Anomalies of lower urinary tract
Dr jasim almayaliVesicoureteral Reflux (VUR)
Retrograde flow of urine from the bladder to the upper urinary tract.Etiology of VUR
primary reflux : represents a congenital defect in the structure and function of the ureterovesical junction.Secondary Reflux:
-Bladder dysfunction e.x neurogenic bladder.-Bladder outlet obstruction e.x posterior urethral valve.
Grading of Reflux
G 1: Into a nondilated ureter
G 2: Into the pelvis and calyces without dilatation.
G 3: Mild to moderate dilatation of the ureter, renal pelvis, and calyces.
G 4: Moderate ureteral tortuosity and dilatation of the pelvis and calyces
G 5: Gross dilatation of the ureter, pelvis, and calyces and sever ureteral tortuosity
Grading of Reflux
Complication of VUR
Infectious pyelonephritis: reflux facilitates the ascension of microorganism from the bladder to the kidneys.postpyelonephritic scarring:
Hypertension:VUR is the primary cause of hypertension in children.
Renal Failure: high grade bilateral VUR may cause renal failure by back pressure and infection.
Diagnosis of VUR
The voiding cystourethrogram (VCUG): the gold standard for reflux detection.Renal Sonography: it is used for serial follow-up of renal growth and development.
Renal Scintigraphy: The main test for scar detection.
DMSA scan
Management of VUR
Medical Management: The classic approach is daily low-dose prophylactic antibiotic suppression of infections as the first line of treatment.Endoscopic Treatment: use of injectable bulking agents to narrow the ureteral orifice, thereby preventing vesicoureteral reflux.
Surgical treatment: by ureteric reimplantation.
Endoscopic Treatment of VURPosterior Urethral Valves PUV
It is mucosal fold at posterior urethra causing varying degree of obstruction to voiding without interfering to retrograde catheterization.The classic posterior urethral valves occur only in males.Pathophysiology of PUV
Bladder: hypertrophy and hyperplasia of the detrusor muscle along with increased connective tissue. The bladder neck is rigid and hypertrophied.prostatic urethra: High voiding pressures distend and thin the prostatic urethra.
Ureter: The ureteral wall is thickened and the lumen massively dilated.
Kidney: renal injury is caused by persistent high pressure.
Pathophysiology of PUV
Clinical Presentation of PUV
In utero:Today, most patients with posterior urethral valves are diagnosed with prenatal ultrasound . The observation of marked hydroureteronephrosis, a distended bladder, and a thickened bladder wall and oligohydramnios in utero strongly support the diagnosis of valves .
Newborn :
usually presents with signs of severe systemic illness such as failure to thrive, lethargy, and poor feeding.Older Children :
present with urinary tract infection and difficulty in urination with poor urinary stream.
Diagnosis of PUV
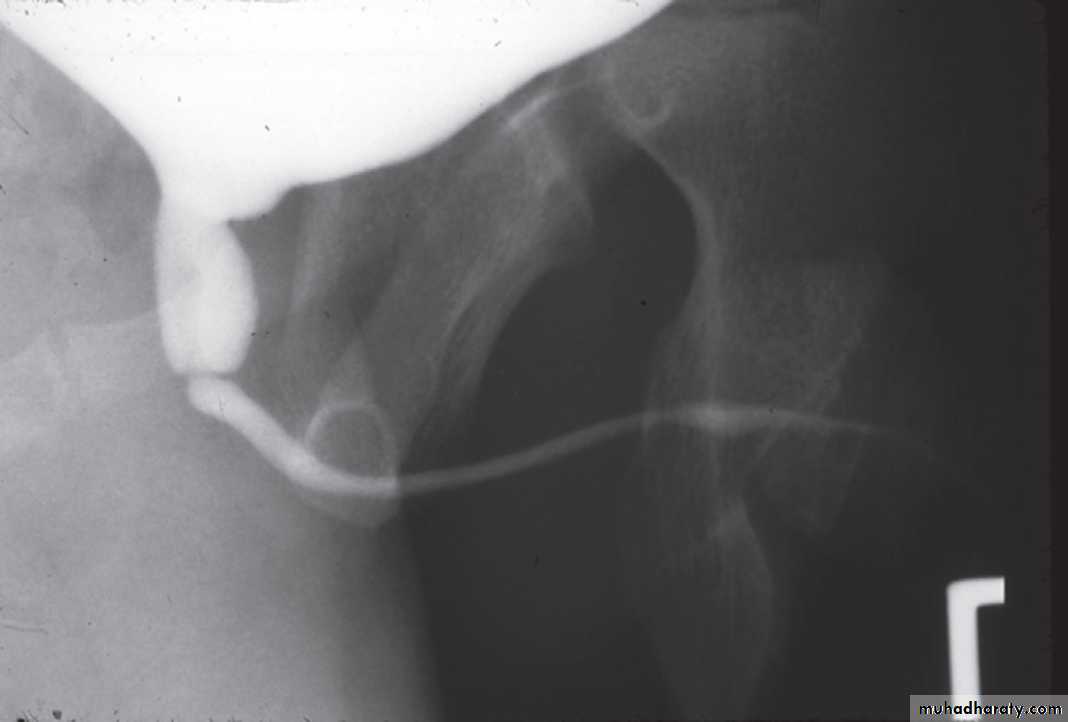
Ultrasound: The classic ultrasound findings in patients with PUV include bilateral hydroureteronephrosis, distended bladder, dilated posterior urethra, and a thickened bladder wall.Voiding Cystourethrography VCUG: it defines the anatomy of the bladder, bladder neck, and urethra.
Cystoscope: by visulization of the valve
Laboratory Evaluation: serum Creatinine and blood urea to assess renal function.
PUV (VCUG)PUV (VCUG)
PUV (cystoscope)
Management of PUV
Bladder Drainage: Initial management of all patients with posterior urethral valves requires the immediate urinary catheter drainage from the bladder.Valve Ablation : After successful initial bladder drainage and when the patient’s medical condition has stabilized, the next step is to permanently destroy the valves by using pediatric resectoscope.










