Respiratory system
Lecture no 5PULMONARY INFECTIONS
Pulmonary infections in the form of pneumonia are responsible for one-sixth of all deaths.because
(1) the epithelial surfaces of the lung are constantly exposed to liters of variously contaminated air;
(2) nasopharyngeal flora are regularly aspirated during sleep,
(3) other common lung diseases render the lung vulnerable to virulent organisms.
Defects in innate immunity (including neutrophil and complement defects) and humoral immunodeficiency typically lead to an increased incidence of infections with pyogenic bacteria.
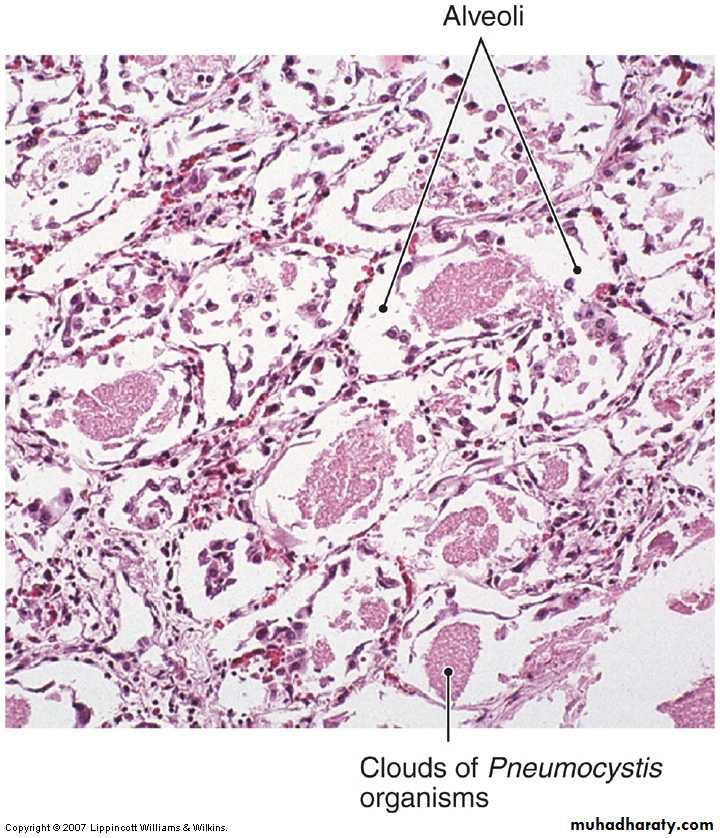
On the other hand, cell-mediated immune defects lead to increased infections with intracellular microbes such as mycobacteria and herpesviruses as well as with microorganisms of very low virulence such as Pneumocystis
Others lifestyle interfere with host immune defense mechanisms and facilitate infections. For example
1- cigarette smoke compromises mucociliary clearance and pulmonary macrophage activity, 2- alcohol not only impairs cough and epiglottic reflexes, thereby increasing the risk of aspiration, but also interferes with neutrophil mobilization and chemotaxis.
Pneumonia
can be very broadly defined as any infection in the lung
Divided in to acute, and chronic disease
histologic spectrum of pneumonia may vary from .fibrinopurulent (acute bacterial)
mononuclear interstitial infiltrate ( viral )
granulomas and cavitation ( chronic pneumonias)
A lot of classification of pneumonia
Acute bacterial pneumonias can present as one of two anatomic and radiographic patterns, referred to as bronchopneumonia and lobar pneumonia.1- Bronchopneumonia implies a patchy distribution of inflammation that generally involves more than one lobe . This pattern results from an initial infection of the bronchi and bronchioles with extension into the adjacent alveoli.
2-lobar pneumonia the contiguous airspaces of part or all of a lobe are homogeneously filled with an exudate that can be visualized on radiographs as a lobar or segmental consolidation Streptococcus pneumoniae is responsible for more than 90% of lobar pneumonias.
Bronchopneumonia. Gross section of lung showing patches of consolidation (arrows
Lobar pneumonia—gray hepatization, gross photograph. The lower lobe is uniformly consolidated.
it is best to classify pneumonias either by the specific etiologic agent or, if no pathogen can be isolated, by the clinical setting in which infection occurs. Classifying pneumonias by the setting in which they arise considerably narrows the list of suspected pathogens for administering empirical antimicrobial therapy., pneumonia can arise in different s distinct clinical settings ("pneumonia syndromes"), and the implicated pathogens are reasonably specific to each category.
Community-Acquired Acute Pneumonias
Most acute pneumoniasbacterial in origin.
follows a viral upper respiratory tract infection.
The onset is usually abrupt, with high fever, chills, pleuritic chest pain, and a productive mucopurulent cough;
. S. pneumoniae (or pneumococcus) is the most common cause of community-acquired acute pneumonia;
Streptococcus pneumoniae
Pneumococcal infections occur with increased frequency in three groups of individuals:(1) those with underlying chronic diseases such as CHF, COPD, or diabetes;
(2) those with either congenital or acquired immunoglobulin defects (e.g., the acquired immune deficiency syndrome);
(3) those with decreased or absent splenic function (e.g., sickle cell disease or after splenectomy). The last occurs because the spleen contains the largest collection of phagocytes and is, therefore, the major organ responsible for removing pneumococci from the blood.
Morphology
With pneumococcal lung infection, either pattern of pneumonia, lobar or bronchopneumonia, may occur;
pneumococcal lung infections usually originate by aspiration of pharyngeal flora (20% of adults harbor S. pneumoniae in their throats),
the lower lobes or the right middle lobe are most frequently involved.
In the era before antibiotics, pneumococcal pneumonia involved entire or almost entire lobes and evolved through four stages: congestion, red hepatization, gray hepatization, and resolution. Early antibiotic therapy alters or halts this typical progression, so if the person dies, the anatomic changes seen at autopsy may not conform to the classic stages.
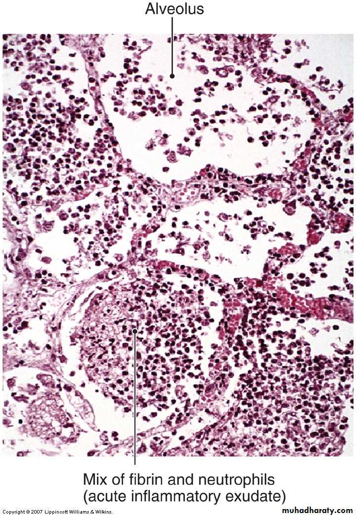
During the first stage, that of congestion, the affected lobe(s) is (are) heavy, red; histologically, vascular congestion can be seen, with proteinaceous fluid, scattered neutrophils, and many bacteria in the alveoli. Within a few days,
the stage of red hepatization ensues, in which the lung lobe has a liver-like consistency; the alveolar spaces are packed with neutrophils, red cells, and fibrin
In the, gray hepatization, the lung is dry, gray, and firm, because the red cells are lysed, while the fibrinosuppurative exudate persists within the alveoli
Resolution follows in uncomplicated cases, as exudates within the alveoli are enzymatically digested to produce granular, semifluid debris that is resorbed, ingested by macrophages, coughed up, or organized by fibroblasts
With appropriate therapy, complete restitution of the lung is the rule, but in occasional cases complications may occur:
(1) abscess
(2) suppurative material may accumulate in the pleural cavity, producing an empyema;
(3) organization of the intra-alveolar exudate may convert areas of the lung into solid fibrous tissue;
(4) bacteremic dissemination may lead to meningitis, arthritis, or infective endocarditis.
Other organisms commonly implicated in community-acquired acute pneumonias include the following
Haemophilus are important causes of community-acquired pneumonias. The former can cause a particularly life-threatening form of pneumonia in children, often following a respiratory viral
Staphylococcus aureus.
S. aureus is an important cause of secondary bacterial pneumonia in children and healthy adults after viral respiratory illnesses
Klebsiella pneumoniae
K. pneumoniae is the most frequent cause of gram-negative bacterial pneumonia.It frequently afflicts debilitated and malnourished personsCommunity-Acquired Atypical Pneumonias
The term "primary atypical pneumonia" was initially applied to an acute febrile respiratory disease characterized by patchy inflammatory changes in the lungs, largely confined to the alveolar septa and pulmonary interstitium.The term "atypical" denotes the moderate amounts of sputum, absence of physical findings of consolidation, only moderate elevation of white cell count, and lack of alveolar exudates.
Atypical pneumonia is caused by a variety of organisms, Mycoplasma pneumoniae being the most common. Mycoplasma infections are particularly common among children and young adults. They occur sporadically or as local epidemics in closed communities (schools, military ). Other etiologic agents are viruses, including influenza types A and B, the respiratory syncytial viruses, adenovirus, rhinoviruses
Interstitial PneumoniaCommunity-Acquired Atypical Pneumonias
Inflammation in septaDiffuse & bilateral
Usually viral
Nosocomial Pneumonia
Nosocomial, or hospital-acquired, pneumonias are defined as pulmonary infections acquired in the course of a hospital stay.
. Gram-negative rods (Enterobacteriaceae , Pseudomonas spp. and S. aureus) are the most common isolates; unlike community-acquired pneumonias, S. pneumoniae is not a major pathogen in nosocomial infections.
Aspiration Pneumonia
Aspiration pneumonia occurs in markedly debilitated patients or those who aspirate gastric contents either while unconscious (e.g., after a stroke) or during repeated vomiting.These individuals have abnormal gag and swallowing reflexes that facilitate aspiration.
The resultant pneumonia is partly chemical, resulting from the extremely irritating effects of the gastric acid, and partly bacterial.
recent studies implicate aerobes more commonly than anaerobes.
Lung Abscess
Lung abscess refers to a localized area of suppurative necrosis within the pulmonary parenchyma, resulting in the formation of one or more large cavities. The term necrotizing pneumonia has been used for a similar process resulting in multiple small cavitations; necrotizing pneumonia often coexists or evolves into lung abscess, making this distinction somewhat arbitrary. The causative organism may be introduced into the lung by any of the following mechanisms:Aspiration of infective material from carious teeth or infected sinuses or tonsils,
Aspiration of gastric contents,.Bronchial obstruction, particularly with bronchogenic carcinoma obstructing a bronchus or bronchiole. Impaired drainage
. An abscess may also form within an excavated necrotic portion of a tumor.Septic embolism, from septic thrombophlebitis or from infective endocarditis of the right side of the heart.
lung abscesses may result from hematogenous spread of bacteria in disseminated pyogenic infection
Morphology
Abscesses vary in diameter from a few millimeters to large cavities of 5 to 6 cm. The localization and number of abscesses depend on their mode of development. Pulmonary abscesses resulting from aspiration of infective material are much more common on the right side (more vertical airways) than on the left,. On the right side, they tend to occur in the posterior segment of the upper lobe and in the apical segments of the lower lobe, because these locations reflect the probable course of aspirated material when
. Abscesses that develop in the course of pneumonia or bronchiectasis are commonly multiple, basal, and diffusely scattered. Septic emboli and abscesses arising from hematogenous seeding are commonly multiple and may affect any region of the lungs.
Lung Abscess
Purulent inflammation with tissue necrosis & liquefaction
Foul-smelling sputum
Tuberculosis
Mycobacterium tuberculosisChronic granulomatous inflammation with caseous necrosis
Pathogenesis
Low-grade fever
Night sweatsMalaise
Weight loss anorexia
Histologically
Typical casseating granuloma with mulinucleated giant cellsMycoses
HistoplasmosisCoccidiomycosis
Cryptococcus
Chronic Pneumonia
Chronic pneumonia is most often a localized lesion in an immunocompetent person, with or without regional lymph node involvement. There is typically granulomatous inflammation, which may be due to bacteria (e.g., M. tuberculosis) or fungi.
While in the immunocompromised, such as those with debilitating illness, on immunosuppressive agents, or with human immune deficiency virus (HIV) infection , there is usually systemic dissemination of the causative organism, accompanied by widespread disease. Tuberculosis is by far the most important entity within the spectrum of chronic pneumonias













