RESPIRATORY SYSTEM
UPPER AIR WAYLECTURE ONE
NoseInflammatory diseases, ( common cold) –
most common
Most are viral in origin, but they are often complicated by superimposed bacterial infections having considerably greater significance.
Much less common are a few destructive inflammatory nasal diseases and tumors primary in the nasal cavity or paranasal sinuses.
INFLAMMATIONS
Infectious Rhinitis.Infectious rhinitis, “common cold,”
in most instances caused by one or more viruses. Major offenders are adenoviruses, echoviruses, and rhinoviruses. Influenza and parainfluenza .
They evoke a profuse catarrhal discharge that is familiar to all . During the initial acute stages, the nasal mucosa is thickened, edematous, and red; the nasal cavities are narrowed; and the turbinates are enlarged. These changes may extend, producing a concomitant pharyngotonsillitis. Secondary bacterial infection enhances the inflammatory reaction and produces an essentially mucopurulent or sometimes frankly suppurative exudate.
But as all have learned from experience, these infections soon clear up.
INFLAMMATIONS
Allergic Rhinitis.
Allergic rhinitis (hay fever) is initiated by hypersensitivity reactions to one of a large group of allergens.
Most commonly the plant pollens, fungi, animal allergens, and dust mites
20% of the population.
As is the case with asthma, allergic rhinitis is an IgE–mediated immune reaction with an early- and late-phase response
The allergic reaction is characterized by marked mucosal edema, redness, and mucus secretion, accompanied by a leukocytic infiltration in which eosinophils are prominent.
Nasal Polyps.
due to recurrent attacks of rhinitis .focal protrusions of the mucosa, producing so-called nasal polyps, which may reach 3 to 4 cm in length.
On histologic examination these polyps consist of edematous mucosa having a loose stroma, with cystic mucous secreting glands, infiltrated with a variety of inflammatory cells, including neutrophils, eosinophils, and plasma cells with occasional clusters of lymphocytes
When multiple or large, the polyps may encroach on the airway and impair sinus drainage.
most people with nasal polyps are not atopic, and only 0.5% of atopic patients develop polyps.
Sinusitis.
Acute sinusitis is most commonly preceded by acute or chronic rhinitis, (but maxillary sinusitis -extension of a periapical infection. Complicated of nasal inflammatory condition . .
Impairment of drainage of the sinus by inflammatory edema of the mucosa is an important contributor to the process -lead to suppurative exudate that lead to producing empyema of the sinus.
Obstruction of the outflow, occasionally leads to an accumulation of mucous secretions in the absence of direct bacterial invasion, producing a so-called mucocele.
Acute sinusitis may, in time, give rise to chronic sinusitis,
Nasopharynx
the nasopharyngeal mucosa, related lymphoid structures, and glands may be involved in a wide variety of specific infections (e.g., diphtheria, infectious mononucleosis) and by neoplasmsINFLAMMATIONS
Pharyngitis and tonsillitis are frequent in the usual viral upper respiratory infections.Most commonly implicated are rhinoviruses, echoviruses, and adenoviruses, and, less frequently, respiratory syncytial viruses and the various strains of influenza virus.
In the usual case, there is reddening and slight edema of the nasopharyngeal mucosa, with reactive enlargement of the related lymphoid structures.
Bacterial infections may be superimposed on these viral involvements, or may be primary invaders. The most common offenders are the β-hemolytic streptococci, but sometimes Staphylococcus aureus .
The major importance of streptococcal “sore throats” lies in the possible development of late sequelae, such as, rheumatic fever and glomerulonephritis
Tumors of the Nose, Sinuses, and Nasopharynx
Tumors in these locations are infrequent but include the entire category of mesenchymal and epithelial neoplasmsNasopharyngeal Angiofibroma.
This is a highly vascular tumor that occurs almost exclusively in adolescent males. Despite its benign nature, it may cause serious clinical problems because of its tendency to bleed profusely during surgery.
Sinonasal Papilloma.
These are benign neoplasms arising from the sinonasal mucosa and are composed of squamous or columnar epithelium.HPV types 6 and 11 have been identified in the lesions.
Gross :- exophytic (most common), inverted (most important biologically),
Inverted papillomas are benign but locally aggressive neoplasms occurring in both the nose and the paranasal sinuses.
As the name papillomatous proliferation of squamous epithelium, instead of producing an exophytic growth (like the septal and cylindrical papillomas), extends into the mucosa, that is, it is inverted
If not adequately excised, it has a high rate of recurrence
Nasopharyngeal Carcinoma.
This tumor is characterized by a distinctive geographic distribution, a close anatomic relationship to lymphoid tissue, and an association with EBV infectionThe disease is thought to take one of three patterns:
(1) keratinizing squamous cell carcinomas.
(2) nonkeratinizing squamous cell carcinomas.
(3) undifferentiated carcinomas that have an abundant non-neoplastic, lymphocytic infiltrate. The last pattern has often been called in the past wrongly as lymphoepithelioma..
Nasopharyngeal Carcinoma.
Three factors affect the origins of these neoplasms:
(1) heredity,
(2) age,
(3) infection with EBV.
the EBV genome can be identified in the tumor epithelial cells (not the lymphocytes) of most undifferentiated and nonkeratinizing squamous cell nasopharyngeal carcinomas.
Have to peak of incidence in both children and dult life
Nasopharyngeal Carcinoma.
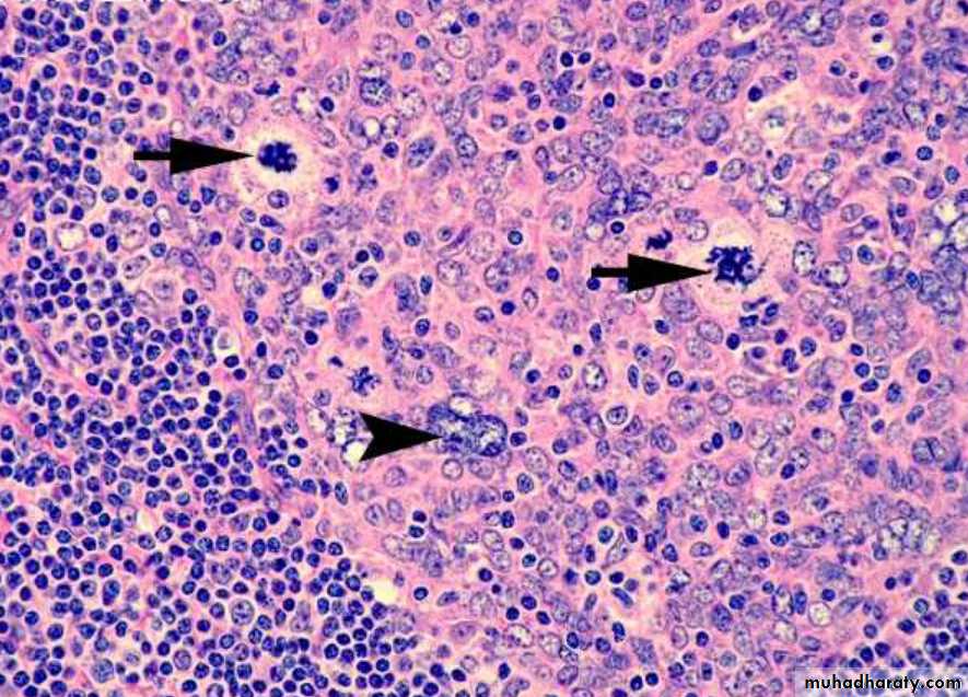
On histologic examination, the keratinizing and nonkeratinizing squamous cell lesions resemble usual well-differentiated and poorly differentiated squamous cell carcinomas arising in other locations.The undifferentiated variant is composed of large epithelial cells with oval or round vesicular nuclei, prominent nucleoli, and indistinct cell borders . Admixed with the epithelial cells are abundant, mature, normal-appearing lymphocytes, which are predominantly T cells.
Nasopharyngeal Carcinoma.
Primary nasopharyngeal carcinomas are often clinically occult for long periods, and present as metastases in the cervical lymph nodes in as many as 70% of the patients.Radiotherapy is the standard modality of treatment,
Larynx
INFLAMMATIONSLaryngitis occur as manifestation of allergic, viral, bacterial, or chemical insult, but it is more commonly part of a generalized upper respiratory tract infection or the result of heavy exposure to environmental toxins such as tobacco smoke.
It may also occur in association with gastroesophageal reflux due to the irritating effect of gastric contents.
The larynx may also be affected in systemic infections, such as tuberculosis and diphtheria. ,syncitial virus, Haemophilus influenzae,
. Croup is the name given to laryngotracheobronchitis in children, in which the inflammatory narrowing of the airway produces the inspiratory stridor.
REACTIVE NODULES (VOCAL CORD NODULES AND POLYPS)
Reactive nodules, also called polyps, sometimes develop on the vocal cords, most often in heavy smokers or in individuals who impose great strain on their vocal cords (singers' nodules) .
effect Adults, predominantly men, hoarseness of voice
Gross . nodules are smooth, rounded, sessile or pedunculated , generally only a few millimeters in the greatest dimension, located usually on the true vocal cords.
Histologically typically covered by squamous epithelium and core of the nodule is a loose myxoid connective tissue that may be fibrotic some time have numerous vascular channels.
SQUAMOUS PAPILLOMA AND PAPILLOMATOSIS
Laryngeal squamous papillomas are benign neoplasms, usually located on the true vocal cords, that form soft, raspberry-like prokection .rarely more than 1 cm in diameter .
Histologic examination, the papillomas are made up of multiple slender, finger-like projections supported by central fibrovascular cores and covered by an orderly stratified squamous epithelium.
Papillomas are usually single in adults but are often multiple in children, (referred to as juvenile laryngeal papillomatosis).
. The lesions are caused by HPV types 6 and 11.
They do not become malignant, but frequently recur.
CARCINOMA OF THE LARYNX
Effect adult
most often related to tobacco smoke, the risk being proportional to the level of exposure.. Alcohol is also clearly a risk factor. Together smoking and alochol increase the risk .
Other factors that may contribute to increased risk include nutritional factors, exposure to asbestos, irradiation, and infection with HPV
CARCINOMA OF THE LARYNX
Carcinoma of the larynx manifests itself clinically by persistent hoarseness.60% of these cancers are confined to the larynx. .
CARCINOMA OF THE LARYNX
Morphology. About 95% of laryngeal carcinomas are typical squamous cell tumors. The tumor usually develops directly on the vocal cords, but it may arise above or below the cords, on the epiglottis or aryepiglottic folds, . ( supra and infra glottic tumor ). Squamous cell carcinomas of the larynx follow the growth pattern of other squamous cell carcinomas. From well differntiated sheets of squamous epithelium with keartin pearls formation to high grade of diffuse undifferentiated with multiple mitosis and tumor giant and marked pleomorphism .










