Anomalies of the Upper Urinary Tract
د. جاسم الميالياختصاص الجراحة البولية
KIDNEY DEVELOPMENT
The embryonic kidneys are, in order of their appearance, the pronephros, the mesonephros , and the metanephros. The first two kidneys regress in utero, and the third becomes the permanent kidney.The ureteric bud(UB) arising from the mesonephic duct at the end of the fourth week, grows cranially, acquiring a cap of metanephric blastema by the fifth week. The developing metanephric tissue and UB migrate cephalad, rotating medially on its long axis. The entire process is completed by the eighth week of gestation.
The nephron, which consists of the glomerulus, proximal tubule, loop of Henle, and distal tubule, is thought to derive from the metanephric blastema, while the collecting system, consisting of collecting ducts, calyces, pelvis and ureter, is formed from the ureteric bud.
Anomalies of the kidney
ANOMALIES OF NUMBER:Bilateral Renal Agenesis.
Unilateral Renal Agenesis.
ANOMALIES OF ASCENT:
Simple Renal Ectopia.
Horseshoe Kidney.
CYSTIC DISEASES OF THE KIDNEY:
Bilateral Renal Agenesis
-The incidence of BRA is rare. More common in male.-The characteristic Potter facies and the presence of oligohydramnios are pathognomonic .
-Renal ultrasonography demenstrate absence the kidneys .
-About 50% of the affected neonates are stillborn. Of those neonates who are born alive most do not survive beyond the first 48 hours due to respiratory distress associated with pulmonary hypoplasia.Potter facies
Unilateral Renal Agenesis
Unilateral renal agenesis occurs once in 1000 births .More common in males. It more frequently on the left side.
Abnormalities of the contralateral ureter including ureteropelvic junction obstruction in 10% and vesicoureteral reflux in 30%.
Anomalies of other organ systems are found frequently in affected individuals. The more common sites involve the cardiovascular (30%), gastrointestinal (25%).
There are no specific symptoms that suggest an absent kidney.
- Abdominal ultrasonography show absent of one kidney.
-The diagnosis of URA usually can be confirmed with a DMSA scan showing absent uptake of the isotope on one side.
Simple Renal Ectopia
When the mature kidney fails to reach its normal location in the “renal” fossa, the condition is known as renal ectopia. An ectopic kidney can be found in one of the following positions: pelvic, iliac, abdominal and contralateral.50% percent of ectopic kidneys have hydronephrotic collecting system which result from obstruction at the ureteropelvic or the ureterovesical junction or from reflux grade III or greater, or from the malrotation alone.
The ectopic kidney is no more susceptible to disease than the normally positioned kidney, except for the development of hydronephrosis .
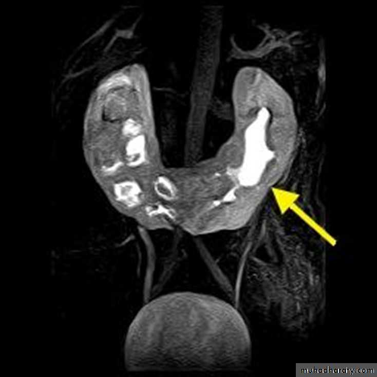
Horseshoe Kidney
Horseshoe kidney occurs in 1 of 400 of the population.It is found more commonly in males.
In 95% of cases, the kidneys join at the lower pole, rarely isthmus connects at upper poles.
Generally, the isthmus is bulky and consists of parenchymatous tissue with its own blood supply . Occasionally it is composed of fibrous tissue.
Migration is usually incomplete, with the kidneys lying lower in the abdomen than normal. It is presumed that the inferior mesenteric artery prevents full ascent by obstructing the movement of the isthmus
Horseshow kidney
CYSTIC DISEASES OF THE KIDNEY
The kidney is one of the most common sites in the body for cyst formation.Cystic Diseases of the Kidney may be:
-inheritable : polycystic kidney disease.-noninheritable :multicystic dysplastic kidney, Simple cysts.
AUTOSOMAL RECESSIVE (INFANTILE) POLYCYSTIC KIDNEY DISEASE
It is rare disease. Genetics:mutations of a single gene located on chromosome 6.Clinical Features:
Affected children typically present in utero with enlarged, echogenic kidneys. Oligohydramnios is common because of the lack of normal urine production by the fetus. The infant often displays Potter facies and deformities of the limbs and may have respiratory distress as a consequence of pulmonary hypoplasia
Treatment:
No cure has been found for ARPKD.about 50% of the affected individuals die shortly after birth as a result of uremia or respiratory failure. Patients who survive may require treatment for hypertension, renal and hepatic failure.
AUTOSOMAL DOMINANT(ADULT)POLYCYSTIC KIDNEY DISEASE
Incidence of approximately 1 in 1000 live births.Genetics: mutation in the genes PDK1 (chromosome 16) and PDK2(chromosome 4).
A number of associated anomalies are common, including cysts of the liver, pancreas, spleen, and lungs; aneurysms of the circle of Willis (berry aneurysms); colonic diverticula; aortic aneurysms; and mitral valve prolapsed.
Clinical Features:
Typically, signs or symptoms occur between the ages of 30 and 50 years ,these include hematuria, flank pain , gastrointestinal symptoms (perhaps secondary to renomegaly or associated colonic diverticula), and hypertension.Evaluation:
-family history-Abdominal ultrasonography may reveal renal cysts as well as cysts in other organs.
-CT or MRI : helpful in some cases and often is superior to ultrasonography for detecting cysts in organs other than the kidney.
Treatment :
No known cure at this time. Current therapy is directed toward control the complications of ADPKD and delaying the onset of ESRD.- controlling the blood pressure, Chronic pain treated by medication ,if not respond treated by cyst deroofing.
- infection, stone treated accordingly.
- Renal failure treated by hemodialysis or renal transplant.
MULTICYSTIC DYSPLASTIC KIDNEY
Multicystic dysplastic kidney is a developmental anomaly resulting in multiple cysts of variable sizes, occupi the kidney without normal renal parenchyma.Etiology:
- obstruction theory: multicystic kidney is an extreme form of obstructive hydronephrosis that occurs secondary to atresia of the ureter or renal pelvis.
-ureteric bud theory: MCDK may result from abnormal interaction between the ureteric bud and metanephric mesenchyme.
The contralateral kidney frequently is abnormal. For example, contralateral ureteropelvic junction obstruction is found in 10% of infants with MCDK, and contralateral vesicoureteral reflux is seen in 30% of infants
- Abdominal ultrasonography.
-radioisotope studies: no uptake of isotope.SIMPLE RENAL CYSTS
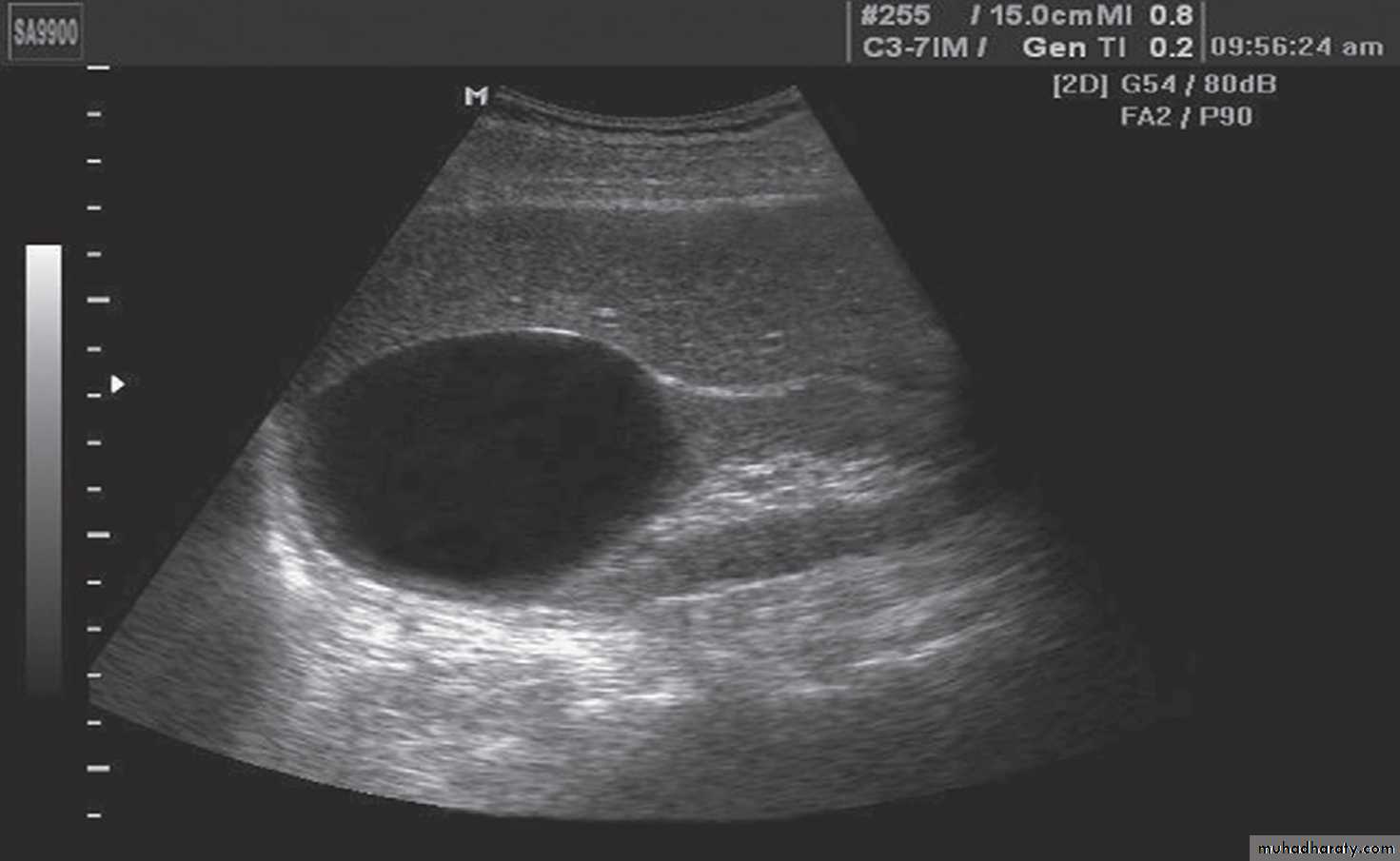
Simple renal cysts are the most common cystic lesions found in the human kidney.Clinical Features:
they are asymptomatic and discovered incidentally on ultrasonography, CT. However, cysts can produce an abdominal mass or pain, hematuria and hypertension .
To diagnose a benign simple cyst on ultrasonography, it should
(1) have no internal echoes,(2) have a sharply defined, thin, smooth wall,
(3) spherical or oval.
When these criteria are not met, CT with contrast enhancement must be performed
SIMPLE RENALCYSTS(U/S)
MEGAURETERS
It mean dilated ureter more than normal.Two pathologic types:-
• Refluxing megaureter caused by high grade VUR
( primary or secondary VUR).
(2) Obstructive megaureter caused by obstruction of the distal segmental of the ureter.
Evaluation:
- Ultrasound is the initial study.- VCUG is subsequently obtained in most cases to rule out reflux.
- diuretic nuclear renal scan.







