Liver cirrhosis and it’s complications TUCOMInternal Medicine4th year3/11/2016 Dr. Hasan. I. Sultan
Liver Cirrhosis
Liver cirrhosis; Is the irreversible fibrous scarring and hepatocellular regeneration that leads to loss of normal hepatic lobular architecture.It is a common disease. It can occur at any age. World-wide, the most common causes of cirrhosis are chronic viral hepatitis and prolonged excessive alcohol consumption.
Small (<3 mm; micronodular cirrhosis)
A typical feature of alcoholic cirrhosis
Large (>3 mm; macronodular cirrhosis)
Is more commonly seen as a sequelae to chronic active hepatitis
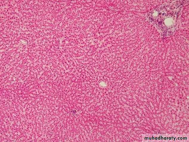
Histology of normal liver tissue
Histology of cirrhotic liver tissue
CAUSES OF CIRRHOSIS
• Alcohol• Chronic viral hepatitis B, D or C
• Non-alcoholic fatty liver disease
• Immune
• Primary sclerosing cholangitis
• Autoimmune liver disease
• Biliary
• Primary biliary cirrhosis
• Cystic fibrosis
• Genetic
• Haemochromatosis
• α1-antitrypsin deficiency
• Wilson's disease
• Cryptogenic (unknown)
Primary biliary cirrhosis (PBC)
PBC Is a chronic, progressive cholestatic liver disease of unknown cause which predominantly affects middle-aged women.
Clinical features; lethargy, arthralgia, pruritus, jaundice. Bone pain or fractures due to osteomalacia (fat-soluble vitamin malabsorption). Scratch marks, xanthelasma, later on patients develops portal hypertension and liver failure.
Investigations; LFTs show a pattern of cholestasis. Antimitochondrial antibody is diagnostic. Liver biopsy shows a granuloma formation of the portal tracts, leading to progressive damage and eventually loss of the small and middle-sized bile ducts.
Management; Ursodeoxycholic acid (UDCA) improves bile flow, improves LFTs and reduces apoptosis of the biliary epithelium. Liver transplantation should be considered.
PBC
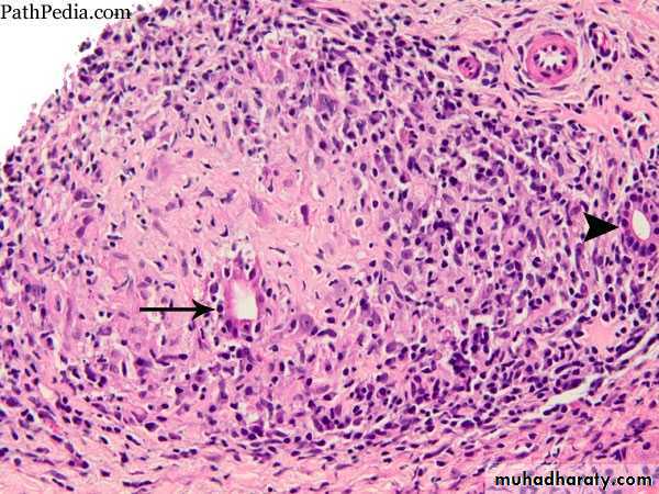
PBC portal tracts contain multiple granulomas
Primary sclerosing cholangitis Is a cholestatic liver disease caused by diffuse inflammation and fibrosis that can involve the entire biliary tree and leads to the gradual obliteration of intrahepatic and extrahepatic bile ducts, and ultimately biliary cirrhosis, portal hypertension and hepatic failure. Cholangiocarcinoma develops in about 10-30% of patients during the course of the disease. About two-thirds of patients with primary sclerosing cholangitis have coexisting ulcerative colitis.
ERCP is usually diagnostic and may reveal multiple irregular stricturing and dilation.
Histological appearances characteristic are periductal 'onion-skin' fibrosis and inflammation.
Management; There is no cure for primary sclerosing cholangitis
Haemochromatosis: Is a condition in which the amount of total body iron is increased; the excess iron is deposited in and causes damage to several organs including the liver. It may be primary or secondary to other diseases. Iron is deposited throughout the body and total body iron may reach 20- 60 g (normally 4 g).
Hereditary haemochromatosis (HHC) is caused by increased absorption of dietary iron and is inherited as an autosomal recessive gene located on chromosome 6.
6
Usually presents in men aged 40 years or over with features of hepatic cirrhosis (especially hepatomegaly), diabetes mellitus or heart failure. Arthropathy, leaden-grey skin pigmentation due to excess melanin occurs, especially in exposed parts, axillae, groins and genitalia; hence the term 'bronzed diabetes'. Impotence, loss of libido, testicular atrophy and arthritis with chondrocalcinosis secondary to calcium pyrophosphate deposition are also common. Cardiac failure or cardiac dysrhythmia may complicate heart muscle disease.
Serum ferritin is greatly increased; the plasma iron is also increased, with a highly saturated plasma iron-binding capacity. The diagnosis is confirmed by liver biopsy, which shows heavy iron deposition and hepatic fibrosis which may have progressed to cirrhosis.
Treatment consists of weekly venesection of 500 ml blood (250 mg iron) until the serum iron is normal, this may take 2 years or more.
Clinical features of liver cirrhosis
Hepatomegaly; especially in alcoholic liver disease and haemochromatosis (although liver may also be small especially in viral hepatitis or autoimmune liver disease) The liver is often hard, irregular and non-tender.Jaundice
Ascites
Circulatory changes
Spider telangiectasia, palmar erythema, cyanosis
Endocrine changes
Loss of libido, hair loss
Men: gynaecomastia, testicular atrophy, impotence
Women: breast atrophy, irregular menses, amenorrhea
Hemorrhagic tendency
Bruises, purpura, epistaxis, menorrhagia
Portal hypertension
Splenomegaly, collateral vessels (caput medusa), variceal bleeding (oesophageal, gastric and rectal varices), fetor hepaticus.
Hepatic (portosystemic) encephalopathy
Other features
Pigmentation, digital clubbing, duputryn's contracture, Pruritus.
Spider telangiectasias occur and comprise a central arteriole (which occasionally raises the skin surface), from which small vessels radiate. They vary in size from 1 to 2 mm in diameter, are usually found only above the nipples, and can occur early in the disease.
Caput medusae is the appearance of distended and engorged paraumbilical veins, which are seen radiating from the umbilicus across the abdomen.
The name caput medusae ("head of Medusa"): is a Latin word referred to the cap of Medusa, who had venomous snakes in place of hair.
Duputryn's contracture
Pruritus: the patient scratched and excoriate areas of skin that can be reached.
Investigations
• A-Laboratory Features;Hepatocellular dysfunction; (Hypoalbuminemia and prolonged PT), hyperbilirubinemia, low blood urea; and elevated ammonia levels.
Portal hypertension; Thrombocytopenia and leukopenia.
Anemia; Hypersplenism or GI bleeding.
B- Radiologic features; includes U/S of abdomen with or without Doppler of the portal and hepatic venous vessels. CT or MRI; which show liver atrophy with nodular surface and features of portal hypertension.
C- liver biopsy; no need in the presence of clinical and laboratory features but may be considered when the cause of liver disease is doubtful.
Normal liver on CT scan, with smooth liver contours; normal size of spleen.
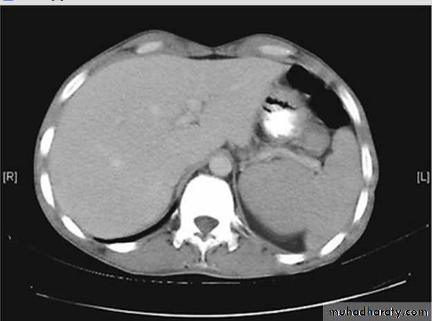
CT image of upper abdomen revealing cirrhotic liver with a large mass in left hepatic lobe (star) and massive ascites
Cross-section of liver showing green-yellow hepatocellular carcinoma in left hepatic lobe (star).
Treatment of liver cirrhosis
Treatment of any known causeThe maintenance of nutrition
Treatment of the complications of cirrhosis
Liver transplantation
Prognosis; Child-Pugh classifi. of prognosis in cirrhosis
1
2
3
Encephalopathy
None
Mild
Marked
Bilirubin (μmol/l)
< 34
34-50
> 50
Albumin (g/l)
> 35
28-35
< 28
Prothrombin time (seconds prolonged)
< 4
4-6
> 6
Ascites
None
Mild
Marked
Child-Pugh grade
Hepatic deaths (%)
< 7 = Child's A
43
7-9 = Child's B
72
• > 9 = Child's C
85
Major Complications
• Hepatocellular dysfunction and portal hypertension, which may result in;• Variceal hemorrhage
• Ascites, which can be further complicated by spontaneous bacterial peritonitis
• Hepatic encephalopathy
• Hepatorenal syndrome
• Hepatopulmonary syndrome
• Hepatocellular carcinoma
Portal hypertension
Prolonged elevation of the portal venous pressure above 12 mmHg (normally 2-5 mmHg).Increase in intrahepatic vascular tone -- increased resistance to portal venous flow -- an increase in portal venous pressure.
Splenomegaly is a cardinal finding.
Hypersplenism is common
Caput medusae, oesophageal, gastric and rectal varices.
Fetor hepaticus.
Complications of portal hypertension
• Variceal bleeding: oesophageal or gastric.
• Congestive gastropathy
• Hypersplenism
• Ascites
• Iron deficiency anaemia
• Renal failure
• Hepatic encephalopathy
Variceal hemorrhage
Occurs from oesophagogastric varices.Endoscopy is mandatory to determine the size, site of varices, and source of bleeding. To introduce some therapeutic options.
Management;
• Restore the circulation with blood and plasma
• Local measures
Banding or sclerotherapy
Balloon tamponade
Oesophageal transection
Sengstaken Blakemore catheter obtain temporary hemostasis by direct compression of the varices
• 3. Reduction of portal venous pressure
Drugs; Terlipressin is the drug of choiceTIPSS and shunt surgery
• Prevention of recurrent bleeding
• Band ligation
• Sclerotherapy
• TIPSS (Transjugular intrahepatic portosystemic stent shunt)
• Portosystemic shunt surgery
• Beta-adrenoceptor antagonists (β-blockers)
Transjugular intrahepatic portosystemic shunt (TIPS) procedure because of variceal bleeding unresponsive to pharmacologic and endoscopic treatment. Portogram shows clearly visible narrow segment (arrow) of portosystemic shunt. Coils (arrowheads) placed to occlude esophageal varices.
Ascites
Accumulation of excess fluid in the peritoneal cavityClinically detectable when it is greater than 500 ml
Cirrhosis is the most common cause of ascites
A high serum-ascites albumin gradient (>1.1 g/dL) signifies portal hypertension
Pathogenesis in cirrhosis: Splanchnic vasodilation mediated by vasodilators, mainly nitric oxide (overflow theory) that lead to fall in systemic arterial pressure. This leads to activation of the renin-angiotensin system with secondary aldosteronism, increased sympathetic nervous activity and increased atrial natriuretic hormone secretion. These lead to renal sodium and water retention to normalize arterial pressure (underflow theory).
Serum-ascites albumin gradient or gap (SAAG)
SAAG = (albumin concentration of serum) - (albumin concentration of ascitic fluid).SAAG >=1.1g/dL
• Cirrhosis
• Alcoholic hepatitis
• CHF
• Constrictive pericarditis
• Budd – Chiari syndrome
SAAG <1.1g/dL
• Peritoneal carcinomatosis
• Peritoneal TB
• Pancreatitis
• Serositis
• Nephrotic syndrome
• Bowel obstruction / infarction / perforation
Management;
• Sodium and water restriction; Daily sodium intake 60- 90 meq (2 g/d). No add salts to their food and avoid processed foods.
• Diuretic drugs; Spironolactone (100-400 mg/day) is the drug of choice. Some also require powerful loop diuretics, e.g. furosemide. Patients who do not respond to doses of 400 mg spironolactone and 160 mg furosemide are considered to have Refractory ascites.
• Paracentesis; 3-5 litres daily is safe, provided the circulation is supported by giving intravenous colloid such as human albumin (6-8 g per litre of ascites removed) or another plasma expander.
4. Peritoneo-venous (LeVeen) shunt; Is a long tube with a non-return valve running subcutaneously from the peritoneum to the internal jugular vein in the neck, which allows ascitic fluid to pass directly into the systemic circulation.
5. Transjugular intrahepatic portosystemic stent shunt (TIPSS)
CAUSES OF ASCITES
Common causesMalignant disease
Hepatic
Peritoneal
Cardiac failure
Hepatic cirrhosis
Other causes
Hypoproteinaemia
Nephrotic syndrome
Protein-losing enteropathy
Malnutrition
Hepatic venous occlusion
Budd-Chiari syndrome
Pancreatitis
Lymphatic obstruction
Infection
Tuberculosis
Spontaneous bacterial peritonitis
Rare
Meigs' syndrome
Vasculitis
Hypothyroidism
Renal dialysis
Ascitic fluid: appearance
Cirrhosis: clear, straw-coloured or light green
Malignant disease: bloody
Infection: cloudy
Biliary communication: heavy bile staining
Lymphatic obstruction: milky-white (chylous)
Useful investigations
Total albumin (plus serum albumin)
Amylase
White cell count
Cytology
Microscopy and culture
Spontaneous bacterial peritonitis
Infection of ascitic fluid. Escherichia coli is the organism most frequently found.
Fever, abdominal pain, and tenderness may be present.
Diagnosis is strongly suspected: ascitic neutrophil count above 250 × 106/l. Ascitic fluid culture for detection of organisms
Rx --broad-spect. antibiotics, such as i.v cefotaxime or i.v ceftriaxone. Five days of treatment are sufficient if the patient improves clinically.
Patients with a history of SBP, an ascitic fluid total protein concentration <1 g/dL, or active gastrointestinal bleeding should receive prophylactic antibiotics to prevent SBP; oral norfloxacin is commonly used.
Hepatic encephalopathy
A neuropsychiatric syndrome that may complicate advanced liver disease.Extensive portosystemic collateral formation (shunting).
Inadequate hepatic removal of nitrogenous compound like ammonia, γ-aminobutyric acid, and mercaptans. Which pass through portosystemic shunting to CNS, lead to brain dysfunction and cerebral oedema .
Examination; Disturbed consciousness, fetor hepaticus, flapping tremor (asterixis) , constructional apraxia hyper-reflexia and bilateral extensor plantar responses.
Clinical grading of hepatic encephalopathy
Clinical grade
Clinical signs
Grade 1
Poor concentration, slurred speech, disordered sleep rhythm
Grade 2
Drowsy, occasional aggressive behavior, lethargic
Grade 3
Marked confusion, gross disorientation
Grade 4
Unresponsive to voice, unconscious
Factors precipitating hepatic encephalopathy
Treatment;Identification and treatment of precipitating factors
Antibiotics that reduce colonic bacteria (i.e., neomycin and metronidazole).
Nonabsorbable disaccharides (i.e., lactulose)
Lactitol is more palatable
liver transplantation
Hepatorenal syndrome
Functional renal failure complicated advanced liver disease .
Two types;
Type I rapidly progressive renal failure bad prognosis.
Type II more slowly better prognosis.
Treatment;
Correction of plasma volume depletion
Vasopressin
TIPSS
Liver transplantation
Hepatopulmonary syndrome
Characterised by hypoxemia, intrapulmonary vascular dilatation and chronic liver disease with portal hypertension.Clinical features; Digital clubbing, cyanosis, spider naevi and a characterized by reduction in arterial oxygen saturation on standing.
Treatment;
No proven medical therapy exists
Oxygen
Liver transplantation
Quiz
A 50 years old female came to your clinic with 7 months history of malaise, anorexia, arthralgia, and jaundice. Her investigations reveals bilirubin 200 µmol/l, ALT 250 iu/l, Alk Ph 105 iu/l, s. albumin 29 g/l.What is your differential diagnosis from this history?
She has past medical history of thyroiditis and DM. further investigation show elevated IgG level. ANA and anti-smooth muscle Abs were positive, serological test for hepatic viruses were negative. Liver biopsy showed mononuclear infiltrate of the portal and periportal areas, plasma cells and fibrosis, iron and copper stains were negative.
What is your diagnosis now? What is your treatment?
She discontinue her medication (steroid + azathioprine) and return to your clinic with abdominal distension and ankle swelling over the last few weeks. She feels generally tired and lethargic.
What other features would you looks for?
She tell you that she has poor appetite, and has weight loss. She bruises easily with cutaneous signs of chronic liver disease, ascites and peripheral edema on examination. There is no meleana on rectal examination.
What is the final diagnosis?
















































