractility; this is the basis of Starling’s Law.In patients without valvular disease, the primary abnormality is impairment of ventricular myocardial function, leading to a fall in cardiac output. This can occur because of impaired systolic contraction, impaired diastolic relaxation, or both. This activates counterregulatory neurohumoral mechanisms that, in normal physiological circumstances, would support cardiac function but, in the setting of impaired ventricular function, can lead to a deleterious increase in both afterload and preload
Types of heart failure Left,
right and biventricular heart failure
The left side of the heart comprises the functional unit of the LA and LV, together with the mitral and aortic valves; the right heart comprises the RA, RV, and tricuspid and pulmonary valves.
Left-sided heart failure.
There is a reduction in left ventricular output and an increase in left atrial and pulmonary venous pressure. An acute increase in left atrial pressure causes pulmonary congestion or pulmonary oedema; a more gradual increase in left atrial pressure, as occurs with mitral stenosis, leads to reflex pulmonary vasoconstriction, which protects the patient from pulmonary oedema. This increases pulmonary vascular resistance and causes pulmonary hypertension, which can, in turn, impair right ventricular function.Right-sided heart failure. There is a reduction in right ventricular output and an increase in right atrial and systemic venous pressure. Causes of isolated right heart failure include chronic lung disease (cor pulmonale), pulmonary embolism and pulmonary valvular stenosis.
Biventricular heart failure. Failure of the left and right heart may develop because the disease process, such as dilated cardiomyopathy or ischaemic heart disease, affects both ventricles or because disease of the left heart leads to chronic elevation of the left atrial pressure, pulmonary hypertension and right heart failure
Diastolic and systolic dysfunction
Heart failure may develop as a result of impaired myocardial contraction (systolic dysfunction) but can also be due to poor ventricular filling and high filling pressures stemming from abnormal ventricular relaxation (diastolic dysfunction). The latter is caused by a stiff, noncompliant ventricle and is commonly found in patients with left ventricular hypertrophy. Systolic and diastolic dysfunction often coexist, particularly in patients with coronary artery disease.Acute left heart failure
Acute de novo left ventricular failure presents with a sudden onset of dyspnoea at rest that rapidly progresses to acute respiratory distress, orthopnoeapparent from the history. The patient appears agitated, pale and clammy. The peripheries are cool to the touch and the pulse is rapid. Inappropriate bradycardia or excessive tachycardia should be identified promptly, as this may be the precipitant for the acute episode of heart failure
Chronic heart failure
Patients with chronic heart failure commonly follow a relapsing and remitting course, with periods of stability and episodes of decompensation, leading to worsening symptoms that may necessitate hospitalisation
Low cardiac output causes fatigue, listlessness and a poor effort tolerance; the peripheries are cold and the BP is low. To maintain perfusion of vital organs, blood flow is diverted away from skeletal muscle and this may contribute to fatigue and weakness. Poor renal perfusion leads to oliguria and uraemia. Pulmonary oedema due to left heart failure presents as above and with inspiratory crepitations over the lung bases. In contrast, right heart failure produces a high JVP with hepatic congestion and dependent peripheral oedema. In ambulant patients, the oedema affects the ankles, whereas, in bed-bound patients, it collects around the thighs and sacrum. Ascites or pleural effusion may occur
NYHA Classes of HF
Investigations
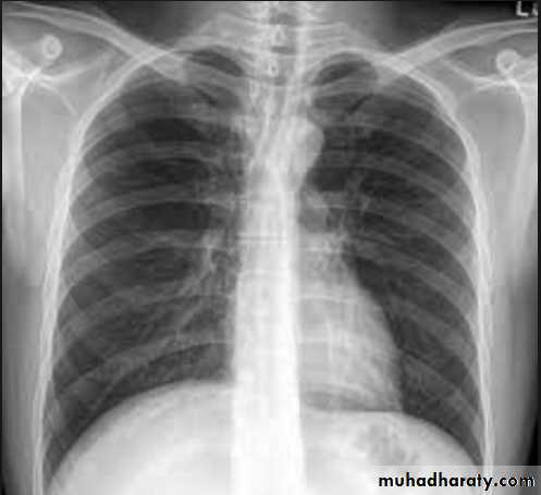
Serum urea, creatinine and electrolytes, haemoglobin, thyroid function, ECG and chest X-ray may help to establish the nature and severity of the underlying heart disease and detect any complications. Brain natriuretic peptide (BNP) is elevated in heart failure and is a marker of risk; it is useful in the investigation of patients with breathlessness or peripheral oedema. Echocardiography is very useful and should be considered in all patients with heart failureManagement of acute pulmonary oedema
This is an acute medical emergency:1. Sit the patient up to reduce pulmonary congestion.
2. Give oxygen (high-flow, high-concentration).
3. Administer nitrates, such as IV glyceryl trinitrate (10–200 µg/min or buccal glyceryl trinitrate 2–5 mg, titrated upwards every 10 minutes), until clinical improvement occurs or systolic BP falls to less than 110 mmHg.
4. Administer a loop diuretic, such as furosemide (50–100 mg IV)
Management of chronic heart failure
Drug therapyDiuretic therapy
In heart failure, diuretics produce an increase in urinary sodium and water excretion, leading to reduction in blood and plasma volume . Diuretic therapy reduces preload and improves pulmonary and systemic venous congestion. It may also reduce afterload and ventricular volume, leading to a fall in ventricular wall tension and increased cardiac efficiency.Loop duiretic is used, combining a loop diuretic with a thiazide diuretic (e.g. bendroflumethiazide 5 mg daily) may prove effective, but this can cause an excessive diuresis.
Angiotensin-converting enzyme inhibition therapy
diuretic therapy. In moderate and severe heart failure, ACE inhibitors can produce a substantial improvement in effort tolerance and in mortality. They can also improve outcome and prevent the onset of overt heart failure in patients with poor residual left ventricular function following MI.‘ACE inhibitors in chronic heart failure due to ventricular dysfunction reduce mortality and re-admission rates
Angiotensin receptor blocker therapy
Angiotensin receptor blockers (ARBs; act by blocking the action of angiotensin II on the heart, peripheral vasculature and kidney. In heart failure, they produce beneficial haemodynamic changes that are similar to the effects of ACE inhibitors but are generally better tolerated.Beta-blockers and treatment of chronic heart failure
Adding oral β-blockers gradually in small incremental doses to standard therapy, including ACE inhibitors, in people with heart failure reduces the rate of death or hospital admission.Beta-adrenoceptor blocker therapy Beta-blockade helps to counteract the deleterious effects of enhanced sympathetic stimulation and reduces the risk of arrhythmias and sudden death.
Low dose is started & gradually increased.
Choose Beta blocker safe in HF








